JavaScript is disabled in your browser. Please enable JavaScript to view this website.
AB244202

Anti-EPO-R antibody [EPR22366-40]

Be the first to review this product! Submit a review

|

(2 Publications)

Rabbit Recombinant Monoclonal EPO-R antibody. Suitable for IHC-P and reacts with Mouse, Rat samples. Cited in 2 publications.

View Alternative Names

Erythropoietin receptor, EPO-R, Epor

4 Images
Immunohistochemistry (Formalin/PFA-fixed paraffin-embedded sections) - Anti-EPO-R antibody [EPR22366-40] (AB244202)
  • IHC-P

Supplier Data

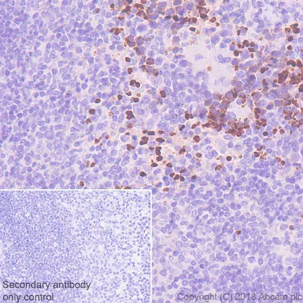
Immunohistochemistry (Formalin/PFA-fixed paraffin-embedded sections) - Anti-EPO-R antibody [EPR22366-40] (AB244202)

Immunohistochemical analysis of paraffin-embedded mouse spleen tissue labeling EPO-R with ab244202 at 1/500 dilution, followed by a ready to use Rabbit specific IHC polymer detection kit HRP/DAB (ab209101). Positive staining on red pulp of the mouse spleen (PMID : 24283209) is observed. The section was incubated with ab244202 for 30mins at RT. The immunostaining was performed on a Leica Biosystems BOND® RX instrument. Counterstained with hematoxylin.

Secondary antibody only control : Used PBS instead of primary antibody, secondary antibody is a ready to use Rabbit specific IHC polymer detection kit HRP/DAB (ab209101).

Heat mediated antigen retrieval using Bond™ Epitope Retrieval Solution 2 (pH 9.0) for 20 minutes.

Immunohistochemistry (Formalin/PFA-fixed paraffin-embedded sections) - Anti-EPO-R antibody [EPR22366-40] (AB244202)
  • IHC-P

Supplier Data

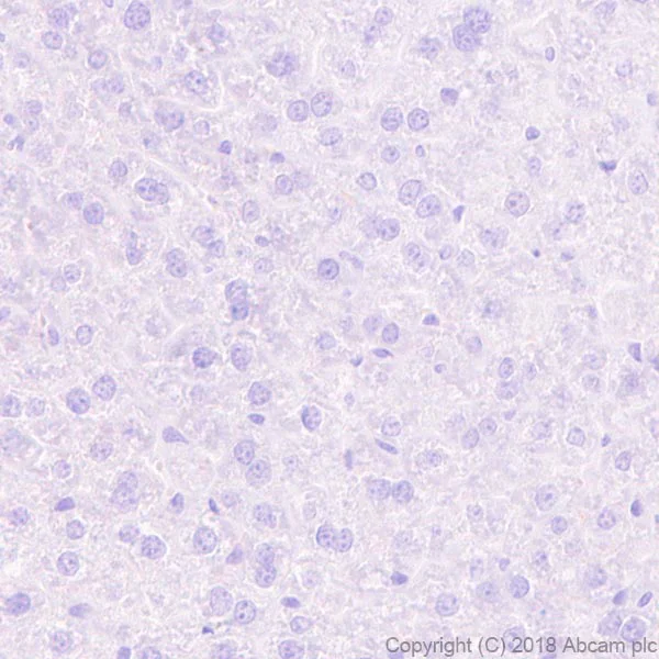
Immunohistochemistry (Formalin/PFA-fixed paraffin-embedded sections) - Anti-EPO-R antibody [EPR22366-40] (AB244202)

Negative Control :

Immunohistochemical analysis of paraffin-embedded mouse liver tissue labeling EPO-R with ab244202 at 1/500 dilution, followed by a ready to use Rabbit specific IHC polymer detection kit HRP/DAB (ab209101). No staining on mouse liver (PMID : 15259024) is observed. The section was incubated with ab244202 for 30mins at RT. The immunostaining was performed on a Leica Biosystems BOND® RX instrument. Counterstained with Hematoxylin.

Secondary antibody only control : Used PBS instead of primary antibody, secondary antibody is a ready to use Rabbit specific IHC polymer detection kit HRP/DAB (ab209101).

Heat mediated antigen retrieval using Bond™ Epitope Retrieval Solution 2 (pH 9.0) for 20 minutes.

Immunohistochemistry (Formalin/PFA-fixed paraffin-embedded sections) - Anti-EPO-R antibody [EPR22366-40] (AB244202)
  • IHC-P

Supplier Data

Immunohistochemistry (Formalin/PFA-fixed paraffin-embedded sections) - Anti-EPO-R antibody [EPR22366-40] (AB244202)

Immunohistochemical analysis of paraffin-embedded mouse E14.5 liver tissue labeling EPO-R with ab244202 at 1/500 dilution, followed by a ready to use Rabbit specific IHC polymer detection kit HRP/DAB (ab209101). Positive staining on mouse E14.5 liver (PMID : 9808074) is observed. The section was incubated with ab244202 for 30mins at RT. The immunostaining was performed on a Leica Biosystems BOND® RX instrument. Counterstained with hematoxylin.

Secondary antibody only control : Used PBS instead of primary antibody, secondary antibody is a ready to use Rabbit specific IHC polymer detection kit HRP/DAB (ab209101).

Heat mediated antigen retrieval using Bond™ Epitope Retrieval Solution 2 (pH 9.0) for 20 minutes.

Immunohistochemistry (Formalin/PFA-fixed paraffin-embedded sections) - Anti-EPO-R antibody [EPR22366-40] (AB244202)
  • IHC-P

Supplier Data

Immunohistochemistry (Formalin/PFA-fixed paraffin-embedded sections) - Anti-EPO-R antibody [EPR22366-40] (AB244202)

Immunohistochemical analysis of paraffin-embedded rat spleen tissue labeling EPO-R with ab244202 at 1/500 dilution, followed by a ready to use Rabbit specific IHC polymer detection kit HRP/DAB (ab209101). Positive staining on red pulp of the rat spleen (PMID : 24283209) is observed. The section was incubated with ab244202 for 30mins at RT. The immunostaining was performed on a Leica Biosystems BOND® RX instrument. Counterstained with hematoxylin.

Secondary antibody only control : Used PBS instead of primary antibody, secondary antibody is a ready to use Rabbit specific IHC polymer detection kit HRP/DAB (ab209101).

Heat mediated antigen retrieval using Bond™ Epitope Retrieval Solution 2 (pH 9.0) for 20 minutes.

  • Carrier free

    Anti-EPO-R antibody [EPR22366-40] - BSA and Azide free

Key facts

Host species

Rabbit

Clonality

Monoclonal

Clone number

EPR22366-40

Isotype

IgG

Carrier free

No

Reacts with

Mouse, Rat

Applications

IHC-P

applications

Immunogen

The exact immunogen used to generate this antibody is proprietary information.

Reactivity data

{ "title": "Reactivity Data", "filters": { "stats": ["", "Species", "Dilution Info", "Notes"], "tabs": { "all-applications": {"fullname" : "All Applications", "shortname": "All Applications"}, "IHCP" : {"fullname" : "Immunohistochemistry (Formalin/PFA-fixed paraffin-embedded sections)", "shortname":"IHC-P"}, "IP" : {"fullname" : "Immunoprecipitation", "shortname":"IP"}, "FlowCyt" : {"fullname" : "Flow Cytometry", "shortname":"Flow Cyt"}, "WB" : {"fullname" : "Western blot", "shortname":"WB"}, "IHCFr" : {"fullname" : "Immunohistochemistry (Frozen sections)", "shortname":"IHC-Fr"} }, "product-promise": { "all": "all", "testedAndGuaranteed": "tested", "guaranteed": "expected", "predicted": "predicted", "notRecommended": "not-recommended" } }, "values": { "Mouse": { "IHCP-species-checked": "testedAndGuaranteed", "IHCP-species-dilution-info": "1/500", "IHCP-species-notes": "<p></p>", "IP-species-checked": "notRecommended", "IP-species-dilution-info": "", "IP-species-notes": "<p></p>", "FlowCyt-species-checked": "notRecommended", "FlowCyt-species-dilution-info": "", "FlowCyt-species-notes": "<p></p>", "WB-species-checked": "notRecommended", "WB-species-dilution-info": "", "WB-species-notes": "<p></p>", "IHCFr-species-checked": "notRecommended", "IHCFr-species-dilution-info": "", "IHCFr-species-notes": "<p></p>" }, "Rat": { "IHCP-species-checked": "testedAndGuaranteed", "IHCP-species-dilution-info": "1/500", "IHCP-species-notes": "<p></p>", "IP-species-checked": "notRecommended", "IP-species-dilution-info": "", "IP-species-notes": "<p></p>", "FlowCyt-species-checked": "notRecommended", "FlowCyt-species-dilution-info": "", "FlowCyt-species-notes": "<p></p>", "WB-species-checked": "notRecommended", "WB-species-dilution-info": "", "WB-species-notes": "<p></p>", "IHCFr-species-checked": "notRecommended", "IHCFr-species-dilution-info": "", "IHCFr-species-notes": "<p></p>" } } }

Product details

Patented technology
Our RabMAb® technology is a patented hybridoma-based technology for making rabbit monoclonal antibodies. For details on our patents, please refer to RabMAb® patents.

What are the advantages of a recombinant monoclonal antibody?
This product is a recombinant monoclonal antibody, which offers several advantages including:

  • - High batch-to-batch consistency and reproducibility
  • - Improved sensitivity and specificity
  • - Long-term security of supply
  • - Animal-free batch production

For more information, read more on recombinant antibodies.

Properties and storage information

Form
Liquid
Purification technique
Affinity purification Protein A
Storage buffer
pH: 7.2 - 7.4 Preservative: 0.01% Sodium azide Constituents: PBS, 40% Glycerol (glycerin, glycerine), 0.05% BSA
Shipped at conditions
Blue Ice
Appropriate short-term storage duration
1-2 weeks
Appropriate short-term storage conditions
+4°C
Appropriate long-term storage conditions
-20°C
Aliquoting information
Upon delivery aliquot
Storage information
Avoid freeze / thaw cycle

Supplementary information

This supplementary information is collated from multiple sources and compiled automatically.

Erythropoietin receptor (EPO-R) also known as EPOR plays an important role in erythropoiesis by mediating the effects of erythropoietin (EPO). EPO-R is a member of the cytokine receptor family with a mass of approximately 55 kDa. This receptor can primarily be found on the surface of erythroid progenitor cells in the bone marrow. Its presence is important for the final differentiation of these cells into mature erythrocytes.
Biological function summary

EPO-R functions by dimerizing upon EPO binding subsequently activating intracellular signaling pathways. It is a component of a larger signaling complex that recruits and activates various molecules initiating a cascade of events critical for cell survival and proliferation. This receptor signaling prevents apoptosis in erythroid progenitor cells promoting their growth and differentiation into red blood cells.

Pathways

EPO-R's activity falls within the JAK-STAT and PI3K-AKT signaling pathways. These pathways are pivotal in regulating hematopoiesis and cell survival. JAK2 acts as a direct partner to EPO-R and transduces the signal downstream while molecules like STAT5 get phosphorylated and mediate transcription of target genes. The PI3K-AKT pathway also contributes to the anti-apoptotic effect essential for erythrocyte development.

Altered EPO-R signaling associates with anemia of chronic disease and polycythemia vera. Anemic conditions often show reduced sensitivity or expression of EPO-R while mutations leading to EPO-R hypersensitivity link to polycythemia vera. Dysregulation of related proteins such as JAK2 also contributes to these conditions indicating the interconnected roles of these proteins in blood-related diseases.

Product protocols

For this product, it's our understanding that no specific protocols are required. You can visit:

Target data

Receptor for erythropoietin, which mediates erythropoietin-induced erythroblast proliferation and differentiation (PubMed : 2539263, PubMed : 8341708, PubMed : 8382775, PubMed : 8617735). Upon EPO stimulation, EPOR dimerizes triggering the JAK2/STAT5 signaling cascade (PubMed : 2539263, PubMed : 8382775, PubMed : 8617735). In some cell types, can also activate STAT1 and STAT3. May also activate the LYN tyrosine kinase (PubMed : 9573010).
See full target information Epor

Publications (2)

Recent publications for all applications. Explore the full list and refine your search

Frontiers in pharmacology 16:1503971 PubMed40206088

2025

Neuroprotective effects of arctigenin on cerebral ischemia-reperfusion injury in rats via the EPO/EPOR-JAK2-STAT5 signaling pathway.

Applications

Unspecified application

Species

Unspecified reactive species

Shanshan Xu,Yuting Chen,Lingling Zhang,Wei Lu,Xu Chen,Ting Wang,Wenjie Wang

Journal of hematology & oncology 12:106 PubMed31640756

2019

MAGE-A1 in lung adenocarcinoma as a promising target of chimeric antigen receptor T cells.

Applications

Unspecified application

Species

Unspecified reactive species

Yuan Mao,Weifei Fan,Hao Hu,Louqian Zhang,Jerod Michel,Yaqin Wu,Jun Wang,Lizhou Jia,Xiaojun Tang,Li Xu,Yan Chen,Jin Zhu,Zhenqing Feng,Lin Xu,Rong Yin,Qi Tang
View all publications

Product promise

We are committed to supporting your work with high-quality reagents, and we're here for you every step of the way. In the unlikely event that one of our products does not perform as expected, you're protected by our Product Promise.
For full details, please see our Terms & Conditions

Please note: All products are 'FOR RESEARCH USE ONLY. NOT FOR USE IN DIAGNOSTIC OR THERAPEUTIC PROCEDURES'.

For licensing inquiries, please contact partnerships@abcam.com