JavaScript is disabled in your browser. Please enable JavaScript to view this website.
AB89472

Anti-Ephrin A3 antibody [MM0262-7N12]

Be the first to review this product! Submit a review

|

(3 Publications)

Mouse Monoclonal Ephrin A3 antibody. Suitable for IHC-P and reacts with Human samples. Cited in 3 publications. Immunogen corresponding to Recombinant Fragment Protein within Human EFNA3.

View Alternative Names

EFL2, EPLG3, LERK3, EFNA3, Ephrin-A3, EFL-2, EHK1 ligand, EPH-related receptor tyrosine kinase ligand 3, EHK1-L, LERK-3

1 Images
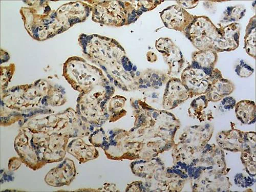
Immunohistochemistry (Formalin/PFA-fixed paraffin-embedded sections) - Anti-Ephrin A3 antibody [MM0262-7N12] (AB89472)
  • IHC-P

Supplier Data

Immunohistochemistry (Formalin/PFA-fixed paraffin-embedded sections) - Anti-Ephrin A3 antibody [MM0262-7N12] (AB89472)

Immunohistochemistry (Formalin/PFA-fixed paraffin-embedded sections) analysis of human placental tissue section (4μm) labelling Ephrin with ab89472. Tissue was treated with 15μg/ml Protenase K for antigen retrieval and fixed with 4% PFA. A HRP-conjugated anti-mouse IgG was used as the secondary antibody (30 minutes at room temperature) followed by DAB color development.

Key facts

Host species

Mouse

Clonality

Monoclonal

Clone number

MM0262-7N12

Isotype

IgG2

Carrier free

No

Reacts with

Human

Applications

IHC-P

applications

Immunogen

Recombinant Fragment Protein within Human EFNA3. The exact immunogen used to generate this antibody is proprietary information.

P52797

Reactivity data

{ "title": "Reactivity Data", "filters": { "stats": ["", "Species", "Dilution Info", "Notes"], "tabs": { "all-applications": {"fullname" : "All Applications", "shortname": "All Applications"}, "IHCP" : {"fullname" : "Immunohistochemistry (Formalin/PFA-fixed paraffin-embedded sections)", "shortname":"IHC-P"} }, "product-promise": { "all": "all", "testedAndGuaranteed": "tested", "guaranteed": "expected", "predicted": "predicted", "notRecommended": "not-recommended" } }, "values": { "Human": { "IHCP-species-checked": "testedAndGuaranteed", "IHCP-species-dilution-info": "", "IHCP-species-notes": "<p></p>" } } }

Properties and storage information

Form
Liquid
Purification technique
Affinity purification Protein G
Purification notes
The IgG fraction of culture supernatant was purified and 0.2 µm filtered.
Storage buffer
Constituents: PBS
Shipped at conditions
Blue Ice
Appropriate short-term storage conditions
+4°C
Appropriate long-term storage conditions
-20°C
Aliquoting information
Upon delivery aliquot
Storage information
Avoid freeze / thaw cycle

Supplementary information

This supplementary information is collated from multiple sources and compiled automatically.

Ephrin A3 also known as Ephrin-A3 or EFNA3 is a member of the ephrin family that interacts with Eph receptors which are a group of tyrosine kinase receptors. Ephrin A3 has a mass of approximately 24 kDa. It is expressed in various tissues including the brain where it plays a significant role in neural development. The expression pattern of Ephrin A3 suggests its involvement in a wide range of physiological processes.
Biological function summary

Ephrin A3 acts as an important regulator in cell communication and spatial organization within the brain's neuronal network. It forms a complex with Eph receptors on adjacent cells leading to bidirectional signaling necessary for processes like axon guidance and synaptic plasticity. Ephrin A3's ability to guide axons is important for neural pathfinding during development. It also participates in the clustering of neurons required for the formation of precise neural circuits.

Pathways

Ephrin A3 is a significant player in the Eph/ephrin signaling pathway which influences the dynamics of cell adhesion shape and movement. It is closely related to EphA3 and EphA4 receptors through these pathways. The signaling influences the cytoskeleton affecting cell migration and tissue boundary formation. Additionally Ephrin A3 interacts within the Rho family of GTPase signaling pathways that regulate cytoskeletal rearrangements impacting cellular morphology and motility.

Ephrin A3 is implicated in conditions like cancer and neurological disorders. Aberrant expression or signaling of Ephrin A3 contributes to tumor progression and metastasis potentially through its role in modifying cell adhesion and migration. Through its involvement in the neural network it may also relate to neurodegenerative diseases. The interaction with proteins like EphA2 in cancer highlights its potential as a therapeutic target. Understanding these interactions opens pathways for strategies to modulate its function in disease contexts.

Product protocols

For this product, it's our understanding that no specific protocols are required. You can visit:

Target data

Cell surface GPI-bound ligand for Eph receptors, a family of receptor tyrosine kinases which are crucial for migration, repulsion and adhesion during neuronal, vascular and epithelial development. Binds promiscuously Eph receptors residing on adjacent cells, leading to contact-dependent bidirectional signaling into neighboring cells. The signaling pathway downstream of the receptor is referred to as forward signaling while the signaling pathway downstream of the ephrin ligand is referred to as reverse signaling (By similarity).
See full target information EFNA3

Publications (3)

Recent publications for all applications. Explore the full list and refine your search

American journal of translational research 14:8903-8917 PubMed36628218

2022

Long non-coding RNA HOTTIP induces inflammation in asthma by promoting EFNA3 transcription by CCCTC-binding factor.

Applications

Unspecified application

Species

Unspecified reactive species

Qiong Wu,Jinming Liu,Jie Deng,Yuanjing Chen

Cancer cell international 21:535 PubMed34645436

2021

EFNA3 as a predictor of clinical prognosis and immune checkpoint therapy efficacy in patients with lung adenocarcinoma.

Applications

Unspecified application

Species

Unspecified reactive species

Mingming Deng,Run Tong,Zhe Zhang,Tao Wang,Chaonan Liang,Xiaoming Zhou,Gang Hou

Frontiers in immunology 10:2253 PubMed31616427

2019

Distinct Autoimmune Anti-α-Synuclein Antibody Patterns in Multiple System Atrophy and Parkinson's Disease.

Applications

Unspecified application

Species

Unspecified reactive species

Jonas Folke,Rasmus Rydbirk,Annemette Løkkegaard,Lisette Salvesen,Anne-Mette Hejl,Charlotte Starhof,Sára Bech,Kristian Winge,Søren Christensen,Lars Østergaard Pedersen,Susana Aznar,Bente Pakkenberg,Tomasz Brudek
View all publications

Product promise

We are committed to supporting your work with high-quality reagents, and we're here for you every step of the way. In the unlikely event that one of our products does not perform as expected, you're protected by our Product Promise.
For full details, please see our Terms & Conditions

Please note: All products are 'FOR RESEARCH USE ONLY. NOT FOR USE IN DIAGNOSTIC OR THERAPEUTIC PROCEDURES'.

For licensing inquiries, please contact partnerships@abcam.com