JavaScript is disabled in your browser. Please enable JavaScript to view this website.
AB324353

Anti-Eph receptor A4/SEK antibody [EPR30307-560]

  • BOND RX™ Validated
  • RabMAb
  • Recombinant
  • 20ul selling size
  • What is this?

Be the first to review this product! Submit a review

|

(0 Publication)

Rabbit Recombinant Monoclonal Eph receptor A4/SEK antibody. Suitable for I-ELISA, IHC-Fr, ICC/IF, IHC-P, WB and reacts with Recombinant full length protein - Mouse, Mouse, Rat, Human samples.

View Alternative Names

Sek, Sek1, Epha4, Ephrin type-A receptor 4, Tyrosine-protein kinase receptor MPK-3, Tyrosine-protein kinase receptor SEK-1

21 Images
Immunocytochemistry/ Immunofluorescence - Anti-Eph receptor A4/SEK antibody [EPR30307-560] (AB324353)
  • ICC/IF

Supplier Data

Immunocytochemistry/ Immunofluorescence - Anti-Eph receptor A4/SEK antibody [EPR30307-560] (AB324353)

Immunofluorescent analysis of 4% Paraformaldehyde-fixed, 0.1% TritonX-100 permeabilized A-172 (human brain glioblastoma cell) cells labelling Eph receptor A4/SEK with ab324353 at 1/500 (1.024 ug/ml) dilution, followed by ab150081 Goat Anti-Rabbit IgG H&L (Alexa Fluor® 488) preadsorbed antibody at 1/1000 (2ug/ml) dilution (Green).

Confocal image showing cytoplasmic staining in A-172 cells (shown in green). The counterstain was observed in magenta, Nuclear DNA was labelled with DAPI (shown in blue). Image was taken with a confocal microscope (Leica-Microsystems, TCS SP8).

ab7291 Anti-alpha Tubulin mouse monoclonal antibody was used to counterstain tubulin at 1/1000 (1ug/ml) dilution (Magenta). The Nuclear counterstain was DAPI (Blue).

-ve control 1 : ab324353 at 1/500 dilution, followed by ab150120 Goat Anti-Mouse IgG H&L (Alexa Fluor® 594) antibody at 1/1000 dilution.
-ve control 2 : ab7291 at 1/1000 dilution, followed by ab150081 Goat Anti-Rabbit IgG H&L (Alexa Fluor® 488) preadsorbed antibody at 1/1000 dilution.

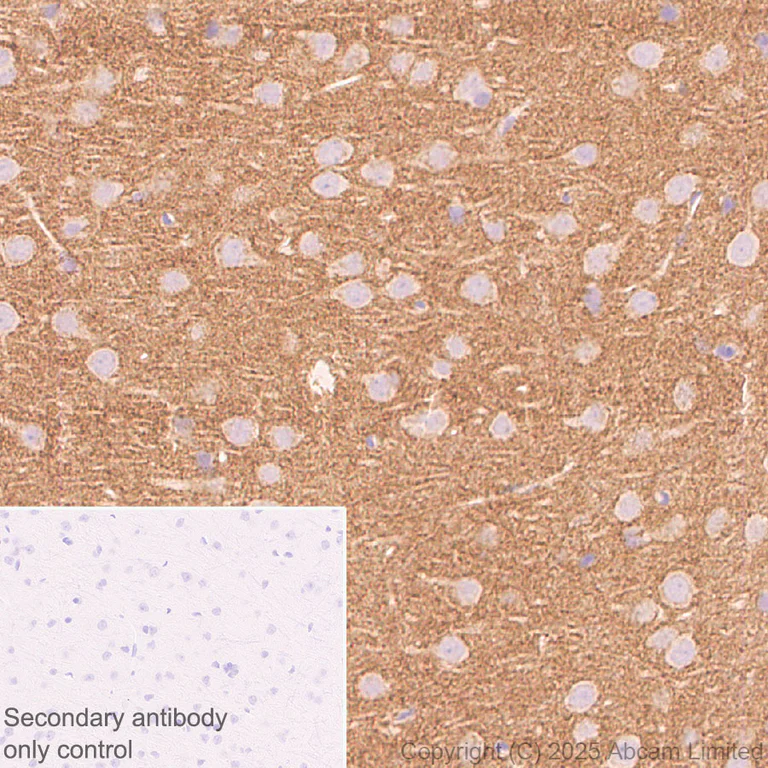
Immunohistochemistry (Formalin/PFA-fixed paraffin-embedded sections) - Anti-Eph receptor A4/SEK antibody [EPR30307-560] (AB324353)
  • IHC-P

Supplier Data

Immunohistochemistry (Formalin/PFA-fixed paraffin-embedded sections) - Anti-Eph receptor A4/SEK antibody [EPR30307-560] (AB324353)

Immunohistochemical analysis of paraffin-embedded Human cerebrum tissue labeling Eph receptor A4/SEK with ab324353 at 1/1000 (0.512 ug/ml) dilution, followed by a ready to use LeicaDS9800 (Bond™ Polymer Refine Detection).

Positive staining on human cerebrum. The primary antibody was incubated for 30 mins at room temperature.
The immunostaining was performed on a Leica Biosystems BOND® RX instrument

Counterstained with Hematoxylin.

Secondary antibody only control : Secondary antibody is a ready to use LeicaDS9800 (Bond™ Polymer Refine Detection).

Heat mediated antigen retrieval was performed with Tris-EDTA buffer (pH 9.0, Epitope Retrieval Solution2) for 20 mins

Immunocytochemistry/ Immunofluorescence - Anti-Eph receptor A4/SEK antibody [EPR30307-560] (AB324353)
  • ICC/IF

Supplier Data

Immunocytochemistry/ Immunofluorescence - Anti-Eph receptor A4/SEK antibody [EPR30307-560] (AB324353)

Immunofluorescent analysis of 4% Paraformaldehyde-fixed, 0.1% TritonX-100 permeabilized mouse splenocyte cells labelling Eph receptor A4/SEK with ab324353 at 1/500 (1.024 ug/ml) dilution, followed by ab150081 Goat Anti-Rabbit IgG H&L (Alexa Fluor® 488) preadsorbed antibody ab150081 at 1/1000 (2ug/ml) dilution (Green).

Negative control : Confocal image showing no staining in mouse splenocytes (shown in green). The counterstain was observed in magenta, Nuclear DNA was labelled with DAPI (shown in blue). Image was taken with a confocal microscope (Leica-Microsystems, TCS SP8).

ab7291 Anti-alpha Tubulin mouse monoclonal antibody was used to counterstain tubulin at 1/ab7291 1000 1ug/ml dilution (Magenta). The Nuclear counterstain was DAPI (Blue).

-ve control 1 : ab324353 at 1/500 dilution, followed by ab150120 Goat Anti-Mouse IgG H&L (Alexa Fluor® 594) antibody at 1/1000 dilution.
-ve control 2 : ab11267 at 1/500 dilution, followed by ab150081 Goat Anti-Rabbit IgG H&L (Alexa Fluor® 488) preadsorbed antibody at 1/1000 dilution.

Immunocytochemistry/ Immunofluorescence - Anti-Eph receptor A4/SEK antibody [EPR30307-560] (AB324353)
  • ICC/IF

Supplier Data

Immunocytochemistry/ Immunofluorescence - Anti-Eph receptor A4/SEK antibody [EPR30307-560] (AB324353)

Immunofluorescent analysis of 4% Paraformaldehyde-fixed, 0.1% TritonX-100 permeabilized rat splenocyte cells labelling Eph receptor A4/SEK with ab324353 at 1/500 (1.024 ug/ml) dilution, followed by ab150081 Goat Anti-Rabbit IgG H&L (Alexa Fluor® 488) preadsorbed antibody at 1/1000 dilution (2ug/ml) (Green).

Negative control : Confocal image showing no staining in rat splenocytes (shown in green). The counterstain was observed in magenta, Nuclear DNA was labelled with DAPI (shown in blue). Image was taken with a confocal microscope (Leica-Microsystems, TCS SP8).

ab7291 Anti-alpha Tubulin mouse monoclonal antibody was used to counterstain tubulin at 1/1000 dilution (1ug/ml) (Magenta). The Nuclear counterstain was DAPI (Blue).

-ve control 1 : ab324353 at 1/500 dilution, followed by ab150120 Goat Anti-Mouse IgG H&L (Alexa Fluor® 594) antibody at 1/1000 dilution.
-ve control 2 : ab11267 at 1/500 dilution, followed by ab150081 Goat Anti-Rabbit IgG H&L (Alexa Fluor® 488) preadsorbed antibody at 1/1000 dilution.

Immunohistochemistry (Frozen sections) - Anti-Eph receptor A4/SEK antibody [EPR30307-560] (AB324353)
  • IHC-Fr

Supplier Data

Immunohistochemistry (Frozen sections) - Anti-Eph receptor A4/SEK antibody [EPR30307-560] (AB324353)

Immunohistochemical analysis of 4% PFA-fixed, 0.2% Triton X-100 permeabilized frozen Mouse spleen (fresh frozen) tissue labeling Eph receptor A4/SEK with ab324353 at 1/200 (2.56 ug/ml) dilution followed by ab150081 Goat Anti-Rabbit IgG H&L (Alexa Fluor® 488) preadsorbed at 1/1000 2 ug/mL dilution (Green).

Negative control : confocal image showing no staining on mouse spleen. The nuclear counterstain was DAPI (Blue). The section was incubated with ab324353 for 60 mins at room temperature. The section was then mounted using Fluoromount®.The immunostaining was performed on a Leica Biosystems BOND® RX instrument. Image was taken with a confocal microscope (Leica-Microsystems, TCS SP8).

Secondary antibody control : Secondary antibody is ab150081 Goat Anti-Rabbit IgG H&L (Alexa Fluor® 488) preadsorbedat 1/1000 2 ug/mL dilution.

Immunohistochemistry (Frozen sections) - Anti-Eph receptor A4/SEK antibody [EPR30307-560] (AB324353)
  • IHC-Fr

Supplier Data

Immunohistochemistry (Frozen sections) - Anti-Eph receptor A4/SEK antibody [EPR30307-560] (AB324353)

Immunohistochemical analysis of 4% PFA-fixed, 0.2% Triton X-100 permeabilized frozen Rat spleen (fresh frozen) tissue labeling Eph receptor A4/SEK with ab324353 at 1/200 (2.56 ug/ml) dilution followed by ab150081 Goat Anti-Rabbit IgG H&L (Alexa Fluor® 488) preadsorbed at 1/1000 2 ug/mL dilution (Green).

Negative control : confocal image showing no staining on rat spleen. The nuclear counterstain was DAPI (Blue). The section was incubated with ab324353 for 60 mins at room temperature. The section was then mounted using Fluoromount®.The immunostaining was performed on a Leica Biosystems BOND® RX instrument. Image was taken with a confocal microscope (Leica-Microsystems, TCS SP8).

Secondary antibody control : Secondary antibody is ab150081 Goat Anti-Rabbit IgG H&L (Alexa Fluor® 488) preadsorbedat 1/1000 2 ug/mL dilution.

Immunohistochemistry (Formalin/PFA-fixed paraffin-embedded sections) - Anti-Eph receptor A4/SEK antibody [EPR30307-560] (AB324353)
  • IHC-P

Supplier Data

Immunohistochemistry (Formalin/PFA-fixed paraffin-embedded sections) - Anti-Eph receptor A4/SEK antibody [EPR30307-560] (AB324353)

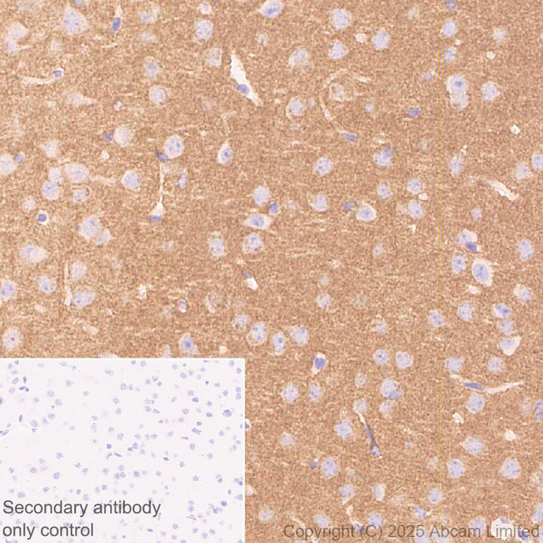
Immunohistochemical analysis of paraffin-embedded Mouse hippocampus tissue labeling Eph receptor A4/SEK with ab324353 at 1/2000 (0.256 ug/ml) dilution, followed by a ready to use LeicaDS9800 (Bond™ Polymer Refine Detection).

Positive staining on mouse hippocampus. The primary antibody was incubated for 30 mins at room temperature.
The immunostaining was performed on a Leica Biosystems BOND® RX instrument

Counterstained with Hematoxylin.

Secondary antibody only control : Secondary antibody is a ready to use LeicaDS9800 (Bond™ Polymer Refine Detection).

Heat mediated antigen retrieval was performed with Tris-EDTA buffer (pH 9.0, Epitope Retrieval Solution2) for 20 mins

Immunohistochemistry (Formalin/PFA-fixed paraffin-embedded sections) - Anti-Eph receptor A4/SEK antibody [EPR30307-560] (AB324353)
  • IHC-P

Supplier Data

Immunohistochemistry (Formalin/PFA-fixed paraffin-embedded sections) - Anti-Eph receptor A4/SEK antibody [EPR30307-560] (AB324353)

Immunohistochemical analysis of paraffin-embedded Mouse cerebrum tissue labeling Eph receptor A4/SEK with ab324353 at 1/2000 (0.256 ug/ml) dilution, followed by a ready to use LeicaDS9800 (Bond™ Polymer Refine Detection).

Positive staining on mouse cerebrum. The primary antibody was incubated for 30 mins at room temperature.
The immunostaining was performed on a Leica Biosystems BOND® RX instrument

Counterstained with Hematoxylin.

Secondary antibody only control : Secondary antibody is a ready to use LeicaDS9800 (Bond™ Polymer Refine Detection).

Heat mediated antigen retrieval was performed with Tris-EDTA buffer (pH 9.0, Epitope Retrieval Solution2) for 20 mins

Immunocytochemistry/ Immunofluorescence - Anti-Eph receptor A4/SEK antibody [EPR30307-560] (AB324353)
  • ICC/IF

Supplier Data

Immunocytochemistry/ Immunofluorescence - Anti-Eph receptor A4/SEK antibody [EPR30307-560] (AB324353)

Immunofluorescent analysis of 4% Paraformaldehyde-fixed, 0.1% TritonX-100 permeabilized mouse primary neural/glia cell cells labelling Eph receptor A4/SEK with ab324353 at 1/500 (1.024 ug/ml) dilution, followed by ab150081 Goat Anti-Rabbit IgG H&L (Alexa Fluor® 488) preadsorbed antibody at 1/1000 (2ug/ml) dilution (Green).

Confocal image showing cytoplasmic staining in mouse primary neural/glia cell (shown in green). The counterstain was observed in magenta, Nuclear DNA was labelled with DAPI (shown in blue). Confocal scanning Z step was set as 0.3 um followed by image processing with maximum Z projection. Image was taken with a confocal microscope (Leica-Microsystems, TCS SP8).

ab11267 Anti-MAP2 mouse monoclonal antibody was used to counterstain tubulin at 1/500 (4ug/ml) dilution (Magenta). The Nuclear counterstain was DAPI (Blue).

-ve control 1 : ab324353 at 1/500 dilution, followed by ab150120 Goat Anti-Mouse IgG H&L (Alexa Fluor® 594) antibody at 1/1000 dilution.
-ve control 2 : ab11267 at 1/500 dilution, followed by ab150081 Goat Anti-Rabbit IgG H&L (Alexa Fluor® 488) preadsorbed antibody at 1/1000 dilution.

Immunohistochemistry (Formalin/PFA-fixed paraffin-embedded sections) - Anti-Eph receptor A4/SEK antibody [EPR30307-560] (AB324353)
  • IHC-P

Supplier Data

Immunohistochemistry (Formalin/PFA-fixed paraffin-embedded sections) - Anti-Eph receptor A4/SEK antibody [EPR30307-560] (AB324353)

Immunohistochemical analysis of paraffin-embedded Rat cerebrum tissue labeling Eph receptor A4/SEK with ab324353 at 1/2000 (0.256 ug/ml) dilution, followed by a ready to use LeicaDS9800 (Bond™ Polymer Refine Detection).

Positive staining on rat cerebrum. The primary antibody was incubated for 30 mins at room temperature.
The immunostaining was performed on a Leica Biosystems BOND® RX instrument

Counterstained with Hematoxylin.

Secondary antibody only control : Secondary antibody is a ready to use LeicaDS9800 (Bond™ Polymer Refine Detection).

Heat mediated antigen retrieval was performed with Tris-EDTA buffer (pH 9.0, Epitope Retrieval Solution2) for 20 mins

Immunocytochemistry/ Immunofluorescence - Anti-Eph receptor A4/SEK antibody [EPR30307-560] (AB324353)
  • ICC/IF

Supplier Data

Immunocytochemistry/ Immunofluorescence - Anti-Eph receptor A4/SEK antibody [EPR30307-560] (AB324353)

Immunofluorescent analysis of 4% Paraformaldehyde-fixed, 0.1% TritonX-100 permeabilized rat primary neural/glia cell cells labelling Eph receptor A4/SEK with ab324353 at 1/500 (1.024 ug/ml) dilution, followed by ab150081 Goat Anti-Rabbit IgG H&L (Alexa Fluor® 488) preadsorbed antibody at 1/1000 (2ug/ml) dilution (Green).

Confocal image showing cytoplasmic staining in rat primary neural/glia cell (shown in green). The counterstain was observed in magenta, Nuclear DNA was labelled with DAPI (shown in blue). Confocal scanning Z step was set as 0.3 um followed by image processing with maximum Z projection. Image was taken with a confocal microscope (Leica-Microsystems, TCS SP8).

ab11267 Anti-MAP2 mouse monoclonal antibody was used to counterstain tubulin at 1/500 (4ug/ml) dilution (Magenta). The Nuclear counterstain was DAPI (Blue).

-ve control 1 : ab324353 at 1/500 dilution, followed by ab150120 Goat Anti-Mouse IgG H&L (Alexa Fluor® 594) antibody at 1/1000 dilution.
-ve control 2 : ab11267 at 1/500 dilution, followed by ab150081 Goat Anti-Rabbit IgG H&L (Alexa Fluor® 488) preadsorbed antibody at 1/1000 dilution.

Immunohistochemistry (Formalin/PFA-fixed paraffin-embedded sections) - Anti-Eph receptor A4/SEK antibody [EPR30307-560] (AB324353)
  • IHC-P

Supplier Data

Immunohistochemistry (Formalin/PFA-fixed paraffin-embedded sections) - Anti-Eph receptor A4/SEK antibody [EPR30307-560] (AB324353)

Immunohistochemical analysis of paraffin-embedded Rat hippocampus tissue labeling Eph receptor A4/SEK with ab324353 at 1/2000 (0.256 ug/ml) dilution, followed by a ready to use LeicaDS9800 (Bond™ Polymer Refine Detection).

Positive staining on rat hippocampus. The primary antibody was incubated for 30 mins at room temperature.
The immunostaining was performed on a Leica Biosystems BOND® RX instrument

Counterstained with Hematoxylin.

Secondary antibody only control : Secondary antibody is a ready to use LeicaDS9800 (Bond™ Polymer Refine Detection).

Heat mediated antigen retrieval was performed with Tris-EDTA buffer (pH 9.0, Epitope Retrieval Solution2) for 20 mins

Immunohistochemistry (Frozen sections) - Anti-Eph receptor A4/SEK antibody [EPR30307-560] (AB324353)
  • IHC-Fr

Supplier Data

Immunohistochemistry (Frozen sections) - Anti-Eph receptor A4/SEK antibody [EPR30307-560] (AB324353)

Immunohistochemical analysis of 4% PFA-fixed, 0.2% Triton X-100 permeabilized frozen Rat cerebrum (fresh frozen) tissue labeling Eph receptor A4/SEK with ab324353 at 1/200 (2.56 ug/ml) dilution followed by ab150081 Goat Anti-Rabbit IgG H&L (Alexa Fluor® 488) preadsorbed at 1/1000 2 ug/mL dilution (Green).

Panel A : merged staining of anti-EPHA4 (ab324353, green), anti-NeuN (ab190565, white) and anti-GFAP (ab201732, magenta) on rat cerebrum.
Panel B : anti-EPHA4 stained on rat cerebrum.
Panel C : anti-NeuN stained in neurons of rat cerebrum.
Panel D : anti-GFAP stained in astrocytes of rat cerebrum.
The section was incubated in two rounds of staining : in the order of ab324353 and ab190565, ab201732 for 1 hr at room temperature. The nuclear counterstain was DAPI (Blue). The section was then mounted using Fluoromount®.The immunostaining was performed on a Leica Biosystems BOND® RX instrument. Image was taken with a confocal microscope (Leica-Microsystems, TCS SP8).

Secondary antibody control : Secondary antibody is ab150081 Goat Anti-Rabbit IgG H&L (Alexa Fluor® 488) preadsorbedat 1/1000 2 ug/mL dilution.

Immunohistochemistry (Frozen sections) - Anti-Eph receptor A4/SEK antibody [EPR30307-560] (AB324353)
  • IHC-Fr

Supplier Data

Immunohistochemistry (Frozen sections) - Anti-Eph receptor A4/SEK antibody [EPR30307-560] (AB324353)

Immunohistochemical analysis of 4% PFA-fixed, 0.2% Triton X-100 permeabilized frozen Mouse cerebrum (fresh frozen) tissue labeling Eph receptor A4/SEK with ab324353 at 1/200 (2.56 ug/ml) dilution followed by ab150081 Goat Anti-Rabbit IgG H&L (Alexa Fluor® 488) preadsorbed at 1/1000 2 ug/mL dilution (Green).

Panel A : merged staining of anti-EPHA4 (ab324353, green), anti-NeuN (ab190565, white) and anti-GFAP (ab201732, magenta) on mouse cerebrum.
Panel B : anti-EPHA4 stained on mouse cerebrum.
Panel C : anti-NeuN stained in neurons of mouse cerebrum.
Panel D : anti-GFAP stained in astrocytes of mouse cerebrum.
The section was incubated in two rounds of staining : in the order of ab324353 and ab190565, ab201732 for 1 hr at room temperature. The nuclear counterstain was DAPI (Blue). The section was then mounted using Fluoromount®.The immunostaining was performed on a Leica Biosystems BOND® RX instrument. Image was taken with a confocal microscope (Leica-Microsystems, TCS SP8).

Secondary antibody control : Secondary antibody is ab150081 Goat Anti-Rabbit IgG H&L (Alexa Fluor® 488) preadsorbedat 1/1000 2 ug/mL dilution.

Indirect ELISA - Anti-Eph receptor A4/SEK antibody [EPR30307-560] (AB324353)
  • I-ELISA

Supplier Data

Indirect ELISA - Anti-Eph receptor A4/SEK antibody [EPR30307-560] (AB324353)

Indirect ELISA analysis of ab324353 at 1000-0 ng/ml. The Secondary antibody used was Alkaline Phosphatase-conjugated AffiniPure Goat Anti-Rabbit IgG (H+L) at 1 : 2500 dilution dilution.

Antigen : Mouse Ephrin type-A receptor 4, Mouse Ephrin type-A receptor 5, Mouse Ephrin type-A receptor 3, Mouse Ephrin type-A receptor 7.

Antigen concentration : 1000 ng/ml

This antibody does not cross-react with Mouse Ephrin type-A receptor 5, Ephrin type-A receptor 3 or Ephrin type-A receptor 7.

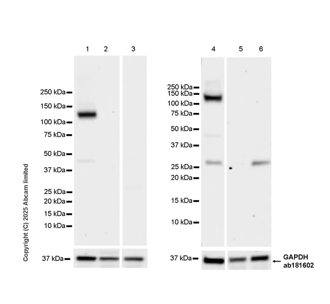
Western blot - Anti-Eph receptor A4/SEK antibody [EPR30307-560] (AB324353)
  • WB

Supplier Data

Western blot - Anti-Eph receptor A4/SEK antibody [EPR30307-560] (AB324353)

Blocking and diluting buffer and concentration : 5% NFDM/TBST.

Low expression : liver

EphA4 full-length is approximately 120 kDa, band around 45 kDa is EphA4-ICD (PMID : 31879527).

The identity of the lower MW band at approximately 25 kDa is unknown.

All lanes:

Western blot - Anti-Eph receptor A4/SEK antibody [EPR30307-560] (ab324353) at 1/1000 dilution

Lane 1:

A-172 (human brain glioblastoma cell ) whole cell lysate at 20 µg

Lane 2:

HT-1376 (human urinary bladder carcinoma epithelial cell) whole cell lysate at 20 µg

Lane 3:

Human cerebellum tissue lysate at 20 µg

Lane 4:

Human liver tissue lysate at 20 µg

Secondary

All lanes:

Goat Anti-Rabbit IgG (HRP) with minimal cross-reactivity with human IgG at 1/2000 dilution

Observed band size: 120 kDa,45 kDa,15 kDa

false

Exposure time: 6s

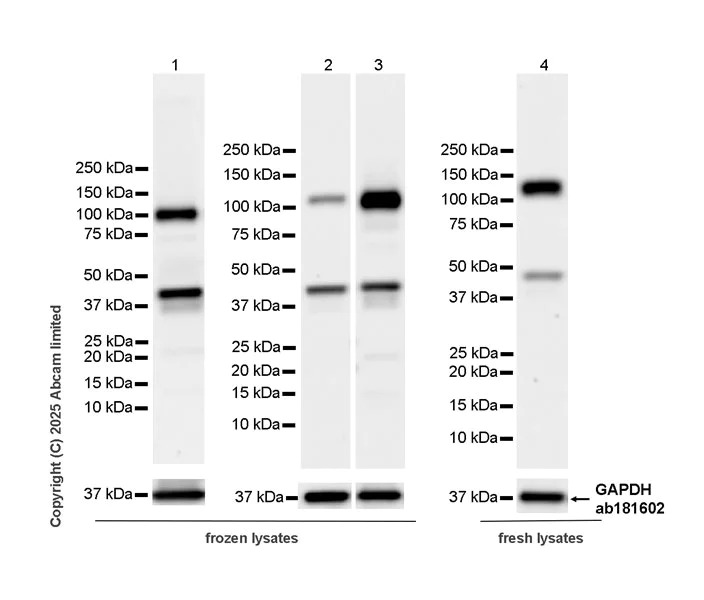
Western blot - Anti-Eph receptor A4/SEK antibody [EPR30307-560] (AB324353)
  • WB

Supplier Data

Western blot - Anti-Eph receptor A4/SEK antibody [EPR30307-560] (AB324353)

Blocking and diluting buffer and concentration : 5% NFDM/TBST.

In lanes 4, to minimize protein degradation, tissues were lysed immediately after harvest and then applied to a gel and transfer membrane for Western blotting as soon as possible.

EphA4 full-length is approximately 120 kDa, band around 45 kDa is EphA4-ICD (PMID : 31879527).

The identity of the lower MW band at approximately 25 kDa is unknown.

In Western blot, Anti-GAPDH antibody [EPR16891] - Loading Control (ab181602) staining at 1/200000 dilution.

All lanes:

Western blot - Anti-Eph receptor A4/SEK antibody [EPR30307-560] (ab324353) at 1/1000 dilution

Lane 1:

F9 (mouse embryonal carcinoma epithelial cell) whole frozen cell lysate at 20 µg

Lane 2:

Mouse spinal cord tissue frozen lysate at 20 µg

Lane 3:

C6 (rat glial tumor glial cell) whole frozen cell lysate at 20 µg

Lane 4:

C6 (rat glial tumor glial cell) whole fresh cell lysate at 20 µg

Secondary

All lanes:

Western blot - Goat Anti-Rabbit IgG H&L (HRP) (<a href='/en-us/products/secondary-antibodies/goat-rabbit-igg-h-l-hrp-ab97051'>ab97051</a>) at 1/100000 dilution

Observed band size: 120 kDa,45 kDa,36 kDa

false

Exposure time: 6s

Western blot - Anti-Eph receptor A4/SEK antibody [EPR30307-560] (AB324353)
  • WB

Supplier Data

Western blot - Anti-Eph receptor A4/SEK antibody [EPR30307-560] (AB324353)

Blocking and diluting buffer and concentration : 5% NFDM/TBST.

Low expression : liver, testis, spleen

EphA4 full-length is approximately 120 kDa, band around 45 kDa is EphA4-ICD (PMID : 31879527).

The identity of the lower MW band at approximately 25 kDa(lane4-6) is unknown.

To minimize protein degradation, cells were lysed immediately after harvest and then applied to a gel and transfer membrane for Western blotting as soon as possible.

In Western blot, Anti-GAPDH antibody [EPR16891] - Loading Control (ab181602) staining at 1/200000 dilution.

All lanes:

Western blot - Anti-Eph receptor A4/SEK antibody [EPR30307-560] (ab324353) at 1/1000 dilution

Lane 1:

Mouse brain tissue lysate at 20 µg

Lane 2:

Mouse liver tissue lysate at 20 µg

Lane 3:

Mouse spleen tissue lysate at 20 µg

Lane 4:

Rat brain tissue lysate at 20 µg

Lane 5:

Rat testis tissue lysate at 20 µg

Lane 6:

Rat spleen tissue lysate at 20 µg

Secondary

All lanes:

Western blot - Goat Anti-Rabbit IgG H&L (HRP) (<a href='/en-us/products/secondary-antibodies/goat-rabbit-igg-h-l-hrp-ab97051'>ab97051</a>) at 1/100000 dilution

Observed band size: 120 kDa,45 kDa,36 kDa

false

Exposure time: 15s

Immunohistochemistry (Formalin/PFA-fixed paraffin-embedded sections) - Anti-Eph receptor A4/SEK antibody [EPR30307-560] (AB324353)
  • IHC-P

Supplier Data

Immunohistochemistry (Formalin/PFA-fixed paraffin-embedded sections) - Anti-Eph receptor A4/SEK antibody [EPR30307-560] (AB324353)

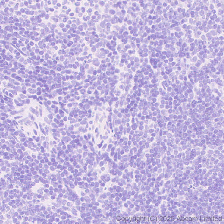
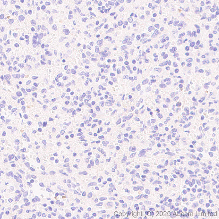
Immunohistochemical analysis of paraffin-embedded Human spleen tissue labeling Eph receptor A4/SEK with ab324353 at 1/1000 (0.512 ug/ml) dilution, followed by a ready to use LeicaDS9800 (Bond™ Polymer Refine Detection).

Negative control : no staining on human spleen. The primary antibody was incubated for 30 mins at room temperature.
The immunostaining was performed on a Leica Biosystems BOND® RX instrument

Counterstained with Hematoxylin.

Secondary antibody only control : Secondary antibody is a ready to use LeicaDS9800 (Bond™ Polymer Refine Detection).

Heat mediated antigen retrieval was performed with Tris-EDTA buffer (pH 9.0, Epitope Retrieval Solution2) for 20 mins

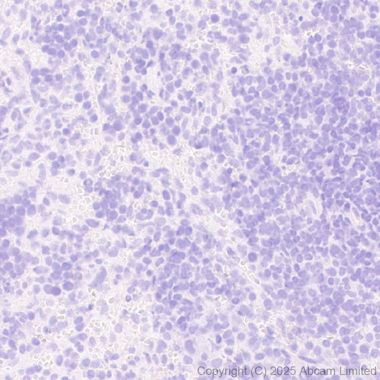
Immunohistochemistry (Formalin/PFA-fixed paraffin-embedded sections) - Anti-Eph receptor A4/SEK antibody [EPR30307-560] (AB324353)
  • IHC-P

Supplier Data

Immunohistochemistry (Formalin/PFA-fixed paraffin-embedded sections) - Anti-Eph receptor A4/SEK antibody [EPR30307-560] (AB324353)

Immunohistochemical analysis of paraffin-embedded Mouse spleen tissue labeling Eph receptor A4/SEK with ab324353 at 1/2000 (0.256 ug/ml) dilution, followed by a ready to use LeicaDS9800 (Bond™ Polymer Refine Detection).

Negative control : no staining on mouse spleen. The primary antibody was incubated for 30 mins at room temperature.
The immunostaining was performed on a Leica Biosystems BOND® RX instrument

Counterstained with Hematoxylin.

Secondary antibody only control : Secondary antibody is a ready to use LeicaDS9800 (Bond™ Polymer Refine Detection).

Heat mediated antigen retrieval was performed with Tris-EDTA buffer (pH 9.0, Epitope Retrieval Solution2) for 20 mins

Immunohistochemistry (Formalin/PFA-fixed paraffin-embedded sections) - Anti-Eph receptor A4/SEK antibody [EPR30307-560] (AB324353)
  • IHC-P

Supplier Data

Immunohistochemistry (Formalin/PFA-fixed paraffin-embedded sections) - Anti-Eph receptor A4/SEK antibody [EPR30307-560] (AB324353)

Immunohistochemical analysis of paraffin-embedded Rat spleen tissue labeling Eph receptor A4/SEK with ab324353 at 1/2000 (0.256 ug/ml) dilution, followed by a ready to use LeicaDS9800 (Bond™ Polymer Refine Detection).

Negative control : no staining on rat spleen. The primary antibody was incubated for 30 mins at room temperature.
The immunostaining was performed on a Leica Biosystems BOND® RX instrument

Counterstained with Hematoxylin.

Secondary antibody only control : Secondary antibody is a ready to use LeicaDS9800 (Bond™ Polymer Refine Detection).

Heat mediated antigen retrieval was performed with Tris-EDTA buffer (pH 9.0, Epitope Retrieval Solution2) for 20 mins

Key facts

Host species

Rabbit

Clonality

Monoclonal

Clone number

EPR30307-560

Isotype

IgG

Carrier free

No

Reacts with

Mouse, Rat, Human

Applications

WB, I-ELISA, ICC/IF, IHC-P, IHC-Fr

applications

Immunogen

The exact immunogen used to generate this antibody is proprietary information.

Reactivity data

{ "title": "Reactivity Data", "filters": { "stats": ["", "Species", "Dilution Info", "Notes"], "tabs": { "all-applications": {"fullname" : "All Applications", "shortname": "All Applications"}, "IELISA" : {"fullname" : "Indirect ELISA", "shortname":"I-ELISA"}, "IHCFr" : {"fullname" : "Immunohistochemistry (Frozen sections)", "shortname":"IHC-Fr"}, "ICCIF" : {"fullname" : "Immunocytochemistry/ Immunofluorescence", "shortname":"ICC/IF"}, "IHCP" : {"fullname" : "Immunohistochemistry (Formalin/PFA-fixed paraffin-embedded sections)", "shortname":"IHC-P"}, "WB" : {"fullname" : "Western blot", "shortname":"WB"} }, "product-promise": { "all": "all", "testedAndGuaranteed": "tested", "guaranteed": "expected", "predicted": "predicted", "notRecommended": "not-recommended" } }, "values": { "Human": { "IELISA-species-checked": "guaranteed", "IELISA-species-dilution-info": "", "IELISA-species-notes": "", "IHCFr-species-checked": "guaranteed", "IHCFr-species-dilution-info": "", "IHCFr-species-notes": "", "ICCIF-species-checked": "testedAndGuaranteed", "ICCIF-species-dilution-info": "1/500", "ICCIF-species-notes": "<p></p>", "IHCP-species-checked": "testedAndGuaranteed", "IHCP-species-dilution-info": "1/1000", "IHCP-species-notes": "<p></p> Perform heat-mediated antigen retrieval with Tris/EDTA buffer pH 9.0 before commencing with IHC staining protocol.", "WB-species-checked": "testedAndGuaranteed", "WB-species-dilution-info": "1/1000", "WB-species-notes": "<p></p>" }, "Mouse": { "IELISA-species-checked": "guaranteed", "IELISA-species-dilution-info": "", "IELISA-species-notes": "", "IHCFr-species-checked": "testedAndGuaranteed", "IHCFr-species-dilution-info": "1/200", "IHCFr-species-notes": "<p></p>", "ICCIF-species-checked": "testedAndGuaranteed", "ICCIF-species-dilution-info": "1/500", "ICCIF-species-notes": "<p></p>", "IHCP-species-checked": "testedAndGuaranteed", "IHCP-species-dilution-info": "1/2000", "IHCP-species-notes": "<p></p> Perform heat-mediated antigen retrieval with Tris/EDTA buffer pH 9.0 before commencing with IHC staining protocol.", "WB-species-checked": "testedAndGuaranteed", "WB-species-dilution-info": "1/1000", "WB-species-notes": "<p></p>" }, "Rat": { "IELISA-species-checked": "guaranteed", "IELISA-species-dilution-info": "", "IELISA-species-notes": "", "IHCFr-species-checked": "testedAndGuaranteed", "IHCFr-species-dilution-info": "1/200", "IHCFr-species-notes": "<p></p>", "ICCIF-species-checked": "testedAndGuaranteed", "ICCIF-species-dilution-info": "1/500", "ICCIF-species-notes": "<p></p>", "IHCP-species-checked": "testedAndGuaranteed", "IHCP-species-dilution-info": "1/2000", "IHCP-species-notes": "<p></p> Perform heat-mediated antigen retrieval with Tris/EDTA buffer pH 9.0 before commencing with IHC staining protocol.", "WB-species-checked": "testedAndGuaranteed", "WB-species-dilution-info": "1/1000", "WB-species-notes": "<p></p>" }, "Recombinant full length protein - Mouse": { "IELISA-species-checked": "testedAndGuaranteed", "IELISA-species-dilution-info": "125 ng/mL", "IELISA-species-notes": "<p></p>", "IHCFr-species-checked": "notRecommended", "IHCFr-species-dilution-info": "", "IHCFr-species-notes": "", "ICCIF-species-checked": "notRecommended", "ICCIF-species-dilution-info": "", "ICCIF-species-notes": "", "IHCP-species-checked": "notRecommended", "IHCP-species-dilution-info": "", "IHCP-species-notes": "", "WB-species-checked": "notRecommended", "WB-species-dilution-info": "", "WB-species-notes": "" } } }

Product details

Patented technology
Our RabMAb® technology is a patented hybridoma-based technology for making rabbit monoclonal antibodies. For details on our patents, please refer to RabMAb® patents.

What are the advantages of a recombinant monoclonal antibody?
This product is a recombinant monoclonal antibody, which offers several advantages including:

  • - High batch-to-batch consistency and reproducibility
  • - Improved sensitivity and specificity
  • - Long-term security of supply
  • - Animal-free batch production

For more information, read more on recombinant antibodies.

Properties and storage information

Form
Liquid
Purification technique
Affinity purification Protein A
Storage buffer
pH: 7.2 - 7.4 Preservative: 0.01% Sodium azide Constituents: PBS, 40% Glycerol (glycerin, glycerine), 0.05% BSA
Shipped at conditions
Blue Ice
Appropriate short-term storage duration
1-2 weeks
Appropriate short-term storage conditions
+4°C
Appropriate long-term storage conditions
-20°C
Aliquoting information
Upon delivery aliquot
Storage information
Avoid freeze / thaw cycle

Product protocols

For this product, it's our understanding that no specific protocols are required. You can visit:

Target data

Receptor tyrosine kinase which binds membrane-bound ephrin family ligands residing on adjacent cells, leading to contact-dependent bidirectional signaling into neighboring cells. The signaling pathway downstream of the receptor is referred to as forward signaling while the signaling pathway downstream of the ephrin ligand is referred to as reverse signaling. Highly promiscuous, it has the unique property among Eph receptors to bind and to be physiologically activated by both GPI-anchored ephrin-A and transmembrane ephrin-B ligands including EFNA1 and EFNB3. Upon activation by ephrin ligands, modulates cell morphology and integrin-dependent cell adhesion through regulation of the Rac, Rap and Rho GTPases activity (PubMed : 17719550). Plays an important role in the development of the nervous system controlling different steps of axonal guidance including the establishment of the corticospinal projections (PubMed : 17719550, PubMed : 17785183, PubMed : 9789074). May also control the segregation of motor and sensory axons during neuromuscular circuit developmen (PubMed : 18403711). In addition to its role in axonal guidance plays a role in synaptic plasticity. Activated by EFNA1 phosphorylates CDK5 at 'Tyr-15' which in turn phosphorylates NGEF regulating RHOA and dendritic spine morphogenesis (PubMed : 17143272). In the nervous system, also plays a role in repair after injury preventing axonal regeneration and in angiogenesis playing a role in central nervous system vascular formation (PubMed : 15537875, PubMed : 16802330). Additionally, its promiscuity makes it available to participate in a variety of cell-cell signaling regulating for instance the development of the thymic epithelium (PubMed : 16818734). During development of the cochlear organ of Corti, regulates pillar cell separation by forming a ternary complex with ADAM10 and CADH1 which facilitates the cleavage of CADH1 by ADAM10 and disruption of adherens junctions (PubMed : 30639848). Phosphorylates CAPRIN1, promoting CAPRIN1-dependent formation of a membraneless compartment (PubMed : 31439799).
See full target information Epha4

Product promise

We are committed to supporting your work with high-quality reagents, and we're here for you every step of the way. In the unlikely event that one of our products does not perform as expected, you're protected by our Product Promise.
For full details, please see our Terms & Conditions

Please note: All products are 'FOR RESEARCH USE ONLY. NOT FOR USE IN DIAGNOSTIC OR THERAPEUTIC PROCEDURES'.

For licensing inquiries, please contact partnerships@abcam.com