JavaScript is disabled in your browser. Please enable JavaScript to view this website.
AB73260

Anti-Eph receptor B6 antibody [RM0057-9B17]

Be the first to review this product! Submit a review

|

(1 Publication)

Rat Monoclonal Eph receptor B6 antibody. Suitable for IHC-P and reacts with Mouse samples. Cited in 1 publication. Immunogen corresponding to Recombinant Fragment Protein within Mouse Ephb6.

View Alternative Names

Cekl, Ephrin type-B receptor 6, MEP, Tyrosine-protein kinase-defective receptor EPH-6

1 Images
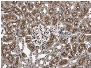
Immunohistochemistry (Formalin/PFA-fixed paraffin-embedded sections) - Anti-Eph receptor B6 antibody [RM0057-9B17] (AB73260)
  • IHC-P

Unknown

Immunohistochemistry (Formalin/PFA-fixed paraffin-embedded sections) - Anti-Eph receptor B6 antibody [RM0057-9B17] (AB73260)

ab73260 at 1/200 dilution, staining Eph receptor B6 in LPS treated mouse kidney tissue section by Immunohistochemistry (Formalin/PFA fixed paraffin-embedded sections).

Key facts

Host species

Rat

Clonality

Monoclonal

Clone number

RM0057-9B17

Isotype

IgG2

Carrier free

No

Reacts with

Mouse

Applications

IHC-P

applications

Immunogen

Recombinant Fragment Protein within Mouse Ephb6. The exact immunogen used to generate this antibody is proprietary information.

O08644

Specificity

ab73260 is specific for mouse Eph receptor B6. It does not cross-react with recombinant mouse EphA2, EphA3, EphA4, EphA6, EphA7 EphA8, EphB2, EphB3, and EphB4

Reactivity data

{ "title": "Reactivity Data", "filters": { "stats": ["", "Species", "Dilution Info", "Notes"], "tabs": { "all-applications": {"fullname" : "All Applications", "shortname": "All Applications"}, "IHCP" : {"fullname" : "Immunohistochemistry (Formalin/PFA-fixed paraffin-embedded sections)", "shortname":"IHC-P"} }, "product-promise": { "all": "all", "testedAndGuaranteed": "tested", "guaranteed": "expected", "predicted": "predicted", "notRecommended": "not-recommended" } }, "values": { "Mouse": { "IHCP-species-checked": "testedAndGuaranteed", "IHCP-species-dilution-info": "1/50 - 1/200", "IHCP-species-notes": "<p></p>" } } }

Properties and storage information

Form
Liquid
Purification technique
Affinity purification Protein A
Purification notes
ab73260 was produced from a hybridoma (mouse myeloma fused withspleen cells from a rat immunized with recombinant mouse Eph receptor B6 extracellular domain).
Storage buffer
Constituents: PBS
Shipped at conditions
Blue Ice
Appropriate short-term storage conditions
+4°C
Appropriate long-term storage conditions
-20°C
Aliquoting information
Upon delivery aliquot
Storage information
Avoid freeze / thaw cycle

Supplementary information

This supplementary information is collated from multiple sources and compiled automatically.

Eph receptor B6 also known as EphB6 is a member of the Eph receptor family which includes a group of receptor tyrosine kinases. EphB6 has an approximate molecular mass of 108 kDa. Unlike other members of the Eph receptor family it lacks kinase activity due to mutations in its kinase domain. EphB6 is expressed in various tissues with higher expression noted in the thymus brain and certain immune cells. It primarily functions by binding to ephrin ligands particularly ephrin-B family members allowing it to interact within the cellular environment despite its kinase-inactive state.
Biological function summary

EphB6 plays an important role in cell adhesion migration and regulation of immune responses. Although it forms part of the larger Eph-ephrin signaling complex EphB6 contributes to cellular communication without exhibiting intrinsic catalytic action. Its interactions often influence cytoskeletal organization and can impact cell shape and movement. More specifically EphB6 signaling is modulated through its ability to form complexes with other kinases such as EphB1 or EphB4 which can provide the kinase activity needed for downstream effects.

Pathways

EphB6 participates in important signaling networks such as the PI3K/AKT and MAPK pathways. These pathways are important for regulating cell survival and proliferation. In the context of these pathways EphB6 interacts with proteins such as PI3K influencing pathway activation and cellular outcomes. Eph-ephrin complexes can also integrate into the MAPK pathway through other Eph receptors facilitating various cellular responses in development and immune function.

Alterations in EphB6 expression or function have been linked to cancer and autoimmune conditions. In cancers like melanoma modifications in EphB6 expression levels or its pathway interactions can affect tumor progression and metastasis. In autoimmune disorders EphB6 functions might alter immune cell behavior contributing to disease pathology. Notably EphB6's interaction with other Eph receptors such as EphB4 has been noted in some cancers showing that the balance of Eph receptor interactions can impact disease outcomes.

Product protocols

For this product, it's our understanding that no specific protocols are required. You can visit:

Target data

Kinase-defective receptor for members of the ephrin-B family. Binds to ephrin-B1 and ephrin-B2. Modulates cell adhesion and migration by exerting both positive and negative effects upon stimulation with ephrin-B2. Inhibits JNK activation, T-cell receptor-induced IL-2 secretion and CD25 expression upon stimulation with ephrin-B2 (By similarity).
See full target information Ephb6

Publications (1)

Recent publications for all applications. Explore the full list and refine your search

Journal of materials science. Materials in medicine 33:19 PubMed35072831

2022

Loading of erythropoietin on biphasic calcium phosphate bioceramics promotes osteogenesis and angiogenesis by regulating EphB4/EphrinB2 molecules.

Applications

Unspecified application

Species

Unspecified reactive species

Yu Wang,Peng Wang,Qionghui Wu,Zhifan Qin,Zichao Xiang,Yuxian Chu,Jihua Li
View all publications

Product promise

We are committed to supporting your work with high-quality reagents, and we're here for you every step of the way. In the unlikely event that one of our products does not perform as expected, you're protected by our Product Promise.
For full details, please see our Terms & Conditions

Please note: All products are 'FOR RESEARCH USE ONLY. NOT FOR USE IN DIAGNOSTIC OR THERAPEUTIC PROCEDURES'.

For licensing inquiries, please contact partnerships@abcam.com