JavaScript is disabled in your browser. Please enable JavaScript to view this website.
AB53006

Anti-EPS15R antibody [EP1147Y]

Be the first to review this product! Submit a review

|

(7 Publications)

Rabbit Monoclonal EPS15R antibody. Suitable for IHC-P, WB and reacts with Human samples. Cited in 7 publications.

View Alternative Names

EPS15R, EPS15L1, Epidermal growth factor receptor substrate 15-like 1, Eps15-related protein, Eps15R

2 Images
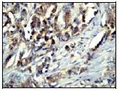
Immunohistochemistry (Formalin/PFA-fixed paraffin-embedded sections) - Anti-EPS15R antibody [EP1147Y] (AB53006)
  • IHC-P

Unknown

Immunohistochemistry (Formalin/PFA-fixed paraffin-embedded sections) - Anti-EPS15R antibody [EP1147Y] (AB53006)

ab53006, at a 1/50 dilution, staining EPS15R in human breast carcinoma, using Immunohistochemsitry, Paraffin embedded tissue.

Perform heat mediated antigen retrieval with citrate buffer pH 6 before commencing with IHC staining protocol.

Western blot - Anti-EPS15R antibody [EP1147Y] (AB53006)
  • WB

Unknown

Western blot - Anti-EPS15R antibody [EP1147Y] (AB53006)

All lanes:

Western blot - Anti-EPS15R antibody [EP1147Y] (ab53006) at 1/50000 dilution

All lanes:

HeLa cell lysate at 10 µg

Secondary

All lanes:

goat anti-rabbit HRP labelled at 1/2000 dilution

Predicted band size: 94 kDa

Observed band size: 125 kDa

false

Key facts

Host species

Rabbit

Clonality

Monoclonal

Clone number

EP1147Y

Isotype

IgG

Carrier free

No

Reacts with

Human

Applications

WB, IHC-P

applications

Immunogen

The exact immunogen used to generate this antibody is proprietary information.

Reactivity data

{ "title": "Reactivity Data", "filters": { "stats": ["", "Species", "Dilution Info", "Notes"], "tabs": { "all-applications": {"fullname" : "All Applications", "shortname": "All Applications"}, "IHCP" : {"fullname" : "Immunohistochemistry (Formalin/PFA-fixed paraffin-embedded sections)", "shortname":"IHC-P"}, "WB" : {"fullname" : "Western blot", "shortname":"WB"} }, "product-promise": { "all": "all", "testedAndGuaranteed": "tested", "guaranteed": "expected", "predicted": "predicted", "notRecommended": "not-recommended" } }, "values": { "Human": { "IHCP-species-checked": "testedAndGuaranteed", "IHCP-species-dilution-info": "", "IHCP-species-notes": "<p></p> Perform heat-mediated antigen retrieval with citrate buffer pH 6 before commencing with IHC staining protocol.", "WB-species-checked": "testedAndGuaranteed", "WB-species-dilution-info": "1/50000", "WB-species-notes": "<p></p>" } } }

Product details

Species reactivity
Mouse, Rat: We have preliminary internal testing data to indicate this antibody may not react with these species.
Please contact us for more information.

Patented technology
Our RabMAb® technology is a patented hybridoma-based technology for making rabbit monoclonal antibodies. For details on our patents, please refer to RabMAb® patents.

Properties and storage information

Form
Liquid
Purity
Tissue culture supernatant
Storage buffer
pH: 7.2 - 7.4 Preservative: 0.05% Sodium azide Constituents: 50% Tissue culture supernatant, 40% Glycerol (glycerin, glycerine), 9.85% Tris glycine, 0.1% BSA
Shipped at conditions
Blue Ice
Appropriate short-term storage conditions
+4°C
Appropriate long-term storage conditions
-20°C
Storage information
Stable for 12 months at -20°C

Supplementary information

This supplementary information is collated from multiple sources and compiled automatically.

EPS15R also known as Epidermal Growth Factor Receptor Pathway Substrate 15-Related Protein is a protein with a molecular mass of approximately 110 kDa. It acts mechanically as an adaptor protein playing significant roles in processes like endocytosis and cellular signaling. EPS15R contains several Epsin N-terminal Homology (ENTH) domains which allow it to interact with components of the clathrin-coated pits during vesicle formation. It is expressed broadly in human tissues with significant presence in the brain heart and skeletal muscles which hints at its varied functional roles.
Biological function summary

EPS15R participates in endocytosis where it influences the internalization of receptors and other molecules into cells. It forms part of a larger protein complex involved in cargo selection and vesicle budding often associating with proteins like epsin and clathrin. This interaction facilitates the concentration and packaging of signaling receptors therefore modulating signal transduction within the cell. EPS15R's role as an adaptor enables tight regulation of receptor trafficking ensuring coordinated cellular responses to external cues.

Pathways

EPS15R operates within the endocytic and ubiquitin-proteasome pathways where it modulates receptor-mediated endocytosis linked to signal transduction. In the endocytic pathway EPS15R interacts with proteins such as EGFR (Epidermal Growth Factor Receptor) helping to regulate EGFR internalization and degradation. This regulation is important for maintaining cellular homeostasis as it modulates the intensity and duration of signaling. EPS15R also associates with the ubiquitin-proteasome system through interactions with ubiquitin ligases which mark proteins for degradation and affect various signaling pathways.

EPS15R's dysregulation can contribute to neurodegenerative diseases and cancer. Altered endocytic trafficking due to EPS15R malfunction might play a role in diseases like Alzheimer's where defective protein clearance is observed. In cancer EPS15R's interactions with proteins like EGFR have implications in tumorigenesis as abnormal EGFR signaling due to misregulation at the endocytic level can promote unchecked cell proliferation. These associations emphasize EPS15R's potential as a therapeutic target for such diseases.

Product protocols

For this product, it's our understanding that no specific protocols are required. You can visit:

Target data

Seems to be a constitutive component of clathrin-coated pits that is required for receptor-mediated endocytosis. Involved in endocytosis of integrin beta-1 (ITGB1) and transferrin receptor (TFR); internalization of ITGB1 as DAB2-dependent cargo but not TFR seems to require association with DAB2.
See full target information EPS15L1

Publications (7)

Recent publications for all applications. Explore the full list and refine your search

Cell death & disease 14:622 PubMed37736770

2023

A new scaffold-free tumoroid model provides a robust preclinical tool to investigate invasion and drug response in Renal Cell Carcinoma.

Applications

Unspecified application

Species

Unspecified reactive species

Irinka Séraudie,Catherine Pillet,Beatrice Cesana,Pauline Bazelle,Florian Jeanneret,Bertrand Evrard,Frédéric Chalmel,Assilah Bouzit,Christophe Battail,Jean-Alexandre Long,Jean Luc Descotes,Claude Cochet,Odile Filhol

Cancers 15: PubMed37627157

2023

Uncovering Novel Roles of miR-122 in the Pathophysiology of the Liver: Potential Interaction with NRF1 and E2F4 Signaling.

Applications

Unspecified application

Species

Unspecified reactive species

Martha Paluschinski,Jessica Schira-Heinen,Rossella Pellegrino,Lara R Heij,Jan Bednarsch,Ulf P Neumann,Thomas Longerich,Kai Stuehler,Tom Luedde,Mirco Castoldi

Nature cell biology 23:366-376 PubMed33820972

2021

Liquid-like protein interactions catalyse assembly of endocytic vesicles.

Applications

Unspecified application

Species

Unspecified reactive species

Kasey J Day,Grace Kago,Liping Wang,J Blair Richter,Carl C Hayden,Eileen M Lafer,Jeanne C Stachowiak

eLife 8: PubMed31038455

2019

A nanobody-based molecular toolkit provides new mechanistic insight into clathrin-coat initiation.

Applications

Unspecified application

Species

Unspecified reactive species

Linton M Traub

Traffic (Copenhagen, Denmark) 19:44-57 PubMed28972287

2017

Eps15R and clathrin regulate EphB2-mediated cell repulsion.

Applications

Unspecified application

Species

Unspecified reactive species

Emma Evergren,Neville Cobbe,Harvey T McMahon

The Journal of cell biology 186:473-80 PubMed19704019

2009

A requirement for epsin in mitotic membrane and spindle organization.

Applications

Unspecified application

Species

Unspecified reactive species

Zhonghua Liu,Yixian Zheng

Proceedings of the National Academy of Sciences of the United States of America 105:11790-5 PubMed18689690

2008

Epsin 1 is a cargo-specific adaptor for the clathrin-mediated endocytosis of the influenza virus.

Applications

Unspecified application

Species

Unspecified reactive species

Chen Chen,Xiaowei Zhuang
View all publications

Product promise

We are committed to supporting your work with high-quality reagents, and we're here for you every step of the way. In the unlikely event that one of our products does not perform as expected, you're protected by our Product Promise.
For full details, please see our Terms & Conditions

Please note: All products are 'FOR RESEARCH USE ONLY. NOT FOR USE IN DIAGNOSTIC OR THERAPEUTIC PROCEDURES'.

For licensing inquiries, please contact partnerships@abcam.com