JavaScript is disabled in your browser. Please enable JavaScript to view this website.
AB203272

Anti-EPS8 antibody

Be the first to review this product! Submit a review

|

(1 Publication)

Rabbit Polyclonal EPS8 antibody. Suitable for IHC-P and reacts with Rat samples. Cited in 1 publication. Immunogen corresponding to Synthetic Peptide within Human Epidermal growth factor receptor kinase substrate 8 aa 250-350 conjugated to Keyhole Limpet Haemocyanin.

View Alternative Names

Epidermal growth factor receptor kinase substrate 8, EPS8

1 Images
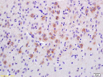
Immunohistochemistry (Formalin/PFA-fixed paraffin-embedded sections) - Anti-EPS8 antibody (AB203272)
  • IHC-P

Supplier Data

Immunohistochemistry (Formalin/PFA-fixed paraffin-embedded sections) - Anti-EPS8 antibody (AB203272)

Immunohistochemical analysis of formalin-fixed, and paraffin-embedded rat brain labeling EPS8 with ab203272 at 1/200 dilution followed by conjugation to the secondary antibody and DAB staining.

Key facts

Host species

Rabbit

Clonality

Polyclonal

Isotype

IgG

Carrier free

No

Reacts with

Rat

Applications

IHC-P

applications

Immunogen

Synthetic Peptide within Human Epidermal growth factor receptor kinase substrate 8 aa 250-350 conjugated to Keyhole Limpet Haemocyanin. The exact immunogen used to generate this antibody is proprietary information.

Q12929

Reactivity data

{ "title": "Reactivity Data", "filters": { "stats": ["", "Species", "Dilution Info", "Notes"], "tabs": { "all-applications": {"fullname" : "All Applications", "shortname": "All Applications"}, "IHCP" : {"fullname" : "Immunohistochemistry (Formalin/PFA-fixed paraffin-embedded sections)", "shortname":"IHC-P"} }, "product-promise": { "all": "all", "testedAndGuaranteed": "tested", "guaranteed": "expected", "predicted": "predicted", "notRecommended": "not-recommended" } }, "values": { "Rat": { "IHCP-species-checked": "testedAndGuaranteed", "IHCP-species-dilution-info": "1/100 - 1/500", "IHCP-species-notes": "<p>When using a fluorescent probe the recommended dilution is 1/50 – 1/200</p>" } } }

Properties and storage information

Form
Liquid
Purification technique
Affinity purification Protein A
Storage buffer
pH: 7.4 Preservative: 0.02% Proclin 300 Constituents: 50% Glycerol (glycerin, glycerine), 48.98% TBS, 1X, 1% BSA
Shipped at conditions
Blue Ice
Appropriate short-term storage duration
1-2 weeks
Appropriate short-term storage conditions
+4°C
Appropriate long-term storage conditions
-20°C
Aliquoting information
Upon delivery aliquot
Storage information
Avoid freeze / thaw cycle

Supplementary information

This supplementary information is collated from multiple sources and compiled automatically.

EPS8 also known as Epidermal Growth Factor Receptor Pathway Substrate 8 functions as an adaptor protein that regulates actin cytoskeleton remodeling. This protein has a mass of approximately 97 kDa. EPS8 is expressed in a variety of tissues including those in the brain skin and digestive tract. EPS8 interacts with other proteins at the cellular membrane and in the cytosol playing a role in transmitting signals from receptors on the cell surface to the actin cytoskeleton inside the cell.
Biological function summary

EPS8 influences cellular behaviors such as migration adhesion and proliferation. It associates with a multiprotein complex that includes other signaling molecules such as SOS1 and ABI1. Through these interactions EPS8 contributes to the regulation of actin filament formation which is important for cell movement and shape. The rigid structure and dynamics of the actin cytoskeleton mainly regulated through EPS8 activity impact various cellular functions.

Pathways

EPS8 plays a significant role in the epidermal growth factor receptor (EGFR) signaling pathway and the Ras signaling pathway. Within these pathways EPS8 modulates downstream signaling that affects processes like cell growth and survival. It interacts with other proteins such as actin-binding proteins and the SH3 domain-containing proteins which further connect it to diverse signaling cascades.

Disruptions in EPS8 expression or function have associations with cancer progression particularly in colorectal and breast cancers. EPS8 overexpression can lead to increased metastasis and poor prognosis in these cancers. The interaction of EPS8 with proteins like EGFR and other components of signaling pathways highlights its involvement in oncogenic processes. Research into EPS8 offers potential therapeutic strategies in targeting cancers that exhibit aberrant EPS8 activity.

Product protocols

For this product, it's our understanding that no specific protocols are required. You can visit:

Target data

Signaling adapter that controls various cellular protrusions by regulating actin cytoskeleton dynamics and architecture. Depending on its association with other signal transducers, can regulate different processes. Together with SOS1 and ABI1, forms a trimeric complex that participates in transduction of signals from Ras to Rac by activating the Rac-specific guanine nucleotide exchange factor (GEF) activity. Acts as a direct regulator of actin dynamics by binding actin filaments and has both barbed-end actin filament capping and actin bundling activities depending on the context. Displays barbed-end actin capping activity when associated with ABI1, thereby regulating actin-based motility process : capping activity is auto-inhibited and inhibition is relieved upon ABI1 interaction. Also shows actin bundling activity when associated with BAIAP2, enhancing BAIAP2-dependent membrane extensions and promoting filopodial protrusions. Involved in the regulation of processes such as axonal filopodia growth, stereocilia length, dendritic cell migration and cancer cell migration and invasion. Acts as a regulator of axonal filopodia formation in neurons : in the absence of neurotrophic factors, negatively regulates axonal filopodia formation via actin-capping activity. In contrast, it is phosphorylated in the presence of BDNF leading to inhibition of its actin-capping activity and stimulation of filopodia formation. Component of a complex with WHRN and MYO15A that localizes at stereocilia tips and is required for elongation of the stereocilia actin core. Indirectly involved in cell cycle progression; its degradation following ubiquitination being required during G2 phase to promote cell shape changes.
See full target information Epidermal growth factor receptor kinase substrate 8

Publications (1)

Recent publications for all applications. Explore the full list and refine your search

Molecular medicine reports 14:3220-8 PubMed27573546

2016

Epidermal growth factor receptor kinase substrate 8 promotes the metastasis of cervical cancer via the epithelial-mesenchymal transition.

Applications

WB, IHC-P

Species

Human, Human

Qian Li,Wei Bao,Qiong Fan,Wen-Jing Shi,Zhu-Nan Li,Ying Xu,Dan Wu
View all publications

Product promise

We are committed to supporting your work with high-quality reagents, and we're here for you every step of the way. In the unlikely event that one of our products does not perform as expected, you're protected by our Product Promise.
For full details, please see our Terms & Conditions

Please note: All products are 'FOR RESEARCH USE ONLY. NOT FOR USE IN DIAGNOSTIC OR THERAPEUTIC PROCEDURES'.

For licensing inquiries, please contact partnerships@abcam.com