JavaScript is disabled in your browser. Please enable JavaScript to view this website.
AB314085

Anti-EphA2 antibody [BLR136H] - BSA free

Be the first to review this product! Submit a review

|

(0 Publication)

Rabbit Recombinant Monoclonal Eph receptor A2 antibody. Suitable for IP, WB and reacts with Human samples. Immunogen corresponding to Recombinant Fragment Protein within Human EPHA2 aa 1-550.

View Alternative Names

ECK, EPHA2, Ephrin type-A receptor 2, Epithelial cell kinase, Tyrosine-protein kinase receptor ECK

2 Images
Immunoprecipitation - Anti-EphA2 antibody [BLR136H] - BSA free (AB314085)
  • IP

Supplier Data

Immunoprecipitation - Anti-EphA2 antibody [BLR136H] - BSA free (AB314085)

Samples : Whole cell lysate (1.0 mg per IP reaction; 20% of IP loaded) from OVCAR-8 cells prepared using NETN lysis buffer. Antibodies : Rabbit antiEphA2 recombinant monoclonal antibody [BLR136H] (A700-136) used for IP at 20 µl/mg lysate. EphA2 was also immunoprecipitated by rabbit anti-EphA2 antibody BL1905B-1E5. For blotting immunoprecipitated EphA2, A700-136 was used at 1 : 1000. Chemiluminescence with an exposure time of 3 minutes.

false

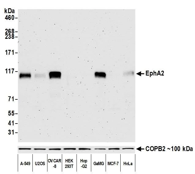
Western blot - Anti-EphA2 antibody [BLR136H] - BSA free (AB314085)
  • WB

Supplier Data

Western blot - Anti-EphA2 antibody [BLR136H] - BSA free (AB314085)

Samples : Whole cell lysate (10 µg) from A-549, U2OS, OVCAR-8, HEK293T, Hep-G2, GaMG, MCF-7, and HeLa cells prepared using NETN lysis buffer. Antibody : Rabbit anti-EphA2 recombinant monoclonal antibody [BLR136H] (A700-136 lot 1) used at 1 : 1000. Secondary : HRP-conjugated goat anti-rabbit IgG (A120-101P). Chemiluminescence with an exposure time of 3 minutes.

All lanes:

Western blot - Anti-EphA2 antibody [BLR136H] - BSA free (ab314085)

Lane 1:

A-549 Whole cell lysate at 10 µg

Lane 2:

U2OS Whole cell lysate at 10 µg

Lane 3:

OVCAR-8 Whole cell lysate at 10 µg

Lane 4:

HEK293T Whole cell lysate at 10 µg

Lane 5:

Hep-G2 Whole cell lysate at 10 µg

Lane 6:

GaMG Whole cell lysate at 10 µg

Lane 7:

MCF-7 Whole cell lysate at 10 µg

Lane 8:

HeLa Whole cell lysate at 10 µg

Secondary

All lanes:

HRP-conjugated goat anti-rabbit IgG

false

Key facts

Host species

Rabbit

Clonality

Monoclonal

Clone number

BLR136H

Isotype

IgG

Carrier free

No

Reacts with

Human

Applications

WB, IP

applications

Immunogen

Recombinant Fragment Protein within Human EPHA2 aa 1-550. The exact immunogen used to generate this antibody is proprietary information.

P29317

Reactivity data

{ "title": "Reactivity Data", "filters": { "stats": ["", "Species", "Dilution Info", "Notes"], "tabs": { "all-applications": {"fullname" : "All Applications", "shortname": "All Applications"}, "IP" : {"fullname" : "Immunoprecipitation", "shortname":"IP"}, "WB" : {"fullname" : "Western blot", "shortname":"WB"} }, "product-promise": { "all": "all", "testedAndGuaranteed": "tested", "guaranteed": "expected", "predicted": "predicted", "notRecommended": "not-recommended" } }, "values": { "Human": { "IP-species-checked": "testedAndGuaranteed", "IP-species-dilution-info": "", "IP-species-notes": "<p></p>", "WB-species-checked": "testedAndGuaranteed", "WB-species-dilution-info": "", "WB-species-notes": "<p></p>" } } }

Properties and storage information

Form
Liquid
Storage buffer
pH: 7.8 - 8.6 Preservative: 0.09% Sodium azide Constituents: 98% Borate buffered saline
Shipped at conditions
Blue Ice
Appropriate short-term storage duration
Up to 12 months
Appropriate short-term storage conditions
+4°C
Appropriate long-term storage conditions
+4°C

Supplementary information

This supplementary information is collated from multiple sources and compiled automatically.

Eph receptor A2 also known as EphA2 or A2 receptor is a type of protein that functions as a receptor tyrosine kinase. It has an approximate mass of 130 kDa. Researchers find this receptor widely expressed in various tissues including epithelial cells and some neuronal populations. EphA2 is involved in cell positioning movement and organization by interacting with ephrin ligands notably ephrin A1. The receptor-ligand interaction triggers bidirectional signaling that affects cell structure and function.
Biological function summary

Eph receptor A2 participates in important cellular processes such as angiogenesis cell proliferation and migration. It often functions as part of larger signaling networks or complexes that include other Eph receptors and ephrin ligands. These interactions help regulate cell adhesion and detachment which are important for embryonic development and tissue organization. EphA2 studies often use fluorescent labeling strategies such as Alexa 588 to track its expression and activity in cells.

Pathways

Eph receptor A2 integrates into the PI3K/AKT and MAPK signaling pathways which are important for cell survival growth and differentiation. It interacts with proteins like Ras and ERK within these pathways to modulate their functions. EphA2 signaling influences cytoskeletal dynamics and morphogenesis making it an important component in maintaining tissue architecture. Research also indicates a connection between EphA2 and the APC protein highlighting its role in the Wnt signaling pathway.

The Eph receptor A2 shows significant involvement in cancer and inflammatory conditions. Overexpression or dysregulation of EphA2 occurs frequently in various cancers including breast and prostate cancer correlating with increased tumor aggressiveness and metastasis. The receptor also interacts with other proteins such as APC which links to tumorigenesis and cancer progression. In immunology EphA2 plays a part in chronic inflammatory diseases by modulating immune cell migration and vascular inflammation. Understanding these connections provides insights for potential therapeutic targets using molecular interventions like A2 antibodies and APC-based strategies.

Product protocols

For this product, it's our understanding that no specific protocols are required. You can visit:

Target data

Receptor tyrosine kinase which binds promiscuously membrane-bound ephrin-A family ligands residing on adjacent cells, leading to contact-dependent bidirectional signaling into neighboring cells. The signaling pathway downstream of the receptor is referred to as forward signaling while the signaling pathway downstream of the ephrin ligand is referred to as reverse signaling. Activated by the ligand ephrin-A1/EFNA1 regulates migration, integrin-mediated adhesion, proliferation and differentiation of cells. Regulates cell adhesion and differentiation through DSG1/desmoglein-1 and inhibition of the ERK1/ERK2 (MAPK3/MAPK1, respectively) signaling pathway. May also participate in UV radiation-induced apoptosis and have a ligand-independent stimulatory effect on chemotactic cell migration. During development, may function in distinctive aspects of pattern formation and subsequently in development of several fetal tissues. Involved for instance in angiogenesis, in early hindbrain development and epithelial proliferation and branching morphogenesis during mammary gland development. Engaged by the ligand ephrin-A5/EFNA5 may regulate lens fiber cells shape and interactions and be important for lens transparency development and maintenance. With ephrin-A2/EFNA2 may play a role in bone remodeling through regulation of osteoclastogenesis and osteoblastogenesis.. (Microbial infection) Acts as a receptor for hepatitis C virus (HCV) in hepatocytes and facilitates its cell entry. Mediates HCV entry by promoting the formation of the CD81-CLDN1 receptor complexes that are essential for HCV entry and by enhancing membrane fusion of cells expressing HCV envelope glycoproteins.. Acts as a receptor for human cytomegalovirus (HCMV) to mediate viral entry and fusion in glioblastoma cells.
See full target information EPHA2

Product promise

We are committed to supporting your work with high-quality reagents, and we're here for you every step of the way. In the unlikely event that one of our products does not perform as expected, you're protected by our Product Promise.
For full details, please see our Terms & Conditions

Please note: All products are 'FOR RESEARCH USE ONLY. NOT FOR USE IN DIAGNOSTIC OR THERAPEUTIC PROCEDURES'.

For licensing inquiries, please contact partnerships@abcam.com