JavaScript is disabled in your browser. Please enable JavaScript to view this website.
AB185699

Anti-EPPIN antibody

Be the first to review this product! Submit a review

|

(1 Publication)

Rabbit Polyclonal EPPIN antibody. Suitable for WB, IHC-P, ICC/IF and reacts with Human, Mouse samples. Cited in 1 publication. Immunogen corresponding to Recombinant Full Length Protein corresponding to Human EPPIN.

View Alternative Names

SPINLW1, WAP7, WFDC7, EPPIN, Eppin, Cancer/testis antigen 71, Epididymal protease inhibitor, Protease inhibitor WAP7, Serine protease inhibitor-like with Kunitz and WAP domains 1, WAP four-disulfide core domain protein 7, CT71

3 Images
Immunocytochemistry/ Immunofluorescence - Anti-EPPIN antibody (AB185699)
  • ICC/IF

Unknown

Immunocytochemistry/ Immunofluorescence - Anti-EPPIN antibody (AB185699)

Immunocytochemistry/Immunofluorescence analysis of HepG2 cells using ab185699. Blue DAPI for nuclear staining.

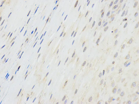
Immunohistochemistry (Formalin/PFA-fixed paraffin-embedded sections) - Anti-EPPIN antibody (AB185699)
  • IHC-P

Unknown

Immunohistochemistry (Formalin/PFA-fixed paraffin-embedded sections) - Anti-EPPIN antibody (AB185699)

Immunohistochemistry (Formalin/PFA-fixed paraffin-embedded sections) analysis of human esophagus tissue labelling EPPIN with ab185699 at 1/200. Magnification : 400x.

Western blot - Anti-EPPIN antibody (AB185699)
  • WB

Supplier Data

Western blot - Anti-EPPIN antibody (AB185699)

All lanes:

Western blot - Anti-EPPIN antibody (ab185699) at 1/500 dilution

Lane 1:

THP1 cell lysate

Lane 2:

Mouse liver lysate

Lane 3:

Mouse testis lysate

Predicted band size: 15 kDa

false

Key facts

Host species

Rabbit

Clonality

Polyclonal

Isotype

IgG

Carrier free

No

Reacts with

Mouse, Human

Applications

IHC-P, WB, ICC/IF

applications

Immunogen

Recombinant Full Length Protein corresponding to Human EPPIN.

O95925

Reactivity data

{ "title": "Reactivity Data", "filters": { "stats": ["", "Species", "Dilution Info", "Notes"], "tabs": { "all-applications": {"fullname" : "All Applications", "shortname": "All Applications"}, "WB" : {"fullname" : "Western blot", "shortname":"WB"}, "IHCP" : {"fullname" : "Immunohistochemistry (Formalin/PFA-fixed paraffin-embedded sections)", "shortname":"IHC-P"}, "ICCIF" : {"fullname" : "Immunocytochemistry/ Immunofluorescence", "shortname":"ICC/IF"} }, "product-promise": { "all": "all", "testedAndGuaranteed": "tested", "guaranteed": "expected", "predicted": "predicted", "notRecommended": "not-recommended" } }, "values": { "Human": { "WB-species-checked": "testedAndGuaranteed", "WB-species-dilution-info": "1/500 - 1/2000", "WB-species-notes": "<p></p>", "IHCP-species-checked": "testedAndGuaranteed", "IHCP-species-dilution-info": "1/50 - 1/200", "IHCP-species-notes": "<p></p>", "ICCIF-species-checked": "testedAndGuaranteed", "ICCIF-species-dilution-info": "", "ICCIF-species-notes": "<p></p>" }, "Mouse": { "WB-species-checked": "testedAndGuaranteed", "WB-species-dilution-info": "1/500 - 1/2000", "WB-species-notes": "<p></p>", "IHCP-species-checked": "guaranteed", "IHCP-species-dilution-info": "", "IHCP-species-notes": "", "ICCIF-species-checked": "guaranteed", "ICCIF-species-dilution-info": "", "ICCIF-species-notes": "" } } }

Properties and storage information

Form
Liquid
Purification technique
Affinity purification Immunogen
Storage buffer
pH: 7.3 Preservative: 0.09% Sodium azide Constituents: PBS, 50% Glycerol (glycerin, glycerine)
Shipped at conditions
Blue Ice
Appropriate short-term storage duration
1-2 weeks
Appropriate short-term storage conditions
+4°C
Appropriate long-term storage conditions
-20°C
Aliquoting information
Upon delivery aliquot
Storage information
Avoid freeze / thaw cycle

Supplementary information

This supplementary information is collated from multiple sources and compiled automatically.

EPPIN short for Epididymal protease inhibitor is a protein that plays an important structural and mechanical role in sperm functionality. With a molecular mass of approximately 19 kDa EPPIN is mainly expressed in the male reproductive system particularly in the epididymis and on the surface of spermatozoa. This protein is recognized by several names including SPINLW1 which stands for Sperm protein with a Kunitz-type inhibitor domain. EPPIN interacts with the surface of sperm to regulate sperm motility and maturation.
Biological function summary

EPPIN influences sperm function by acting as part of a multi-protein complex essential for sperm motility and stability. It is known to bind with Semenogelin (SEMG) a major protein in semen impacting its hydrolytic and inhibitory action. Through this interaction EPPIN contributes to the liquefaction of semen and the regulation of sperm forward motility. It modulates calcium signaling in spermatozoa which is critical for the regulation of sperm activity post-ejaculation.

Pathways

EPPIN has been implicated in pathways associated with reproductive processes. It plays a role in the regulation of the calcium signaling pathway which involves other proteins like CatSper which are essential for sperm capacitation and hyperactivation. EPPIN through its interaction with SEMG indirectly influences the proteolytic pathways that govern seminal fluid conversion from gel to liquid state necessary for the sperm to become fully motile.

EPPIN has connections with male infertility and potential as a target for male contraception. Its interaction with SEMG has been studied in relation to infertility cases where sperm motility is compromised. Furthermore altered levels or functions of EPPIN could link to abnormal semen viscosity contributing to difficulties in natural conception. Researchers are exploring EPPIN as a target for non-hormonal male contraceptives leveraging its pivotal role in sperm functionality without affecting hormone levels.

Product protocols

For this product, it's our understanding that no specific protocols are required. You can visit:

Target data

Serine protease inhibitor that plays an essential role in male reproduction and fertility. Modulates the hydrolysis of SEMG1 by KLK3/PSA (a serine protease), provides antimicrobial protection for spermatozoa in the ejaculate coagulum, and binds SEMG1 thereby inhibiting sperm motility.
See full target information EPPIN

Publications (1)

Recent publications for all applications. Explore the full list and refine your search

FASEB journal : official publication of the Federation of American Societies for Experimental Biology 38:e70090 PubMed39432244

2024

METTL3-mediated m6A modification enhances lncRNA H19 stability to promote endothelial cell inflammation and pyroptosis to aggravate atherosclerosis.

Applications

Unspecified application

Species

Unspecified reactive species

Feng Tang,Long-Hai Tian,Xiao-Han Zhu,Sen Yang,Huan Zeng,Yong-Yao Yang
View all publications

Product promise

We are committed to supporting your work with high-quality reagents, and we're here for you every step of the way. In the unlikely event that one of our products does not perform as expected, you're protected by our Product Promise.
For full details, please see our Terms & Conditions

Please note: All products are 'FOR RESEARCH USE ONLY. NOT FOR USE IN DIAGNOSTIC OR THERAPEUTIC PROCEDURES'.

For licensing inquiries, please contact partnerships@abcam.com