JavaScript is disabled in your browser. Please enable JavaScript to view this website.
AB254300

Anti-Eph receptor B4/HTK antibody [EPR23221-54]

Be the first to review this product! Submit a review

|

(1 Publication)

Rabbit Recombinant Monoclonal Eph receptor B4/HTK antibody. Suitable for IP, WB and reacts with Human samples. Cited in 1 publication.

View Alternative Names

HTK, MYK1, TYRO11, EPHB4, Ephrin type-B receptor 4, Hepatoma transmembrane kinase, Tyrosine-protein kinase TYRO11

4 Images
Western blot - Anti-Eph receptor B4/HTK antibody [EPR23221-54] (AB254300)
  • WB

Unknown

Western blot - Anti-Eph receptor B4/HTK antibody [EPR23221-54] (AB254300)

Blocking and dilution buffer : 5% NFDM/TBST.

Exposure time : 37 seconds.

Negative control : SW620 (PMID : 19366806).

EphB4 is negative in SW620 and positive in HT29 and HUVEC, which is different from expression profiles of other EphB family members.

Cleaved intracellular domain (ICD) was observed at around 47kDa. (PMID : 24854540).

The expression profile observed is consistent with what has been described in the literature (PMID : 19366806, 16840724).

All lanes:

Western blot - Anti-Eph receptor B4/HTK antibody [EPR23221-54] (ab254300) at 1/1000 dilution

Lane 1:

HT-29 (human colorectal adenocarcinoma epithelial cell), whole cell lysate at 20 µg

Lane 2:

HUVEC (human umbilical vein endothelial cell), whole cell lysate at 20 µg

Lane 3:

SW620 (human colorectal adenocarcinoma epithelial cell), whole cell lysate at 20 µg

Lane 4:

HCT 116 (human colorectal carcinoma epithelial cell), whole cell lysate at 20 µg

Lane 5:

MCF7 (human breast adenocarcinoma epithelial cell), whole cell lysate at 20 µg

Secondary

All lanes:

Western blot - Goat Anti-Rabbit IgG H&L (HRP) (<a href='/en-us/products/secondary-antibodies/goat-rabbit-igg-h-l-hrp-ab97051'>ab97051</a>) at 1/100000 dilution

Predicted band size: 108 kDa

Observed band size: 120 kDa

false

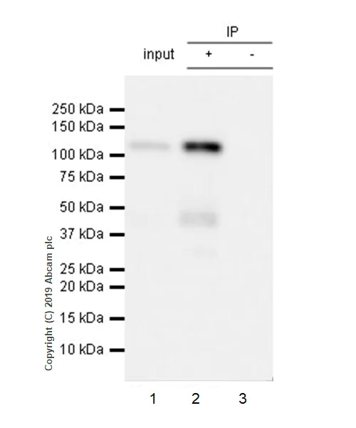
Immunoprecipitation - Anti-Eph receptor B4/HTK antibody [EPR23221-54] (AB254300)
  • IP

Unknown

Immunoprecipitation - Anti-Eph receptor B4/HTK antibody [EPR23221-54] (AB254300)

Eph receptor B4 was immunoprecipitated from 0.35 mg HUVEC (human umbilical vein endothelial cell) whole cell lysate with ab254300 at 1/30 dilution (2ug in 0.35mg lysates). Western blot was performed on the immunoprecipitate using ab254300 at 1/500 dilution. VeriBlot for IP Detection Reagent (HRP) (ab131366) was used at 1/1000 dilution.

Lane 1 : HUVEC (human umbilical vein endothelial cell) whole cell lysate 10ug

Lane 2 : ab254300 IP in HUVEC whole cell lysate

Lane 3 : Rabbit monoclonal IgG (ab172730) instead of ab254300 in HUVEC whole cell lysate

Blocking and dilution buffer and concentration : 5% NFDM/TBST.

Exposure time : 8 seconds.

Cleaved intracellular domain (ICD) was observed at around 47kDa. (PMID : 24854540).

All lanes:

Immunoprecipitation - Anti-Eph receptor B4/HTK antibody [EPR23221-54] (ab254300)

Predicted band size: 108 kDa

Observed band size: 120 kDa

false

Immunoprecipitation - Anti-Eph receptor B4/HTK antibody [EPR23221-54] (AB254300)
  • IP

Unknown

Immunoprecipitation - Anti-Eph receptor B4/HTK antibody [EPR23221-54] (AB254300)

Eph receptor B4 was immunoprecipitated from 0.35 mg HT-29 (human colorectal adenocarcinoma epithelial cell) whole cell lysate with ab254300 at 1/30 dilution (2ug in 0.35mg lysates). Western blot was performed on the immunoprecipitate using ab254300 at 1/500 dilution. VeriBlot for IP Detection Reagent (HRP) (ab131366) was used at 1/1000 dilution.

Lane 1 : HT-29 (human colorectal adenocarcinoma epithelial cell) whole cell lysate 10ug

Lane 2 : ab254300 IP in HT-29 whole cell lysate

Lane 3 : Rabbit monoclonal IgG (ab172730) instead of ab254300 in HT-29 whole cell lysate

Blocking and dilution buffer and concentration : 5% NFDM/TBST.

Exposure time : 8 seconds.

Cleaved intracellular domain (ICD) was observed at around 47kDa. (PMID : 24854540).

All lanes:

Immunoprecipitation - Anti-Eph receptor B4/HTK antibody [EPR23221-54] (ab254300)

Predicted band size: 108 kDa

Observed band size: 120 kDa

false

Western blot - Anti-Eph receptor B4/HTK antibody [EPR23221-54] (AB254300)
  • WB

Unknown

Western blot - Anti-Eph receptor B4/HTK antibody [EPR23221-54] (AB254300)

Lanes 1-4 : Merged signal (red and green). Green - ab254300 observed at 125 kDa. Red - loading control ab8245 observed at 36 kDa.

ab254300 Anti-Eph receptor B4/HTK antibody [EPR23221-54] was shown to specifically react with Eph receptor B4/HTK in wild-type HEK293T cells. Loss of signal was observed when knockout cell line ab266733 (knockout cell lysate ab257429) was used. Wild-type and Eph receptor B4/HTK knockout samples were subjected to SDS-PAGE. ab254300 and Anti-GAPDH antibody [6C5] - Loading Control (ab8245) were incubated overnight at 4°C at 1 in 1000 dilution and 1 in 20000 dilution respectively. Blots were developed with Goat anti-Rabbit IgG H&L (IRDye® 800CW) preadsorbed (ab216773) and Goat anti-Mouse IgG H&L (IRDye® 680RD) preadsorbed (ab216776) secondary antibodies at 1 in 20000 dilution for 1 hour at room temperature before imaging.

All lanes:

Western blot - Anti-Eph receptor B4/HTK antibody [EPR23221-54] (ab254300) at 1/1000 dilution

Lane 1:

Wild-type HEK293T cell lysate at 20 µg

Lane 2:

EPHB4 knockout HEK293T cell lysate at 20 µg

Lane 2:

Western blot - Human EPHB4 (Eph receptor B4/HTK) knockout HEK-293T cell line (<a href='/en-us/products/cell-lines/human-ephb4-eph-receptor-b4-htk-knockout-hek-293t-cell-line-ab266733'>ab266733</a>)

Lane 3:

MCF7 cell lysate at 20 µg

Lane 4:

HT-29 cell lysate at 20 µg

Secondary

All lanes:

Western blot - Goat anti-Rabbit IgG H&L (IRDye® 800CW) preadsorbed (<a href='/en-us/products/secondary-antibodies/goat-rabbit-igg-h-l-irdye-800cw-preadsorbed-ab216773'>ab216773</a>) at 1/10000 dilution

Predicted band size: 108 kDa

Observed band size: 125 kDa

false

Key facts

Host species

Rabbit

Clonality

Monoclonal

Clone number

EPR23221-54

Isotype

IgG

Carrier free

No

Reacts with

Human

Applications

IP, WB

applications

Immunogen

The exact immunogen used to generate this antibody is proprietary information.

Reactivity data

{ "title": "Reactivity Data", "filters": { "stats": ["", "Species", "Dilution Info", "Notes"], "tabs": { "all-applications": {"fullname" : "All Applications", "shortname": "All Applications"}, "IP" : {"fullname" : "Immunoprecipitation", "shortname":"IP"}, "FlowCyt" : {"fullname" : "Flow Cytometry", "shortname":"Flow Cyt"}, "WB" : {"fullname" : "Western blot", "shortname":"WB"}, "IHCP" : {"fullname" : "Immunohistochemistry (Formalin/PFA-fixed paraffin-embedded sections)", "shortname":"IHC-P"}, "ICCIF" : {"fullname" : "Immunocytochemistry/ Immunofluorescence", "shortname":"ICC/IF"} }, "product-promise": { "all": "all", "testedAndGuaranteed": "tested", "guaranteed": "expected", "predicted": "predicted", "notRecommended": "not-recommended" } }, "values": { "Human": { "IP-species-checked": "testedAndGuaranteed", "IP-species-dilution-info": "1/30", "IP-species-notes": "<p></p>", "FlowCyt-species-checked": "notRecommended", "FlowCyt-species-dilution-info": "", "FlowCyt-species-notes": "<p></p>", "WB-species-checked": "testedAndGuaranteed", "WB-species-dilution-info": "1/1000", "WB-species-notes": "<p></p>", "IHCP-species-checked": "notRecommended", "IHCP-species-dilution-info": "", "IHCP-species-notes": "<p></p>", "ICCIF-species-checked": "notRecommended", "ICCIF-species-dilution-info": "", "ICCIF-species-notes": "<p></p>" } } }

Product details

Patented technology
Our RabMAb® technology is a patented hybridoma-based technology for making rabbit monoclonal antibodies. For details on our patents, please refer to RabMAb® patents.

What are the advantages of a recombinant monoclonal antibody?
This product is a recombinant monoclonal antibody, which offers several advantages including:

  • - High batch-to-batch consistency and reproducibility
  • - Improved sensitivity and specificity
  • - Long-term security of supply
  • - Animal-free batch production

For more information, read more on recombinant antibodies.

Properties and storage information

Form
Liquid
Purification technique
Affinity purification Protein A
Storage buffer
pH: 7.2 - 7.4 Preservative: 0.01% Sodium azide Constituents: PBS, 40% Glycerol (glycerin, glycerine), 0.05% BSA
Shipped at conditions
Blue Ice
Appropriate short-term storage duration
1-2 weeks
Appropriate short-term storage conditions
+4°C
Appropriate long-term storage conditions
-20°C
Aliquoting information
Upon delivery aliquot
Storage information
Avoid freeze / thaw cycle

Supplementary information

This supplementary information is collated from multiple sources and compiled automatically.

The Eph receptor B4 also known as EphB4 or HTK is a protein belonging to the Ephrin receptor subfamily of receptor tyrosine kinases. The receptor has a molecular weight of about 120 kDa. EphB4 typically interacts with its binding partner ephrin-B2 facilitating bidirectional signaling. These complexes reside in the cell membrane and are mainly found in vascular endothelial cells and various tissues including the heart lungs and skin. Notably this receptor plays a role in cellular processes like cell migration and adhesion.
Biological function summary

The Eph receptor B4 is a significant regulator of angiogenesis and vascular development. It forms a critical component of a signaling complex that also includes ephrin-B2. During embryonic development EphB4's interaction with ephrin-B2 guides the proper formation and organization of blood vessels. In adult organisms it remains active in maintaining vascular homeostasis. Additionally this receptor impacts neuronal development and repair through modulating axon guidance and synaptic plasticity.

Pathways

EphB4 engages in various cellular signaling cascades. It features prominently within pathways governing angiogenesis and cell adhesion. EphB4 acts as a central player in the VEGF signaling pathway modulating endothelial cell behavior. The protein’s pathways frequently intersect with other proteins such as FAK and Src influencing cell motility and morphology. Furthermore in the ephrin receptor pathway it cross-talks with other Eph receptors like EphA4 assisting in diverse biological functions.

Abnormal Eph receptor B4 activity associates with several pathological conditions. Dysregulation often links to cancer due to its role in neovascularization and tumor progression. Overexpression of EphB4 in tumors like breast and colorectal cancer suggests a contribution to malignancy by supporting angiogenesis and tumor growth. In vascular disorders impaired EphB4-ephrin-B2 signaling may lead to defects in blood vessel formation. Additionally alterations in this receptor are observed in neurological diseases such as Alzheimer's where EphB4 interacts with tau protein-modifying vascular and neuronal deficiencies.

Product protocols

For this product, it's our understanding that no specific protocols are required. You can visit:

Target data

Receptor tyrosine kinase which binds promiscuously transmembrane ephrin-B family ligands residing on adjacent cells, leading to contact-dependent bidirectional signaling into neighboring cells. The signaling pathway downstream of the receptor is referred to as forward signaling while the signaling pathway downstream of the ephrin ligand is referred to as reverse signaling. Together with its cognate ligand/functional ligand EFNB2 it is involved in the regulation of cell adhesion and migration, and plays a central role in heart morphogenesis, angiogenesis and blood vessel remodeling and permeability. EPHB4-mediated forward signaling controls cellular repulsion and segregation from EFNB2-expressing cells.
See full target information EPHB4

Publications (1)

Recent publications for all applications. Explore the full list and refine your search

Molecular medicine reports 24: PubMed34476505

2021

Overexpression of EphB4 promotes neurogenesis, but inhibits neuroinflammation in mice with acute ischemic stroke.

Applications

Unspecified application

Species

Unspecified reactive species

Jin Wang,Zun Zhang,Shaojing Fu,Xiaojie Li,Xinhui Li,Shaobin Wang,Lihe Yuan
View all publications

Product promise

We are committed to supporting your work with high-quality reagents, and we're here for you every step of the way. In the unlikely event that one of our products does not perform as expected, you're protected by our Product Promise.
For full details, please see our Terms & Conditions

Please note: All products are 'FOR RESEARCH USE ONLY. NOT FOR USE IN DIAGNOSTIC OR THERAPEUTIC PROCEDURES'.

For licensing inquiries, please contact partnerships@abcam.com