JavaScript is disabled in your browser. Please enable JavaScript to view this website.
AB73259

Anti-Eph receptor B4/HTK antibody [RM0056-6A14]

5

(1 Review)

|

(5 Publications)

Rat Monoclonal Eph receptor B4/HTK antibody. Suitable for IHC-P and reacts with Mouse samples. Cited in 5 publications. Immunogen corresponding to Recombinant Fragment Protein within Mouse Ephb4.

View Alternative Names

Htk, Mdk2, Myk1, Ephb4, Ephrin type-B receptor 4, Developmental kinase 2, Hepatoma transmembrane kinase, Tyrosine kinase MYK-1, mDK-2

2 Images
Immunohistochemistry (Formalin/PFA-fixed paraffin-embedded sections) - Anti-Eph receptor B4/HTK antibody [RM0056-6A14] (AB73259)
  • IHC-P

AbReview20497****

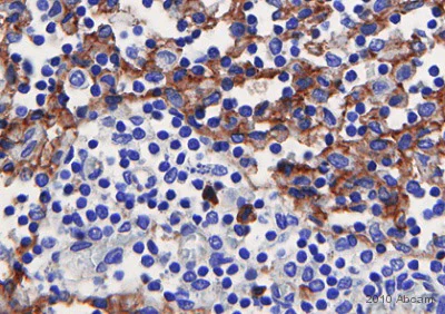
Immunohistochemistry (Formalin/PFA-fixed paraffin-embedded sections) - Anti-Eph receptor B4/HTK antibody [RM0056-6A14] (AB73259)

ab73259 staining the Eph receptor B4/HTK in Mouse lymph node tissue sections by Immunohistochemistry (IHC-P - paraformaldehyde-fixed, paraffin-embedded sections). Tissue was fixed with paraformaldehyde and blocked with 10% serum for 1 hour at 20°C; antigen retrieval was not performed. Samples were incubated with primary antibody (1/100) for 12 hours at 4°C. A Biotin-conjugated Rabbit anti-rat polyclonal (1/200) was used as the secondary antibody.

This image is courtesy of an anonymous Abreview

Immunohistochemistry (Formalin/PFA-fixed paraffin-embedded sections) - Anti-Eph receptor B4/HTK antibody [RM0056-6A14] (AB73259)
  • IHC-P

Unknown

Immunohistochemistry (Formalin/PFA-fixed paraffin-embedded sections) - Anti-Eph receptor B4/HTK antibody [RM0056-6A14] (AB73259)

ab73259 at 1/200 dilution, staining Eph receptor B4/HTK in LPS treated mouse kidney tissue section by Immunohistochemistry (Formalin/PFA fixed paraffin-embedded sections).

Key facts

Host species

Rat

Clonality

Monoclonal

Clone number

RM0056-6A14

Isotype

IgG1

Carrier free

No

Reacts with

Mouse

Applications

IHC-P

applications

Immunogen

Recombinant Fragment Protein within Mouse Ephb4. The exact immunogen used to generate this antibody is proprietary information.

P54761

Specificity

ab73259 is specific for mouse Eph receptor B4/HTK. It does not cross-react with recombinant mouse EphA2, EphA3, EphA4, EphA6, EphA7 and EphB6

Reactivity data

{ "title": "Reactivity Data", "filters": { "stats": ["", "Species", "Dilution Info", "Notes"], "tabs": { "all-applications": {"fullname" : "All Applications", "shortname": "All Applications"}, "IHCP" : {"fullname" : "Immunohistochemistry (Formalin/PFA-fixed paraffin-embedded sections)", "shortname":"IHC-P"} }, "product-promise": { "all": "all", "testedAndGuaranteed": "tested", "guaranteed": "expected", "predicted": "predicted", "notRecommended": "not-recommended" } }, "values": { "Mouse": { "IHCP-species-checked": "testedAndGuaranteed", "IHCP-species-dilution-info": "1/100 - 1/200", "IHCP-species-notes": "<p>Perform enzymatic antigen retrieval with 20 ug/ml proteinase K before commencing with IHC protocol.</p>" } } }

Properties and storage information

Form
Liquid
Purification technique
Affinity purification Protein A
Purification notes
ab73259 was produced from a hybridoma (mouse myeloma fused withspleen cells from a rat immunized with recombinant mouse Eph receptor B4/HTK extracellular domain).
Storage buffer
Constituents: PBS
Shipped at conditions
Blue Ice
Appropriate short-term storage conditions
+4°C
Appropriate long-term storage conditions
-20°C
Aliquoting information
Upon delivery aliquot
Storage information
Avoid freeze / thaw cycle

Supplementary information

This supplementary information is collated from multiple sources and compiled automatically.

The Eph receptor B4 also known as EphB4 or HTK is a protein belonging to the Ephrin receptor subfamily of receptor tyrosine kinases. The receptor has a molecular weight of about 120 kDa. EphB4 typically interacts with its binding partner ephrin-B2 facilitating bidirectional signaling. These complexes reside in the cell membrane and are mainly found in vascular endothelial cells and various tissues including the heart lungs and skin. Notably this receptor plays a role in cellular processes like cell migration and adhesion.
Biological function summary

The Eph receptor B4 is a significant regulator of angiogenesis and vascular development. It forms a critical component of a signaling complex that also includes ephrin-B2. During embryonic development EphB4's interaction with ephrin-B2 guides the proper formation and organization of blood vessels. In adult organisms it remains active in maintaining vascular homeostasis. Additionally this receptor impacts neuronal development and repair through modulating axon guidance and synaptic plasticity.

Pathways

EphB4 engages in various cellular signaling cascades. It features prominently within pathways governing angiogenesis and cell adhesion. EphB4 acts as a central player in the VEGF signaling pathway modulating endothelial cell behavior. The protein’s pathways frequently intersect with other proteins such as FAK and Src influencing cell motility and morphology. Furthermore in the ephrin receptor pathway it cross-talks with other Eph receptors like EphA4 assisting in diverse biological functions.

Abnormal Eph receptor B4 activity associates with several pathological conditions. Dysregulation often links to cancer due to its role in neovascularization and tumor progression. Overexpression of EphB4 in tumors like breast and colorectal cancer suggests a contribution to malignancy by supporting angiogenesis and tumor growth. In vascular disorders impaired EphB4-ephrin-B2 signaling may lead to defects in blood vessel formation. Additionally alterations in this receptor are observed in neurological diseases such as Alzheimer's where EphB4 interacts with tau protein-modifying vascular and neuronal deficiencies.

Product protocols

For this product, it's our understanding that no specific protocols are required. You can visit:

Target data

Receptor tyrosine kinase which binds promiscuously transmembrane ephrin-B family ligands residing on adjacent cells, leading to contact-dependent bidirectional signaling into neighboring cells. The signaling pathway downstream of the receptor is referred to as forward signaling while the signaling pathway downstream of the ephrin ligand is referred to as reverse signaling. Together with its cognate ligand/functional ligand EFNB2 it is involved in the regulation of cell adhesion and migration, and plays a central role in heart morphogenesis, angiogenesis and blood vessel remodeling and permeability. EPHB4-mediated forward signaling controls cellular repulsion and segregation from EFNB2-expressing cells.
See full target information Ephb4

Publications (5)

Recent publications for all applications. Explore the full list and refine your search

Journal of materials science. Materials in medicine 33:19 PubMed35072831

2022

Loading of erythropoietin on biphasic calcium phosphate bioceramics promotes osteogenesis and angiogenesis by regulating EphB4/EphrinB2 molecules.

Applications

Unspecified application

Species

Unspecified reactive species

Yu Wang,Peng Wang,Qionghui Wu,Zhifan Qin,Zichao Xiang,Yuxian Chu,Jihua Li

Annals of neurology 89:926-941 PubMed33675084

2021

Selective Endothelial Hyperactivation of Oncogenic KRAS Induces Brain Arteriovenous Malformations in Mice.

Applications

Unspecified application

Species

Unspecified reactive species

Eun S Park,Sehee Kim,Shuning Huang,Ji Young Yoo,Jakob Körbelin,Tae Jin Lee,Balveen Kaur,Pramod K Dash,Peng R Chen,Eunhee Kim

Cell death & disease 10:801 PubMed31641103

2019

EPHB4 inhibition activates ER stress to promote immunogenic cell death of prostate cancer cells.

Applications

Unspecified application

Species

Unspecified reactive species

Vinay Sagar,Rajita Vatapalli,Barbara Lysy,Sahithi Pamarthy,Jonathan F Anker,Yara Rodriguez,Huiying Han,Kenji Unno,Walter M Stadler,William J Catalona,Maha Hussain,Parkash S Gill,Sarki A Abdulkadir

Developmental dynamics : an official publication o 246:1047-1056 PubMed28929539

2017

Refuting the hypothesis that semaphorin-3f/neuropilin-2 exclude blood vessels from the cap mesenchyme in the developing kidney.

Applications

Unspecified application

Species

Unspecified reactive species

David A D Munro,Peter Hohenstein,Thomas M Coate,Jamie A Davies

Scientific reports 6:27195 PubMed27250641

2016

EphrinB2 regulates the emergence of a hemogenic endothelium from the aorta.

Applications

ICC/IF

Species

Mouse

Inn-Inn Chen,Arianna Caprioli,Hidetaka Ohnuki,Hyeongil Kwak,Catherine Porcher,Giovanna Tosato
View all publications

Product promise

We are committed to supporting your work with high-quality reagents, and we're here for you every step of the way. In the unlikely event that one of our products does not perform as expected, you're protected by our Product Promise.
For full details, please see our Terms & Conditions

Please note: All products are 'FOR RESEARCH USE ONLY. NOT FOR USE IN DIAGNOSTIC OR THERAPEUTIC PROCEDURES'.

For licensing inquiries, please contact partnerships@abcam.com