JavaScript is disabled in your browser. Please enable JavaScript to view this website.
AB313567

Anti-ERAP2 antibody [EPR26475-10]

  • BOND RX™ Validated
  • 20ul selling size
  • RabMAb
  • Recombinant
  • What is this?

Be the first to review this product! Submit a review

|

(0 Publication)

Rabbit Recombinant Monoclonal ERAP2 antibody. Suitable for WB, IHC-P, IP and reacts with Human samples.

View Alternative Names

LRAP, ERAP2, Endoplasmic reticulum aminopeptidase 2, Leukocyte-derived arginine aminopeptidase, L-RAP

5 Images
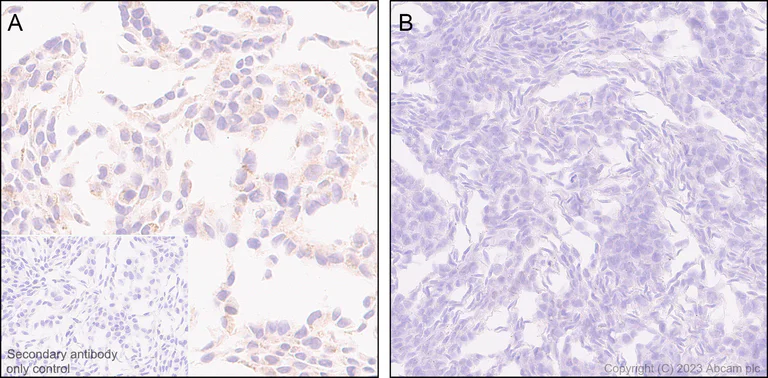
Immunohistochemistry (Formalin/PFA-fixed paraffin-embedded sections) - Anti-ERAP2 antibody [EPR26475-10] (AB313567)
  • IHC-P

Supplier Data

Immunohistochemistry (Formalin/PFA-fixed paraffin-embedded sections) - Anti-ERAP2 antibody [EPR26475-10] (AB313567)

Immunohistochemical analysis of paraffin-embedded Panel A HepG2 (hum tissue labeling ERAP2 with ab313567 at 1/500 (1.0 ug/ml) followed by a ready to use LeicaDS9800 (Bond™ Polymer Refine Detection). Positive staining on (A) HepG2 cell pellet, no staining on (B) JEG-3 cell pellet. The section was incubated with ab313567 for 30 mins at room temperature.The immunostaining was performed on a Leica Biosystems BOND® RX instrument Counterstained with Hematoxylin. Secondary antibody only control : Secondary antibody is a ready to use LeicaDS9800 (Bond™ Polymer Refine Detection). Heat mediated antigen retrieval was performed with Tris-EDTA buffer (pH 9.0, Epitope Retrieval Solution2) for 20 mins

Immunohistochemistry (Formalin/PFA-fixed paraffin-embedded sections) - Anti-ERAP2 antibody [EPR26475-10] (AB313567)
  • IHC-P

Supplier Data

Immunohistochemistry (Formalin/PFA-fixed paraffin-embedded sections) - Anti-ERAP2 antibody [EPR26475-10] (AB313567)

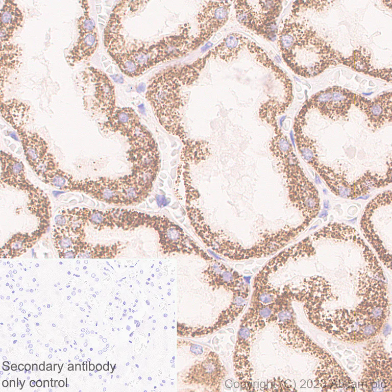
Immunohistochemical analysis of paraffin-embedded Human kidney tissue labeling ERAP2 with ab313567 at 1/100 (5.0 ug/ml) followed by a ready to use LeicaDS9800 (Bond™ Polymer Refine Detection). Positive staining on human kidney. The section was incubated with ab313567 for 30 mins at room temperature.The immunostaining was performed on a Leica Biosystems BOND® RX instrument Counterstained with Hematoxylin. Secondary antibody only control : Secondary antibody is a ready to use LeicaDS9800 (Bond™ Polymer Refine Detection). Heat mediated antigen retrieval was performed with Tris-EDTA buffer (pH 9.0, Epitope Retrieval Solution2) for 20 mins

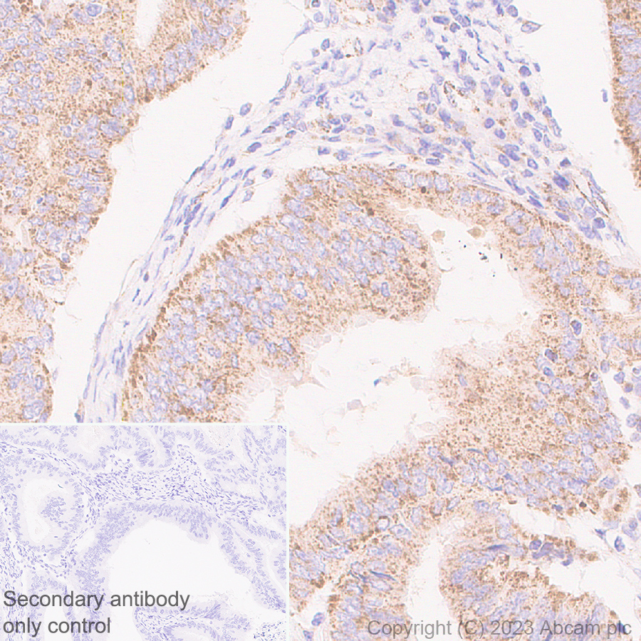
Immunohistochemistry (Formalin/PFA-fixed paraffin-embedded sections) - Anti-ERAP2 antibody [EPR26475-10] (AB313567)
  • IHC-P

Supplier Data

Immunohistochemistry (Formalin/PFA-fixed paraffin-embedded sections) - Anti-ERAP2 antibody [EPR26475-10] (AB313567)

Immunohistochemical analysis of paraffin-embedded Human endometrial ca tissue labeling ERAP2 with ab313567 at 1/100 (5.0 ug/ml) followed by a ready to use LeicaDS9800 (Bond™ Polymer Refine Detection). Positive staining on human endometrial carcinoma. The section was incubated with ab313567 for 30 mins at room temperature.The immunostaining was performed on a Leica Biosystems BOND® RX instrument Counterstained with Hematoxylin. Secondary antibody only control : Secondary antibody is a ready to use LeicaDS9800 (Bond™ Polymer Refine Detection). Heat mediated antigen retrieval was performed with Tris-EDTA buffer (pH 9.0, Epitope Retrieval Solution2) for 20 mins

Immunoprecipitation - Anti-ERAP2 antibody [EPR26475-10] (AB313567)
  • IP

Supplier Data

Immunoprecipitation - Anti-ERAP2 antibody [EPR26475-10] (AB313567)

ERAP2 was immunoprecipitated from 0.35 mg HepG2 (human hepatocellular carcinoma epithelial cell) whole cell lysate with ab313567 at 1/30 dilution (2ug in 0.35mg lysates). Western blot was performed on the immunoprecipitate using ab313567 at 1/1000 dilution. VeriBlot for IP secondary antibody(HRP)(ab131366) was used at 1/5000 dilution. Lane 1 : HepG2 (human hepatocellular carcinoma epithelial cell) whole cell lysate Lane 2 : ab313567 IP in HepG2 (human hepatocellular carcinoma epithelial cell) whole cell lysate Lane 3 : Rabbit monoclonal IgG (ab172730) instead of ab313567 in HepG2 whole cell lysate Blocking and dilution buffer and concentration : 5% NFDM/TBST. Exposure time : 50 seconds

All lanes:

Immunoprecipitation - Anti-ERAP2 antibody [EPR26475-10] (ab313567) at 1/30 dilution

All lanes:

HepG2 (human hepatocellular carcinoma epithelial cell) whole cell lysate

Secondary

All lanes:

Immunoprecipitation - VeriBlot for IP Detection Reagent (HRP) (<a href='/en-us/products/reagents/veriblot-for-ip-detection-reagent-hrp-ab131366'>ab131366</a>) at 1/5000 dilution

false

Exposure time: 50s

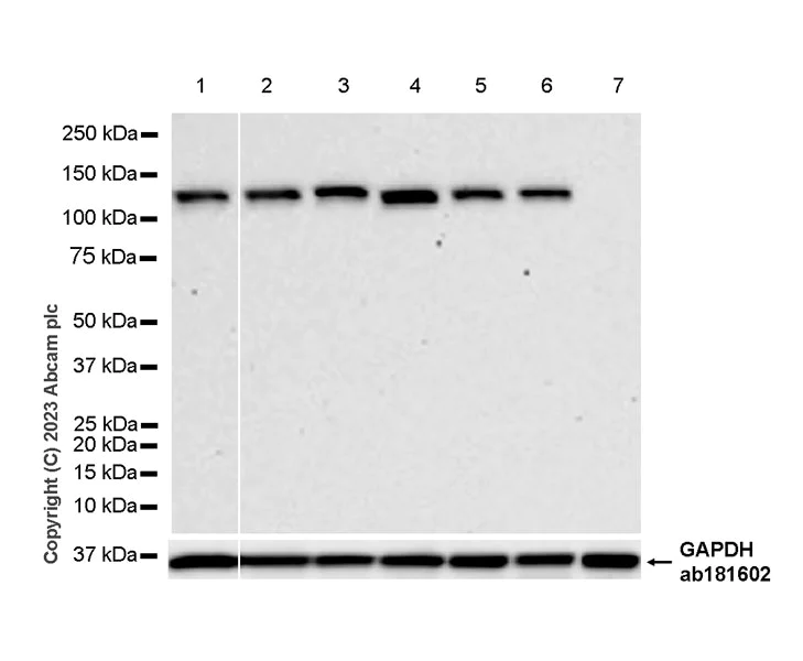
Western blot - Anti-ERAP2 antibody [EPR26475-10] (AB313567)
  • WB

Supplier Data

Western blot - Anti-ERAP2 antibody [EPR26475-10] (AB313567)

Blocking and diluting buffer and concentration : 5% NFDM/TBST Low expression : JEG-3 (PMID : 29324974). In Western blot, anti-GAPDH antibody (ab181602) loading control staining at 1/200000 dilution. Exposure time : 180 seconds

All lanes:

Western blot - Anti-ERAP2 antibody [EPR26475-10] (ab313567) at 1/1000 dilution

Lane 1:

JAR (human placenta choriocarcinoma epithelial cell) whole cell lysate at 20 µg

Lane 2:

293T (human embryonic kidney epithelial cell) whole cell lysate at 20 µg

Lane 3:

HepG2 (human hepatocellar carcinoma epithelial cell) whole cell lysate at 20 µg

Lane 4:

IMR-32 (human neuroblastoma neuroblast) whole cell lysate at 20 µg

Lane 5:

HeLa (human cervix adenocarcinoma epithelial cell) whole cell lysate at 20 µg

Lane 6:

A549 (human lung carcinoma epithelial cell) whole cell lysate at 20 µg

Lane 7:

JEG-3 (Human placenta epithelial choriocarcinoma) whole cell lysate at 20 µg

Secondary

All lanes:

Western blot - Goat Anti-Rabbit IgG H&L (HRP) (<a href='/en-us/products/secondary-antibodies/goat-rabbit-igg-h-l-hrp-ab97051'>ab97051</a>) at 1/100000 dilution

Observed band size: 120 kDa

false

Exposure time: 180s

  • Carrier free

    Anti-ERAP2 antibody [EPR26475-10] - BSA and Azide free

Key facts

Host species

Rabbit

Clonality

Monoclonal

Clone number

EPR26475-10

Isotype

IgG

Carrier free

No

Reacts with

Human

Applications

WB, IP, IHC-P

applications

Immunogen

The exact immunogen used to generate this antibody is proprietary information.

Reactivity data

{ "title": "Reactivity Data", "filters": { "stats": ["", "Species", "Dilution Info", "Notes"], "tabs": { "all-applications": {"fullname" : "All Applications", "shortname": "All Applications"}, "WB" : {"fullname" : "Western blot", "shortname":"WB"}, "IHCP" : {"fullname" : "Immunohistochemistry (Formalin/PFA-fixed paraffin-embedded sections)", "shortname":"IHC-P"}, "IP" : {"fullname" : "Immunoprecipitation", "shortname":"IP"}, "ICCIF" : {"fullname" : "Immunocytochemistry/ Immunofluorescence", "shortname":"ICC/IF"}, "FlowCytIntra" : {"fullname" : "Flow Cytometry (Intracellular)", "shortname":"Flow Cyt (Intra)"} }, "product-promise": { "all": "all", "testedAndGuaranteed": "tested", "guaranteed": "expected", "predicted": "predicted", "notRecommended": "not-recommended" } }, "values": { "Human": { "WB-species-checked": "testedAndGuaranteed", "WB-species-dilution-info": "1/1000", "WB-species-notes": "<p></p>", "IHCP-species-checked": "testedAndGuaranteed", "IHCP-species-dilution-info": "1/100", "IHCP-species-notes": "<p></p> Perform heat-mediated antigen retrieval with Tris/EDTA buffer pH 9.0 before commencing with IHC staining protocol.", "IP-species-checked": "testedAndGuaranteed", "IP-species-dilution-info": "1/30", "IP-species-notes": "<p></p>", "ICCIF-species-checked": "notRecommended", "ICCIF-species-dilution-info": "", "ICCIF-species-notes": "<p></p>", "FlowCytIntra-species-checked": "notRecommended", "FlowCytIntra-species-dilution-info": "", "FlowCytIntra-species-notes": "<p></p>" }, "Mouse": { "WB-species-checked": "notRecommended", "WB-species-dilution-info": "", "WB-species-notes": "<p></p>", "IHCP-species-checked": "notRecommended", "IHCP-species-dilution-info": "", "IHCP-species-notes": "<p></p>", "IP-species-checked": "notRecommended", "IP-species-dilution-info": "", "IP-species-notes": "", "ICCIF-species-checked": "notRecommended", "ICCIF-species-dilution-info": "", "ICCIF-species-notes": "", "FlowCytIntra-species-checked": "notRecommended", "FlowCytIntra-species-dilution-info": "", "FlowCytIntra-species-notes": "" }, "Rat": { "WB-species-checked": "notRecommended", "WB-species-dilution-info": "", "WB-species-notes": "<p></p>", "IHCP-species-checked": "notRecommended", "IHCP-species-dilution-info": "", "IHCP-species-notes": "<p></p>", "IP-species-checked": "notRecommended", "IP-species-dilution-info": "", "IP-species-notes": "", "ICCIF-species-checked": "notRecommended", "ICCIF-species-dilution-info": "", "ICCIF-species-notes": "", "FlowCytIntra-species-checked": "notRecommended", "FlowCytIntra-species-dilution-info": "", "FlowCytIntra-species-notes": "" } } }

Product details

Patented technology
Our RabMAb® technology is a patented hybridoma-based technology for making rabbit monoclonal antibodies. For details on our patents, please refer to RabMAb® patents.

What are the advantages of a recombinant monoclonal antibody?
This product is a recombinant monoclonal antibody, which offers several advantages including:

  • - High batch-to-batch consistency and reproducibility
  • - Improved sensitivity and specificity
  • - Long-term security of supply
  • - Animal-free batch production

For more information, read more on recombinant antibodies.

Properties and storage information

Form
Liquid
Purification technique
Affinity purification Protein A
Storage buffer
pH: 7.2 - 7.4 Preservative: 0.01% Sodium azide Constituents: PBS, 40% Glycerol (glycerin, glycerine), 0.05% BSA
Shipped at conditions
Blue Ice
Appropriate short-term storage duration
1-2 weeks
Appropriate short-term storage conditions
+4°C
Appropriate long-term storage conditions
-20°C
Aliquoting information
Upon delivery aliquot
Storage information
Avoid freeze / thaw cycle

Supplementary information

This supplementary information is collated from multiple sources and compiled automatically.

The ERAP2 protein also known as endoplasmic reticulum aminopeptidase 2 plays an important mechanical role in the cell. It belongs to the M1 zinc metallopeptidase family and has a molecular weight of about 110 kDa. ERAP2 is widely expressed in a range of tissues with notable expression in immune-related organs such as the spleen and lymph nodes. It functions to trim peptides in the endoplasmic reticulum preparing them for presentation by major histocompatibility complex (MHC) class I molecules.
Biological function summary

The trimming activity of ERAP2 assists the immune system in recognizing antigens. It works closely with other components of the antigen processing machinery including the proteasome and transporter associated with antigen processing (TAP). ERAP2 can form a functional complex with ERAP1 another aminopeptidase enhancing the efficiency of peptide processing. The interworking of these proteins is vital for maintaining the diversity and specificity of peptides generated for the immune defense.

Pathways

The ERAP2 protein is involved in the antigen processing and presentation pathway a critical component of the body's adaptive immune response. This pathway ensures foreign or aberrant peptides are presented to CD8+ T cells triggering an immune response. Related proteins such as ERAP1 and TAP collaborate with ERAP2 within this pathway highlighting an interconnected mechanism for immune surveillance and activity.

ERAP2 has associations with autoimmune diseases and inflammatory disorders. Variants and dysregulation of ERAP2 expression have links to ankylosing spondylitis a type of arthritis causing inflammation in the spine's joints and ligaments. Similarly altered ERAP2 function is implicated in inflammatory bowel disease. The interplay with ERAP1 is significant here as both proteins contribute to the altered antigen processing observed in these disorders.

Product protocols

For this product, it's our understanding that no specific protocols are required. You can visit:

Target data

Aminopeptidase that plays a central role in peptide trimming, a step required for the generation of most HLA class I-binding peptides. Peptide trimming is essential to customize longer precursor peptides to fit them to the correct length required for presentation on MHC class I molecules. Preferentially hydrolyzes the basic residues Arg and Lys.
See full target information ERAP2

Product promise

We are committed to supporting your work with high-quality reagents, and we're here for you every step of the way. In the unlikely event that one of our products does not perform as expected, you're protected by our Product Promise.
For full details, please see our Terms & Conditions

Please note: All products are 'FOR RESEARCH USE ONLY. NOT FOR USE IN DIAGNOSTIC OR THERAPEUTIC PROCEDURES'.

For licensing inquiries, please contact partnerships@abcam.com