JavaScript is disabled in your browser. Please enable JavaScript to view this website.
AB273118

Anti-Eph receptor A2 antibody [EPR24711-11]

  • 20ul selling size
  • RabMAb
  • Recombinant
  • KO Validated
  • What is this?

Be the first to review this product! Submit a review

|

(2 Publications)

Rabbit Recombinant Monoclonal Eph receptor A2 antibody. Suitable for WB and reacts with Human samples. Cited in 2 publications.

View Alternative Names

ECK, EPHA2, Ephrin type-A receptor 2, Epithelial cell kinase, Tyrosine-protein kinase receptor ECK

2 Images
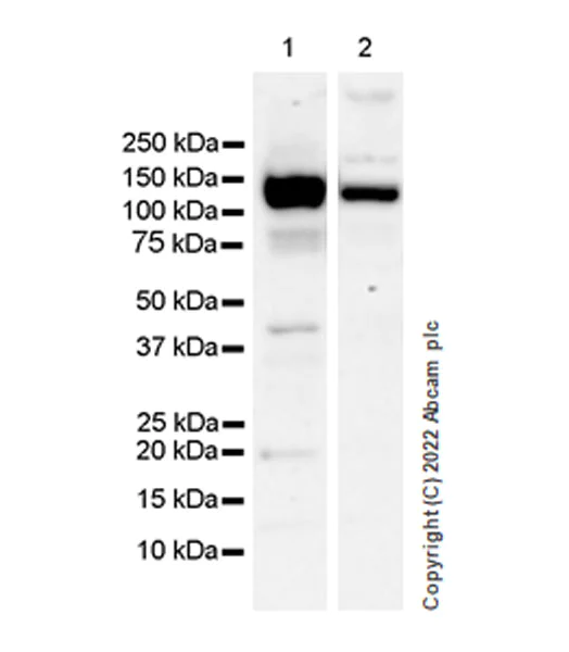
Western blot - Anti-Eph receptor A2 antibody [EPR24711-11] (AB273118)
  • WB

Lab

Western blot - Anti-Eph receptor A2 antibody [EPR24711-11] (AB273118)

Blocking / Diluent buffer and concentration : 5% NFDM/TBST

All lanes:

Western blot - Anti-Eph receptor A2 antibody [EPR24711-11] (ab273118) at 1/1000 dilution

Lane 1:

U-87 MG (human glioblastoma-astrocytoma epithelial cell) whole cell lysate at 20 µg

Lane 2:

K-562 (human chronic myelogenous leukemia lymphoblast) whole cell lysate at 20 µg

Secondary

All lanes:

Western blot - Goat Anti-Rabbit IgG H&L (HRP) (<a href='/en-us/products/secondary-antibodies/goat-rabbit-igg-h-l-hrp-ab97051'>ab97051</a>) at 1/20000 dilution

Predicted band size: 108 kDa

Observed band size: 130 kDa

false

Exposure time: 81s

Western blot - Anti-Eph receptor A2 antibody [EPR24711-11] (AB273118)
  • WB

Lab

Western blot - Anti-Eph receptor A2 antibody [EPR24711-11] (AB273118)

Blocking / Diluent buffer and concentration : Intercept® (TBS) Blocking Buffer diluted with an equal volume of 0.1% TBS

Lanes 1-4 : Merged signal (red and green). Green - ab273118 observed at 130 kDa. Red - loading control ab8245 observed at 36 kDa.

ab273118 Anti-Ephrin type-A receptor 2 antibody [EPR24711-11] was shown to specifically react with Ephrin type-A receptor 2 in wild-type HeLa cells. Loss of signal was observed when knockout cell line (ab264795) was used. Wild-type and Ephrin type-A receptor 2 knockout samples were subjected to SDS-PAGE. ab273118 and Anti-GAPDH antibody [6C5] - Loading Control (ab8245) were incubated at 4℃ overnight at 1 in 1000 dilution and 1 in 20000 dilution respectively. Blots were developed with Goat anti-Rabbit IgG H&L (IRDye® 800CW) preadsorbed (ab216773) and Goat anti-Mouse IgG H&L (IRDye® 680RD) preadsorbed (ab216776) secondary antibodies at 1 in 10000 dilution for 1 hour at room temperature before imaging.

All lanes:

Western blot - Anti-Eph receptor A2 antibody [EPR24711-11] (ab273118) at 1/1000 dilution

Lane 1:

Wild-type HeLa (human cervix adenocarcinoma epithelial cell) whole cell lysate. at 20 µg

Lane 2:

Ephrin type-A receptor 2 knockout HeLa (<a href='/en-us/products/cell-lines/human-epha2-eph-receptor-a2-knockout-hela-cell-line-ab264795'>ab264795</a>) whole cell lysate. at 20 µg

Lane 3:

PC-3 (human prostate adenocarcinoma epithelial cell) whole cell lysate. at 20 µg

Lane 4:

A549 (human lung carcinoma epithelial cell) whole cell lysate. at 20 µg

Secondary

All lanes:

Goat Anti-Rabbit IgG H&L (IRDye® 800CW) (<a href='/en-us/products/secondary-antibodies/goat-rabbit-igg-h-l-irdye-800cw-preadsorbed-ab216773'>ab216773</a>) and Goat Anti-Mouse IgG H&L (IRDye® 680RD) (<a href='/en-us/products/secondary-antibodies/goat-mouse-igg-h-l-irdye-680rd-preadsorbed-ab216776'>ab216776</a>) at 1/10000 dilution

Predicted band size: 108 kDa

Observed band size: 130 kDa

false

Exposure time: 81s

  • Carrier free

    Anti-Eph receptor A2 antibody [EPR24711-11] - BSA and Azide free

Key facts

Host species

Rabbit

Clonality

Monoclonal

Clone number

EPR24711-11

Isotype

IgG

Carrier free

No

Reacts with

Human

Applications

WB

applications

Immunogen

The exact immunogen used to generate this antibody is proprietary information.

Reactivity data

{ "title": "Reactivity Data", "filters": { "stats": ["", "Species", "Dilution Info", "Notes"], "tabs": { "all-applications": {"fullname" : "All Applications", "shortname": "All Applications"}, "WB" : {"fullname" : "Western blot", "shortname":"WB"}, "FlowCyt" : {"fullname" : "Flow Cytometry", "shortname":"Flow Cyt"}, "IP" : {"fullname" : "Immunoprecipitation", "shortname":"IP"}, "ICCIF" : {"fullname" : "Immunocytochemistry/ Immunofluorescence", "shortname":"ICC/IF"}, "IHCP" : {"fullname" : "Immunohistochemistry (Formalin/PFA-fixed paraffin-embedded sections)", "shortname":"IHC-P"} }, "product-promise": { "all": "all", "testedAndGuaranteed": "tested", "guaranteed": "expected", "predicted": "predicted", "notRecommended": "not-recommended" } }, "values": { "Human": { "WB-species-checked": "testedAndGuaranteed", "WB-species-dilution-info": "1/1000", "WB-species-notes": "<p></p>", "FlowCyt-species-checked": "notRecommended", "FlowCyt-species-dilution-info": "", "FlowCyt-species-notes": "<p></p>", "IP-species-checked": "notRecommended", "IP-species-dilution-info": "", "IP-species-notes": "<p></p>", "ICCIF-species-checked": "notRecommended", "ICCIF-species-dilution-info": "", "ICCIF-species-notes": "<p></p>", "IHCP-species-checked": "notRecommended", "IHCP-species-dilution-info": "", "IHCP-species-notes": "<p></p>" }, "Mouse": { "WB-species-checked": "notRecommended", "WB-species-dilution-info": "1/1000", "WB-species-notes": "<p></p>", "FlowCyt-species-checked": "notRecommended", "FlowCyt-species-dilution-info": "", "FlowCyt-species-notes": "<p></p>", "IP-species-checked": "notRecommended", "IP-species-dilution-info": "", "IP-species-notes": "<p></p>", "ICCIF-species-checked": "notRecommended", "ICCIF-species-dilution-info": "", "ICCIF-species-notes": "<p></p>", "IHCP-species-checked": "notRecommended", "IHCP-species-dilution-info": "", "IHCP-species-notes": "<p></p>" }, "Rat": { "WB-species-checked": "notRecommended", "WB-species-dilution-info": "1/1000", "WB-species-notes": "<p></p>", "FlowCyt-species-checked": "notRecommended", "FlowCyt-species-dilution-info": "", "FlowCyt-species-notes": "", "IP-species-checked": "notRecommended", "IP-species-dilution-info": "", "IP-species-notes": "", "ICCIF-species-checked": "notRecommended", "ICCIF-species-dilution-info": "", "ICCIF-species-notes": "", "IHCP-species-checked": "notRecommended", "IHCP-species-dilution-info": "", "IHCP-species-notes": "<p></p>" } } }

Product details

Patented technology
Our RabMAb® technology is a patented hybridoma-based technology for making rabbit monoclonal antibodies. For details on our patents, please refer to RabMAb® patents.

What are the advantages of a recombinant monoclonal antibody?
This product is a recombinant monoclonal antibody, which offers several advantages including:

  • - High batch-to-batch consistency and reproducibility
  • - Improved sensitivity and specificity
  • - Long-term security of supply
  • - Animal-free batch production

For more information, read more on recombinant antibodies.

Properties and storage information

Form
Liquid
Purification technique
Affinity purification Protein A
Storage buffer
pH: 7.2 - 7.4 Preservative: 0.01% Sodium azide Constituents: PBS, 40% Glycerol (glycerin, glycerine), 0.05% BSA
Shipped at conditions
Blue Ice
Appropriate short-term storage duration
1-2 weeks
Appropriate short-term storage conditions
+4°C
Appropriate long-term storage conditions
-20°C
Aliquoting information
Upon delivery aliquot
Storage information
Avoid freeze / thaw cycle

Supplementary information

This supplementary information is collated from multiple sources and compiled automatically.

Eph receptor A2 also known as EphA2 or A2 receptor is a type of protein that functions as a receptor tyrosine kinase. It has an approximate mass of 130 kDa. Researchers find this receptor widely expressed in various tissues including epithelial cells and some neuronal populations. EphA2 is involved in cell positioning movement and organization by interacting with ephrin ligands notably ephrin A1. The receptor-ligand interaction triggers bidirectional signaling that affects cell structure and function.
Biological function summary

Eph receptor A2 participates in important cellular processes such as angiogenesis cell proliferation and migration. It often functions as part of larger signaling networks or complexes that include other Eph receptors and ephrin ligands. These interactions help regulate cell adhesion and detachment which are important for embryonic development and tissue organization. EphA2 studies often use fluorescent labeling strategies such as Alexa 588 to track its expression and activity in cells.

Pathways

Eph receptor A2 integrates into the PI3K/AKT and MAPK signaling pathways which are important for cell survival growth and differentiation. It interacts with proteins like Ras and ERK within these pathways to modulate their functions. EphA2 signaling influences cytoskeletal dynamics and morphogenesis making it an important component in maintaining tissue architecture. Research also indicates a connection between EphA2 and the APC protein highlighting its role in the Wnt signaling pathway.

The Eph receptor A2 shows significant involvement in cancer and inflammatory conditions. Overexpression or dysregulation of EphA2 occurs frequently in various cancers including breast and prostate cancer correlating with increased tumor aggressiveness and metastasis. The receptor also interacts with other proteins such as APC which links to tumorigenesis and cancer progression. In immunology EphA2 plays a part in chronic inflammatory diseases by modulating immune cell migration and vascular inflammation. Understanding these connections provides insights for potential therapeutic targets using molecular interventions like A2 antibodies and APC-based strategies.

Product protocols

For this product, it's our understanding that no specific protocols are required. You can visit:

Target data

Receptor tyrosine kinase which binds promiscuously membrane-bound ephrin-A family ligands residing on adjacent cells, leading to contact-dependent bidirectional signaling into neighboring cells. The signaling pathway downstream of the receptor is referred to as forward signaling while the signaling pathway downstream of the ephrin ligand is referred to as reverse signaling. Activated by the ligand ephrin-A1/EFNA1 regulates migration, integrin-mediated adhesion, proliferation and differentiation of cells. Regulates cell adhesion and differentiation through DSG1/desmoglein-1 and inhibition of the ERK1/ERK2 (MAPK3/MAPK1, respectively) signaling pathway. May also participate in UV radiation-induced apoptosis and have a ligand-independent stimulatory effect on chemotactic cell migration. During development, may function in distinctive aspects of pattern formation and subsequently in development of several fetal tissues. Involved for instance in angiogenesis, in early hindbrain development and epithelial proliferation and branching morphogenesis during mammary gland development. Engaged by the ligand ephrin-A5/EFNA5 may regulate lens fiber cells shape and interactions and be important for lens transparency development and maintenance. With ephrin-A2/EFNA2 may play a role in bone remodeling through regulation of osteoclastogenesis and osteoblastogenesis.. (Microbial infection) Acts as a receptor for hepatitis C virus (HCV) in hepatocytes and facilitates its cell entry. Mediates HCV entry by promoting the formation of the CD81-CLDN1 receptor complexes that are essential for HCV entry and by enhancing membrane fusion of cells expressing HCV envelope glycoproteins.. Acts as a receptor for human cytomegalovirus (HCMV) to mediate viral entry and fusion in glioblastoma cells.
See full target information EPHA2

Publications (2)

Recent publications for all applications. Explore the full list and refine your search

World journal of surgical oncology 21:371 PubMed38008720

2023

LINC02086 promotes cell viability and inhibits cell apoptosis in breast cancer by sponging miR-6757-5p and up-regulating EPHA2.

Applications

Unspecified application

Species

Unspecified reactive species

Xue Han,Fan Shi,Shujun Guo,Yao Li,Hongtao Wang,Chuanwang Song,Shiwu Wu

Discover. Oncology 14:64 PubMed37160815

2023

Targeting EFNA1 suppresses tumor progression via the cMYC-modulated cell cycle and autophagy in esophageal squamous cell carcinoma.

Applications

Unspecified application

Species

Unspecified reactive species

Houxiang Jiang,Shaoxiang Wang,Ying Liu,Chaopan Zheng,Lipeng Chen,Kai Zheng,Zhenyu Xu,Yong Dai,Hongtao Jin,Zhiqiang Cheng,Chang Zou,Li Fu,Kaisheng Liu,Xiaoshi Ma
View all publications

Product promise

We are committed to supporting your work with high-quality reagents, and we're here for you every step of the way. In the unlikely event that one of our products does not perform as expected, you're protected by our Product Promise.
For full details, please see our Terms & Conditions

Please note: All products are 'FOR RESEARCH USE ONLY. NOT FOR USE IN DIAGNOSTIC OR THERAPEUTIC PROCEDURES'.

For licensing inquiries, please contact partnerships@abcam.com