JavaScript is disabled in your browser. Please enable JavaScript to view this website.
AB284699

Anti-EPS15R antibody [EP1147Y] - BSA and Azide free

Be the first to review this product! Submit a review

|

(0 Publication)

Rabbit Monoclonal EPS15R antibody. Carrier free. Suitable for WB, IHC-P and reacts with Human samples.

View Alternative Names

EPS15R, EPS15L1, Epidermal growth factor receptor substrate 15-like 1, Eps15-related protein, Eps15R

2 Images
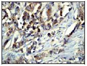
Immunohistochemistry (Formalin/PFA-fixed paraffin-embedded sections) - Anti-EPS15R antibody [EP1147Y] - BSA and Azide free (AB284699)
  • IHC-P

Unknown

Immunohistochemistry (Formalin/PFA-fixed paraffin-embedded sections) - Anti-EPS15R antibody [EP1147Y] - BSA and Azide free (AB284699)

This data was developed using ab53006, the same antibody clone in a different buffer formulation.

ab53006, at a 1/50 dilution, staining EPS15R in human breast carcinoma, using Immunohistochemsitry, Paraffin embedded tissue.

Perform heat mediated antigen retrieval with citrate buffer pH 6 before commencing with IHC staining protocol.

Western blot - Anti-EPS15R antibody [EP1147Y] - BSA and Azide free (AB284699)
  • WB

Unknown

Western blot - Anti-EPS15R antibody [EP1147Y] - BSA and Azide free (AB284699)

This data was developed using ab53006, the same antibody clone in a different buffer formulation.

All lanes:

Western blot - Anti-EPS15R antibody [EP1147Y] (<a href='/en-us/products/primary-antibodies/eps15r-antibody-ep1147y-ab53006'>ab53006</a>) at 1/50000 dilution

All lanes:

HeLa cell lysate at 10 µg

Secondary

All lanes:

goat anti-rabbit HRP labelled at 1/2000 dilution

Predicted band size: 94 kDa

Observed band size: 125 kDa

false

Key facts

Host species

Rabbit

Clonality

Monoclonal

Clone number

EP1147Y

Isotype

IgG

Carrier free

Yes

Reacts with

Human

Applications

WB, IHC-P

applications

Immunogen

The exact immunogen used to generate this antibody is proprietary information.

Reactivity data

{ "title": "Reactivity Data", "filters": { "stats": ["", "Species", "Dilution Info", "Notes"], "tabs": { "all-applications": {"fullname" : "All Applications", "shortname": "All Applications"}, "WB" : {"fullname" : "Western blot", "shortname":"WB"}, "IHCP" : {"fullname" : "Immunohistochemistry (Formalin/PFA-fixed paraffin-embedded sections)", "shortname":"IHC-P"} }, "product-promise": { "all": "all", "testedAndGuaranteed": "tested", "guaranteed": "expected", "predicted": "predicted", "notRecommended": "not-recommended" } }, "values": { "Human": { "WB-species-checked": "testedAndGuaranteed", "WB-species-dilution-info": "", "WB-species-notes": "<p></p>", "IHCP-species-checked": "testedAndGuaranteed", "IHCP-species-dilution-info": "", "IHCP-species-notes": "<p></p> Perform heat-mediated antigen retrieval with citrate buffer pH 6 before commencing with IHC staining protocol." } } }

Product details

ab284699 is the carrier-free version of ab53006

Patented technology
Our RabMAb® technology is a patented hybridoma-based technology for making rabbit monoclonal antibodies. For details on our patents, please refer to RabMAb® patents.

Conjugation ready
Our carrier-free antibodies are typically supplied in a PBS-only formulation, purified and free of BSA, sodium azide and glycerol. This conjugation-ready format is designed for use with fluorochromes, metal isotopes, oligonucleotides, and enzymes, which makes them ideal for antibody labelling, functional and cell-based assays, flow-based assays (e.g. mass cytometry) and Multiplex Imaging applications.

Use our conjugation kits for antibody conjugates that are ready-to-use in as little as 20 minutes with 1 minute hands-on-time and 100% antibody recovery: available for fluorescent dyes, HRP, biotin and gold.

Compatibility
This product is compatible with the Maxpar® Antibody Labeling Kit from Fluidigm, without the need for antibody preparation. Maxpar® is a trademark of Fluidigm Canada Inc.

Properties and storage information

Form
Liquid
Purity
Tissue culture supernatant
Storage buffer
pH: 7.2 - 7.4 Constituents: PBS
Shipped at conditions
Blue Ice
Appropriate short-term storage conditions
+4°C
Appropriate long-term storage conditions
+4°C

Supplementary information

This supplementary information is collated from multiple sources and compiled automatically.

EPS15R also known as Epidermal Growth Factor Receptor Pathway Substrate 15-Related Protein is a protein with a molecular mass of approximately 110 kDa. It acts mechanically as an adaptor protein playing significant roles in processes like endocytosis and cellular signaling. EPS15R contains several Epsin N-terminal Homology (ENTH) domains which allow it to interact with components of the clathrin-coated pits during vesicle formation. It is expressed broadly in human tissues with significant presence in the brain heart and skeletal muscles which hints at its varied functional roles.
Biological function summary

EPS15R participates in endocytosis where it influences the internalization of receptors and other molecules into cells. It forms part of a larger protein complex involved in cargo selection and vesicle budding often associating with proteins like epsin and clathrin. This interaction facilitates the concentration and packaging of signaling receptors therefore modulating signal transduction within the cell. EPS15R's role as an adaptor enables tight regulation of receptor trafficking ensuring coordinated cellular responses to external cues.

Pathways

EPS15R operates within the endocytic and ubiquitin-proteasome pathways where it modulates receptor-mediated endocytosis linked to signal transduction. In the endocytic pathway EPS15R interacts with proteins such as EGFR (Epidermal Growth Factor Receptor) helping to regulate EGFR internalization and degradation. This regulation is important for maintaining cellular homeostasis as it modulates the intensity and duration of signaling. EPS15R also associates with the ubiquitin-proteasome system through interactions with ubiquitin ligases which mark proteins for degradation and affect various signaling pathways.

EPS15R's dysregulation can contribute to neurodegenerative diseases and cancer. Altered endocytic trafficking due to EPS15R malfunction might play a role in diseases like Alzheimer's where defective protein clearance is observed. In cancer EPS15R's interactions with proteins like EGFR have implications in tumorigenesis as abnormal EGFR signaling due to misregulation at the endocytic level can promote unchecked cell proliferation. These associations emphasize EPS15R's potential as a therapeutic target for such diseases.

Product protocols

For this product, it's our understanding that no specific protocols are required. You can visit:

Target data

Seems to be a constitutive component of clathrin-coated pits that is required for receptor-mediated endocytosis. Involved in endocytosis of integrin beta-1 (ITGB1) and transferrin receptor (TFR); internalization of ITGB1 as DAB2-dependent cargo but not TFR seems to require association with DAB2.
See full target information EPS15L1

Product promise

We are committed to supporting your work with high-quality reagents, and we're here for you every step of the way. In the unlikely event that one of our products does not perform as expected, you're protected by our Product Promise.
For full details, please see our Terms & Conditions

Please note: All products are 'FOR RESEARCH USE ONLY. NOT FOR USE IN DIAGNOSTIC OR THERAPEUTIC PROCEDURES'.

For licensing inquiries, please contact partnerships@abcam.com