JavaScript is disabled in your browser. Please enable JavaScript to view this website.
AB302912

Anti-EPCR/CD201 antibody [EPR26267-44] - BSA and Azide free

Be the first to review this product! Submit a review

|

(0 Publication)

Rabbit Recombinant Monoclonal EPCR/CD201 antibody. Carrier free. Suitable for WB, IHC-P and reacts with Mouse, Rat samples.

View Alternative Names

CD201, Epcr, Procr, Endothelial protein C receptor, Activated protein C receptor, Centrocyclin, Centrosomal protein CCD41, Endothelial cell protein C receptor, APC receptor

6 Images
Immunohistochemistry - Anti-EPCR/CD201 antibody [EPR26267-44] - BSA and Azide free (AB302912)
  • IHC

Supplier Data

Immunohistochemistry - Anti-EPCR/CD201 antibody [EPR26267-44] - BSA and Azide free (AB302912)

This data was developed using ab302911, the same antibody clone in a different buffer formulation. Immunohistochemical analysis of paraffin-embedded Mouse glioblastoma tissue labeling EPCR/CD201 with ab302911 at 1/2000 (0.266 ug/ml) followed by a LeicaDS9800 (Bond™ Polymer Refine Detection) was used at Ready to use dilution. Negative control : no staining on mouse glioblastoma. The section was incubated with ab302911 for 30 mins at room temperature.The immunostaining was performed on a Leica Biosystems BOND® RX instrument Counterstained with Hematoxylin. Secondary antibody only control : Secondary antibody is LeicaDS9800 (Bond™ Polymer Refine Detection) was used at Ready to use dilution. Heat mediated antigen retrieval with Tris-EDTA buffer (pH 9.0, epitope retrieval solution2) for 20 mins

Immunohistochemistry - Anti-EPCR/CD201 antibody [EPR26267-44] - BSA and Azide free (AB302912)
  • IHC

Supplier Data

Immunohistochemistry - Anti-EPCR/CD201 antibody [EPR26267-44] - BSA and Azide free (AB302912)

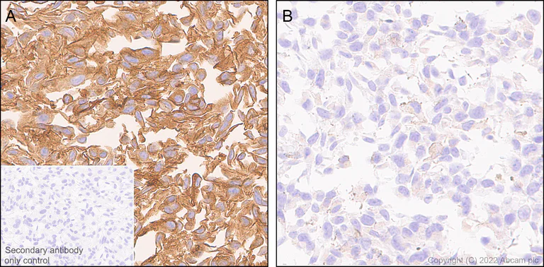
This data was developed using ab302911, the same antibody clone in a different buffer formulation. Immunohistochemical analysis of paraffin-embedded A bEnd.3 (Mouse bra tissue labeling EPCR/CD201 with ab302911 at 1/5000 (0.106 ug/ml) followed by a LeicaDS9800 (Bond™ Polymer Refine Detection) was used at Ready to use dilution. Positive staining on (A) bEnd.3 cell pellet, very weak staining on (B) B16-F10 cell pellet. The section was incubated with ab302911 for 30 mins at room temperature.The immunostaining was performed on a Leica Biosystems BOND® RX instrument Counterstained with Hematoxylin. Secondary antibody only control : Secondary antibody is LeicaDS9800 (Bond™ Polymer Refine Detection) was used at Ready to use dilution. Heat mediated antigen retrieval with Tris-EDTA buffer (pH 9.0, epitope retrieval solution2) for 20 mins

Immunohistochemistry - Anti-EPCR/CD201 antibody [EPR26267-44] - BSA and Azide free (AB302912)
  • IHC

Supplier Data

Immunohistochemistry - Anti-EPCR/CD201 antibody [EPR26267-44] - BSA and Azide free (AB302912)

This data was developed using ab302911, the same antibody clone in a different buffer formulation. Immunohistochemical analysis of paraffin-embedded Rat lung tissue labeling EPCR/CD201 with ab302911 at 1/2000 (0.266 ug/ml) followed by a LeicaDS9800 (Bond™ Polymer Refine Detection) was used at Ready to use dilution. Positive staining on endothelial cells of rat lung. The section was incubated with ab302911 for 30 mins at room temperature.The immunostaining was performed on a Leica Biosystems BOND® RX instrument Counterstained with Hematoxylin. Secondary antibody only control : Secondary antibody is LeicaDS9800 (Bond™ Polymer Refine Detection) was used at Ready to use dilution. Heat mediated antigen retrieval with Tris-EDTA buffer (pH 9.0, epitope retrieval solution2) for 20 mins

Immunohistochemistry - Anti-EPCR/CD201 antibody [EPR26267-44] - BSA and Azide free (AB302912)
  • IHC

Supplier Data

Immunohistochemistry - Anti-EPCR/CD201 antibody [EPR26267-44] - BSA and Azide free (AB302912)

This data was developed using ab302911, the same antibody clone in a different buffer formulation. Immunohistochemical analysis of paraffin-embedded Mouse kidney tissue labeling EPCR/CD201 with ab302911 at 1/2000 (0.266 ug/ml) followed by a LeicaDS9800 (Bond™ Polymer Refine Detection) was used at Ready to use dilution. Positive staining on endothelial cells of mouse kidney. The section was incubated with ab302911 for 30 mins at room temperature.The immunostaining was performed on a Leica Biosystems BOND® RX instrument Counterstained with Hematoxylin. Secondary antibody only control : Secondary antibody is LeicaDS9800 (Bond™ Polymer Refine Detection) was used at Ready to use dilution. Heat mediated antigen retrieval with Tris-EDTA buffer (pH 9.0, epitope retrieval solution2) for 20 mins

Western blot - Anti-EPCR/CD201 antibody [EPR26267-44] - BSA and Azide free (AB302912)
  • WB

Lab

Western blot - Anti-EPCR/CD201 antibody [EPR26267-44] - BSA and Azide free (AB302912)

This data was developed using ab302911, the same antibody clone in a different buffer formulation.

Blocking and diluting buffer and concentration : 5% NFDM/TBST.

Exposure time : Lanes 1-2 : 10 seconds; Lanes 3-4 : 136 seconds

In Western blot, Anti-GAPDH antibody [EPR16891] - Loading Control (ab181602) staining.

Low expression : B16-F10 (PMID : 19188668); mouse brain (PMID : 10688825).

Lanes 3-4 were developed using a high sensitivity ECL substrate.

All lanes:

Western blot - Anti-EPCR/CD201 antibody [EPR26267-44] (<a href='/en-us/products/primary-antibodies/epcr-cd201-antibody-epr26267-44-ab302911'>ab302911</a>) at 1/1000 dilution

Lane 1:

bEnd.3 (mouse brain endothelial cell) whole cell lysate at 20 µg

Lane 2:

B16-F10 (mouse skin melanoma cell) whole cell lysate at 20 µg

Lane 3:

Mouse lung tissue lysate at 20 µg

Lane 4:

Mouse brain tissue lysate at 20 µg

Secondary

All lanes:

Western blot - Goat Anti-Rabbit IgG H&L (HRP) (<a href='/en-us/products/secondary-antibodies/goat-rabbit-igg-h-l-hrp-ab97051'>ab97051</a>) at 1/50000 dilution

Observed band size: 45-55 kDa

false

Western blot - Anti-EPCR/CD201 antibody [EPR26267-44] - BSA and Azide free (AB302912)
  • WB

Lab

Western blot - Anti-EPCR/CD201 antibody [EPR26267-44] - BSA and Azide free (AB302912)

This data was developed using ab302911, the same antibody clone in a different buffer formulation.

Blocking and diluting buffer : 5% NFDM/TBST.

Low expression :  brain, testis (PMID : 10688825).

All lanes:

Western blot - Anti-EPCR/CD201 antibody [EPR26267-44] (<a href='/en-us/products/primary-antibodies/epcr-cd201-antibody-epr26267-44-ab302911'>ab302911</a>) at 1/1000 dilution

Lane 1:

Rat placenta tissue lysate

Lane 2:

Rat brain tissue lysate

Lane 3:

Rat testis tissue lysate

Secondary

All lanes:

Western blot - Goat Anti-Rabbit IgG H&L (HRP) (<a href='/en-us/products/secondary-antibodies/goat-rabbit-igg-h-l-hrp-ab97051'>ab97051</a>) at 1/50000 dilution

Observed band size: 45 kDa

false

Exposure time: 180s

Key facts

Host species

Rabbit

Clonality

Monoclonal

Clone number

EPR26267-44

Isotype

IgG

Carrier free

Yes

Reacts with

Mouse, Rat

Applications

WB, IHC-P

applications

Immunogen

The exact immunogen used to generate this antibody is proprietary information.

Reactivity data

{ "title": "Reactivity Data", "filters": { "stats": ["", "Species", "Dilution Info", "Notes"], "tabs": { "all-applications": {"fullname" : "All Applications", "shortname": "All Applications"}, "WB" : {"fullname" : "Western blot", "shortname":"WB"}, "IHCP" : {"fullname" : "Immunohistochemistry (Formalin/PFA-fixed paraffin-embedded sections)", "shortname":"IHC-P"}, "ICCIF" : {"fullname" : "Immunocytochemistry/ Immunofluorescence", "shortname":"ICC/IF"}, "FlowCyt" : {"fullname" : "Flow Cytometry", "shortname":"Flow Cyt"}, "IP" : {"fullname" : "Immunoprecipitation", "shortname":"IP"} }, "product-promise": { "all": "all", "testedAndGuaranteed": "tested", "guaranteed": "expected", "predicted": "predicted", "notRecommended": "not-recommended" } }, "values": { "Human": { "WB-species-checked": "notRecommended", "WB-species-dilution-info": "", "WB-species-notes": "<p></p>", "IHCP-species-checked": "notRecommended", "IHCP-species-dilution-info": "", "IHCP-species-notes": "<p></p>", "ICCIF-species-checked": "notRecommended", "ICCIF-species-dilution-info": "", "ICCIF-species-notes": "", "FlowCyt-species-checked": "notRecommended", "FlowCyt-species-dilution-info": "", "FlowCyt-species-notes": "", "IP-species-checked": "notRecommended", "IP-species-dilution-info": "", "IP-species-notes": "" }, "Mouse": { "WB-species-checked": "testedAndGuaranteed", "WB-species-dilution-info": "", "WB-species-notes": "<p></p>", "IHCP-species-checked": "testedAndGuaranteed", "IHCP-species-dilution-info": "", "IHCP-species-notes": "<p></p>", "ICCIF-species-checked": "notRecommended", "ICCIF-species-dilution-info": "", "ICCIF-species-notes": "<p></p>", "FlowCyt-species-checked": "notRecommended", "FlowCyt-species-dilution-info": "", "FlowCyt-species-notes": "<p></p>", "IP-species-checked": "notRecommended", "IP-species-dilution-info": "", "IP-species-notes": "<p></p>" }, "Rat": { "WB-species-checked": "testedAndGuaranteed", "WB-species-dilution-info": "", "WB-species-notes": "<p></p>", "IHCP-species-checked": "testedAndGuaranteed", "IHCP-species-dilution-info": "", "IHCP-species-notes": "<p></p>", "ICCIF-species-checked": "notRecommended", "ICCIF-species-dilution-info": "", "ICCIF-species-notes": "", "FlowCyt-species-checked": "notRecommended", "FlowCyt-species-dilution-info": "", "FlowCyt-species-notes": "", "IP-species-checked": "notRecommended", "IP-species-dilution-info": "", "IP-species-notes": "" } } }

Product details

Conjugation ready
Our carrier-free antibodies are typically supplied in a PBS-only formulation, purified and free of BSA, sodium azide and glycerol. This conjugation-ready format is designed for use with fluorochromes, metal isotopes, oligonucleotides, and enzymes, which makes them ideal for antibody labelling, functional and cell-based assays, flow-based assays (e.g. mass cytometry) and Multiplex Imaging applications.

Use our conjugation kits for antibody conjugates that are ready-to-use in as little as 20 minutes with 1 minute hands-on-time and 100% antibody recovery: available for fluorescent dyes, HRP, biotin and gold.

Compatibility
This product is compatible with the Maxpar® Antibody Labeling Kit from Fluidigm, without the need for antibody preparation. Maxpar® is a trademark of Fluidigm Canada Inc.

Patented technology
Our RabMAb® technology is a patented hybridoma-based technology for making rabbit monoclonal antibodies. For details on our patents, please refer to RabMAb® patents.

What are the advantages of a recombinant monoclonal antibody?
This product is a recombinant monoclonal antibody, which offers several advantages including:

  • - High batch-to-batch consistency and reproducibility
  • - Improved sensitivity and specificity
  • - Long-term security of supply
  • - Animal-free batch production

For more information, read more on recombinant antibodies.

Properties and storage information

Form
Liquid
Purification technique
Affinity purification Protein A
Storage buffer
pH: 7.2 - 7.4 Constituents: PBS
Shipped at conditions
Blue Ice
Appropriate short-term storage conditions
+4°C
Appropriate long-term storage conditions
+4°C
Storage information
Do Not Freeze

Supplementary information

This supplementary information is collated from multiple sources and compiled automatically.

EPCR also known as CD201 stands for Endothelial Protein C Receptor. It is a glycoprotein with a molecular mass of approximately 46 kDa. EPCR is expressed mainly on endothelial cells which line the interior surface of blood vessels. This receptor plays a mechanical role in binding to protein C a zymogen that is converted to activated protein C (APC) by thrombin-thrombomodulin complex. By facilitating the activation of protein C EPCR contributes to the regulation of blood coagulation and inflammation processes.
Biological function summary

The EPCR is part of the protein C anticoagulant pathway where it acts as a cofactor. EPCR is vital in enhancing the activation of protein C on the endothelial surface reducing coagulation activity. It interacts closely with thrombomodulin and protein C to form this complex preventing excessive thrombus formation and contributing to vascular integrity. Apart from its anticoagulant role EPCR also modulates inflammatory responses supporting its function as a bridge between coagulation and inflammation.

Pathways

EPCR lies within the protein C anticoagulation pathway and the endothelial signaling pathways. Its primary partner in the anticoagulation pathway is APC which degrades activated factors Va and VIIIa providing a check against coagulation. Additionally EPCR’s interaction with APC and thrombomodulin links this protein to the endothelial signaling pathway where it affects cell survival and inflammation regulation. This interaction is essential to maintain hemostatic balance and control vascular responses to inflammatory stimuli.

EPCR associates with conditions like thrombosis and sepsis. In thrombosis inadequate expression or function of EPCR can lead to uncontrolled blood clotting due to insufficient activation of protein C. Sepsis a severe inflammatory response to infection shows abnormal modulation of the protein C pathway where EPCR's role becomes pivotal. Additionally APC which interacts directly with EPCR is critical in the pathological states of these diseases highlighting the therapeutic potential in targeting EPCR pathway.

Product protocols

For this product, it's our understanding that no specific protocols are required. You can visit:

Target data

Binds activated protein C. Enhances protein C activation by the thrombin-thrombomodulin complex; plays a role in the protein C pathway controlling blood coagulation.
See full target information Procr

Product promise

We are committed to supporting your work with high-quality reagents, and we're here for you every step of the way. In the unlikely event that one of our products does not perform as expected, you're protected by our Product Promise.
For full details, please see our Terms & Conditions

Please note: All products are 'FOR RESEARCH USE ONLY. NOT FOR USE IN DIAGNOSTIC OR THERAPEUTIC PROCEDURES'.

For licensing inquiries, please contact partnerships@abcam.com