JavaScript is disabled in your browser. Please enable JavaScript to view this website.
AB324772

Anti-ER81/ETV1 antibody [DZR-1-29] - BSA and Azide free

Be the first to review this product! Submit a review

|

(0 Publication)

Rabbit Recombinant Monoclonal ER81/ETV1 antibody. Carrier free. Suitable for IHC-P, IHC-Fr, WB and reacts with Transfected cell line - Human, Human, Mouse, Rat samples.

View Alternative Names

ER81, ETV1, ETS translocation variant 1, Ets-related protein 81

14 Images
Immunohistochemistry (Formalin/PFA-fixed paraffin-embedded sections) - Anti-ER81/ETV1 antibody [DZR-1-29] - BSA and Azide free (AB324772)
  • IHC-P

Supplier Data

Immunohistochemistry (Formalin/PFA-fixed paraffin-embedded sections) - Anti-ER81/ETV1 antibody [DZR-1-29] - BSA and Azide free (AB324772)

This data was developed using ab322139, the same antibody clone in a different buffer formulation.

Immunohistochemical analysis of paraffin-embedded (A) U-87 MG (human glioblastoma-astrocytoma epithelial cell). (B) PC-3 (human prostate adenocarcinoma epithelial cell). (C) MCF7 (human breast adenocarcinoma epithelial cell). (D) T-47D (human breast adenocarcinoma epithelial cell). tissue labeling ER81/ETV1 with ab322139 at 1/500 (0.994 ug/ml) dilution followed by a ready to use Rabbit specific IHC polymer detection kit HRP/DAB (ab209101).

Positive staining in (A) U-87 MG and (B) PC-3; no staining in (C) MCF7 and (D) T-47D.
The section was incubated with ab322139 for 30 mins at room temperature.
The immunostaining was performed on a Leica Biosystems BOND® RX instrument

Counterstained with Hematoxylin.

Secondary antibody only control : Secondary antibody is a ready to use Rabbit specific IHC polymer detection kit HRP/DAB (ab209101).

Heat mediated antigen retrieval was performed with Tris-EDTA buffer (pH 9.0 Epitope Retrieval Solution2) for 20 mins

Immunohistochemistry (Formalin/PFA-fixed paraffin-embedded sections) - Anti-ER81/ETV1 antibody [DZR-1-29] - BSA and Azide free (AB324772)
  • IHC-P

Supplier Data

Immunohistochemistry (Formalin/PFA-fixed paraffin-embedded sections) - Anti-ER81/ETV1 antibody [DZR-1-29] - BSA and Azide free (AB324772)

This data was developed using ab322139, the same antibody clone in a different buffer formulation.

Immunohistochemical analysis of paraffin-embedded Human cerebral cortex tissue labeling ER81/ETV1 with ab322139 at 1/500 (0.994 ug/ml) dilution followed by a ready to use Rabbit specific IHC polymer detection kit HRP/DAB (ab209101).

Positive staining in human cerebral cortex.
The section was incubated with ab322139 for 30 mins at room temperature.
The immunostaining was performed on a Leica Biosystems BOND® RX instrument

Counterstained with Hematoxylin.

Secondary antibody only control : Secondary antibody is a ready to use Rabbit specific IHC polymer detection kit HRP/DAB (ab209101).

Heat mediated antigen retrieval was performed with Tris-EDTA buffer (pH 9.0 Epitope Retrieval Solution2) for 20 mins

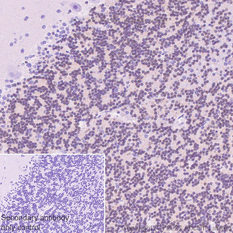
Immunohistochemistry (Formalin/PFA-fixed paraffin-embedded sections) - Anti-ER81/ETV1 antibody [DZR-1-29] - BSA and Azide free (AB324772)
  • IHC-P

Supplier Data

Immunohistochemistry (Formalin/PFA-fixed paraffin-embedded sections) - Anti-ER81/ETV1 antibody [DZR-1-29] - BSA and Azide free (AB324772)

This data was developed using ab322139, the same antibody clone in a different buffer formulation.

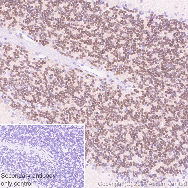
Immunohistochemical analysis of paraffin-embedded Human cerebellum tissue labeling ER81/ETV1 with ab322139 at 1/500 (0.994 ug/ml) dilution followed by a ready to use Rabbit specific IHC polymer detection kit HRP/DAB (ab209101).

Positive staining in human cerebellum.
The section was incubated with ab322139 for 30 mins at room temperature.
The immunostaining was performed on a Leica Biosystems BOND® RX instrument

Counterstained with Hematoxylin.

Secondary antibody only control : Secondary antibody is a ready to use Rabbit specific IHC polymer detection kit HRP/DAB (ab209101).

Heat mediated antigen retrieval was performed with Tris-EDTA buffer (pH 9.0 Epitope Retrieval Solution2) for 20 mins

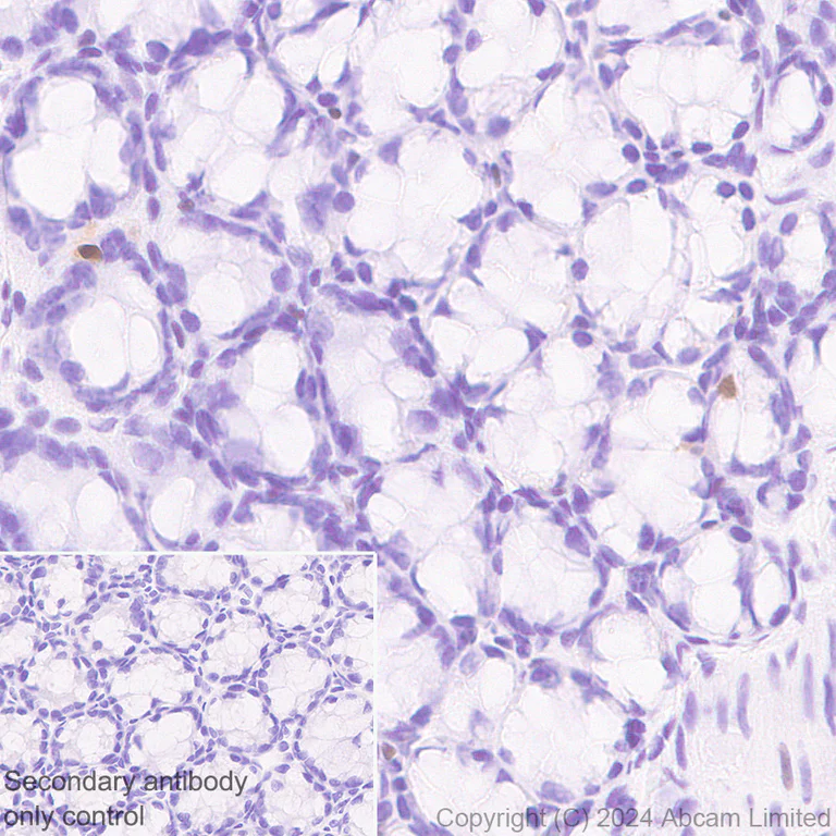
Immunohistochemistry (Formalin/PFA-fixed paraffin-embedded sections) - Anti-ER81/ETV1 antibody [DZR-1-29] - BSA and Azide free (AB324772)
  • IHC-P

Supplier Data

Immunohistochemistry (Formalin/PFA-fixed paraffin-embedded sections) - Anti-ER81/ETV1 antibody [DZR-1-29] - BSA and Azide free (AB324772)

This data was developed using ab322139, the same antibody clone in a different buffer formulation.

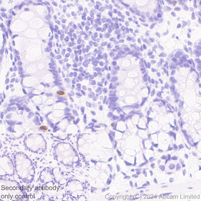
Immunohistochemical analysis of paraffin-embedded Human colon tissue labeling ER81/ETV1 with ab322139 at 1/500 (0.994 ug/ml) dilution followed by a ready to use Rabbit specific IHC polymer detection kit HRP/DAB (ab209101).

Low expression tissue : Nearly no staining on human colon.
The section was incubated with ab322139 for 30 mins at room temperature.
The immunostaining was performed on a Leica Biosystems BOND® RX instrument

Counterstained with Hematoxylin.

Secondary antibody only control : Secondary antibody is a ready to use Rabbit specific IHC polymer detection kit HRP/DAB (ab209101).

Heat mediated antigen retrieval was performed with Tris-EDTA buffer (pH 9.0 Epitope Retrieval Solution2) for 20 mins

Immunohistochemistry (Formalin/PFA-fixed paraffin-embedded sections) - Anti-ER81/ETV1 antibody [DZR-1-29] - BSA and Azide free (AB324772)
  • IHC-P

Supplier Data

Immunohistochemistry (Formalin/PFA-fixed paraffin-embedded sections) - Anti-ER81/ETV1 antibody [DZR-1-29] - BSA and Azide free (AB324772)

This data was developed using ab322139, the same antibody clone in a different buffer formulation.

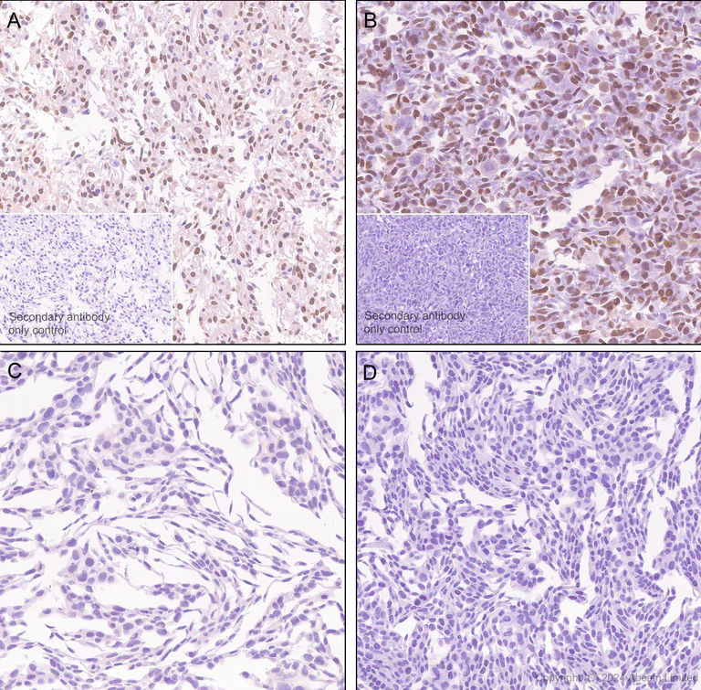
Immunohistochemical analysis of paraffin-embedded (A) HEK-293T (human embryonic kidney epithelial cell) transfected with a human ETV1 expression vector containing a His-tag. (B) HEK-293T transfected with a human ETV4 expression vector containing a His Myc-tag. (C) HEK-293T transfected with a human ETV5 expression vector containing a His Myc-tag. (D) HEK-293T transfected with an empty vector containing a His-tag. tissue labeling ER81/ETV1 with ab322139 at 1/10000 (0.05 ug/ml) dilution followed by a ready to use Rabbit specific IHC polymer detection kit HRP/DAB (ab209101).

Nuclear staining in (A) HEK-293T transfected with a human ETV1 expression vector containing a His-tag; weak staining in sporadic cells of (B) HEK-293T transfected with a human ETV4 expression vector containing a His Myc-tag and (C) HEK-293T transfected with a human ETV5 expression vector containing a His Myc-tag. No staining in (D) HEK-293T transfected with an empty vector containing a His-tag.
The section was incubated with ab322139 for 30 mins at room temperature.
The immunostaining was performed on a Leica Biosystems BOND® RX instrument

Counterstained with Hematoxylin.

Secondary antibody only control : Secondary antibody is a ready to use Rabbit specific IHC polymer detection kit HRP/DAB (ab209101).

Heat mediated antigen retrieval was performed with Tris-EDTA buffer (pH 9.0 Epitope Retrieval Solution2) for 20 mins

Immunohistochemistry (Frozen sections) - Anti-ER81/ETV1 antibody [DZR-1-29] - BSA and Azide free (AB324772)
  • IHC-Fr

Supplier Data

Immunohistochemistry (Frozen sections) - Anti-ER81/ETV1 antibody [DZR-1-29] - BSA and Azide free (AB324772)

This data was developed using ab322139, the same antibody clone in a different buffer formulation.

Immunohistochemical analysis of 4% PFA-fixed 0.2% Triton X-100 permeabilized frozen Rat colon (perfused fixed) tissue labeling ER81/ETV1 with ab322139 at 1/50 (9.94 ug/ml) dilution followed by ab150081 Goat Anti-Rabbit IgG H&L (Alexa Fluor® 488) preadsorbed at 1/1000 2 ug/mL dilution (Green).

Low expression : confocal image showing positive staining on periperal neurons of rat colon. The nuclear counterstain was DAPI (Blue). The section was incubated with ab322139 for 60 mins at room temperature. The section was then mounted using Fluoromount®.The immunostaining was performed on a Leica Biosystems BOND® RX instrument. Image was taken with a confocal microscope (Leica-Microsystems TCS SP8).

Secondary antibody control : Secondary antibody is ab150081 Goat Anti-Rabbit IgG H&L (Alexa Fluor® 488) preadsorbedat 1/1000 2 ug/mL dilution.

Heat mediated antigen retrieval using sodium citrate buffer (10mM citrate pH 6.0 + 0.05% Tween-20)

Immunohistochemistry (Formalin/PFA-fixed paraffin-embedded sections) - Anti-ER81/ETV1 antibody [DZR-1-29] - BSA and Azide free (AB324772)
  • IHC-P

Supplier Data

Immunohistochemistry (Formalin/PFA-fixed paraffin-embedded sections) - Anti-ER81/ETV1 antibody [DZR-1-29] - BSA and Azide free (AB324772)

This data was developed using ab322139, the same antibody clone in a different buffer formulation.

Immunohistochemical analysis of paraffin-embedded Rat colon tissue labeling ER81/ETV1 with ab322139 at 1/500 (0.994 ug/ml) dilution followed by a ready to use LeicaDS9800 (Bond™ Polymer Refine Detection).

Low expression tissue : Nearly no staining on rat colon only showed positive staining in sporadic peripheral neurons.
The section was incubated with ab322139 for 30 mins at room temperature.
The immunostaining was performed on a Leica Biosystems BOND® RX instrument
Slides were incubated with 3% Hydrogen Peroxide for 10 mins at room temperature after secondary antibody incubation to reduce the background

Counterstained with Hematoxylin.

Secondary antibody only control : Secondary antibody is a ready to use LeicaDS9800 (Bond™ Polymer Refine Detection).

Heat mediated antigen retrieval was performed with Tris-EDTA buffer (pH 9.0 Epitope Retrieval Solution2) for 20 mins

Immunohistochemistry (Frozen sections) - Anti-ER81/ETV1 antibody [DZR-1-29] - BSA and Azide free (AB324772)
  • IHC-Fr

Supplier Data

Immunohistochemistry (Frozen sections) - Anti-ER81/ETV1 antibody [DZR-1-29] - BSA and Azide free (AB324772)

This data was developed using ab322139, the same antibody clone in a different buffer formulation.

Immunohistochemical analysis of 4% PFA-fixed 0.2% Triton X-100 permeabilized frozen Rat spleen (perfused fixed) tissue labeling ER81/ETV1 with ab322139 at 1/50 (9.94 ug/ml) dilution followed by ab150081 Goat Anti-Rabbit IgG H&L (Alexa Fluor® 488) preadsorbed at 1/1000 2 ug/mL dilution (Green).

Negative control : confocal image showing no staining on rat spleen. The nuclear counterstain was DAPI (Blue). The section was incubated with ab322139 for 60 mins at room temperature. The section was then mounted using Fluoromount®.The immunostaining was performed on a Leica Biosystems BOND® RX instrument. Image was taken with a confocal microscope (Leica-Microsystems TCS SP8).

Secondary antibody control : Secondary antibody is ab150081 Goat Anti-Rabbit IgG H&L (Alexa Fluor® 488) preadsorbedat 1/1000 2 ug/mL dilution.

Heat mediated antigen retrieval using sodium citrate buffer (10mM citrate pH 6.0 + 0.05% Tween-20)

Immunohistochemistry (Frozen sections) - Anti-ER81/ETV1 antibody [DZR-1-29] - BSA and Azide free (AB324772)
  • IHC-Fr

Supplier Data

Immunohistochemistry (Frozen sections) - Anti-ER81/ETV1 antibody [DZR-1-29] - BSA and Azide free (AB324772)

This data was developed using ab322139, the same antibody clone in a different buffer formulation.

Immunohistochemical analysis of 4% PFA-fixed 0.2% Triton X-100 permeabilized frozen Rat cerebellum (perfused fixed) tissue labeling ER81/ETV1 with ab322139 at 1/50 (9.94 ug/ml) dilution followed by ab150081 Goat Anti-Rabbit IgG H&L (Alexa Fluor® 488) preadsorbed at 1/1000 2 ug/mL dilution (Green).

Panel A : merged staining of anti-ETV1 (ab322139 green) anti-NeuN (ab190565 grey) and anti-GFAP (ab201732 magenta) on rat cerebellum.
Panel B : anti-ETV1 stained on rat cerebellum.
Panel C : anti-NeuN stained in neurons of rat cerebellum.
Panel D : anti-GFAP stained in astrocytes of rat cerebellum.
The section was incubated in two rounds of staining : in the order of ab322139 and ab190565 ab201732 for 1 hr at room temperature. The nuclear counterstain was DAPI (Blue). The section was then mounted using Fluoromount®.The immunostaining was performed on a Leica Biosystems BOND® RX instrument. Image was taken with a confocal microscope (Leica-Microsystems TCS SP8).

Secondary antibody control : Secondary antibody is ab150081 Goat Anti-Rabbit IgG H&L (Alexa Fluor® 488) preadsorbedat 1/1000 2 ug/mL dilution.

Heat mediated antigen retrieval using sodium citrate buffer (10mM citrate pH 6.0 + 0.05% Tween-20)

Immunohistochemistry (Formalin/PFA-fixed paraffin-embedded sections) - Anti-ER81/ETV1 antibody [DZR-1-29] - BSA and Azide free (AB324772)
  • IHC-P

Supplier Data

Immunohistochemistry (Formalin/PFA-fixed paraffin-embedded sections) - Anti-ER81/ETV1 antibody [DZR-1-29] - BSA and Azide free (AB324772)

This data was developed using ab322139, the same antibody clone in a different buffer formulation.

Immunohistochemical analysis of paraffin-embedded Mouse colon tissue labeling ER81/ETV1 with ab322139 at 1/500 (0.994 ug/ml) dilution followed by a ready to use LeicaDS9800 (Bond™ Polymer Refine Detection).

Low expression tissue : Nearly no staining on mouse colon only showed positive staining in sporadic peripheral neurons.
The section was incubated with ab322139 for 30 mins at room temperature.
The immunostaining was performed on a Leica Biosystems BOND® RX instrument
Slides were incubated with 3% Hydrogen Peroxide for 10 mins at room temperature after secondary antibody incubation to reduce the background

Counterstained with Hematoxylin.

Secondary antibody only control : Secondary antibody is a ready to use LeicaDS9800 (Bond™ Polymer Refine Detection).

Heat mediated antigen retrieval was performed with Tris-EDTA buffer (pH 9.0 Epitope Retrieval Solution2) for 20 mins

Immunohistochemistry (Formalin/PFA-fixed paraffin-embedded sections) - Anti-ER81/ETV1 antibody [DZR-1-29] - BSA and Azide free (AB324772)
  • IHC-P

Supplier Data

Immunohistochemistry (Formalin/PFA-fixed paraffin-embedded sections) - Anti-ER81/ETV1 antibody [DZR-1-29] - BSA and Azide free (AB324772)

This data was developed using ab322139, the same antibody clone in a different buffer formulation.

Immunohistochemical analysis of paraffin-embedded Mouse cerebellum tissue labeling ER81/ETV1 with ab322139 at 1/500 (0.994 ug/ml) dilution followed by a ready to use LeicaDS9800 (Bond™ Polymer Refine Detection).

Positive staining in mouse cerebellum.
The section was incubated with ab322139 for 30 mins at room temperature.
The immunostaining was performed on a Leica Biosystems BOND® RX instrument
Slides were incubated with 3% Hydrogen Peroxide for 10 mins at room temperature after secondary antibody incubation to reduce the background

Counterstained with Hematoxylin.

Secondary antibody only control : Secondary antibody is a ready to use LeicaDS9800 (Bond™ Polymer Refine Detection).

Heat mediated antigen retrieval was performed with Tris-EDTA buffer (pH 9.0 Epitope Retrieval Solution2) for 20 mins

Immunohistochemistry (Formalin/PFA-fixed paraffin-embedded sections) - Anti-ER81/ETV1 antibody [DZR-1-29] - BSA and Azide free (AB324772)
  • IHC-P

Supplier Data

Immunohistochemistry (Formalin/PFA-fixed paraffin-embedded sections) - Anti-ER81/ETV1 antibody [DZR-1-29] - BSA and Azide free (AB324772)

This data was developed using ab322139, the same antibody clone in a different buffer formulation.

Immunohistochemical analysis of paraffin-embedded Rat cerebellum tissue labeling ER81/ETV1 with ab322139 at 1/500 (0.994 ug/ml) dilution followed by a ready to use LeicaDS9800 (Bond™ Polymer Refine Detection).

Positive staining in rat cerebellum.
The section was incubated with ab322139 for 30 mins at room temperature.
The immunostaining was performed on a Leica Biosystems BOND® RX instrument
Slides were incubated with 3% Hydrogen Peroxide for 10 mins at room temperature after secondary antibody incubation to reduce the background

Counterstained with Hematoxylin.

Secondary antibody only control : Secondary antibody is a ready to use LeicaDS9800 (Bond™ Polymer Refine Detection).

Heat mediated antigen retrieval was performed with Tris-EDTA buffer (pH 9.0 Epitope Retrieval Solution2) for 20 mins

Western blot - Anti-ER81/ETV1 antibody [DZR-1-29] - BSA and Azide free (AB324772)
  • WB

Supplier Data

Western blot - Anti-ER81/ETV1 antibody [DZR-1-29] - BSA and Azide free (AB324772)

This data was developed using ab322139, the same antibody clone in a different buffer formulation.

Blocking and diluting buffer and concentration : 5% NFDM/TBST.

Lysates were freshly made and used for Western blotting immediately to minimize protein degradation.

All lanes:

Western blot - Anti-ER81/ETV1 antibody [DZR-1-29] (<a href='/en-us/products/primary-antibodies/er81-etv1-antibody-dzr-1-29-ab322139'>ab322139</a>) at 1/1000 dilution

Lane 1:

C6 (rat glial tumor glial cell) whole lysate at 20 µg

Lane 2:

Neuro-2a (mouse neuroblastoma neuroblast) whole lysate at 20 µg

Lane 3:

SH-SY5Y (human neuroblastoma epithelial cell) whole lysate at 20 µg

Secondary

All lanes:

Western blot - Goat Anti-Rabbit IgG H&L (HRP) (<a href='/en-us/products/secondary-antibodies/goat-rabbit-igg-h-l-hrp-ab97051'>ab97051</a>) at 1/100000 dilution

Observed band size: 33-55 kDa

false

Exposure time: 180s

Western blot - Anti-ER81/ETV1 antibody [DZR-1-29] - BSA and Azide free (AB324772)
  • WB

Supplier Data

Western blot - Anti-ER81/ETV1 antibody [DZR-1-29] - BSA and Azide free (AB324772)

This data was developed using ab322139, the same antibody clone in a different buffer formulation.

Blocking and diluting buffer and concentration : 5% NFDM/TBST.

Low expression : MCF7 T-47D

The expression profile/ molecular weight observed is consistent with what has been described in the literature (PMID : 18794142).

This blot was developed using a high-sensitivity ECL substrate allowing for the detection of proteins in the mid-femtogram range.

In Western blot Anti-GAPDH antibody [EPR16891] - Loading Control (ab181602) staining at 1/200000 dilution.

All lanes:

Western blot - Anti-ER81/ETV1 antibody [DZR-1-29] (<a href='/en-us/products/primary-antibodies/er81-etv1-antibody-dzr-1-29-ab322139'>ab322139</a>) at 1/1000 dilution

Lane 1:

U-87 MG (human glioblastoma-astrocytoma epithelial cell) whole cell lysate at 20 µg

Lane 2:

PC-3 (human prostate adenocarcinoma epithelial cell) whole cell lysate at 20 µg

Lane 3:

MCF7 (human breast adenocarcinoma epithelial cell) whole cell lysate at 20 µg

Lane 4:

T-47D (human ductal breast epithelial tumor epithelial cell) whole cell lysate at 20 µg

Secondary

All lanes:

Western blot - Goat Anti-Rabbit IgG H&L (HRP) (<a href='/en-us/products/secondary-antibodies/goat-rabbit-igg-h-l-hrp-ab97051'>ab97051</a>) at 1/100000 dilution

Observed band size: 33-55 kDa,36 kDa

true

Exposure time: 125s

Key facts

Host species

Rabbit

Clonality

Monoclonal

Clone number

DZR-1-29

Isotype

IgG

Carrier free

Yes

Reacts with

Rat, Human, Mouse

Applications

IHC-P, IHC-Fr, WB

applications

Immunogen

The exact immunogen used to generate this antibody is proprietary information.

Specificity

ab322139 shows expression of ETV1 in restricted areas of the cortical brain; potential non-specific staining observed in human tonsil, esophagus and lung.

Unsuitable for mouse IHC-Fr.

Reactivity data

{ "title": "Reactivity Data", "filters": { "stats": ["", "Species", "Dilution Info", "Notes"], "tabs": { "all-applications": {"fullname" : "All Applications", "shortname": "All Applications"}, "IHCP" : {"fullname" : "Immunohistochemistry (Formalin/PFA-fixed paraffin-embedded sections)", "shortname":"IHC-P"}, "IHCFr" : {"fullname" : "Immunohistochemistry (Frozen sections)", "shortname":"IHC-Fr"}, "WB" : {"fullname" : "Western blot", "shortname":"WB"} }, "product-promise": { "all": "all", "testedAndGuaranteed": "tested", "guaranteed": "expected", "predicted": "predicted", "notRecommended": "not-recommended" } }, "values": { "Human": { "IHCP-species-checked": "testedAndGuaranteed", "IHCP-species-dilution-info": "", "IHCP-species-notes": "<p></p> Perform heat-mediated antigen retrieval with Tris/EDTA buffer pH 9.0 before commencing with IHC staining protocol.", "IHCFr-species-checked": "guaranteed", "IHCFr-species-dilution-info": "", "IHCFr-species-notes": "", "WB-species-checked": "testedAndGuaranteed", "WB-species-dilution-info": "", "WB-species-notes": "<p></p>" }, "Mouse": { "IHCP-species-checked": "testedAndGuaranteed", "IHCP-species-dilution-info": "", "IHCP-species-notes": "<p></p> Perform heat-mediated antigen retrieval with Tris/EDTA buffer pH 9.0 before commencing with IHC staining protocol.", "IHCFr-species-checked": "notRecommended", "IHCFr-species-dilution-info": "", "IHCFr-species-notes": "<p></p>", "WB-species-checked": "testedAndGuaranteed", "WB-species-dilution-info": "", "WB-species-notes": "<p></p>" }, "Rat": { "IHCP-species-checked": "testedAndGuaranteed", "IHCP-species-dilution-info": "", "IHCP-species-notes": "<p></p> Perform heat-mediated antigen retrieval with Tris/EDTA buffer pH 9.0 before commencing with IHC staining protocol.", "IHCFr-species-checked": "testedAndGuaranteed", "IHCFr-species-dilution-info": "", "IHCFr-species-notes": "<p></p>", "WB-species-checked": "testedAndGuaranteed", "WB-species-dilution-info": "", "WB-species-notes": "<p></p>" }, "Transfected cell line - Human": { "IHCP-species-checked": "testedAndGuaranteed", "IHCP-species-dilution-info": "", "IHCP-species-notes": "<p></p> Perform heat-mediated antigen retrieval with Tris/EDTA buffer pH 9.0 before commencing with IHC staining protocol.", "IHCFr-species-checked": "notRecommended", "IHCFr-species-dilution-info": "", "IHCFr-species-notes": "", "WB-species-checked": "notRecommended", "WB-species-dilution-info": "", "WB-species-notes": "" } } }

Product details

ab324772 is the carrier-free version of ab322139.

Patented technology
Our RabMAb® technology is a patented hybridoma-based technology for making rabbit monoclonal antibodies. For details on our patents, please refer to RabMAb® patents.

What are the advantages of a recombinant monoclonal antibody?
This product is a recombinant monoclonal antibody, which offers several advantages including:

  • - High batch-to-batch consistency and reproducibility
  • - Improved sensitivity and specificity
  • - Long-term security of supply
  • - Animal-free batch production

For more information, read more on recombinant antibodies.

Conjugation ready
Our carrier-free antibodies are typically supplied in a PBS-only formulation, purified and free of BSA, sodium azide and glycerol. This conjugation-ready format is designed for use with fluorochromes, metal isotopes, oligonucleotides, and enzymes, which makes them ideal for antibody labelling, functional and cell-based assays, flow-based assays (e.g. mass cytometry) and Multiplex Imaging applications.

Use our conjugation kits for antibody conjugates that are ready-to-use in as little as 20 minutes with 1 minute hands-on-time and 100% antibody recovery: available for fluorescent dyes, HRP, biotin and gold.

Compatibility
This product is compatible with the Maxpar® Antibody Labeling Kit from Fluidigm, without the need for antibody preparation. Maxpar® is a trademark of Fluidigm Canada Inc.

Properties and storage information

Form
Liquid
Purification technique
Affinity purification Protein A
Storage buffer
pH: 7.2 - 7.4 Constituents: PBS
Shipped at conditions
Blue Ice
Appropriate short-term storage conditions
+4°C
Appropriate long-term storage conditions
+4°C

Product protocols

For this product, it's our understanding that no specific protocols are required. You can visit:

Target data

Transcriptional activator that binds to DNA sequences containing the consensus pentanucleotide 5'-CGGA[AT]-3' (PubMed : 7651741). Required for olfactory dopaminergic neuron differentiation; may directly activate expression of tyrosine hydroxylase (TH) (By similarity).
See full target information ETV1

Product promise

We are committed to supporting your work with high-quality reagents, and we're here for you every step of the way. In the unlikely event that one of our products does not perform as expected, you're protected by our Product Promise.
For full details, please see our Terms & Conditions

Please note: All products are 'FOR RESEARCH USE ONLY. NOT FOR USE IN DIAGNOSTIC OR THERAPEUTIC PROCEDURES'.

For licensing inquiries, please contact partnerships@abcam.com