JavaScript is disabled in your browser. Please enable JavaScript to view this website.
AB216594

Anti-ER81/ETV1 antibody

1

(1 Review)

|

(0 Publication)

Rabbit Polyclonal ER81/ETV1 antibody. Suitable for IHC-P and reacts with Rat samples. Immunogen corresponding to Synthetic Peptide within Human ETV1 aa 1-100 conjugated to Keyhole Limpet Haemocyanin.

View Alternative Names

ER81, ETV1, ETS translocation variant 1, Ets-related protein 81

1 Images
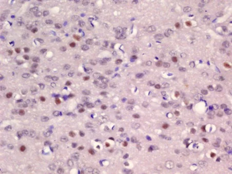
Immunohistochemistry (Formalin/PFA-fixed paraffin-embedded sections) - Anti-ER81/ETV1 antibody (AB216594)
  • IHC-P

Supplier Data

Immunohistochemistry (Formalin/PFA-fixed paraffin-embedded sections) - Anti-ER81/ETV1 antibody (AB216594)

Immunohistochemical analysis of formalin-fixed paraffin embedded rat brain tissue labeling ER81/ETV1 using ab216594 at 1/200, followed by secondary detection and DAB staining.

Key facts

Host species

Rabbit

Clonality

Polyclonal

Isotype

IgG

Carrier free

No

Reacts with

Rat

Applications

IHC-P

applications

Immunogen

Synthetic Peptide within Human ETV1 aa 1-100 conjugated to Keyhole Limpet Haemocyanin. The exact immunogen used to generate this antibody is proprietary information.

P50549

Reactivity data

{ "title": "Reactivity Data", "filters": { "stats": ["", "Species", "Dilution Info", "Notes"], "tabs": { "all-applications": {"fullname" : "All Applications", "shortname": "All Applications"}, "IHCP" : {"fullname" : "Immunohistochemistry (Formalin/PFA-fixed paraffin-embedded sections)", "shortname":"IHC-P"} }, "product-promise": { "all": "all", "testedAndGuaranteed": "tested", "guaranteed": "expected", "predicted": "predicted", "notRecommended": "not-recommended" } }, "values": { "Human": { "IHCP-species-checked": "predicted", "IHCP-species-dilution-info": "", "IHCP-species-notes": "" }, "Rat": { "IHCP-species-checked": "testedAndGuaranteed", "IHCP-species-dilution-info": "1/100 - 1/500", "IHCP-species-notes": "<p></p>" } } }

Properties and storage information

Form
Liquid
Purification technique
Affinity purification Protein A
Storage buffer
pH: 7.4 Preservative: 0.02% Proclin 300 Constituents: 50% Glycerol (glycerin, glycerine), 48.98% TBS, 1X, 1% BSA
Shipped at conditions
Blue Ice
Appropriate short-term storage duration
1-2 weeks
Appropriate short-term storage conditions
+4°C
Appropriate long-term storage conditions
-20°C
Aliquoting information
Upon delivery aliquot
Storage information
Avoid freeze / thaw cycle

Supplementary information

This supplementary information is collated from multiple sources and compiled automatically.

ER81 also known as ETV1 is a transcription factor with a molecular mass of approximately 54 kDa. This protein is part of the ETS family and characterized by a conserved ETS domain that binds specific DNA sequences. ER81 is expressed highly in neuronal tissues especially in sensory neurons and can also be found in prostate tissue and certain cancer cell lines. Its expression pattern makes it a significant target for research in both developmental biology and oncology.
Biological function summary

ER81 influences many cellular processes by regulating gene expression. It participates in complex transcriptional networks often interacting with other proteins to modulate transcriptional activity. Within various tissues ER81 facilitates neuronal differentiation and plays a role in the development of sensory pathways. It interacts with other transcription factors and co-activators integrating signals from distinct signaling pathways to achieve specific biological outcomes.

Pathways

ER81 influences several critical signaling mechanisms especially in neuronal and cancer-related contexts. It partakes in the MAPK/ERK pathway where it collaborates with other ETS family members like ELK1 to mediate cellular responses to growth factors. ER81 also interfaces with the PI3K/AKT pathway impacting cell survival and proliferation. Through these interactions ER81 helps manage the balance between cell growth and apoptosis.

ER81 exhibits connections to certain cancers and neurological diseases. Researchers often study its involvement in prostate cancer due to its elevated expression in tumor tissues. ER81 influences oncogenesis through interactions with proteins like AR (androgen receptor) which modulate tumorigenic pathways. Additionally ER81 has links to neurological disorders due to its role in sensory neuron development although specific proteins involved in these disorders remain under investigation.

Product protocols

For this product, it's our understanding that no specific protocols are required. You can visit:

Target data

Transcriptional activator that binds to DNA sequences containing the consensus pentanucleotide 5'-CGGA[AT]-3' (PubMed : 7651741). Required for olfactory dopaminergic neuron differentiation; may directly activate expression of tyrosine hydroxylase (TH) (By similarity).
See full target information ETV1

Product promise

We are committed to supporting your work with high-quality reagents, and we're here for you every step of the way. In the unlikely event that one of our products does not perform as expected, you're protected by our Product Promise.
For full details, please see our Terms & Conditions

Please note: All products are 'FOR RESEARCH USE ONLY. NOT FOR USE IN DIAGNOSTIC OR THERAPEUTIC PROCEDURES'.

For licensing inquiries, please contact partnerships@abcam.com