JavaScript is disabled in your browser. Please enable JavaScript to view this website.
AB190715

Anti-EPX antibody [AHE-1]

4

(2 Reviews)

|

(5 Publications)

Mouse Monoclonal EPX antibody. Suitable for Flow Cyt, ICC/IF, IHC-Fr and reacts with Human samples. Cited in 5 publications. Immunogen corresponding to Cell preparation containing EPX protein.

View Alternative Names

EPER, EPO, EPP, EPX, Eosinophil peroxidase

Key facts

Host species

Mouse

Clonality

Monoclonal

Clone number

AHE-1

Isotype

IgG1

Light chain type

kappa

Carrier free

No

Reacts with

Human

Applications

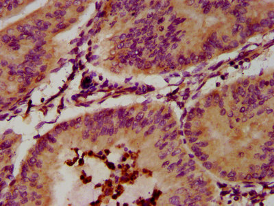
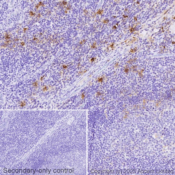
IHC-Fr, ICC/IF, Flow Cyt

applications

Immunogen

Cell preparation containing EPX protein. The exact immunogen used to generate this antibody is proprietary information.

P11678

Specificity

ab190715 recognizes EPX. It does not cross-react with eosinophil major basic protein, elastase, cathepsin G, esterase N, thrombin, plasmin, kallikrein, lactoferrin, or transferrin. ab190715 stains eosinophils only and does not stain other peripheral blood cells, including platelets, neutrophils, monocytes, lymphocytes or red blood cells.

Reactivity data

{ "title": "Reactivity Data", "filters": { "stats": ["", "Species", "Dilution Info", "Notes"], "tabs": { "all-applications": {"fullname" : "All Applications", "shortname": "All Applications"}, "FlowCyt" : {"fullname" : "Flow Cytometry", "shortname":"Flow Cyt"}, "ICCIF" : {"fullname" : "Immunocytochemistry/ Immunofluorescence", "shortname":"ICC/IF"}, "IHCFr" : {"fullname" : "Immunohistochemistry (Frozen sections)", "shortname":"IHC-Fr"} }, "product-promise": { "all": "all", "testedAndGuaranteed": "tested", "guaranteed": "expected", "predicted": "predicted", "notRecommended": "not-recommended" } }, "values": { "Human": { "FlowCyt-species-checked": "guaranteed", "FlowCyt-species-dilution-info": "", "FlowCyt-species-notes": "<p><a href='/en-us/products/primary-antibodies/mouse-igg1-kappa-monoclonal-15-6e10a7-isotype-control-ab170190'>ab170190</a> - Mouse monoclonal IgG1, is suitable for use as an isotype control with this antibody.</p>", "ICCIF-species-checked": "guaranteed", "ICCIF-species-dilution-info": "", "ICCIF-species-notes": "<p></p>", "IHCFr-species-checked": "guaranteed", "IHCFr-species-dilution-info": "", "IHCFr-species-notes": "<p></p>" } } }

Properties and storage information

Form
Liquid
Purification technique
Affinity purification Protein G
Purification notes
ab190715 was purified from Bioreactor Concentrate.
Storage buffer
pH: 7.2 - 7.4 Preservative: 0.05% Sodium azide Constituents: PBS, 0.05% BSA
Shipped at conditions
Blue Ice
Appropriate short-term storage duration
1-2 weeks
Appropriate short-term storage conditions
+4°C
Appropriate long-term storage conditions
-20°C
Aliquoting information
Upon delivery aliquot
Storage information
Avoid freeze / thaw cycle

Supplementary information

This supplementary information is collated from multiple sources and compiled automatically.

EPX also known as eosinophil peroxidase or e p x is an enzyme with a molecular mass of approximately 71 kDa. This enzyme is mainly expressed in eosinophils a type of white blood cell involved in the immune response. EPX is located in the granules of eosinophils and it plays a role in the catalysis of halide ions and hydrogen peroxide to produce hypohalous acids which are potent antimicrobial agents. These acids contribute to the killing of bacteria and other pathogens making the enzyme a critical component of the immune system.
Biological function summary

Eosinophil peroxidase participates in the body's defense against parasitic infections and allergic reactions. It is not known to be a part of a larger protein complex but it does interact with other proteins within the immune response setting. EPX helps in generating reactive oxygen species which have antimicrobial properties and are important in immune signaling pathways. Although it can lead to tissue damage when overproduced its controlled activity is necessary for effective immune function.

Pathways

Eosinophil peroxidase's activity intersects with the respiratory burst pathway and the detoxification pathway. The enzyme contributes to the formation of reactive oxygen species in the respiratory burst pathway which is important for pathogen destruction. EPX is also connected with enzymes like myeloperoxidase (MPO) that function similarly in the immune response though EPX is more specific to eosinophils. This specialization makes it an important player in eosinophil-associated diseases and disorders.

Eosinophil peroxidase has links to asthma and allergic diseases. Its activity in producing reactive oxygen species and hypohalous acids can exacerbate airway inflammation in asthma resulting in tissue damage. Additionally EPX has been studied in the context of autoimmune conditions as its dysregulated activity may contribute to inflammation. Its interaction with other proteins like myeloperoxidase could also influence such diseases highlighting the enzyme's role in pathological processes beyond its beneficial antimicrobial functions.

Product protocols

For this product, it's our understanding that no specific protocols are required. You can visit:

Target data

Mediates tyrosine nitration of secondary granule proteins in mature resting eosinophils. Shows significant inhibitory activity towards Mycobacterium tuberculosis H37Rv by inducing bacterial fragmentation and lysis.
See full target information EPX

Publications (5)

Recent publications for all applications. Explore the full list and refine your search

Experimental hematology & oncology 14:26 PubMed40025520

2025

TLR7/8 signaling activation enhances the potency of human pluripotent stem cell-derived eosinophils in cancer immunotherapy for solid tumors.

Applications

Unspecified application

Species

Unspecified reactive species

Sheng Zhu,Zhengyang Zhou,Ruixin Gu,Zixin Zhao,Yingfeng Zhang,Yudi Miao,Qi Lei,Tianxing Liu,Guokai Wang,Chenyi Dai,Yi Huo,Jinghao You,Lejun Lv,Cheng Li,Ming Yin,Chengyan Wang,Hongkui Deng

The Journal of experimental medicine 221: PubMed38563820

2024

Individuals with JAK1 variants are affected by syndromic features encompassing autoimmunity, atopy, colitis, and dermatitis.

Applications

Unspecified application

Species

Unspecified reactive species

Michael E Horesh,Marta Martin-Fernandez,Conor Gruber,Sofija Buta,Tom Le Voyer,Eve Puzenat,Harry Lesmana,Yiming Wu,Ashley Richardson,David Stein,Stephanie Hodeib,Mariam Youssef,Jacob A Kurowski,Elizabeth Feuille,Luis A Pedroza,Ramsay L Fuleihan,Alexandria Haseley,Alain Hovnanian,Pierre Quartier,Jérémie Rosain,Georgina Davis,Daniel Mullan,O'Jay Stewart,Roosheel Patel,Angelica E Lee,Rebecca Rubinstein,Leyla Ewald,Nikhil Maheshwari,Virginia Rahming,Ivan K Chinn,James R Lupski,Jordan S Orange,Vanessa Sancho-Shimizu,Jean-Laurent Casanova,Noura S Abul-Husn,Yuval Itan,Joshua D Milner,Jacinta Bustamante,Dusan Bogunovic

Nature communications 15:1067 PubMed38316791

2024

Eosinophils preserve bone homeostasis by inhibiting excessive osteoclast formation and activity via eosinophil peroxidase.

Applications

Unspecified application

Species

Unspecified reactive species

Darja Andreev,Katerina Kachler,Mengdan Liu,Zhu Chen,Brenda Krishnacoumar,Mark Ringer,Silke Frey,Gerhard Krönke,David Voehringer,Georg Schett,Aline Bozec

Cancers 15: PubMed37509260

2023

CDC20 Is Regulated by the Histone Methyltransferase, KMT5A, in Castration-Resistant Prostate Cancer.

Applications

Unspecified application

Species

Unspecified reactive species

Zainab A H Alebady,Mahsa Azizyan,Sirintra Nakjang,Emma Lishman-Walker,Dhuha Al-Kharaif,Scott Walker,Hui Xian Choo,Rebecca Garnham,Emma Scott,Katya L Johnson,Craig N Robson,Kelly Coffey

Immunology and cell biology 96:426-438 PubMed29424023

2018

Integrin αM activation and upregulation on esophageal eosinophils and periostin-mediated eosinophil survival in eosinophilic esophagitis.

Applications

Unspecified application

Species

Unspecified reactive species

Praveen Vimalathas,Alexandra Farris,Dorothea Letner,Vikram Deshpande,Vijay Yajnik,Wayne Shreffler,John Garber
View all publications

Product promise

We are committed to supporting your work with high-quality reagents, and we're here for you every step of the way. In the unlikely event that one of our products does not perform as expected, you're protected by our Product Promise.
For full details, please see our Terms & Conditions

Please note: All products are 'FOR RESEARCH USE ONLY. NOT FOR USE IN DIAGNOSTIC OR THERAPEUTIC PROCEDURES'.

For licensing inquiries, please contact partnerships@abcam.com