JavaScript is disabled in your browser. Please enable JavaScript to view this website.
AB10260

Anti-ERAB antibody [5F3]

Be the first to review this product! Submit a review

|

(8 Publications)

Mouse Monoclonal ERAB antibody. Suitable for IHC-P and reacts with Human samples. Cited in 8 publications. Immunogen corresponding to Recombinant Full Length Protein corresponding to Human HSD17B10.

View Alternative Names

ERAB, HADH2, MRPP2, SCHAD, SDR5C1, XH98G2, HSD17B10, 3-hydroxyacyl-CoA dehydrogenase type-2, 17-beta-estradiol 17-dehydrogenase, 2-methyl-3-hydroxybutyryl-CoA dehydrogenase, 3-alpha-(17-beta)-hydroxysteroid dehydrogenase (NAD(+)), 3-hydroxy-2-methylbutyryl-CoA dehydrogenase, 3-hydroxyacyl-CoA dehydrogenase type II, 3alpha(or 20beta)-hydroxysteroid dehydrogenase, 7-alpha-hydroxysteroid dehydrogenase, Endoplasmic reticulum-associated amyloid beta-peptide-binding protein, Mitochondrial ribonuclease P protein 2, Short chain dehydrogenase/reductase family 5C member 1, Short-chain type dehydrogenase/reductase XH98G2, Type II HADH, MHBD, Mitochondrial RNase P protein 2

1 Images
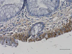
Immunohistochemistry (Formalin/PFA-fixed paraffin-embedded sections) - Anti-ERAB antibody [5F3] (AB10260)
  • IHC-P

Supplier Data

Immunohistochemistry (Formalin/PFA-fixed paraffin-embedded sections) - Anti-ERAB antibody [5F3] (AB10260)

IHC staining of purifiedab10260 on formalin-fixed paraffin-embedded human colon tissue. The tissue was incubated with 10 μg/ml of the primary antibody for 60 minutes at room temperature. A HRP kit was used for detection followed by hematoxylin counterstaining, according to the protocol provided. The image was captured with a 40X objective. Scale bar : 50 μm

Key facts

Host species

Mouse

Clonality

Monoclonal

Clone number

5F3

Isotype

IgG1

Light chain type

lambda

Carrier free

No

Reacts with

Human

Applications

IHC-P

applications

Immunogen

Recombinant Full Length Protein corresponding to Human HSD17B10.

Q99714

Specificity

This antibody detects the recombinant human ERAB protein (27kDa) and recognizes the endogenous ERAB protein in cell extracts with virtually no crossreactivity with other human proteins.

Reactivity data

{ "title": "Reactivity Data", "filters": { "stats": ["", "Species", "Dilution Info", "Notes"], "tabs": { "all-applications": {"fullname" : "All Applications", "shortname": "All Applications"}, "IHCP" : {"fullname" : "Immunohistochemistry (Formalin/PFA-fixed paraffin-embedded sections)", "shortname":"IHC-P"} }, "product-promise": { "all": "all", "testedAndGuaranteed": "tested", "guaranteed": "expected", "predicted": "predicted", "notRecommended": "not-recommended" } }, "values": { "Human": { "IHCP-species-checked": "testedAndGuaranteed", "IHCP-species-dilution-info": "1/100 - 1/1000", "IHCP-species-notes": "<p></p>" } } }

Properties and storage information

Form
Liquid
Purification technique
Affinity purification
Purification notes
Ammonium sulfate precipitated and dialyzed tissue culture supernatant.
Storage buffer
Constituents: PBS
Shipped at conditions
Blue Ice
Appropriate short-term storage conditions
+4°C
Appropriate long-term storage conditions
-20°C
Aliquoting information
Upon delivery aliquot
Storage information
Avoid freeze / thaw cycle

Supplementary information

This supplementary information is collated from multiple sources and compiled automatically.

ERAB also known as 17-beta-hydroxysteroid dehydrogenase type 10 (HSD10) or 3-hydroxyacyl-CoA dehydrogenase type II is a multifunctional mitochondrial enzyme. It has a molecular mass of approximately 27 kDa. This enzyme is expressed in various tissues with high expression in the liver kidney heart and brain. ERAB plays a role in several metabolic processes thanks to its ability to catalyze reactions involving the oxidation of hydroxyacyl-CoA to ketoacyl-CoA derivatives alongside other substrates like steroids.
Biological function summary

The function of this enzyme extends beyond its metabolic activities. ERAB is part of the mitochondrial enzyme complex responsible for fatty acid oxidation and energy production. This places it centrally in cellular energy homeostasis. Additionally ERAB participates in the metabolism of neurosteroids which impacts brain function. Through its interactions ERAB influences signaling pathways by modulating local steroid concentrations in the nervous system affecting cellular communication and response.

Pathways

ERAB associates with key biochemical pathways including the beta-oxidation of fatty acids and the steroid hormone metabolism pathway. It interacts with acetyl-CoA acyltransferase 2 (ACAA2) within these metabolic pathways facilitating the conversion of substrates vital for energy production and steroid synthesis. This involvement underpins the enzyme’s significance in maintaining metabolic equilibrium through its catalytic activities on essential biological molecules.

ERAB has links to Alzheimer's disease and rare mitochondrial disorders. Studies show that ERAB binds amyloid-beta peptides which accumulate in the brains of Alzheimer's disease patients. This interaction suggests ERAB's potential contribution to the pathogenesis of the disease. Additionally mutations affecting ERAB lead to HSD10 mitochondrial disease a disorder characterized by metabolic and neurological defects. One of the proteins that interacts with ERAB in the context of disease is amyloid precursor protein (APP) which further implicates ERAB in Alzheimer's disease through pathological pathways.

Product protocols

For this product, it's our understanding that no specific protocols are required. You can visit:

Target data

Mitochondrial dehydrogenase involved in pathways of fatty acid, branched-chain amino acid and steroid metabolism (PubMed : 10600649, PubMed : 12917011, PubMed : 18996107, PubMed : 19706438, PubMed : 20077426, PubMed : 25925575, PubMed : 26950678, PubMed : 28888424, PubMed : 9553139). Acts as (S)-3-hydroxyacyl-CoA dehydrogenase in mitochondrial fatty acid beta-oxidation, a major degradation pathway of fatty acids. Catalyzes the third step in the beta-oxidation cycle, namely the reversible conversion of (S)-3-hydroxyacyl-CoA to 3-ketoacyl-CoA. Preferentially accepts straight medium- and short-chain acyl-CoA substrates with highest efficiency for (3S)-hydroxybutanoyl-CoA (PubMed : 10600649, PubMed : 12917011, PubMed : 25925575, PubMed : 26950678, PubMed : 9553139). Acts as 3-hydroxy-2-methylbutyryl-CoA dehydrogenase in branched-chain amino acid catabolic pathway. Catalyzes the oxidation of 3-hydroxy-2-methylbutanoyl-CoA into 2-methyl-3-oxobutanoyl-CoA, a step in isoleucine degradation pathway (PubMed : 18996107, PubMed : 19706438, PubMed : 20077426). Has hydroxysteroid dehydrogenase activity toward steroid hormones and bile acids. Catalyzes the oxidation of 3alpha-, 17beta-, 20beta- and 21-hydroxysteroids and 7alpha- and 7beta-hydroxy bile acids (PubMed : 10600649, PubMed : 12917011). Oxidizes allopregnanolone/brexanolone at the 3alpha-hydroxyl group, which is known to be critical for the activation of gamma-aminobutyric acid receptors (GABAARs) chloride channel (PubMed : 19706438, PubMed : 28888424). Has phospholipase C-like activity toward cardiolipin and its oxidized species. Likely oxidizes the 2'-hydroxyl in the head group of cardiolipin to form a ketone intermediate that undergoes nucleophilic attack by water and fragments into diacylglycerol, dihydroxyacetone and orthophosphate. Has higher affinity for cardiolipin with oxidized fatty acids and may degrade these species during the oxidative stress response to protect cells from apoptosis (PubMed : 26338420). By interacting with intracellular amyloid-beta, it may contribute to the neuronal dysfunction associated with Alzheimer disease (AD) (PubMed : 9338779). Essential for structural and functional integrity of mitochondria (PubMed : 20077426).. In addition to mitochondrial dehydrogenase activity, moonlights as a component of mitochondrial ribonuclease P, a complex that cleaves tRNA molecules in their 5'-ends (PubMed : 18984158, PubMed : 24549042, PubMed : 25925575, PubMed : 26950678, PubMed : 28888424). Together with TRMT10C/MRPP1, forms a subcomplex of the mitochondrial ribonuclease P, named MRPP1-MRPP2 subcomplex, which displays functions that are independent of the ribonuclease P activity (PubMed : 23042678, PubMed : 29040705). The MRPP1-MRPP2 subcomplex catalyzes the formation of N(1)-methylguanine and N(1)-methyladenine at position 9 (m1G9 and m1A9, respectively) in tRNAs; HSD17B10/MRPP2 acting as a non-catalytic subunit (PubMed : 23042678, PubMed : 25925575, PubMed : 28888424). The MRPP1-MRPP2 subcomplex also acts as a tRNA maturation platform : following 5'-end cleavage by the mitochondrial ribonuclease P complex, the MRPP1-MRPP2 subcomplex enhances the efficiency of 3'-processing catalyzed by ELAC2, retains the tRNA product after ELAC2 processing and presents the nascent tRNA to the mitochondrial CCA tRNA nucleotidyltransferase TRNT1 enzyme (PubMed : 29040705). Associates with mitochondrial DNA complexes at the nucleoids to initiate RNA processing and ribosome assembly.
See full target information HSD17B10

Publications (8)

Recent publications for all applications. Explore the full list and refine your search

Proceedings of the National Academy of Sciences of the United States of America 121:e2414187121 PubMed39503847

2024

Cytosolic dependent translation supports mitochondrial RNA processing.

Applications

Unspecified application

Species

Unspecified reactive species

Mads M Foged,Emeline Recazens,Sylvain Chollet,Miriam Lisci,George E Allen,Boris Zinshteyn,Doha Boutguetait,Christian Münch,Vamsi K Mootha,Alexis A Jourdain

Journal of neurochemistry 167:154-167 PubMed37458164

2023

Physiologically relevant fluorescent assay for identification of 17β-hydroxysteroid dehydrogenase type 10 inhibitors.

Applications

Unspecified application

Species

Unspecified reactive species

Monika Schmidt,Michaela Vaskova,Aneta Rotterova,Pavlina Fiandova,Marketa Miskerikova,Lucie Zemanova,Ondrej Benek,Kamil Musilek

Cell death & disease 11:563 PubMed32703935

2020

Deacetylation of HSD17B10 by SIRT3 regulates cell growth and cell resistance under oxidative and starvation stresses.

Applications

Unspecified application

Species

Unspecified reactive species

Lu Liu,Shuaiyi Chen,Miao Yu,Chenxu Ge,Mengmeng Ren,Boya Liu,Xin Yang,Thomas W Christian,Ya-Ming Hou,Junhua Zou,Wei-Guo Zhu,Jianyuan Luo

Neurobiology of aging 81:77-87 PubMed31252207

2019

ABAD/17β-HSD10 reduction contributes to the protective mechanism of huperzine a on the cerebral mitochondrial function in APP/PS1 mice.

Applications

Unspecified application

Species

Unspecified reactive species

Xiaodan Xiao,Qingzhuang Chen,Xinhong Zhu,Yong Wang

Autophagy 9:1801-17 PubMed24149440

2013

The TOMM machinery is a molecular switch in PINK1 and PARK2/PARKIN-dependent mitochondrial clearance.

Applications

ICC/IF

Species

Human

Giulia Bertolin,Rosa Ferrando-Miguel,Maxime Jacoupy,Sabine Traver,Karl Grenier,Andrew W Greene,Aurélien Dauphin,François Waharte,Aurélien Bayot,Jean Salamero,Anne Lombès,Anne-Laure Bulteau,Edward A Fon,Alexis Brice,Olga Corti

The Journal of pharmacology and experimental thera 339:851-8 PubMed21880871

2011

Identification of chemosensitivity nodes for vinblastine through small interfering RNA high-throughput screens.

Applications

Unspecified application

Species

Human

Carolyn A Kitchens,Peter R McDonald,Tong Ying Shun,Ian F Pollack,John S Lazo

PLoS pathogens 6:e1001012 PubMed20661427

2010

Virus-infection or 5'ppp-RNA activates antiviral signal through redistribution of IPS-1 mediated by MFN1.

Applications

WB, ICC/IF

Species

Human, Human

Kazuhide Onoguchi,Koji Onomoto,Shiori Takamatsu,Michihiko Jogi,Azumi Takemura,Shiho Morimoto,Ilkka Julkunen,Hideo Namiki,Mitsutoshi Yoneyama,Takashi Fujita

Nature genetics 39:366-72 PubMed17322883

2007

Mutations in SPG11, encoding spatacsin, are a major cause of spastic paraplegia with thin corpus callosum.

Applications

Unspecified application

Species

Unspecified reactive species

Giovanni Stevanin,Filippo M Santorelli,Hamid Azzedine,Paula Coutinho,Jacques Chomilier,Paola S Denora,Elodie Martin,Anne-Marie Ouvrard-Hernandez,Alessandra Tessa,Naïma Bouslam,Alexander Lossos,Perrine Charles,José L Loureiro,Nizar Elleuch,Christian Confavreux,Vítor T Cruz,Merle Ruberg,Eric Leguern,Djamel Grid,Meriem Tazir,Bertrand Fontaine,Alessandro Filla,Enrico Bertini,Alexandra Durr,Alexis Brice
View all publications

Product promise

We are committed to supporting your work with high-quality reagents, and we're here for you every step of the way. In the unlikely event that one of our products does not perform as expected, you're protected by our Product Promise.
For full details, please see our Terms & Conditions

Please note: All products are 'FOR RESEARCH USE ONLY. NOT FOR USE IN DIAGNOSTIC OR THERAPEUTIC PROCEDURES'.

For licensing inquiries, please contact partnerships@abcam.com