JavaScript is disabled in your browser. Please enable JavaScript to view this website.
AB314875

Anti-ER81/ETV1 antibody [EPR28393-132] - BSA and Azide free

Be the first to review this product! Submit a review

|

(0 Publication)

Rabbit Recombinant Monoclonal ER81/ETV1 antibody. Carrier free. Suitable for WB, IHC-P, ICC/IF and reacts with Human, Mouse, Rat samples.

View Alternative Names

ER81, ETV1, ETS translocation variant 1, Ets-related protein 81

8 Images
Immunocytochemistry/ Immunofluorescence - Anti-ER81/ETV1 antibody [EPR28393-132] - BSA and Azide free (AB314875)
  • ICC/IF

Supplier Data

Immunocytochemistry/ Immunofluorescence - Anti-ER81/ETV1 antibody [EPR28393-132] - BSA and Azide free (AB314875)

This data was developed using ab314874, the same antibody clone in a different buffer formulation. Immunofluorescent analysis of 4% Paraformaldehyde-fixed, 0.1% TritonX-100 permeabilized PC-3 (human prostate adenocarcinoma epithelial cell) cells labelling ER81/ETV1 with ab314874 at 1/50 (10.34 ug/ml) dilution, followed by ab150081 Goat Anti-Rabbit IgG H&L (Alexa Fluor® 488) preadsorbed antibody at 1/1000 2ug/ml dilution (Green). Confocal image showing nuclear staining in PC-3 cells. Negative control : MCF7(PMID : 27604655). Image was taken with a confocal microscope (Leica-Microsystems, TCS SP8). ab195889 Anti-alpha Tubulin mouse monoclonal antibody - Microtubule Marker (Alexa Fluor® 594) was used to counterstain tubulin at 1/200 2.5ug/ml dilution (Red). The Nuclear counterstain was DAPI (Blue). Secondary antibody only control : Secondary antibody is ab150081 Goat Anti-Rabbit IgG H&L (Alexa Fluor® 488) preadsorbed at 1/1000 2ug/ml dilution.

Immunohistochemistry (Formalin/PFA-fixed paraffin-embedded sections) - Anti-ER81/ETV1 antibody [EPR28393-132] - BSA and Azide free (AB314875)
  • IHC-P

Supplier Data

Immunohistochemistry (Formalin/PFA-fixed paraffin-embedded sections) - Anti-ER81/ETV1 antibody [EPR28393-132] - BSA and Azide free (AB314875)

This data was developed using ab314874, the same antibody clone in a different buffer formulation. Immunohistochemical analysis of paraffin-embedded Rat liver tissue labeling ER81/ETV1 with ab314874 at 1/100 (5.17 ug/ml) followed by a ready to use LeicaDS9800 (Bond™ Polymer Refine Detection). Negative control : No staining on rat liver. The section was incubated with ab314874 for 30 mins at room temperature. The immunostaining was performed on a Leica Biosystems BOND® RX instrument Counterstained with Hematoxylin. Secondary antibody only control : Secondary antibody is a ready to use LeicaDS9800 (Bond™ Polymer Refine Detection). Heat mediated antigen retrieval was performed with Tris-EDTA buffer (pH 9.0, Epitope Retrieval Solution2) for 20 mins

Immunohistochemistry (Formalin/PFA-fixed paraffin-embedded sections) - Anti-ER81/ETV1 antibody [EPR28393-132] - BSA and Azide free (AB314875)
  • IHC-P

Supplier Data

Immunohistochemistry (Formalin/PFA-fixed paraffin-embedded sections) - Anti-ER81/ETV1 antibody [EPR28393-132] - BSA and Azide free (AB314875)

This data was developed using ab314874, the same antibody clone in a different buffer formulation. Immunohistochemical analysis of paraffin-embedded Mouse cerebellum tissue labeling ER81/ETV1 with ab314874 at 1/100 (5.17 ug/ml) followed by a ready to use LeicaDS9800 (Bond™ Polymer Refine Detection). Positive staining on mouse cerebellum (PMID : 20067496). The section was incubated with ab314874 for 30 mins at room temperature. The immunostaining was performed on a Leica Biosystems BOND® RX instrument Counterstained with Hematoxylin. Secondary antibody only control : Secondary antibody is a ready to use LeicaDS9800 (Bond™ Polymer Refine Detection). Heat mediated antigen retrieval was performed with Tris-EDTA buffer (pH 9.0, Epitope Retrieval Solution2) for 20 mins

Immunohistochemistry (Formalin/PFA-fixed paraffin-embedded sections) - Anti-ER81/ETV1 antibody [EPR28393-132] - BSA and Azide free (AB314875)
  • IHC-P

Supplier Data

Immunohistochemistry (Formalin/PFA-fixed paraffin-embedded sections) - Anti-ER81/ETV1 antibody [EPR28393-132] - BSA and Azide free (AB314875)

This data was developed using ab314874, the same antibody clone in a different buffer formulation. Immunohistochemical analysis of paraffin-embedded Rat cerebellum tissue labeling ER81/ETV1 with ab314874 at 1/100 (5.17 ug/ml) followed by a ready to use LeicaDS9800 (Bond™ Polymer Refine Detection). Positive staining on rat cerebellum. The section was incubated with ab314874 for 30 mins at room temperature. The immunostaining was performed on a Leica Biosystems BOND® RX instrument Counterstained with Hematoxylin. Secondary antibody only control : Secondary antibody is a ready to use LeicaDS9800 (Bond™ Polymer Refine Detection). Heat mediated antigen retrieval was performed with Tris-EDTA buffer (pH 9.0, Epitope Retrieval Solution2) for 20 mins

Immunohistochemistry (Formalin/PFA-fixed paraffin-embedded sections) - Anti-ER81/ETV1 antibody [EPR28393-132] - BSA and Azide free (AB314875)
  • IHC-P

Supplier Data

Immunohistochemistry (Formalin/PFA-fixed paraffin-embedded sections) - Anti-ER81/ETV1 antibody [EPR28393-132] - BSA and Azide free (AB314875)

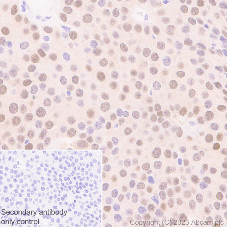
This data was developed using ab314874, the same antibody clone in a different buffer formulation. Immunohistochemical analysis of paraffin-embedded Mouse breast cancer tissue labeling ER81/ETV1 with ab314874 at 1/100 (5.17 ug/ml) followed by a ready to use LeicaDS9800 (Bond™ Polymer Refine Detection). Positive staining on mouse breast cancer. The section was incubated with ab314874 for 30 mins at room temperature. The immunostaining was performed on a Leica Biosystems BOND® RX instrument Counterstained with Hematoxylin. Secondary antibody only control : Secondary antibody is a ready to use LeicaDS9800 (Bond™ Polymer Refine Detection). Heat mediated antigen retrieval was performed with Tris-EDTA buffer (pH 9.0, Epitope Retrieval Solution2) for 20 mins.

Immunohistochemistry (Formalin/PFA-fixed paraffin-embedded sections) - Anti-ER81/ETV1 antibody [EPR28393-132] - BSA and Azide free (AB314875)
  • IHC-P

Supplier Data

Immunohistochemistry (Formalin/PFA-fixed paraffin-embedded sections) - Anti-ER81/ETV1 antibody [EPR28393-132] - BSA and Azide free (AB314875)

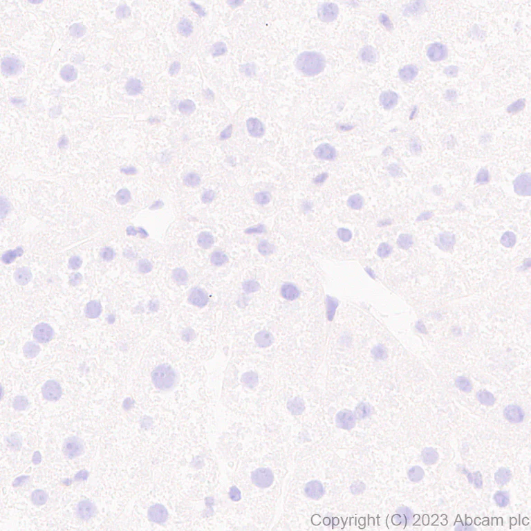
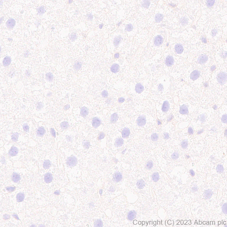
This data was developed using ab314874, the same antibody clone in a different buffer formulation. Immunohistochemical analysis of paraffin-embedded Mouse liver tissue labeling ER81/ETV1 with ab314874 at 1/100 (5.17 ug/ml) followed by a ready to use LeicaDS9800 (Bond™ Polymer Refine Detection). Negative control : No staining on mouse liver. The section was incubated with ab314874 for 30 mins at room temperature. The immunostaining was performed on a Leica Biosystems BOND® RX instrument Counterstained with Hematoxylin. Secondary antibody only control : Secondary antibody is a ready to use LeicaDS9800 (Bond™ Polymer Refine Detection). Heat mediated antigen retrieval was performed with Tris-EDTA buffer (pH 9.0, Epitope Retrieval Solution2) for 20 mins

Western blot - Anti-ER81/ETV1 antibody [EPR28393-132] - BSA and Azide free (AB314875)
  • WB

Supplier Data

Western blot - Anti-ER81/ETV1 antibody [EPR28393-132] - BSA and Azide free (AB314875)

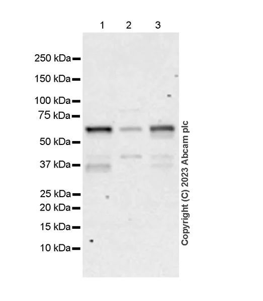
This data was developed using ab314874, the same antibody clone in a different buffer formulation. Blocking and diluting buffer and concentration : 5% NFDM/TBST Lysate was freshly made and used for Western blotting immediately to minimize protein degradation. The expression profile/ molecular weight observed is consistent with what has been described in the literature (PMID : 18794142).

All lanes:

Western blot - Anti-ER81/ETV1 antibody [EPR28393-132] (<a href='/en-us/products/primary-antibodies/er81-etv1-antibody-epr28393-132-ab314874'>ab314874</a>) at 1/1000 dilution

Lane 1:

C6 (rat glial tumor glial cell) whole cell lysate at 20 µg

Lane 2:

Neuro-2a (mouse neuroblastoma neuroblast) whole cell lysate at 20 µg

Lane 3:

U-87 MG (human glioblastoma-astrocytoma epithelial cell) whole cell lysate at 20 µg

Secondary

All lanes:

Western blot - Goat Anti-Rabbit IgG H&L (HRP) (<a href='/en-us/products/secondary-antibodies/goat-rabbit-igg-h-l-hrp-ab97051'>ab97051</a>) at 1/100000 dilution

Observed band size: 55 kDa

false

Exposure time: 180s

Western blot - Anti-ER81/ETV1 antibody [EPR28393-132] - BSA and Azide free (AB314875)
  • WB

Supplier Data

Western blot - Anti-ER81/ETV1 antibody [EPR28393-132] - BSA and Azide free (AB314875)

This data was developed using ab314874, the same antibody clone in a different buffer formulation. Blocking and diluting buffer and concentration : 5% NFDM/TBST Low expression : MCF7 The expression profile/ molecular weight observed is consistent with what has been described in the literature (PMID : 18794142). Lysates were freshly made and used for Western blotting immediately to minimize protein degradation. In Western blot, Anti-GAPDH antibody [EPR16891] - Loading Control (ab181602) staining at 1/200000 dilution.

All lanes:

Western blot - Anti-ER81/ETV1 antibody [EPR28393-132] (<a href='/en-us/products/primary-antibodies/er81-etv1-antibody-epr28393-132-ab314874'>ab314874</a>) at 1/1000 dilution

Lane 1:

PC-3 (human prostate adenocarcinoma epithelial cell) whole cell lysate at 20 µg

Lane 2:

MCF7 (human breast adenocarcinoma epithelial cell) whole cell lysate at 20 µg

Secondary

All lanes:

Western blot - Goat Anti-Rabbit IgG H&L (HRP) (<a href='/en-us/products/secondary-antibodies/goat-rabbit-igg-h-l-hrp-ab97051'>ab97051</a>) at 1/100000 dilution

Observed band size: 55 kDa

false

Exposure time: 92s

Key facts

Host species

Rabbit

Clonality

Monoclonal

Clone number

EPR28393-132

Isotype

IgG

Carrier free

Yes

Reacts with

Human, Mouse, Rat

Applications

IHC-P, WB, ICC/IF

applications

Immunogen

The exact immunogen used to generate this antibody is proprietary information.

Specificity

Unsuitable for Human IHC.

Reactivity data

{ "title": "Reactivity Data", "filters": { "stats": ["", "Species", "Dilution Info", "Notes"], "tabs": { "all-applications": {"fullname" : "All Applications", "shortname": "All Applications"}, "WB" : {"fullname" : "Western blot", "shortname":"WB"}, "IP" : {"fullname" : "Immunoprecipitation", "shortname":"IP"}, "IHCP" : {"fullname" : "Immunohistochemistry (Formalin/PFA-fixed paraffin-embedded sections)", "shortname":"IHC-P"}, "ICCIF" : {"fullname" : "Immunocytochemistry/ Immunofluorescence", "shortname":"ICC/IF"}, "FlowCytIntra" : {"fullname" : "Flow Cytometry (Intracellular)", "shortname":"Flow Cyt (Intra)"}, "IHCFr" : {"fullname" : "Immunohistochemistry (Frozen sections)", "shortname":"IHC-Fr"} }, "product-promise": { "all": "all", "testedAndGuaranteed": "tested", "guaranteed": "expected", "predicted": "predicted", "notRecommended": "not-recommended" } }, "values": { "Human": { "WB-species-checked": "testedAndGuaranteed", "WB-species-dilution-info": "", "WB-species-notes": "<p></p>", "IP-species-checked": "notRecommended", "IP-species-dilution-info": "", "IP-species-notes": "<p></p>", "IHCP-species-checked": "notRecommended", "IHCP-species-dilution-info": "", "IHCP-species-notes": "<p></p>", "ICCIF-species-checked": "testedAndGuaranteed", "ICCIF-species-dilution-info": "", "ICCIF-species-notes": "<p></p>", "FlowCytIntra-species-checked": "notRecommended", "FlowCytIntra-species-dilution-info": "", "FlowCytIntra-species-notes": "<p></p>", "IHCFr-species-checked": "notRecommended", "IHCFr-species-dilution-info": "", "IHCFr-species-notes": "" }, "Mouse": { "WB-species-checked": "testedAndGuaranteed", "WB-species-dilution-info": "", "WB-species-notes": "<p></p>", "IP-species-checked": "notRecommended", "IP-species-dilution-info": "", "IP-species-notes": "", "IHCP-species-checked": "testedAndGuaranteed", "IHCP-species-dilution-info": "", "IHCP-species-notes": "<p></p>", "ICCIF-species-checked": "guaranteed", "ICCIF-species-dilution-info": "", "ICCIF-species-notes": "", "FlowCytIntra-species-checked": "notRecommended", "FlowCytIntra-species-dilution-info": "", "FlowCytIntra-species-notes": "", "IHCFr-species-checked": "notRecommended", "IHCFr-species-dilution-info": "", "IHCFr-species-notes": "<p></p>" }, "Rat": { "WB-species-checked": "testedAndGuaranteed", "WB-species-dilution-info": "", "WB-species-notes": "<p></p>", "IP-species-checked": "notRecommended", "IP-species-dilution-info": "", "IP-species-notes": "", "IHCP-species-checked": "testedAndGuaranteed", "IHCP-species-dilution-info": "", "IHCP-species-notes": "<p></p>", "ICCIF-species-checked": "guaranteed", "ICCIF-species-dilution-info": "", "ICCIF-species-notes": "", "FlowCytIntra-species-checked": "notRecommended", "FlowCytIntra-species-dilution-info": "", "FlowCytIntra-species-notes": "", "IHCFr-species-checked": "notRecommended", "IHCFr-species-dilution-info": "", "IHCFr-species-notes": "" } } }

Product details

ab314875 is the carrier-free version of ab314874.

Patented technology
Our RabMAb® technology is a patented hybridoma-based technology for making rabbit monoclonal antibodies. For details on our patents, please refer to RabMAb® patents.

What are the advantages of a recombinant monoclonal antibody?
This product is a recombinant monoclonal antibody, which offers several advantages including:

  • - High batch-to-batch consistency and reproducibility
  • - Improved sensitivity and specificity
  • - Long-term security of supply
  • - Animal-free batch production

For more information, read more on recombinant antibodies.

Conjugation ready
Our carrier-free antibodies are typically supplied in a PBS-only formulation, purified and free of BSA, sodium azide and glycerol. This conjugation-ready format is designed for use with fluorochromes, metal isotopes, oligonucleotides, and enzymes, which makes them ideal for antibody labelling, functional and cell-based assays, flow-based assays (e.g. mass cytometry) and Multiplex Imaging applications.

Use our conjugation kits for antibody conjugates that are ready-to-use in as little as 20 minutes with 1 minute hands-on-time and 100% antibody recovery: available for fluorescent dyes, HRP, biotin and gold.

Compatibility
This product is compatible with the Maxpar® Antibody Labeling Kit from Fluidigm, without the need for antibody preparation. Maxpar® is a trademark of Fluidigm Canada Inc.

Properties and storage information

Form
Liquid
Purification technique
Affinity purification Protein A
Storage buffer
pH: 7.2 - 7.4 Constituents: PBS
Shipped at conditions
Blue Ice
Appropriate short-term storage conditions
+4°C
Appropriate long-term storage conditions
+4°C

Supplementary information

This supplementary information is collated from multiple sources and compiled automatically.

ER81 also known as ETV1 is a transcription factor with a molecular mass of approximately 54 kDa. This protein is part of the ETS family and characterized by a conserved ETS domain that binds specific DNA sequences. ER81 is expressed highly in neuronal tissues especially in sensory neurons and can also be found in prostate tissue and certain cancer cell lines. Its expression pattern makes it a significant target for research in both developmental biology and oncology.
Biological function summary

ER81 influences many cellular processes by regulating gene expression. It participates in complex transcriptional networks often interacting with other proteins to modulate transcriptional activity. Within various tissues ER81 facilitates neuronal differentiation and plays a role in the development of sensory pathways. It interacts with other transcription factors and co-activators integrating signals from distinct signaling pathways to achieve specific biological outcomes.

Pathways

ER81 influences several critical signaling mechanisms especially in neuronal and cancer-related contexts. It partakes in the MAPK/ERK pathway where it collaborates with other ETS family members like ELK1 to mediate cellular responses to growth factors. ER81 also interfaces with the PI3K/AKT pathway impacting cell survival and proliferation. Through these interactions ER81 helps manage the balance between cell growth and apoptosis.

ER81 exhibits connections to certain cancers and neurological diseases. Researchers often study its involvement in prostate cancer due to its elevated expression in tumor tissues. ER81 influences oncogenesis through interactions with proteins like AR (androgen receptor) which modulate tumorigenic pathways. Additionally ER81 has links to neurological disorders due to its role in sensory neuron development although specific proteins involved in these disorders remain under investigation.

Product protocols

For this product, it's our understanding that no specific protocols are required. You can visit:

Target data

Transcriptional activator that binds to DNA sequences containing the consensus pentanucleotide 5'-CGGA[AT]-3' (PubMed : 7651741). Required for olfactory dopaminergic neuron differentiation; may directly activate expression of tyrosine hydroxylase (TH) (By similarity).
See full target information ETV1

Product promise

We are committed to supporting your work with high-quality reagents, and we're here for you every step of the way. In the unlikely event that one of our products does not perform as expected, you're protected by our Product Promise.
For full details, please see our Terms & Conditions

Please note: All products are 'FOR RESEARCH USE ONLY. NOT FOR USE IN DIAGNOSTIC OR THERAPEUTIC PROCEDURES'.

For licensing inquiries, please contact partnerships@abcam.com