JavaScript is disabled in your browser. Please enable JavaScript to view this website.
AB198993

Anti-Eph receptor A5/BSK antibody [EPR15249]

Be the first to review this product! Submit a review

|

(1 Publication)

Rabbit Recombinant Monoclonal Eph receptor A5/BSK antibody. Suitable for IHC-P and reacts with Human samples. Cited in 1 publication.

View Alternative Names

BSK, EHK1, HEK7, TYRO4, EPHA5, Ephrin type-A receptor 5, Brain-specific kinase, EPH homology kinase 1, EPH-like kinase 7, EHK-1, EK7, hEK7

2 Images
Immunohistochemistry (Formalin/PFA-fixed paraffin-embedded sections) - Anti-Eph receptor A5/BSK antibody [EPR15249] (AB198993)
  • IHC-P

Supplier Data

Immunohistochemistry (Formalin/PFA-fixed paraffin-embedded sections) - Anti-Eph receptor A5/BSK antibody [EPR15249] (AB198993)

Immunohistochemical analysis of paraffin-embedded human cerebellum tissue sections labeling Eph receptor A5/BSK with ab198993 at a 1/2000 dilution. Goat anti-rabbit IgG H&L (HRP) ab97051 used as the secondary at a 1/500 dilution. Counterstain hematoxylin.

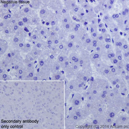
Immunohistochemistry (Formalin/PFA-fixed paraffin-embedded sections) - Anti-Eph receptor A5/BSK antibody [EPR15249] (AB198993)
  • IHC-P

Supplier Data

Immunohistochemistry (Formalin/PFA-fixed paraffin-embedded sections) - Anti-Eph receptor A5/BSK antibody [EPR15249] (AB198993)

Immunohistochemical analysis of paraffin-embedded human liver tissue sections labeling Eph receptor A5/BSK with ab198993 at a 1/2000 dilution. Goat anti-rabbit IgG H&L (HRP) ab97051 used as the secondary at a 1/500 dilution. Counterstain hematoxylin. Used as a negative control tissue.

Key facts

Host species

Rabbit

Clonality

Monoclonal

Clone number

EPR15249

Isotype

IgG

Carrier free

No

Reacts with

Human

Applications

IHC-P

applications

Immunogen

The exact immunogen used to generate this antibody is proprietary information.

Reactivity data

{ "title": "Reactivity Data", "filters": { "stats": ["", "Species", "Dilution Info", "Notes"], "tabs": { "all-applications": {"fullname" : "All Applications", "shortname": "All Applications"}, "IHCP" : {"fullname" : "Immunohistochemistry (Formalin/PFA-fixed paraffin-embedded sections)", "shortname":"IHC-P"} }, "product-promise": { "all": "all", "testedAndGuaranteed": "tested", "guaranteed": "expected", "predicted": "predicted", "notRecommended": "not-recommended" } }, "values": { "Human": { "IHCP-species-checked": "testedAndGuaranteed", "IHCP-species-dilution-info": "1/1000", "IHCP-species-notes": "<p></p>" } } }

Product details

Patented technology
Our RabMAb® technology is a patented hybridoma-based technology for making rabbit monoclonal antibodies. For details on our patents, please refer to RabMAb® patents.

What are the advantages of a recombinant monoclonal antibody?
This product is a recombinant monoclonal antibody, which offers several advantages including:

  • - High batch-to-batch consistency and reproducibility
  • - Improved sensitivity and specificity
  • - Long-term security of supply
  • - Animal-free batch production

For more information, read more on recombinant antibodies.

Properties and storage information

Form
Liquid
Purification technique
Affinity purification Protein A
Storage buffer
pH: 7.2 - 7.4 Preservative: 0.01% Sodium azide Constituents: PBS, 40% Glycerol (glycerin, glycerine), 0.05% BSA
Shipped at conditions
Blue Ice
Appropriate short-term storage duration
1-2 weeks
Appropriate short-term storage conditions
+4°C
Appropriate long-term storage conditions
-20°C
Aliquoting information
Upon delivery aliquot
Storage information
Avoid freeze / thaw cycle

Supplementary information

This supplementary information is collated from multiple sources and compiled automatically.

Eph receptor A5 also known as BSK is a member of the Eph family of receptor tyrosine kinases. It exhibits a molecular mass of approximately 116 kDa. This receptor is fundamentally involved in mediating cell adhesion and migration playing an essential role in cellular communication. Eph receptor A5/BSK is predominantly expressed in tissues of the nervous system including the brain and spinal cord which indicates an intrinsic role in neurodevelopment and synaptic organization.
Biological function summary

Eph receptor A5 engages in bidirectional signaling with its corresponding ephrin ligands creating a dynamic interaction network important for neuronal pathfinding and neurogenesis. This receptor acts as part of a larger complex self-associating with other family members to modulate cell position and boundary formation in development. The receptor's activity critically contributes to the regulation of axon guidance during neural development ensuring correct neuronal connections.

Pathways

Eph receptor A5 involves itself in the RhoA signaling pathway affecting cytoskeletal dynamics. It works alongside other Eph receptors and related proteins such as ephrin-A5 and Rho GTPases to manage cellular movement and growth cone stability. This receptor also integrates into the PI3K/AKT pathway influencing cell survival and proliferation where it potentially interfaces with insulin receptor substrates.

Eph receptor A5 shows connections to conditions like glioblastoma and Alzheimer's disease. In glioblastoma the aberrant signaling of Eph receptor A5 contributes to tumor progression and cell invasion interacting with proteins like EphA2. In Alzheimer's disease altered expression of this receptor affects synaptic function potentially leading to cognitive decline and it shares pathways with related proteins like beta-amyloid precursor protein.

Product protocols

For this product, it's our understanding that no specific protocols are required. You can visit:

Target data

Receptor tyrosine kinase which binds promiscuously GPI-anchored ephrin-A family ligands residing on adjacent cells, leading to contact-dependent bidirectional signaling into neighboring cells. The signaling pathway downstream of the receptor is referred to as forward signaling while the signaling pathway downstream of the ephrin ligand is referred to as reverse signaling. Among GPI-anchored ephrin-A ligands, EFNA5 most probably constitutes the cognate/functional ligand for EPHA5. Functions as an axon guidance molecule during development and may be involved in the development of the retinotectal, entorhino-hippocampal and hippocamposeptal pathways. Together with EFNA5 plays also a role in synaptic plasticity in adult brain through regulation of synaptogenesis. In addition to its function in the nervous system, the interaction of EPHA5 with EFNA5 mediates communication between pancreatic islet cells to regulate glucose-stimulated insulin secretion (By similarity).
See full target information EPHA5

Publications (1)

Recent publications for all applications. Explore the full list and refine your search

Journal of cellular and molecular medicine 29:e70800 PubMed40845179

2025

Decoy Receptor 2 as a Cell Cycle Arrest Biomarker for Predicting Renal Recovery Following Acute Kidney Injury.

Applications

Unspecified application

Species

Unspecified reactive species

Xiangling Yi,Liming Wang,Xiao-Yue Wang,Yu Fang,Jiarui Liu,Kehong Chen,Ya-Ni He,Jia Chen
View all publications

Product promise

We are committed to supporting your work with high-quality reagents, and we're here for you every step of the way. In the unlikely event that one of our products does not perform as expected, you're protected by our Product Promise.
For full details, please see our Terms & Conditions

Please note: All products are 'FOR RESEARCH USE ONLY. NOT FOR USE IN DIAGNOSTIC OR THERAPEUTIC PROCEDURES'.

For licensing inquiries, please contact partnerships@abcam.com