JavaScript is disabled in your browser. Please enable JavaScript to view this website.
AB255274

Anti-Eph receptor B2 antibody [EPR22427-268] - BSA and Azide free

  • BOND RX™ Validated
  • RabMAb
  • Advanced Validation
  • Recombinant
  • KO Validated
  • What is this?

Be the first to review this product! Submit a review

|

(0 Publication)

Rabbit Recombinant Monoclonal Eph receptor B2 antibody. Carrier free. Suitable for mIHC, IHC-P, WB, IHC-Fr and reacts with Human, Rat, Mouse samples.

View Alternative Names

DRT, EPHT3, EPTH3, ERK, HEK5, TYRO5, EPHB2, Ephrin type-B receptor 2, Developmentally-regulated Eph-related tyrosine kinase, ELK-related tyrosine kinase, EPH tyrosine kinase 3, EPH-like kinase 5, Renal carcinoma antigen NY-REN-47, Tyrosine-protein kinase TYRO5, Tyrosine-protein kinase receptor EPH-3, EK5, hEK5

18 Images
Multiplex immunohistochemistry - Anti-Eph receptor B2 antibody [EPR22427-268] - BSA and Azide free (AB255274)
  • mIHC

Lab

Multiplex immunohistochemistry - Anti-Eph receptor B2 antibody [EPR22427-268] - BSA and Azide free (AB255274)

Fluorescence multiplex immunohistochemical analysis of the human jejunum (Formalin/PFA-fixed paraffin-embedded sections). Panel A : merged staining of anti-Muc2 (ab272692, magenta; Opal™690), anti-Eph receptor B2 (ab252935, green; Opal™520) and anti-ErbB3 / HER3 (ab236220, red; Opal™570) on human jejunum. Panel B : anti-Muc2 stained on goblet cells. Panel C : anti-Eph receptor B2 stained on intestinal stem and progenitor cells. Panel D : anti-ErbB3 / HER3 stained on epithelial cells. Opal Polymer HRP Ms + Rb was used as a secondary antibody. The section was incubated in three rounds of staining : in the order of ab272692 at 1/2000 dilution (0.252 μg/ml), ab252935 at 1/1000 dilution  (0.527 μg/ml), and ab236220 at 1/3000 dilution (0.75 μg/ml) for 30 mins at room temperature. Each round was followed by a separate fluorescent tyramide signal amplification system. The immunostaining was performed on a Leica Biosystems BOND® RX instrument with an Opal™ 4-color kit. Image acquisition was performed with Leica SP8 confocal microscope. Heat mediated antigen retrieval with Tris-EDTA buffer (pH 9.0, epitope retrieval solution2) for 20 mins. DAPI (blue) was used as a nuclear counter stain. This data was developed using the same antibody clone in a different buffer formulation containing PBS, BSA, glycerol, and sodium azide (ab252935).

Multiplex immunohistochemistry - Anti-Eph receptor B2 antibody [EPR22427-268] - BSA and Azide free (AB255274)
  • mIHC

Lab

Multiplex immunohistochemistry - Anti-Eph receptor B2 antibody [EPR22427-268] - BSA and Azide free (AB255274)

Fluorescence multiplex immunohistochemical analysis of the human colon (Formalin/PFA-fixed paraffin-embedded sections). Panel A : merged staining of anti-Muc2 (ab272692, magenta; Opal™690), anti-Eph receptor B2 (ab252935, green; Opal™520) and anti-ErbB3 / HER3 (ab236220, red; Opal™570) on human colon. Panel B : anti-Muc2 stained on goblet cells. Panel C : anti-Eph receptor B2 stained on intestinal stem and progenitor cells. Panel D : anti-ErbB3 / HER3 stained on epithelial cells. Opal Polymer HRP Ms + Rb was used as a secondary antibody. The section was incubated in three rounds of staining : in the order of ab272692 at 1/2000 dilution (0.252 μg/ml), ab252935 at 1/1000 dilution  (0.527 μg/ml), and ab236220 at 1/3000 dilution (0.75 μg/ml) for 30 mins at room temperature. Each round was followed by a separate fluorescent tyramide signal amplification system. The immunostaining was performed on a Leica Biosystems BOND® RX instrument with an Opal™ 4-color kit. Image acquisition was performed with Leica SP8 confocal microscope. Heat mediated antigen retrieval with Tris-EDTA buffer (pH 9.0, epitope retrieval solution2) for 20 mins. DAPI (blue) was used as a nuclear counter stain. This data was developed using the same antibody clone in a different buffer formulation containing PBS, BSA, glycerol, and sodium azide (ab252935).

Multiplex immunohistochemistry - Anti-Eph receptor B2 antibody [EPR22427-268] - BSA and Azide free (AB255274)
  • mIHC

Lab

Multiplex immunohistochemistry - Anti-Eph receptor B2 antibody [EPR22427-268] - BSA and Azide free (AB255274)

This data was developed using ab252935, the same antibody clone in a different buffer formulation.

Immunohistochemistry analysis of Formalin/PFA-fixed paraffin-embedded sections rat small intestine tissue labelling Sodium/Hydrogen Exchanger 3 with ab307365 at 1 : 5000 dilution (B), MUC2 with ab272692 at 1 : 2000 dilution (C) Eph receptor B2 with ab252935 at 1 : 500 dilution (D). Opal Polymer HRP Ms + Rb was used as a secondary antibody, and DAPI was used for a nuclear counter stain. Heat mediated antigen retrieval with Tris-EDTA buffer (pH 9.0, epitope retrieval solution2) for 20 mins.

Panel A : merged staining of anti-Sodium/Hydrogen Exchanger 3 (green; Opal™520), anti-MUC2 (magenta; Opal™690) and anti-Eph receptor B2 (gray; Opal™570) on rat small intestine.

Panel B : anti-Sodium/Hydrogen Exchanger 3 staining apical and luminal facing edges of surface cells in rat small intestine.

Panel C : anti-MUC2 staining goblet cells in rat small intestine.

Panel D : anti-Eph receptor B2 staining membrane of stem cells in rat small intestine.

Nuclear DNA was labeled with DAPI (shown in blue).

The section was incubated in three rounds of staining : in the order of ab307365, ab272692 and ab252935 for 30 mins at room temperature. Each round was followed by a separate fluorescent tyramide signal amplification system.

Multiplex immunohistochemistry - Anti-Eph receptor B2 antibody [EPR22427-268] - BSA and Azide free (AB255274)
  • mIHC

Lab

Multiplex immunohistochemistry - Anti-Eph receptor B2 antibody [EPR22427-268] - BSA and Azide free (AB255274)

This data was developed using ab252935, the same antibody clone in a different buffer formulation.

Immunohistochemistry analysis of (Formalin/PFA-fixed paraffin-embedded sections) analysis of Mouse colon tissue labelling Eph receptor B2 with ab252935 at 1/500 dilution (B), GSDMC2 + GSDMC3 with ab229896 at 1/500 dilution (C) and Serotonin with ab315150 at 1/500 dilution (D). Opal Polymer HRP Ms + Rb was used as a secondary antibody, and DAPI was used for a nuclear counter stain. Heat mediated antigen retrieval with Tris-EDTA buffer (pH 9.0, epitope retrieval solution2) for 20 mins.

Panel A : merged staining of anti-Eph receptor B2 (green; Opal™520), anti-GSDMC2/3 (magenta; Opal™690) and anti-Serotonin (gray; Opal™570) on mouse stomach.

Panel B : anti-Eph receptor B2 staining stem cells in mouse stomach.

Panel C : anti-GSDMC2/3 staining epithelium in mouse stomach.

Panel D : anti-Serotonin staining enterochromaffin cells in mouse stomach.

Nuclear DNA was labeled with DAPI (shown in blue).

The section was incubated in three rounds of staining : in the order of ab252935, ab229896 and ab315150 for 30 mins at room temperature. Each round was followed by a separate fluorescent tyramide signal amplification system.

Multiplex immunohistochemistry - Anti-Eph receptor B2 antibody [EPR22427-268] - BSA and Azide free (AB255274)
  • mIHC

Lab

Multiplex immunohistochemistry - Anti-Eph receptor B2 antibody [EPR22427-268] - BSA and Azide free (AB255274)

This data was developed using ab252935, the same antibody clone in a different buffer formulation.

Immunohistochemistry analysis of Formalin/PFA-fixed paraffin-embedded sections mouse colon tissue labelling Sodium/Hydrogen Exchanger 3 with ab307365 at 1 : 5000 dilution (B), MUC2 with ab272692 at 1 : 2000 dilution (C) Eph receptor B2 with ab252935 at 1 : 500 dilution (D). Opal Polymer HRP Ms + Rb was used as a secondary antibody, and DAPI was used for a nuclear counter stain. Heat mediated antigen retrieval with Tris-EDTA buffer (pH 9.0, epitope retrieval solution2) for 20 mins.

Panel A : merged staining of anti-Sodium/Hydrogen Exchanger 3 (green; Opal™520), anti-MUC2 (magenta; Opal™690) and anti-Eph receptor B2 (gray; Opal™570) on mouse colon.

Panel B : anti-Sodium/Hydrogen Exchanger 3 staining apical and luminal facing edges of surface cells in mouse colon.

Panel C : anti-MUC2 staining goblet cells in mouse colon.

Panel D : anti-Eph receptor B2 staining membrane of stem cells in mouse colon.

Nuclear DNA was labeled with DAPI (shown in blue).

The section was incubated in three rounds of staining : in the order of ab307365, ab272692 and ab252935 for 30 mins at room temperature. Each round was followed by a separate fluorescent tyramide signal amplification system.

Multiplex immunohistochemistry - Anti-Eph receptor B2 antibody [EPR22427-268] - BSA and Azide free (AB255274)
  • mIHC

Lab

Multiplex immunohistochemistry - Anti-Eph receptor B2 antibody [EPR22427-268] - BSA and Azide free (AB255274)

This data was developed using ab252935, the same antibody clone in a different buffer formulation.

Immunohistochemistry analysis of Formalin/PFA-fixed paraffin-embedded sections rat colon tissue labelling Sodium/Hydrogen Exchanger 3 with ab307365 at 1 : 5000 dilution (B), MUC2 with ab272692 at 1 : 2000 dilution (C) Eph receptor B2 with ab252935 at 1 : 500 dilution (D). Opal Polymer HRP Ms + Rb was used as a secondary antibody, and DAPI was used for a nuclear counter stain. Heat mediated antigen retrieval with Tris-EDTA buffer (pH 9.0, epitope retrieval solution2) for 20 mins.

Panel A : merged staining of anti-Sodium/Hydrogen Exchanger 3 (green; Opal™520), anti-MUC2 (magenta; Opal™690) and anti-Eph receptor B2 (gray; Opal™570) on rat colon.

Panel B : anti-Sodium/Hydrogen Exchanger 3 staining apical and luminal facing edges of surface cells in rat colon.

Panel C : anti-MUC2 staining goblet cells in rat colon.

Panel D : anti-Eph receptor B2 staining membrane of stem cells in rat colon.

Nuclear DNA was labeled with DAPI (shown in blue).

The section was incubated in three rounds of staining : in the order of ab307365, ab272692 and ab252935 for 30 mins at room temperature. Each round was followed by a separate fluorescent tyramide signal amplification system.

Immunohistochemistry (Formalin/PFA-fixed paraffin-embedded sections) - Anti-Eph receptor B2 antibody [EPR22427-268] - BSA and Azide free (AB255274)
  • IHC-P

Unknown

Immunohistochemistry (Formalin/PFA-fixed paraffin-embedded sections) - Anti-Eph receptor B2 antibody [EPR22427-268] - BSA and Azide free (AB255274)

Immunohistochemical analysis of paraffin-embedded rat colon tissue labeling Eph receptor B2 with ab252935 at 1/1000 dilution, followed by a ready to use Goat Anti-Rabbit IgG H&L (HRP). Membranous staining on rat colon (PMID : 24151532) is observed. Counterstained with hematoxylin.

Secondary antibody only control : Used PBS instead of primary antibody, secondary antibody is a ready to use Goat Anti-Rabbit IgG H&L (HRP).

Heated citrate solution (10mM citrate pH 6.0 + 0.05% Tween-20).

This data was developed using the same antibody clone in a different buffer formulation containing PBS, BSA, glycerol, and sodium azide (ab252935).

Perform heat mediated antigen retrieval with citrate buffer pH 6 before commencing with IHC staining protocol.

Immunohistochemistry (Frozen sections) - Anti-Eph receptor B2 antibody [EPR22427-268] - BSA and Azide free (AB255274)
  • IHC-Fr

Unknown

Immunohistochemistry (Frozen sections) - Anti-Eph receptor B2 antibody [EPR22427-268] - BSA and Azide free (AB255274)

Immunohistochemical analysis of 4% PFA-fixed, 0.2% Triton X-100 permeabilized frozen rat liver tissue labeling Eph receptor B2 with ab252935 at 1/50 dilution (green), followed by ab150077 AlexaFluor®488 Goat anti-Rabbit secondary at a 1/1,000 dilution. No staining in rat liver. Negative control : liver (PMID : 19366806). Counterstained with DAPI (blue).

Secondary antibody only control : Used PBS instead of primary antibody, secondary antibody is ab150077 AlexaFluor®488 Goat anti-Rabbit used at a 1/1,000 dilution.

Heat mediated antigen retrieval using sodium citrate buffer (10 mM citrate pH 6.0 and 0.05% Tween-20).

This data was developed using the same antibody clone in a different buffer formulation containing PBS, BSA, glycerol, and sodium azide (ab252935).

Multiplex immunohistochemistry - Anti-Eph receptor B2 antibody [EPR22427-268] - BSA and Azide free (AB255274)
  • mIHC

Lab

Multiplex immunohistochemistry - Anti-Eph receptor B2 antibody [EPR22427-268] - BSA and Azide free (AB255274)

This data was developed using ab252935, the same antibody clone in a different buffer formulation.

Immunohistochemistry analysis of Formalin/PFA-fixed paraffin-embedded sections mouse small intestine tissue labelling Sodium/Hydrogen Exchanger 3 with ab307365 at 1 : 5000 dilution (B), MUC2 with ab272692 at 1 : 2000 dilution (C) Eph receptor B2 with ab252935 at 1 : 500 dilution (D). Opal Polymer HRP Ms + Rb was used as a secondary antibody, and DAPI was used for a nuclear counter stain. Heat mediated antigen retrieval with Tris-EDTA buffer (pH 9.0, epitope retrieval solution2) for 20 mins.

Panel A : merged staining of anti-Sodium/Hydrogen Exchanger 3 (green; Opal™520), anti-MUC2 (magenta; Opal™690) and anti-Eph receptor B2 (gray; Opal™570) on mouse small intestine.

Panel B : anti-Sodium/Hydrogen Exchanger 3 staining apical and luminal facing edges of surface cells in mouse small intestine.

Panel C : anti-MUC2 staining goblet cells in mouse small intestine.

Panel D : anti-Eph receptor B2 staining membrane of stem cells in mouse small intestine.

Nuclear DNA was labeled with DAPI (shown in blue).

The section was incubated in three rounds of staining : in the order of ab307365, ab272692 and ab252935 for 30 mins at room temperature. Each round was followed by a separate fluorescent tyramide signal amplification system.

Multiplex immunohistochemistry - Anti-Eph receptor B2 antibody [EPR22427-268] - BSA and Azide free (AB255274)
  • mIHC

Lab

Multiplex immunohistochemistry - Anti-Eph receptor B2 antibody [EPR22427-268] - BSA and Azide free (AB255274)

This data was developed using ab252935, the same antibody clone in a different buffer formulation.

Immunohistochemistry analysis of (Formalin/PFA-fixed paraffin-embedded sections) analysis of Mouse colon tissue labelling Eph receptor B2 with ab252935 at 1/500 dilution (B), GSDMC2 + GSDMC3 with ab229896 at 1/500 dilution (C) and Trefoil Factor 3 with ab300427 at 1/500 dilution (D). Opal Polymer HRP Ms + Rb was used as a secondary antibody, and DAPI was used for a nuclear counter stain. Heat mediated antigen retrieval with Tris-EDTA buffer (pH 9.0, epitope retrieval solution2) for 20 mins.

Panel A : merged staining of anti-Eph receptor B2 (green; Opal™520), anti-GSDMC2/3 (magenta; Opal™690) and anti-Trefoil Factor 3 (gray; Opal™570) on mouse colon.

Panel B : anti-Eph receptor B2 staining stem cells in mouse colon.

Panel C : anti-GSDMC2/3 staining epithelium in mouse colon.

Panel D : anti-Trefoil Factor 3 staining goblet cells in mouse colon.

Nuclear DNA was labeled with DAPI (shown in blue).

The section was incubated in three rounds of staining : in the order of ab252935, ab229896 and ab300427 for 30 mins at room temperature. Each round was followed by a separate fluorescent tyramide signal amplification system.

Multiplex immunohistochemistry - Anti-Eph receptor B2 antibody [EPR22427-268] - BSA and Azide free (AB255274)
  • mIHC

Lab

Multiplex immunohistochemistry - Anti-Eph receptor B2 antibody [EPR22427-268] - BSA and Azide free (AB255274)

This data was developed using ab252935, the same antibody clone in a different buffer formulation.

Multiplex immunohistochemistry analysis of formalin/PFA-fixed paraffin-embedded mouse small intestine tissue staining Eph receptor B2 with ab252935 at 1/500 dilution, ab314897 anti-CaMKII beta used at 1/5000 dilution and ab238123 anti-MPTX used at a 1/2000 dilution. Opal Polymer HRP Ms + Rb was used as a secondary antibody.

Panel A : merged staining of anti-Eph receptor B2 (green; Opal™520), anti-CaMKII beta (magenta; Opal™690) and anti-MPTX (gray; Opal™570) on mouse small intestine.
Panel B : anti-Eph receptor B2 staining membrane of stem cells in mouse small intestine.
Panel C : anti-CaMKII beta staining endocrine cells in mouse small intestine.
Panel D : anti-MPTX staining membrane of Paneth cells in mouse small intestine.
Nuclear DNA was labeled with DAPI (shown in blue).

The section was incubated in three rounds of staining : in the order of ab259935, ab314897 and ab238123 for 30 mins at room temperature. Each round was followed by a separate fluorescent tyramide signal amplification system.

Heat mediated antigen retrieval with Tris-EDTA buffer (pH 9.0, epitope retrieval solution2) for 20 mins.

Western blot - Anti-Eph receptor B2 antibody [EPR22427-268] - BSA and Azide free (AB255274)
  • WB

Lab

Western blot - Anti-Eph receptor B2 antibody [EPR22427-268] - BSA and Azide free (AB255274)

This data was developed using the same antibody clone in a different buffer formulation (ab252935 ).

Western blot : Anti-EPHB2 antibody [EPR22427-268] (ab252935) staining at 1/3000 dilution, shown in green; Mouse anti-CANX [CANX/1543] (ab238078) loading control staining at 1/20000 dilution, shown in magenta. In Western blot, ab252935 was shown to bind specifically to EPHB2. A band was observed at 130 kDa in wild-type HCT 116 cell lysates with no signal observed at this size in EPHB2 knockout cell line. To generate this image, wild-type and EPHB2 knockout HCT 116 cell lysates were analysed. First, samples were run on an SDS-PAGE gel then transferred onto a nitrocellulose membrane. Membranes were blocked in 3 % milk in TBS-0.1 % Tween® 20 (TBS-T) before incubation with primary antibodies overnight at 4 °C. Blots were washed four times in TBS-T, incubated with secondary antibodies for 1 h at room temperature, washed again four times then imaged. Secondary antibodies used were Goat anti-Rabbit IgG H&L 800CW and Goat anti-Mouse IgG H&L 680RD at 1/20000 dilution.

All lanes:

Western blot - Anti-Eph receptor B2 antibody [EPR22427-268] (<a href='/en-us/products/primary-antibodies/eph-receptor-b2-antibody-epr22427-268-ab252935'>ab252935</a>) at 1/3000 dilution

Lane 1:

Wild-type HCT 116 cell lysate at 20 µg

Lane 2:

EPHB2 knockout HCT 116 cell lysate at 20 µg

Lane 2:

Western blot - Human EPHB2 knockout HCT116 cell line (<a href='/en-us/products/cell-lines/human-ephb2-knockout-hct116-cell-line-ab287395'>ab287395</a>)

Lane 3:

A549 cell lysate at 20 µg

Lane 4:

HepG2 cell lysate at 20 µg

Secondary

All lanes:

Goat anti-Rabbit IgG H&L 800CW and Goat anti-Mouse IgG H&L 680RD at 1/20000 dilution

Observed band size: 130 kDa

false

Immunohistochemistry (Frozen sections) - Anti-Eph receptor B2 antibody [EPR22427-268] - BSA and Azide free (AB255274)
  • IHC-Fr

Unknown

Immunohistochemistry (Frozen sections) - Anti-Eph receptor B2 antibody [EPR22427-268] - BSA and Azide free (AB255274)

Immunohistochemical analysis of 4% PFA-fixed, 0.2% Triton X-100 permeabilized frozen mouse colon tissue labeling Eph receptor B2 with ab252935 at 1/250 dilution (green), followed by ab150077 AlexaFluor®488 Goat anti-Rabbit secondary at a 1/1,000 dilution. Positive staining on the membrane of epithelial cells, especially located in the basal crypt region (PMID : 19621336) is observed. Counterstained with DAPI (blue).

Secondary antibody only control : Used PBS instead of primary antibody, secondary antibody is ab150077 AlexaFluor®488 Goat anti-Rabbit used at a 1/1,000 dilution.

Heat mediated antigen retrieval using sodium citrate buffer (10 mM citrate pH 6.0 and 0.05% Tween-20).

This data was developed using the same antibody clone in a different buffer formulation containing PBS, BSA, glycerol, and sodium azide (ab252935).

Immunohistochemistry (Formalin/PFA-fixed paraffin-embedded sections) - Anti-Eph receptor B2 antibody [EPR22427-268] - BSA and Azide free (AB255274)
  • IHC-P

Unknown

Immunohistochemistry (Formalin/PFA-fixed paraffin-embedded sections) - Anti-Eph receptor B2 antibody [EPR22427-268] - BSA and Azide free (AB255274)

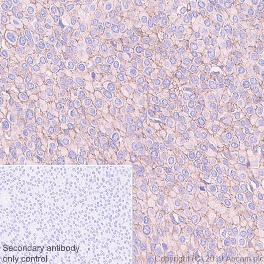
Immunohistochemical analysis of paraffin-embedded human bladder cancer tissue labeling Eph receptor B2 with ab252935 at 1/1000 dilution, followed by a ready to use Goat Anti-Rabbit IgG H&L (HRP). Membranous staining on human bladder cancer (PMID : 24151532, 25148033) is observed. Counterstained with hematoxylin.

Secondary antibody only control : Used PBS instead of primary antibody, secondary antibody is a ready to use Goat Anti-Rabbit IgG H&L (HRP).

Heated citrate solution (10mM citrate pH 6.0 + 0.05% Tween-20).

This data was developed using the same antibody clone in a different buffer formulation containing PBS, BSA, glycerol, and sodium azide (ab252935).

Perform heat mediated antigen retrieval with citrate buffer pH 6 before commencing with IHC staining protocol.

Immunohistochemistry (Frozen sections) - Anti-Eph receptor B2 antibody [EPR22427-268] - BSA and Azide free (AB255274)
  • IHC-Fr

Unknown

Immunohistochemistry (Frozen sections) - Anti-Eph receptor B2 antibody [EPR22427-268] - BSA and Azide free (AB255274)

Immunohistochemical analysis of 4% PFA-fixed, 0.2% Triton X-100 permeabilized frozen mouse liver tissue labeling Eph receptor B2 with ab252935 at 1/50 dilution (green), followed by ab150077 AlexaFluor®488 Goat anti-Rabbit secondary at a 1/1,000 dilution. No staining in mouse liver. Negative control : liver (PMID : 19366806). Counterstained with DAPI (blue).

Secondary antibody only control : Used PBS instead of primary antibody, secondary antibody is ab150077 AlexaFluor®488 Goat anti-Rabbit used at a 1/1,000 dilution.

Heat mediated antigen retrieval using sodium citrate buffer (10 mM citrate pH 6.0 and 0.05% Tween-20).

This data was developed using the same antibody clone in a different buffer formulation containing PBS, BSA, glycerol, and sodium azide (ab252935).

Immunohistochemistry (Formalin/PFA-fixed paraffin-embedded sections) - Anti-Eph receptor B2 antibody [EPR22427-268] - BSA and Azide free (AB255274)
  • IHC-P

Unknown

Immunohistochemistry (Formalin/PFA-fixed paraffin-embedded sections) - Anti-Eph receptor B2 antibody [EPR22427-268] - BSA and Azide free (AB255274)

Immunohistochemical analysis of paraffin-embedded mouse colon tissue labeling Eph receptor B2 with ab252935 at 1/1000 dilution, followed by a ready to use Goat Anti-Rabbit IgG H&L (HRP). Membranous staining on mouse colon (PMID : 24151532) is observed. Counterstained with hematoxylin.

Secondary antibody only control : Used PBS instead of primary antibody, secondary antibody is a ready to use Goat Anti-Rabbit IgG H&L (HRP).

Heated citrate solution (10mM citrate pH 6.0 + 0.05% Tween-20).

This data was developed using the same antibody clone in a different buffer formulation containing PBS, BSA, glycerol, and sodium azide (ab252935).

Perform heat mediated antigen retrieval with citrate buffer pH 6 before commencing with IHC staining protocol.

Immunohistochemistry (Formalin/PFA-fixed paraffin-embedded sections) - Anti-Eph receptor B2 antibody [EPR22427-268] - BSA and Azide free (AB255274)
  • IHC-P

Unknown

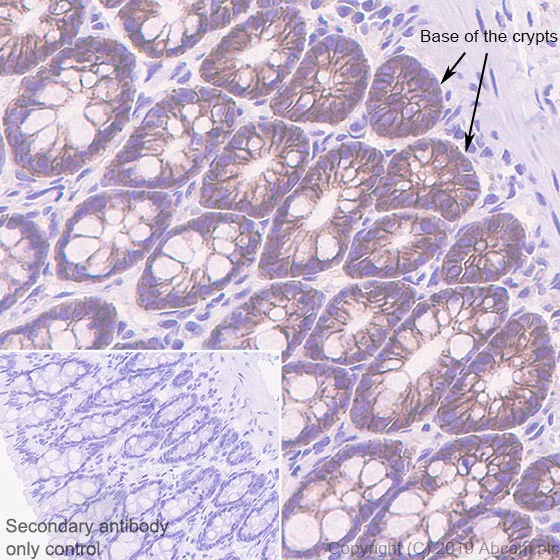
Immunohistochemistry (Formalin/PFA-fixed paraffin-embedded sections) - Anti-Eph receptor B2 antibody [EPR22427-268] - BSA and Azide free (AB255274)

Immunohistochemical analysis of paraffin-embedded human colon tissue labeling Eph receptor B2 with ab252935 at 1/1000 dilution, followed by a ready to use Goat Anti-Rabbit IgG H&L (HRP). Membranous staining on the base of the crypts of human colon (PMID : 24151532) is observed. Counterstained with hematoxylin.

Secondary antibody only control : Used PBS instead of primary antibody, secondary antibody is a ready to use Goat Anti-Rabbit IgG H&L (HRP).

Heated citrate solution (10mM citrate pH 6.0 + 0.05% Tween-20).

This data was developed using the same antibody clone in a different buffer formulation containing PBS, BSA, glycerol, and sodium azide (ab252935).

Perform heat mediated antigen retrieval with citrate buffer pH 6 before commencing with IHC staining protocol.

Immunohistochemistry (Frozen sections) - Anti-Eph receptor B2 antibody [EPR22427-268] - BSA and Azide free (AB255274)
  • IHC-Fr

Unknown

Immunohistochemistry (Frozen sections) - Anti-Eph receptor B2 antibody [EPR22427-268] - BSA and Azide free (AB255274)

Immunohistochemical analysis of 4% PFA-fixed, 0.2% Triton X-100 permeabilized frozen rat colon tissue labeling Eph receptor B2 with ab252935 at 1/250 dilution (green), followed by ab150077 AlexaFluor®488 Goat anti-Rabbit secondary at a 1/1,000 dilution. Positive staining on the membrane of epithelial cells, especially located in the basal crypt region (PMID : 19621336) is observed. Counterstained with DAPI (blue).

Secondary antibody only control : Used PBS instead of primary antibody, secondary antibody is ab150077 AlexaFluor®488 Goat anti-Rabbit used at a 1/1,000 dilution.

Heat mediated antigen retrieval using sodium citrate buffer (10 mM citrate pH 6.0 and 0.05% Tween-20).

This data was developed using the same antibody clone in a different buffer formulation containing PBS, BSA, glycerol, and sodium azide (ab252935).

Key facts

Host species

Rabbit

Clonality

Monoclonal

Clone number

EPR22427-268

Isotype

IgG

Carrier free

Yes

Reacts with

Mouse, Rat, Human

Applications

IHC-P, IHC-Fr, WB, mIHC

applications

Immunogen

The exact immunogen used to generate this antibody is proprietary information.

Reactivity data

{ "title": "Reactivity Data", "filters": { "stats": ["", "Species", "Dilution Info", "Notes"], "tabs": { "all-applications": {"fullname" : "All Applications", "shortname": "All Applications"}, "mIHC" : {"fullname" : "Multiplex immunohistochemistry", "shortname":"mIHC"}, "IHCP" : {"fullname" : "Immunohistochemistry (Formalin/PFA-fixed paraffin-embedded sections)", "shortname":"IHC-P"}, "IP" : {"fullname" : "Immunoprecipitation", "shortname":"IP"}, "FlowCyt" : {"fullname" : "Flow Cytometry", "shortname":"Flow Cyt"}, "WB" : {"fullname" : "Western blot", "shortname":"WB"}, "ICCIF" : {"fullname" : "Immunocytochemistry/ Immunofluorescence", "shortname":"ICC/IF"}, "IHCFr" : {"fullname" : "Immunohistochemistry (Frozen sections)", "shortname":"IHC-Fr"} }, "product-promise": { "all": "all", "testedAndGuaranteed": "tested", "guaranteed": "expected", "predicted": "predicted", "notRecommended": "not-recommended" } }, "values": { "Human": { "mIHC-species-checked": "testedAndGuaranteed", "mIHC-species-dilution-info": "", "mIHC-species-notes": "<p></p>", "IHCP-species-checked": "testedAndGuaranteed", "IHCP-species-dilution-info": "", "IHCP-species-notes": "<p></p> Perform heat-mediated antigen retrieval with citrate buffer pH 6 before commencing with IHC staining protocol.", "IP-species-checked": "notRecommended", "IP-species-dilution-info": "", "IP-species-notes": "<p></p>", "FlowCyt-species-checked": "notRecommended", "FlowCyt-species-dilution-info": "", "FlowCyt-species-notes": "<p></p>", "WB-species-checked": "guaranteed", "WB-species-dilution-info": "", "WB-species-notes": "<p></p>", "ICCIF-species-checked": "notRecommended", "ICCIF-species-dilution-info": "", "ICCIF-species-notes": "<p></p>", "IHCFr-species-checked": "guaranteed", "IHCFr-species-dilution-info": "", "IHCFr-species-notes": "" }, "Mouse": { "mIHC-species-checked": "guaranteed", "mIHC-species-dilution-info": "", "mIHC-species-notes": "", "IHCP-species-checked": "guaranteed", "IHCP-species-dilution-info": "", "IHCP-species-notes": "", "IP-species-checked": "notRecommended", "IP-species-dilution-info": "", "IP-species-notes": "<p></p>", "FlowCyt-species-checked": "notRecommended", "FlowCyt-species-dilution-info": "", "FlowCyt-species-notes": "<p></p>", "WB-species-checked": "guaranteed", "WB-species-dilution-info": "", "WB-species-notes": "<p></p>", "ICCIF-species-checked": "notRecommended", "ICCIF-species-dilution-info": "", "ICCIF-species-notes": "<p></p>", "IHCFr-species-checked": "testedAndGuaranteed", "IHCFr-species-dilution-info": "", "IHCFr-species-notes": "<p>Heat mediated antigen retrieval using sodium citrate buffer (10 mM citrate pH 6.0 and 0.05% Tween-20).</p>" }, "Rat": { "mIHC-species-checked": "testedAndGuaranteed", "mIHC-species-dilution-info": "", "mIHC-species-notes": "<p></p>", "IHCP-species-checked": "guaranteed", "IHCP-species-dilution-info": "", "IHCP-species-notes": "", "IP-species-checked": "notRecommended", "IP-species-dilution-info": "", "IP-species-notes": "<p></p>", "FlowCyt-species-checked": "notRecommended", "FlowCyt-species-dilution-info": "", "FlowCyt-species-notes": "<p></p>", "WB-species-checked": "guaranteed", "WB-species-dilution-info": "", "WB-species-notes": "<p></p>", "ICCIF-species-checked": "notRecommended", "ICCIF-species-dilution-info": "", "ICCIF-species-notes": "<p></p>", "IHCFr-species-checked": "guaranteed", "IHCFr-species-dilution-info": "", "IHCFr-species-notes": "" } } }

Product details

ab255274 is the carrier-free version of ab252935.

Patented technology
Our RabMAb® technology is a patented hybridoma-based technology for making rabbit monoclonal antibodies. For details on our patents, please refer to RabMAb® patents.

What are the advantages of a recombinant monoclonal antibody?
This product is a recombinant monoclonal antibody, which offers several advantages including:

  • - High batch-to-batch consistency and reproducibility
  • - Improved sensitivity and specificity
  • - Long-term security of supply
  • - Animal-free batch production

For more information, read more on recombinant antibodies.

Conjugation ready
Our carrier-free antibodies are typically supplied in a PBS-only formulation, purified and free of BSA, sodium azide and glycerol. This conjugation-ready format is designed for use with fluorochromes, metal isotopes, oligonucleotides, and enzymes, which makes them ideal for antibody labelling, functional and cell-based assays, flow-based assays (e.g. mass cytometry) and Multiplex Imaging applications.

Use our conjugation kits for antibody conjugates that are ready-to-use in as little as 20 minutes with 1 minute hands-on-time and 100% antibody recovery: available for fluorescent dyes, HRP, biotin and gold.

Compatibility
This product is compatible with the Maxpar® Antibody Labeling Kit from Fluidigm, without the need for antibody preparation. Maxpar® is a trademark of Fluidigm Canada Inc.

Properties and storage information

Form
Liquid
Purification technique
Affinity purification Protein A
Storage buffer
pH: 7.2 - 7.4 Constituents: PBS
Shipped at conditions
Blue Ice
Appropriate short-term storage conditions
+4°C
Appropriate long-term storage conditions
+4°C
Storage information
Do Not Freeze

Supplementary information

This supplementary information is collated from multiple sources and compiled automatically.

Eph receptor B2 also known as EphB2 is a member of the Eph receptor family which includes a number of receptor tyrosine kinases. It has a molecular weight of approximately 110 kDa. The B2 receptor is strongly expressed in various tissues including the brain spinal cord and developing embryos. These proteins include the Eph protein as well as other B2 proteins. The receptor plays a mechanical role in guiding cell positioning and tissue patterning by interacting with Ephrin ligands specifically ephrin-B2 and ephrin-B3.
Biological function summary

Eph receptor B2 functions in cell-cell communication and is involved in neuronal navigation and synaptic plasticity. It forms part of a complex that brings together ligand-receptor pairs on adjacent cells facilitating bidirectional signaling. The receptor's activation influences neuronal circuitry remodeling and helps in the differentiation of numerous cell types. The B2 protein acting as anti B2 modulates various cell signaling mechanisms essential for normal physiological functioning especially in the nervous system where it contributes to the intricate network of the eph protein interactions.

Pathways

These interactions place Eph receptor B2 in significant signaling pathways such as the MAPK/ERK and PI3K/Akt pathways. These play influential roles in cell proliferation survival and migration. The receptor interacts with numerous proteins including AB25AP through these pathways affecting developmental processes and mature cellular functions. The precise regulation of these pathways is necessary for maintaining homeostasis in complex biological systems especially within the context of the nervous system.

Alterations in Eph receptor B2 expressions have been linked to conditions such as cancer and Alzheimer’s disease. In cancers overexpression of the B2 receptor can contribute to the abnormal growth and metastasis of tumor cells often through mechanisms involving interactions with other tumorigenic proteins like Eph receptor A2. In Alzheimer's disease changes in B2 receptor signaling are associated with disrupted synaptic plasticity leading to cognitive deficits highlighting the importance of the Eph B2 receptor and its interplay with related signaling proteins in disease pathways.

Product protocols

For this product, it's our understanding that no specific protocols are required. You can visit:

Target data

Receptor tyrosine kinase which binds promiscuously transmembrane ephrin-B family ligands residing on adjacent cells, leading to contact-dependent bidirectional signaling into neighboring cells. The signaling pathway downstream of the receptor is referred to as forward signaling while the signaling pathway downstream of the ephrin ligand is referred to as reverse signaling. Functions in axon guidance during development. Involved in the guidance of commissural axons, that form a major interhemispheric connection between the 2 temporal lobes of the cerebral cortex. Also involved in guidance of contralateral inner ear efferent growth cones at the midline and of retinal ganglion cell axons to the optic disk. In addition to axon guidance, also regulates dendritic spines development and maturation and stimulates the formation of excitatory synapses. Upon activation by EFNB1, abolishes the ARHGEF15-mediated negative regulation on excitatory synapse formation. Controls other aspects of development including angiogenesis, palate development and in inner ear development through regulation of endolymph production. Forward and reverse signaling through the EFNB2/EPHB2 complex regulate movement and adhesion of cells that tubularize the urethra and septate the cloaca. May function as a tumor suppressor. May be involved in the regulation of platelet activation and blood coagulation (PubMed : 30213874).
See full target information EPHB2

Product promise

We are committed to supporting your work with high-quality reagents, and we're here for you every step of the way. In the unlikely event that one of our products does not perform as expected, you're protected by our Product Promise.
For full details, please see our Terms & Conditions

Please note: All products are 'FOR RESEARCH USE ONLY. NOT FOR USE IN DIAGNOSTIC OR THERAPEUTIC PROCEDURES'.

For licensing inquiries, please contact partnerships@abcam.com