JavaScript is disabled in your browser. Please enable JavaScript to view this website.
AB197932

Anti-EPDR1 antibody - C-terminal

Be the first to review this product! Submit a review

|

(4 Publications)

Rabbit Polyclonal EPDR1 antibody. C-terminal. Suitable for WB, IHC-P and reacts with Mouse, Human samples. Cited in 4 publications. Immunogen corresponding to Fusion protein corresponding to EPDR1, fused to EPDR1.

View Alternative Names

MERP1, UCC1, EPDR1, Mammalian ependymin-related protein 1, MERP-1, Upregulated in colorectal cancer gene 1 protein

2 Images
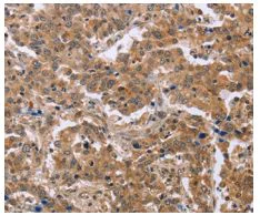
Immunohistochemistry (Formalin/PFA-fixed paraffin-embedded sections) - Anti-EPDR1 antibody - C-terminal (AB197932)
  • IHC-P

Supplier Data

Immunohistochemistry (Formalin/PFA-fixed paraffin-embedded sections) - Anti-EPDR1 antibody - C-terminal (AB197932)

Immunohistochemical analysis of paraffin-embedded Human liver cancer tissue labeling EPDR1 with ab197932 at 1/40 dilution.

Western blot - Anti-EPDR1 antibody - C-terminal (AB197932)
  • WB

Supplier Data

Western blot - Anti-EPDR1 antibody - C-terminal (AB197932)

8% SDS-PAGE

All lanes:

Western blot - Anti-EPDR1 antibody - C-terminal (ab197932) at 1/850 dilution

Lane 1:

Mouse brain tissue lysate at 40 µg

Lane 2:

Human fetal muscle tissue lysate at 40 µg

Predicted band size: 25 kDa

true

Exposure time: 20s

Key facts

Host species

Rabbit

Clonality

Polyclonal

Isotype

IgG

Carrier free

No

Reacts with

Mouse, Human

Applications

WB, IHC-P

applications

Immunogen

Fusion protein corresponding to EPDR1, fused to EPDR1. The exact immunogen used to generate this antibody is proprietary information.

Q9UM22

Reactivity data

{ "title": "Reactivity Data", "filters": { "stats": ["", "Species", "Dilution Info", "Notes"], "tabs": { "all-applications": {"fullname" : "All Applications", "shortname": "All Applications"}, "WB" : {"fullname" : "Western blot", "shortname":"WB"}, "IHCP" : {"fullname" : "Immunohistochemistry (Formalin/PFA-fixed paraffin-embedded sections)", "shortname":"IHC-P"} }, "product-promise": { "all": "all", "testedAndGuaranteed": "tested", "guaranteed": "expected", "predicted": "predicted", "notRecommended": "not-recommended" } }, "values": { "Human": { "WB-species-checked": "testedAndGuaranteed", "WB-species-dilution-info": "1/500 - 1/2000", "WB-species-notes": "<p></p>", "IHCP-species-checked": "testedAndGuaranteed", "IHCP-species-dilution-info": "1/40 - 1/200", "IHCP-species-notes": "<p></p>" }, "Mouse": { "WB-species-checked": "testedAndGuaranteed", "WB-species-dilution-info": "1/500 - 1/2000", "WB-species-notes": "<p></p>", "IHCP-species-checked": "guaranteed", "IHCP-species-dilution-info": "", "IHCP-species-notes": "" }, "Rat": { "WB-species-checked": "predicted", "WB-species-dilution-info": "", "WB-species-notes": "", "IHCP-species-checked": "predicted", "IHCP-species-dilution-info": "", "IHCP-species-notes": "" } } }

Properties and storage information

Form
Liquid
Purification technique
Affinity purification Immunogen
Storage buffer
pH: 7.4 Preservative: 0.05% Sodium azide Constituents: PBS, 50% Glycerol (glycerin, glycerine)
Shipped at conditions
Blue Ice
Appropriate short-term storage duration
1-2 weeks
Appropriate short-term storage conditions
+4°C
Appropriate long-term storage conditions
-20°C
Aliquoting information
Upon delivery aliquot
Storage information
Avoid freeze / thaw cycle

Supplementary information

This supplementary information is collated from multiple sources and compiled automatically.

EPDR1 also known as Ependymin-Related 1 is a protein involved in cellular adhesion and signaling. It has an approximate molecular mass of 55 kDa. EPDR1 is expressed in various tissues with significant levels found in the brain and also in some cancerous tissues. The protein plays a role in cellular interaction by mediating cell-cell and cell-matrix adhesion contributing to cellular cohesion and integrity.
Biological function summary

EPDR1 functions in processes of cell adhesion and immune response modulation. It may form complexes with other proteins that help regulate the structural organization of cells within tissue matrices. This modulation is essential for the repair and maintenance of tissue architecture actively influencing how cells respond to environmental changes.

Pathways

EPDR1 is significant in the ECM-receptor interaction pathway and plays a role in cell communication pathways. It interacts with other proteins like integrins which are important in mediating outside-in signaling processes. This interaction facilitates various downstream signaling events that are necessary for maintaining cell and tissue structure.

EPDR1 has been associated with cancer and neurodegenerative diseases. It may influence cancer progression through its impact on cell adhesion potentially affecting metastasis by altering cell motility and detachment. In neurological contexts the relationship with neurodegenerative diseases links to proteins like amyloid-beta where modulation by EPDR1 can affect disease progression by influencing cellular adhesion properties in neural tissues.

Product protocols

For this product, it's our understanding that no specific protocols are required. You can visit:

Target data

Binds anionic lipids and gangliosides at acidic pH.
See full target information EPDR1

Publications (4)

Recent publications for all applications. Explore the full list and refine your search

Aging cell 21:e13707 PubMed36087066

2022

The lysosomal proteome of senescent cells contributes to the senescence secretome.

Applications

Unspecified application

Species

Unspecified reactive species

Miguel Rovira,Rebecca Sereda,David Pladevall-Morera,Valentina Ramponi,Ines Marin,Mate Maus,Julio Madrigal-Matute,Antonio Díaz,Fernando García,Javier Muñoz,Ana María Cuervo,Manuel Serrano

JBMR plus 5:e10531 PubMed34532616

2021

CRISPR-Cas9-Mediated Genome Editing Confirms as an Effector Gene at the BMD GWAS-Implicated '' Locus.

Applications

Unspecified application

Species

Unspecified reactive species

James A Pippin,Alessandra Chesi,Yadav Wagley,Chun Su,Matthew C Pahl,Kenyaita M Hodge,Matthew E Johnson,Andrew D Wells,Kurt D Hankenson,Struan F A Grant

Scientific reports 10:3723 PubMed32111877

2020

EPDR1 up-regulation in human colorectal cancer is related to staging and favours cell proliferation and invasiveness.

Applications

Unspecified application

Species

Unspecified reactive species

F Gimeno-Valiente,Á L Riffo-Campos,G Ayala,N Tarazona,V Gambardella,F M Rodríguez,M Huerta,C Martínez-Ciarpaglini,J Montón-Bueno,S Roselló,D Roda,A Cervantes,L Franco,G López-Rodas,J Castillo

Nature communications 10:1260 PubMed30890710

2019

Genome-scale Capture C promoter interactions implicate effector genes at GWAS loci for bone mineral density.

Applications

Unspecified application

Species

Unspecified reactive species

Alessandra Chesi,Yadav Wagley,Matthew E Johnson,Elisabetta Manduchi,Chun Su,Sumei Lu,Michelle E Leonard,Kenyaita M Hodge,James A Pippin,Kurt D Hankenson,Andrew D Wells,Struan F A Grant
View all publications

Product promise

We are committed to supporting your work with high-quality reagents, and we're here for you every step of the way. In the unlikely event that one of our products does not perform as expected, you're protected by our Product Promise.
For full details, please see our Terms & Conditions

Please note: All products are 'FOR RESEARCH USE ONLY. NOT FOR USE IN DIAGNOSTIC OR THERAPEUTIC PROCEDURES'.

For licensing inquiries, please contact partnerships@abcam.com