JavaScript is disabled in your browser. Please enable JavaScript to view this website.
AB224507

Anti-EPO antibody [EPO/1367] - BSA and Azide free

Be the first to review this product! Submit a review

|

(1 Publication)

Mouse Monoclonal EPO antibody. Carrier free. Suitable for Protein Array, IHC-P and reacts with Recombinant full length protein - Human, Human samples. Cited in 1 publication. Immunogen corresponding to Recombinant Fragment Protein within Human EPO aa 1 to C-terminus.

View Alternative Names

Erythropoietin, EPO

3 Images
Immunohistochemistry (Formalin/PFA-fixed paraffin-embedded sections) - Anti-EPO antibody [EPO/1367] - BSA and Azide free (AB224507)
  • IHC-P

Supplier Data

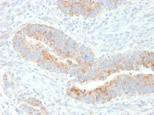
Immunohistochemistry (Formalin/PFA-fixed paraffin-embedded sections) - Anti-EPO antibody [EPO/1367] - BSA and Azide free (AB224507)

Paraffin-embedded human renal cell carcinoma tissue stained for EPO using ab224507 (4 μg/ml) in immunohistochemical analysis.

Protein Array - Anti-EPO antibody [EPO/1367] - BSA and Azide free (AB224507)
  • Protein Array

Unknown

Protein Array - Anti-EPO antibody [EPO/1367] - BSA and Azide free (AB224507)

This data was produced with ab224506, the same antibody in a different formulation with BSA and Azide.
ab224506 was tested in protein array against over 19000 different full-length human proteins.
Z- and S- Score : The Z-score represents the strength of a signal that a monoclonal antibody (MAb) (in combination with a fluorescently-tagged anti-IgG secondary antibody) produces when binding to a particular protein on the HuProtTM array. Z-scores are described in units of standard deviations (SD's) above the mean value of all signals generated on that array. If targets on HuProtTM are arranged in descending order of the Z-score, the S-score is the difference (also in units of SD's) between the Z-score. S-score therefore represents the relative target specificity of a MAb to its intended target.
A MAb is specific to its intended target if the MAb has an S-score of at least 2.5. For example, if a MAb binds to protein X with a Z-score of 43 and to protein Y with a Z-score of 14, then the S-score for the binding of that MAb to protein X is equal to 29.

Immunohistochemistry (Formalin/PFA-fixed paraffin-embedded sections) - Anti-EPO antibody [EPO/1367] - BSA and Azide free (AB224507)
  • IHC-P

Supplier Data

Immunohistochemistry (Formalin/PFA-fixed paraffin-embedded sections) - Anti-EPO antibody [EPO/1367] - BSA and Azide free (AB224507)

Paraffin-embedded human colon carcinoma tissue stained for EPO using ab224507 (4 μg/ml) in immunohistochemical analysis.

Key facts

Host species

Mouse

Clonality

Monoclonal

Clone number

EPO/1367

Isotype

IgG1

Light chain type

kappa

Carrier free

Yes

Reacts with

Human

Applications

Protein Array, IHC-P

applications

Immunogen

Recombinant Fragment Protein within Human EPO aa 1 to C-terminus. The exact immunogen used to generate this antibody is proprietary information.

P01588

Reactivity data

{ "title": "Reactivity Data", "filters": { "stats": ["", "Species", "Dilution Info", "Notes"], "tabs": { "all-applications": {"fullname" : "All Applications", "shortname": "All Applications"}, "ProteinArray" : {"fullname" : "Protein Array", "shortname":"Protein Array"}, "IHCP" : {"fullname" : "Immunohistochemistry (Formalin/PFA-fixed paraffin-embedded sections)", "shortname":"IHC-P"} }, "product-promise": { "all": "all", "testedAndGuaranteed": "tested", "guaranteed": "expected", "predicted": "predicted", "notRecommended": "not-recommended" } }, "values": { "Human": { "ProteinArray-species-checked": "guaranteed", "ProteinArray-species-dilution-info": "", "ProteinArray-species-notes": "", "IHCP-species-checked": "testedAndGuaranteed", "IHCP-species-dilution-info": "2-4 µg/mL", "IHCP-species-notes": "<p></p> Perform heat-mediated antigen retrieval with citrate buffer pH 6 before commencing with IHC staining protocol." }, "Recombinant full length protein - Human": { "ProteinArray-species-checked": "testedAndGuaranteed", "ProteinArray-species-dilution-info": "", "ProteinArray-species-notes": "<p></p>", "IHCP-species-checked": "notRecommended", "IHCP-species-dilution-info": "", "IHCP-species-notes": "" } } }

Properties and storage information

Form
Liquid
Purification technique
Affinity purification Protein A/G
Purification notes
Purified from bioreactor concentrate.
Storage buffer
pH: 7.2 - 7.4 Constituents: 100% PBS
Shipped at conditions
Blue Ice
Appropriate short-term storage duration
1-2 weeks
Appropriate short-term storage conditions
+4°C
Appropriate long-term storage conditions
-20°C
Aliquoting information
Upon delivery aliquot
Storage information
Avoid freeze / thaw cycle

Supplementary information

This supplementary information is collated from multiple sources and compiled automatically.

Erythropoietin often called EPO or erythropoietin protein is a glycoprotein hormone with a mass of approximately 30.4 kDa. It plays a mechanical role in the production of red blood cells (erythropoiesis) by acting as a signaling molecule that binds the erythropoietin receptor on erythroid progenitor cells in the bone marrow. Erythropoietin is mainly expressed in the kidneys with some expression in the liver. It controls the proliferation and differentiation of precursor cells into mature red blood cells which are responsible for oxygen transport.
Biological function summary

Erythropoietin regulates blood oxygen levels by stimulating erythrocyte production. It is not part of a larger complex but interacts directly with the erythropoietin receptor activating intracellular pathways necessary for erythroid progenitor cell survival and proliferation. Eyrthropoietin production increases in response to low oxygen levels in tissues ensuring adequate oxygen delivery throughout the body by increasing red blood cell count.

Pathways

Erythropoietin predominantly influences the JAK-STAT signaling pathway. Upon binding to its receptor on erythroid progenitors it activates this pathway leading to gene expression changes that promote survival and proliferation of these cells. This pathway is also involved in various immune responses and cell growth processes. Erythropoietin signaling has a regulatory relationship with other growth factors like thrombopoietin which is another hematopoietic hormone.

Erythropoietin is important in the treatment of anemia especially anemia associated with chronic kidney disease where natural EPO production decreases. Abnormal levels of erythropoietin are associated with conditions such as polycythemia vera a disorder characterized by excessive red blood cell production. EPO levels can be affected by production defects in the kidneys linking it to proteins like the von Hippel-Lindau tumor suppressor which regulates erythropoietin transcription under low oxygen conditions.

Product protocols

For this product, it's our understanding that no specific protocols are required. You can visit:

Target data

Hormone involved in the regulation of erythrocyte proliferation and differentiation and the maintenance of a physiological level of circulating erythrocyte mass (PubMed : 28283061). Binds to EPOR leading to EPOR dimerization and JAK2 activation thereby activating specific downstream effectors, including STAT1 and STAT3 (PubMed : 9774108).
See full target information EPO

Additional targets

EPO

Publications (1)

Recent publications for all applications. Explore the full list and refine your search

Cells 10: PubMed33671138

2021

Renal Proximal Tubule Cell Cannabinoid-1 Receptor Regulates Bone Remodeling and Mass via a Kidney-to-Bone Axis.

Applications

Unspecified application

Species

Unspecified reactive species

Saja Baraghithy,Yael Soae,Dekel Assaf,Liad Hinden,Shiran Udi,Adi Drori,Yankel Gabet,Joseph Tam
View all publications

Product promise

We are committed to supporting your work with high-quality reagents, and we're here for you every step of the way. In the unlikely event that one of our products does not perform as expected, you're protected by our Product Promise.
For full details, please see our Terms & Conditions

Please note: All products are 'FOR RESEARCH USE ONLY. NOT FOR USE IN DIAGNOSTIC OR THERAPEUTIC PROCEDURES'.

For licensing inquiries, please contact partnerships@abcam.com