JavaScript is disabled in your browser. Please enable JavaScript to view this website.
AB122449

Anti-Epiphycan antibody

Be the first to review this product! Submit a review

|

(2 Publications)

Rabbit Polyclonal Epiphycan antibody. Suitable for IHC-P and reacts with Human samples. Cited in 2 publications. Immunogen corresponding to Recombinant Fragment Protein within Human EPYC aa 150-300.

View Alternative Names

DSPG3, PGLB, SLRR3B, EPYC, Epiphycan, Dermatan sulfate proteoglycan 3, Proteoglycan-Lb, Small chondroitin/dermatan sulfate proteoglycan, PG-Lb

1 Images
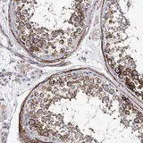
Immunohistochemistry (Formalin/PFA-fixed paraffin-embedded sections) - Anti-Epiphycan antibody (AB122449)
  • IHC-P

Unknown

Immunohistochemistry (Formalin/PFA-fixed paraffin-embedded sections) - Anti-Epiphycan antibody (AB122449)

ab122449, at 1/200, staining Epiphycan by in paraffin-embedded Human testis tissue by Immunohistochemistry.

Key facts

Host species

Rabbit

Clonality

Polyclonal

Isotype

IgG

Carrier free

No

Reacts with

Human

Applications

IHC-P

applications

Immunogen

Recombinant Fragment Protein within Human EPYC aa 150-300. The exact immunogen used to generate this antibody is proprietary information.

Q99645

Reactivity data

{ "title": "Reactivity Data", "filters": { "stats": ["", "Species", "Dilution Info", "Notes"], "tabs": { "all-applications": {"fullname" : "All Applications", "shortname": "All Applications"}, "IHCP" : {"fullname" : "Immunohistochemistry (Formalin/PFA-fixed paraffin-embedded sections)", "shortname":"IHC-P"} }, "product-promise": { "all": "all", "testedAndGuaranteed": "tested", "guaranteed": "expected", "predicted": "predicted", "notRecommended": "not-recommended" } }, "values": { "Human": { "IHCP-species-checked": "testedAndGuaranteed", "IHCP-species-dilution-info": "1/200 - 1/500", "IHCP-species-notes": "<p></p> Perform heat-mediated antigen retrieval with citrate buffer pH 6 before commencing with IHC staining protocol." }, "Mouse": { "IHCP-species-checked": "predicted", "IHCP-species-dilution-info": "", "IHCP-species-notes": "" }, "Rat": { "IHCP-species-checked": "predicted", "IHCP-species-dilution-info": "", "IHCP-species-notes": "" } } }

Properties and storage information

Form
Liquid
Purification technique
Affinity purification Immunogen
Storage buffer
pH: 7.2 Preservative: 0.02% Sodium azide Constituents: PBS, 40% Glycerol (glycerin, glycerine)
Shipped at conditions
Blue Ice
Appropriate short-term storage conditions
+4°C
Appropriate long-term storage conditions
-20°C

Supplementary information

This supplementary information is collated from multiple sources and compiled automatically.

Epiphycan also known as DSPG3 is a small leucine-rich proteoglycan with an approximate mass of 38 kDa. Epiphycan appears mainly in cartilage and the eye. It functions mechanically by interacting with collagen fibers and other components in the extracellular matrix. This interaction helps in regulating collagen fibril assembly and spacing important for maintaining tissue integrity and function.
Biological function summary

The protein plays a part in maintaining the structural integrity and resilience of connective tissues. Although Epiphycan is not part of a larger complex it works closely with other extracellular matrix molecules contributing to tissue elasticity and hydration. This role is significant in tissues such as cartilage where mechanical stress is persistent and its efficient functionality is necessary.

Pathways

This protein takes part in the assembly and organization of the extracellular matrix. It participates significantly in the collagen fibril organization pathway. This pathway involves interactions with proteins such as decorin and biglycan which are also part of the small leucine-rich proteoglycan family. These interactions are essential for maintaining the ordered arrangement of collagen fibrils in connective tissues.

Mutations or dysregulation of Epiphycan relate to skeletal dysplasias and osteoarthritis. In osteoarthritis the altered interactions within the extracellular matrix contribute to cartilage degradation and joint dysfunction. The protein's connection with decorin becomes relevant here as both engage in maintaining matrix homeostasis. Understanding these interactions helps reveal potential therapeutic targets to address these conditions.

Product protocols

For this product, it's our understanding that no specific protocols are required. You can visit:

Target data

May have a role in bone formation and also in establishing the ordered structure of cartilage through matrix organization.
See full target information EPYC

Publications (2)

Recent publications for all applications. Explore the full list and refine your search

iScience 28:112608 PubMed40502710

2025

The single-cell transcription reveals the aberrant differentiation trajectory of chondrocytes in the intervertebral disc for congenital scoliosis.

Applications

Unspecified application

Species

Unspecified reactive species

Junfeng Wang,Haodong Li,Dong Fu,Yiming Zheng,Chuang Qian,Lin Li,Maoxiang Qian,Dahui Wang

EMBO reports 24:e57228 PubMed37818824

2023

Tetracyclines activate mitoribosome quality control and reduce ER stress to promote cell survival.

Applications

Unspecified application

Species

Unspecified reactive species

Conor T Ronayne,Thomas D Jackson,Christopher F Bennett,Elizabeth A Perry,Noa Kantorovic,Pere Puigserver
View all publications

Product promise

We are committed to supporting your work with high-quality reagents, and we're here for you every step of the way. In the unlikely event that one of our products does not perform as expected, you're protected by our Product Promise.
For full details, please see our Terms & Conditions

Please note: All products are 'FOR RESEARCH USE ONLY. NOT FOR USE IN DIAGNOSTIC OR THERAPEUTIC PROCEDURES'.

For licensing inquiries, please contact partnerships@abcam.com