JavaScript is disabled in your browser. Please enable JavaScript to view this website.
AB272878

Anti-epithelial Sodium Channel alpha antibody

Be the first to review this product! Submit a review

|

(2 Publications)

Rabbit Polyclonal epithelial Sodium Channel alpha antibody. Suitable for WB, IHC-P, ICC/IF and reacts with Mouse, Human samples. Cited in 2 publications. Immunogen corresponding to Recombinant Fragment Protein within Human SCNN1A.

View Alternative Names

SCNN1, SCNN1A, Epithelial sodium channel subunit alpha, Alpha-ENaC, ENaC subunit alpha, ENaCA, Epithelial Na(+) channel subunit alpha, Alpha-NaCH, Amiloride-sensitive sodium channel subunit alpha, Nonvoltage-gated sodium channel 1 subunit alpha, SCNEA, Sodium channel epithelial 1 subunit alpha

2 Images
Immunocytochemistry/ Immunofluorescence - Anti-epithelial Sodium Channel alpha antibody (AB272878)
  • ICC/IF

Supplier Data

Immunocytochemistry/ Immunofluorescence - Anti-epithelial Sodium Channel alpha antibody (AB272878)

Immunofluorescence analysis of Mock and transfected 293T cells fixed in 4% paraformaldehyde at RT for 15 min labelling ENaC Alpha protein using ab272878 at a 1/500 dilution (Green).
DAPI was used for nuclear staining (Blue).

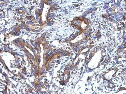
Immunohistochemistry (Formalin/PFA-fixed paraffin-embedded sections) - Anti-epithelial Sodium Channel alpha antibody (AB272878)
  • IHC-P

Unknown

Immunohistochemistry (Formalin/PFA-fixed paraffin-embedded sections) - Anti-epithelial Sodium Channel alpha antibody (AB272878)

Paraffin-embedded human colon carcinoma tissue stained for epithelial Sodium Channel alpha using ab272878 at 1/500 dilution in immunohistochemical analysis. Antigen retrieval using EDTA based, pH 8.0 buffer, 15 minutes.

Key facts

Host species

Rabbit

Clonality

Polyclonal

Isotype

IgG

Carrier free

No

Reacts with

Mouse, Human

Applications

IHC-P, ICC/IF, WB

applications

Immunogen

Recombinant Fragment Protein within Human SCNN1A. The exact immunogen used to generate this antibody is proprietary information.

P37088

Reactivity data

{ "title": "Reactivity Data", "filters": { "stats": ["", "Species", "Dilution Info", "Notes"], "tabs": { "all-applications": {"fullname" : "All Applications", "shortname": "All Applications"}, "WB" : {"fullname" : "Western blot", "shortname":"WB"}, "IHCP" : {"fullname" : "Immunohistochemistry (Formalin/PFA-fixed paraffin-embedded sections)", "shortname":"IHC-P"}, "ICCIF" : {"fullname" : "Immunocytochemistry/ Immunofluorescence", "shortname":"ICC/IF"} }, "product-promise": { "all": "all", "testedAndGuaranteed": "tested", "guaranteed": "expected", "predicted": "predicted", "notRecommended": "not-recommended" } }, "values": { "Human": { "WB-species-checked": "guaranteed", "WB-species-dilution-info": "1/500 - 1/3000", "WB-species-notes": "<p></p>", "IHCP-species-checked": "testedAndGuaranteed", "IHCP-species-dilution-info": "1/100 - 1/1000", "IHCP-species-notes": "<p></p>", "ICCIF-species-checked": "testedAndGuaranteed", "ICCIF-species-dilution-info": "", "ICCIF-species-notes": "<p></p>" }, "Mouse": { "WB-species-checked": "guaranteed", "WB-species-dilution-info": "1/500 - 1/3000", "WB-species-notes": "<p></p>", "IHCP-species-checked": "predicted", "IHCP-species-dilution-info": "", "IHCP-species-notes": "", "ICCIF-species-checked": "predicted", "ICCIF-species-dilution-info": "", "ICCIF-species-notes": "" } } }

Properties and storage information

Form
Liquid
Purification technique
Affinity purification Immunogen
Storage buffer
pH: 7 Preservative: 0.01% Thimerosal (merthiolate) Constituents: PBS, 20% Glycerol (glycerin, glycerine)
Shipped at conditions
Blue Ice
Appropriate short-term storage duration
1-2 weeks
Appropriate short-term storage conditions
+4°C
Appropriate long-term storage conditions
-20°C
Aliquoting information
Upon delivery aliquot
Storage information
Avoid freeze / thaw cycle

Supplementary information

This supplementary information is collated from multiple sources and compiled automatically.

The epithelial sodium channel alpha also known as the alpha subunit of the epithelial sodium channel (ENaC) is an important component of the ENaC channels. This protein forms part of the larger ENaC complex and plays an important role in sodium ion transport across epithelial cells. Typically the ENaC channel has a molecular mass of approximately 70 to 110 kDa. The channel is expressed in epithelial tissues such as the kidney lung and colon where it acts to regulate sodium excretion and reabsorption.
Biological function summary

The epithelial sodium channel alpha facilitates sodium ion entry into cells which impacts fluid balance blood pressure and extracellular fluid volume. The alpha subunit functions as part of a heterotrimeric complex consisting of alpha beta and gamma subunits forming the complete active channel. The coordinated action of these subunits ensures regulated ion transport which is essential for maintaining homeostasis in epithelial tissues.

Pathways

ENaC channels participate in the renin-angiotensin-aldosterone system and are involved in sodium reabsorption processes. This channel works closely with proteins like aldosterone to modulate its activity in response to changes in body fluid status. ENaC's ability to regulate sodium flux links it to key physiological functions in fluid and electrolyte balance pathways.

Alterations in ENaC function are linked to conditions such as Liddle's syndrome and cystic fibrosis. Liddle's syndrome involves mutations that lead to excessive sodium reabsorption resulting in hypertension. Furthermore ENaC function is disrupted in cystic fibrosis due to altered protein interactions contributing to imbalanced mucus composition. Proteins like cystic fibrosis transmembrane conductance regulator (CFTR) interact with ENaC in cystic fibrosis illustrating their interconnected role in disease pathology.

Product protocols

For this product, it's our understanding that no specific protocols are required. You can visit:

Target data

This is one of the three pore-forming subunits of the heterotrimeric epithelial sodium channel (ENaC), a critical regulator of sodium balance and fluid homeostasis (PubMed : 30251954, PubMed : 32729833, PubMed : 8023962, PubMed : 8278374, PubMed : 9792722). ENaC operates in epithelial tissues, where it mediates the electrodiffusion of sodium ions from extracellular fluid through the apical membrane of cells, with water following osmotically (PubMed : 24124190, PubMed : 28710092, PubMed : 8278374). It plays a key role in maintaining sodium homeostasis through electrogenic sodium reabsorption in the kidneys (PubMed : 12107247). Additionally, ENaC is essential for airway surface liquid homeostasis, which is crucial for proper mucus clearance (PubMed : 24124190, PubMed : 28710092).. Isoform 4. Not functional.
See full target information SCNN1A

Publications (2)

Recent publications for all applications. Explore the full list and refine your search

Nature communications 14:7619 PubMed37993434

2023

Mid-old cells are a potential target for anti-aging interventions in the elderly.

Applications

Unspecified application

Species

Unspecified reactive species

Young Hwa Kim,Young-Kyoung Lee,Soon Sang Park,So Hyun Park,So Yeong Eom,Young-Sam Lee,Wonhee John Lee,Juhee Jang,Daeha Seo,Hee Young Kang,Jin Cheol Kim,Su Bin Lim,Gyesoon Yoon,Hong Seok Kim,Jang-Hee Kim,Tae Jun Park

Molecular medicine reports 24: PubMed34558641

2021

HOXD9‑induced SCNN1A upregulation promotes pancreatic cancer cell proliferation, migration and predicts prognosis by regulating epithelial‑mesenchymal transformation.

Applications

Unspecified application

Species

Unspecified reactive species

Jinhai Chang,Xuguang Hu,Jinniang Nan,Xianghua Zhang,Xintian Jin
View all publications

Product promise

We are committed to supporting your work with high-quality reagents, and we're here for you every step of the way. In the unlikely event that one of our products does not perform as expected, you're protected by our Product Promise.
For full details, please see our Terms & Conditions

Please note: All products are 'FOR RESEARCH USE ONLY. NOT FOR USE IN DIAGNOSTIC OR THERAPEUTIC PROCEDURES'.

For licensing inquiries, please contact partnerships@abcam.com