JavaScript is disabled in your browser. Please enable JavaScript to view this website.
AB249547

Anti-ERAB antibody [EPR11838(B)] - BSA and Azide free

Be the first to review this product! Submit a review

|

(0 Publication)

Rabbit Recombinant Monoclonal ERAB antibody. Carrier free. Suitable for IHC-P, WB and reacts with Human samples.

View Alternative Names

ERAB, HADH2, MRPP2, SCHAD, SDR5C1, XH98G2, HSD17B10, 3-hydroxyacyl-CoA dehydrogenase type-2, 17-beta-estradiol 17-dehydrogenase, 2-methyl-3-hydroxybutyryl-CoA dehydrogenase, 3-alpha-(17-beta)-hydroxysteroid dehydrogenase (NAD(+)), 3-hydroxy-2-methylbutyryl-CoA dehydrogenase, 3-hydroxyacyl-CoA dehydrogenase type II, 3alpha(or 20beta)-hydroxysteroid dehydrogenase, 7-alpha-hydroxysteroid dehydrogenase, Endoplasmic reticulum-associated amyloid beta-peptide-binding protein, Mitochondrial ribonuclease P protein 2, Short chain dehydrogenase/reductase family 5C member 1, Short-chain type dehydrogenase/reductase XH98G2, Type II HADH, MHBD, Mitochondrial RNase P protein 2

7 Images
Immunohistochemistry (Formalin/PFA-fixed paraffin-embedded sections) - Anti-ERAB antibody [EPR11838(B)] - BSA and Azide free (AB249547)
  • IHC-P

Supplier Data

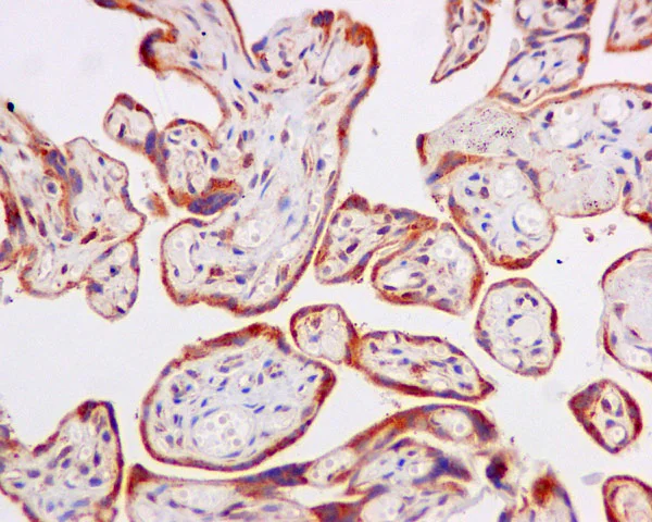
Immunohistochemistry (Formalin/PFA-fixed paraffin-embedded sections) - Anti-ERAB antibody [EPR11838(B)] - BSA and Azide free (AB249547)

This data was developed using ab170864, the same antibody clone in a different buffer formulation.

ab170864 showing +ve staining in Human placenta tissue.

Perform heat mediated antigen retrieval before commencing with IHC staining protocol.

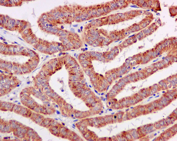
Immunohistochemistry (Formalin/PFA-fixed paraffin-embedded sections) - Anti-ERAB antibody [EPR11838(B)] - BSA and Azide free (AB249547)
  • IHC-P

Supplier Data

Immunohistochemistry (Formalin/PFA-fixed paraffin-embedded sections) - Anti-ERAB antibody [EPR11838(B)] - BSA and Azide free (AB249547)

This data was developed using ab170864, the same antibody clone in a different buffer formulation.

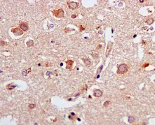
Immunohistochemical analysis of Formalin-fixed paraffin-embedded Human brain tissue labeling ERAB with ab170864 at 1/50 dilution.

Perform heat mediated antigen retrieval before commencing with IHC staining protocol.

Immunohistochemistry (Formalin/PFA-fixed paraffin-embedded sections) - Anti-ERAB antibody [EPR11838(B)] - BSA and Azide free (AB249547)
  • IHC-P

Supplier Data

Immunohistochemistry (Formalin/PFA-fixed paraffin-embedded sections) - Anti-ERAB antibody [EPR11838(B)] - BSA and Azide free (AB249547)

This data was developed using ab170864, the same antibody clone in a different buffer formulation.

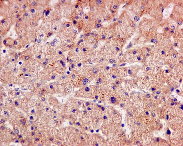
ab170864 showing +ve staining in Human normal liver tissue.

Perform heat mediated antigen retrieval before commencing with IHC staining protocol.

Immunohistochemistry (Formalin/PFA-fixed paraffin-embedded sections) - Anti-ERAB antibody [EPR11838(B)] - BSA and Azide free (AB249547)
  • IHC-P

Supplier Data

Immunohistochemistry (Formalin/PFA-fixed paraffin-embedded sections) - Anti-ERAB antibody [EPR11838(B)] - BSA and Azide free (AB249547)

This data was developed using ab170864, the same antibody clone in a different buffer formulation.

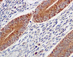
Immunohistochemical analysis of Formalin-fixed paraffin-embedded Human uterus tissue labeling ERAB with ab170864 at 1/50 dilution.

Perform heat mediated antigen retrieval before commencing with IHC staining protocol.

Immunohistochemistry (Formalin/PFA-fixed paraffin-embedded sections) - Anti-ERAB antibody [EPR11838(B)] - BSA and Azide free (AB249547)
  • IHC-P

Supplier Data

Immunohistochemistry (Formalin/PFA-fixed paraffin-embedded sections) - Anti-ERAB antibody [EPR11838(B)] - BSA and Azide free (AB249547)

This data was developed using ab170864, the same antibody clone in a different buffer formulation.

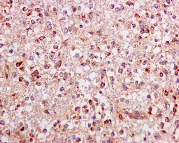
ab170864 showing +ve staining in Human astrocytoma tissue.

Perform heat mediated antigen retrieval before commencing with IHC staining protocol.

Immunohistochemistry (Formalin/PFA-fixed paraffin-embedded sections) - Anti-ERAB antibody [EPR11838(B)] - BSA and Azide free (AB249547)
  • IHC-P

Supplier Data

Immunohistochemistry (Formalin/PFA-fixed paraffin-embedded sections) - Anti-ERAB antibody [EPR11838(B)] - BSA and Azide free (AB249547)

This data was developed using ab170864, the same antibody clone in a different buffer formulation.

ab170864 showing +ve staining in Human thyroid gland carcinoma tissue.

Perform heat mediated antigen retrieval before commencing with IHC staining protocol.

Western blot - Anti-ERAB antibody [EPR11838(B)] - BSA and Azide free (AB249547)
  • WB

Supplier Data

Western blot - Anti-ERAB antibody [EPR11838(B)] - BSA and Azide free (AB249547)

This data was developed using ab170864, the same antibody clone in a different buffer formulation.

All lanes:

Western blot - Anti-ERAB antibody [EPR11838(B)] (<a href='/en-us/products/primary-antibodies/erab-antibody-epr11838b-ab170864'>ab170864</a>) at 1/1000 dilution

Lane 1:

Jurkat cell lysates at 10 µg

Lane 2:

293T cell lysates at 10 µg

Lane 3:

HeLa cell lysates at 10 µg

Lane 4:

K562 cell lysates at 10 µg

Predicted band size: 27 kDa

false

Key facts

Host species

Rabbit

Clonality

Monoclonal

Clone number

EPR11838(B)

Isotype

IgG

Carrier free

Yes

Reacts with

Human

Applications

WB, IHC-P

applications

Immunogen

The exact immunogen used to generate this antibody is proprietary information.

Reactivity data

{ "title": "Reactivity Data", "filters": { "stats": ["", "Species", "Dilution Info", "Notes"], "tabs": { "all-applications": {"fullname" : "All Applications", "shortname": "All Applications"}, "IHCP" : {"fullname" : "Immunohistochemistry (Formalin/PFA-fixed paraffin-embedded sections)", "shortname":"IHC-P"}, "IP" : {"fullname" : "Immunoprecipitation", "shortname":"IP"}, "FlowCyt" : {"fullname" : "Flow Cytometry", "shortname":"Flow Cyt"}, "WB" : {"fullname" : "Western blot", "shortname":"WB"}, "ICCIF" : {"fullname" : "Immunocytochemistry/ Immunofluorescence", "shortname":"ICC/IF"} }, "product-promise": { "all": "all", "testedAndGuaranteed": "tested", "guaranteed": "expected", "predicted": "predicted", "notRecommended": "not-recommended" } }, "values": { "Human": { "IHCP-species-checked": "testedAndGuaranteed", "IHCP-species-dilution-info": "", "IHCP-species-notes": "<p></p>", "IP-species-checked": "notRecommended", "IP-species-dilution-info": "", "IP-species-notes": "<p></p>", "FlowCyt-species-checked": "notRecommended", "FlowCyt-species-dilution-info": "", "FlowCyt-species-notes": "<p></p>", "WB-species-checked": "testedAndGuaranteed", "WB-species-dilution-info": "", "WB-species-notes": "<p></p>", "ICCIF-species-checked": "notRecommended", "ICCIF-species-dilution-info": "", "ICCIF-species-notes": "<p></p>" }, "Mouse": { "IHCP-species-checked": "notRecommended", "IHCP-species-dilution-info": "", "IHCP-species-notes": "<p></p>", "IP-species-checked": "notRecommended", "IP-species-dilution-info": "", "IP-species-notes": "<p></p>", "FlowCyt-species-checked": "notRecommended", "FlowCyt-species-dilution-info": "", "FlowCyt-species-notes": "<p></p>", "WB-species-checked": "notRecommended", "WB-species-dilution-info": "", "WB-species-notes": "<p></p>", "ICCIF-species-checked": "notRecommended", "ICCIF-species-dilution-info": "", "ICCIF-species-notes": "<p></p>" }, "Rat": { "IHCP-species-checked": "notRecommended", "IHCP-species-dilution-info": "", "IHCP-species-notes": "<p></p>", "IP-species-checked": "notRecommended", "IP-species-dilution-info": "", "IP-species-notes": "<p></p>", "FlowCyt-species-checked": "notRecommended", "FlowCyt-species-dilution-info": "", "FlowCyt-species-notes": "<p></p>", "WB-species-checked": "notRecommended", "WB-species-dilution-info": "", "WB-species-notes": "<p></p>", "ICCIF-species-checked": "notRecommended", "ICCIF-species-dilution-info": "", "ICCIF-species-notes": "<p></p>" } } }

Product details

ab249547 is the carrier-free version of ab170864.

Patented technology
Our RabMAb® technology is a patented hybridoma-based technology for making rabbit monoclonal antibodies. For details on our patents, please refer to RabMAb® patents.

What are the advantages of a recombinant monoclonal antibody?
This product is a recombinant monoclonal antibody, which offers several advantages including:

  • - High batch-to-batch consistency and reproducibility
  • - Improved sensitivity and specificity
  • - Long-term security of supply
  • - Animal-free batch production

For more information, read more on recombinant antibodies.

Conjugation ready
Our carrier-free antibodies are typically supplied in a PBS-only formulation, purified and free of BSA, sodium azide and glycerol. This conjugation-ready format is designed for use with fluorochromes, metal isotopes, oligonucleotides, and enzymes, which makes them ideal for antibody labelling, functional and cell-based assays, flow-based assays (e.g. mass cytometry) and Multiplex Imaging applications.

Use our conjugation kits for antibody conjugates that are ready-to-use in as little as 20 minutes with 1 minute hands-on-time and 100% antibody recovery: available for fluorescent dyes, HRP, biotin and gold.

Compatibility
This product is compatible with the Maxpar® Antibody Labeling Kit from Fluidigm, without the need for antibody preparation. Maxpar® is a trademark of Fluidigm Canada Inc.

Properties and storage information

Form
Liquid
Purification technique
Affinity purification
Storage buffer
pH: 7.2 - 7.4 Constituents: PBS
Shipped at conditions
Blue Ice
Appropriate short-term storage conditions
+4°C
Appropriate long-term storage conditions
+4°C
Storage information
Do Not Freeze

Supplementary information

This supplementary information is collated from multiple sources and compiled automatically.

ERAB also known as 17-beta-hydroxysteroid dehydrogenase type 10 (HSD10) or 3-hydroxyacyl-CoA dehydrogenase type II is a multifunctional mitochondrial enzyme. It has a molecular mass of approximately 27 kDa. This enzyme is expressed in various tissues with high expression in the liver kidney heart and brain. ERAB plays a role in several metabolic processes thanks to its ability to catalyze reactions involving the oxidation of hydroxyacyl-CoA to ketoacyl-CoA derivatives alongside other substrates like steroids.
Biological function summary

The function of this enzyme extends beyond its metabolic activities. ERAB is part of the mitochondrial enzyme complex responsible for fatty acid oxidation and energy production. This places it centrally in cellular energy homeostasis. Additionally ERAB participates in the metabolism of neurosteroids which impacts brain function. Through its interactions ERAB influences signaling pathways by modulating local steroid concentrations in the nervous system affecting cellular communication and response.

Pathways

ERAB associates with key biochemical pathways including the beta-oxidation of fatty acids and the steroid hormone metabolism pathway. It interacts with acetyl-CoA acyltransferase 2 (ACAA2) within these metabolic pathways facilitating the conversion of substrates vital for energy production and steroid synthesis. This involvement underpins the enzyme’s significance in maintaining metabolic equilibrium through its catalytic activities on essential biological molecules.

ERAB has links to Alzheimer's disease and rare mitochondrial disorders. Studies show that ERAB binds amyloid-beta peptides which accumulate in the brains of Alzheimer's disease patients. This interaction suggests ERAB's potential contribution to the pathogenesis of the disease. Additionally mutations affecting ERAB lead to HSD10 mitochondrial disease a disorder characterized by metabolic and neurological defects. One of the proteins that interacts with ERAB in the context of disease is amyloid precursor protein (APP) which further implicates ERAB in Alzheimer's disease through pathological pathways.

Product protocols

For this product, it's our understanding that no specific protocols are required. You can visit:

Target data

Mitochondrial dehydrogenase involved in pathways of fatty acid, branched-chain amino acid and steroid metabolism (PubMed : 10600649, PubMed : 12917011, PubMed : 18996107, PubMed : 19706438, PubMed : 20077426, PubMed : 25925575, PubMed : 26950678, PubMed : 28888424, PubMed : 9553139). Acts as (S)-3-hydroxyacyl-CoA dehydrogenase in mitochondrial fatty acid beta-oxidation, a major degradation pathway of fatty acids. Catalyzes the third step in the beta-oxidation cycle, namely the reversible conversion of (S)-3-hydroxyacyl-CoA to 3-ketoacyl-CoA. Preferentially accepts straight medium- and short-chain acyl-CoA substrates with highest efficiency for (3S)-hydroxybutanoyl-CoA (PubMed : 10600649, PubMed : 12917011, PubMed : 25925575, PubMed : 26950678, PubMed : 9553139). Acts as 3-hydroxy-2-methylbutyryl-CoA dehydrogenase in branched-chain amino acid catabolic pathway. Catalyzes the oxidation of 3-hydroxy-2-methylbutanoyl-CoA into 2-methyl-3-oxobutanoyl-CoA, a step in isoleucine degradation pathway (PubMed : 18996107, PubMed : 19706438, PubMed : 20077426). Has hydroxysteroid dehydrogenase activity toward steroid hormones and bile acids. Catalyzes the oxidation of 3alpha-, 17beta-, 20beta- and 21-hydroxysteroids and 7alpha- and 7beta-hydroxy bile acids (PubMed : 10600649, PubMed : 12917011). Oxidizes allopregnanolone/brexanolone at the 3alpha-hydroxyl group, which is known to be critical for the activation of gamma-aminobutyric acid receptors (GABAARs) chloride channel (PubMed : 19706438, PubMed : 28888424). Has phospholipase C-like activity toward cardiolipin and its oxidized species. Likely oxidizes the 2'-hydroxyl in the head group of cardiolipin to form a ketone intermediate that undergoes nucleophilic attack by water and fragments into diacylglycerol, dihydroxyacetone and orthophosphate. Has higher affinity for cardiolipin with oxidized fatty acids and may degrade these species during the oxidative stress response to protect cells from apoptosis (PubMed : 26338420). By interacting with intracellular amyloid-beta, it may contribute to the neuronal dysfunction associated with Alzheimer disease (AD) (PubMed : 9338779). Essential for structural and functional integrity of mitochondria (PubMed : 20077426).. In addition to mitochondrial dehydrogenase activity, moonlights as a component of mitochondrial ribonuclease P, a complex that cleaves tRNA molecules in their 5'-ends (PubMed : 18984158, PubMed : 24549042, PubMed : 25925575, PubMed : 26950678, PubMed : 28888424). Together with TRMT10C/MRPP1, forms a subcomplex of the mitochondrial ribonuclease P, named MRPP1-MRPP2 subcomplex, which displays functions that are independent of the ribonuclease P activity (PubMed : 23042678, PubMed : 29040705). The MRPP1-MRPP2 subcomplex catalyzes the formation of N(1)-methylguanine and N(1)-methyladenine at position 9 (m1G9 and m1A9, respectively) in tRNAs; HSD17B10/MRPP2 acting as a non-catalytic subunit (PubMed : 23042678, PubMed : 25925575, PubMed : 28888424). The MRPP1-MRPP2 subcomplex also acts as a tRNA maturation platform : following 5'-end cleavage by the mitochondrial ribonuclease P complex, the MRPP1-MRPP2 subcomplex enhances the efficiency of 3'-processing catalyzed by ELAC2, retains the tRNA product after ELAC2 processing and presents the nascent tRNA to the mitochondrial CCA tRNA nucleotidyltransferase TRNT1 enzyme (PubMed : 29040705). Associates with mitochondrial DNA complexes at the nucleoids to initiate RNA processing and ribosome assembly.
See full target information HSD17B10

Product promise

We are committed to supporting your work with high-quality reagents, and we're here for you every step of the way. In the unlikely event that one of our products does not perform as expected, you're protected by our Product Promise.
For full details, please see our Terms & Conditions

Please note: All products are 'FOR RESEARCH USE ONLY. NOT FOR USE IN DIAGNOSTIC OR THERAPEUTIC PROCEDURES'.

For licensing inquiries, please contact partnerships@abcam.com