JavaScript is disabled in your browser. Please enable JavaScript to view this website.
AB131490

Anti-ErbB2 / HER2 antibody

Be the first to review this product! Submit a review

|

(7 Publications)

Rabbit Polyclonal ErbB2 / HER2 antibody. Suitable for WB, IHC-P, ICC/IF and reacts with Human samples. Cited in 7 publications. Immunogen corresponding to Synthetic Peptide within Human ERBB2 aa 1200-1250 conjugated to Keyhole Limpet Haemocyanin.

View Alternative Names

CD340, HER2, MLN19, NEU, NGL, ERBB2, Receptor tyrosine-protein kinase erbB-2, Metastatic lymph node gene 19 protein, Proto-oncogene Neu, Proto-oncogene c-ErbB-2, Tyrosine kinase-type cell surface receptor HER2, p185erbB2, MLN 19

3 Images
Western blot - Anti-ErbB2 / HER2 antibody (AB131490)
  • WB

Supplier Data

Western blot - Anti-ErbB2 / HER2 antibody (AB131490)

All lanes:

Western blot - Anti-ErbB2 / HER2 antibody (ab131490) at 1/500 dilution

Lane 1:

MCF cell lysate

Lane 2:

SKOV3 cell lysate

Predicted band size: 137 kDa,22 kDa,28 kDa,47 kDa,48 kDa

Observed band size: 22 kDa

false

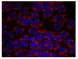
Immunocytochemistry/ Immunofluorescence - Anti-ErbB2 / HER2 antibody (AB131490)
  • ICC/IF

Unknown

Immunocytochemistry/ Immunofluorescence - Anti-ErbB2 / HER2 antibody (AB131490)

Immunofluorescence analysis of ErbB2 / HER2 in methanol-fixed MCF7 cells labeled using ab131490 at a 1/100 dilution.

Immunohistochemistry (Formalin/PFA-fixed paraffin-embedded sections) - Anti-ErbB2 / HER2 antibody (AB131490)
  • IHC-P

Unknown

Immunohistochemistry (Formalin/PFA-fixed paraffin-embedded sections) - Anti-ErbB2 / HER2 antibody (AB131490)

Immunohistochemiscal analysis of ErbB2 / HER2 in Human breast cancer tissue labelled with ab131490 at a 1/50 dilution (left image), or preincubated with blocking peptide (right image).

Key facts

Host species

Rabbit

Clonality

Polyclonal

Isotype

IgG

Carrier free

No

Reacts with

Human

Applications

IHC-P, ICC/IF, WB

applications

Immunogen

Synthetic Peptide within Human ERBB2 aa 1200-1250 conjugated to Keyhole Limpet Haemocyanin. The exact immunogen used to generate this antibody is proprietary information.

P04626

Reactivity data

{ "title": "Reactivity Data", "filters": { "stats": ["", "Species", "Dilution Info", "Notes"], "tabs": { "all-applications": {"fullname" : "All Applications", "shortname": "All Applications"}, "WB" : {"fullname" : "Western blot", "shortname":"WB"}, "IHCP" : {"fullname" : "Immunohistochemistry (Formalin/PFA-fixed paraffin-embedded sections)", "shortname":"IHC-P"}, "ICCIF" : {"fullname" : "Immunocytochemistry/ Immunofluorescence", "shortname":"ICC/IF"} }, "product-promise": { "all": "all", "testedAndGuaranteed": "tested", "guaranteed": "expected", "predicted": "predicted", "notRecommended": "not-recommended" } }, "values": { "Human": { "WB-species-checked": "testedAndGuaranteed", "WB-species-dilution-info": "1/500 - 1/1000", "WB-species-notes": "<p></p>", "IHCP-species-checked": "testedAndGuaranteed", "IHCP-species-dilution-info": "1/50 - 1/100", "IHCP-species-notes": "<p></p>", "ICCIF-species-checked": "testedAndGuaranteed", "ICCIF-species-dilution-info": "1/100 - 1/200", "ICCIF-species-notes": "<p>(methanol fixed)</p>" }, "Mouse": { "WB-species-checked": "predicted", "WB-species-dilution-info": "", "WB-species-notes": "", "IHCP-species-checked": "predicted", "IHCP-species-dilution-info": "", "IHCP-species-notes": "", "ICCIF-species-checked": "predicted", "ICCIF-species-dilution-info": "", "ICCIF-species-notes": "" }, "Rat": { "WB-species-checked": "predicted", "WB-species-dilution-info": "", "WB-species-notes": "", "IHCP-species-checked": "predicted", "IHCP-species-dilution-info": "", "IHCP-species-notes": "", "ICCIF-species-checked": "predicted", "ICCIF-species-dilution-info": "", "ICCIF-species-notes": "" } } }

You may be interested in:

AB283881

Human ErbB2 / HER2 ELISA Kit

0

0 Reviews

View product

We recommend this product because it’s often used in the same experiment or related research.

We advise that you always check the datasheet to ensure it fits your experiments, or contact ourtechnical teamfor help.

Properties and storage information

Form
Liquid
Purification technique
Affinity purification Immunogen
Purification notes
ab131490 was purified by affinity-chromatography using epitope-specific peptide.
Storage buffer
pH: 7.4 Preservative: 0.02% Sodium azide Constituents: 50% Glycerol (glycerin, glycerine), 49% PBS, 0.88% Sodium chloride
Shipped at conditions
Blue Ice
Appropriate short-term storage conditions
+4°C
Appropriate long-term storage conditions
-20°C
Storage information
Stable for 12 months at -20°C

Supplementary information

This supplementary information is collated from multiple sources and compiled automatically.

The ErbB2 also known as HER2 or HER2 protein is a transmembrane receptor protein with a molecular weight of about 185 kDa. It serves as part of the epidermal growth factor receptor (EGFR) family of receptor tyrosine kinases. The ErbB2 protein is expressed mainly in epithelial tissues including those of the breast and the gastrointestinal tract. It lacks a known ligand-binding domain which sets it apart from other members of its family. Due to its structure ErbB2 dimerizes with other members of the EGFR family to exert its effects in cellular signaling.
Biological function summary

The role of ErbB2 extends beyond a singular function. It becomes an active component when forming heterodimers with other EGFR family members such as ErbB3 to initiate various downstream signaling cascades. The dimerization activates intracellular pathways leading to cell proliferation survival differentiation and migration. Within cells ErbB2 influences processes critical for normal development and tissue homeostasis contributing significantly to signal transduction networks.

Pathways

ErbB2 plays a pivotal role in pathways such as the PI3K/Akt and MAPK/ERK pathways. These pathways are important in mediating cellular responses to growth signals. The PI3K/Akt pathway activated by HER2 signaling regulates cell growth and survival while the MAPK/ERK pathway contributes to cell differentiation and proliferation. ErbB2's interaction with proteins like ErbB3 is fundamental in these pathways increasing the amplitude and diversity of downstream signals.

ErbB2 is significantly associated with breast cancer and gastric cancer. The overexpression or gene amplification of HER2 is observed in approximately 20% of breast cancer cases correlating with aggressive tumor growth and poor prognosis. ErbB2-related signaling contributes to oncogenic processes by promoting excessive cell proliferation. Targeting ErbB2 in these cancers is common using therapies such as monoclonal antibodies like trastuzumab. In the context of gastric cancer the role of ErbB2 mirrors its function in breast cancer and targeting HER2 holds therapeutic potential.

Product protocols

For this product, it's our understanding that no specific protocols are required. You can visit:

Target data

The protein expressed by the ERBB2 gene is a protein tyrosine kinase involved in several cell surface receptor complexes, requiring a coreceptor for ligand binding. It is an essential component of a neuregulin-receptor complex, although neuregulins do not bind to it directly. GP30 is a potential ligand for this receptor. ERBB2 regulates the outgrowth and stabilization of peripheral microtubules (MTs) via the MEMO1-RHOA-DIAPH1 signaling pathway, which, upon activation, phosphorylates and inhibits GSK3B at the cell membrane. This prevents APC and CLASP2 phosphorylation, allowing their association with the cell membrane, facilitating MACF1 localization necessary for microtubule capture and stabilization. In the nucleus, ERBB2 is involved in transcriptional regulation, associating with the 5'-TCAAATTC-3' sequence in the PTGS2/COX-2 promoter to activate transcription. It is implicated in the transcriptional activation of CDKN1A, involving STAT3 and SRC, and participates in the transcription of rRNA genes by RNA Pol I, thereby enhancing protein synthesis and cell growth. This supplementary information is collated from multiple sources and compiled automatically.
See full target information ERBB2

Publications (7)

Recent publications for all applications. Explore the full list and refine your search

Journal of nuclear medicine : official publication, Society of Nuclear Medicine 62:366-371 PubMed32646879

2020

Immuno-PET Detects Changes in Multi-RTK Tumor Cell Expression Levels in Response to Targeted Kinase Inhibition.

Applications

Unspecified application

Species

Unspecified reactive species

Patricia M R Pereira,Jalen Norfleet,Jason S Lewis,Freddy E Escorcia

Molecular pharmaceutics 17:327-337 PubMed31804840

2019

HER2-Targeted PET Imaging and Therapy of Hyaluronan-Masked HER2-Overexpressing Breast Cancer.

Applications

Unspecified application

Species

Unspecified reactive species

Patricia M R Pereira,Ashwin Ragupathi,Shayla Shmuel,Komal Mandleywala,Nerissa T Viola,Jason S Lewis

Journal of nuclear medicine : official publication 60:1569-1578 PubMed31171598

2019

Temporal Modulation of HER2 Membrane Availability Increases Pertuzumab Uptake and Pretargeted Molecular Imaging of Gastric Tumors.

Applications

Unspecified application

Species

Unspecified reactive species

Patrícia M R Pereira,Komal Mandleywala,Ashwin Ragupathi,Lukas M Carter,Jeroen A C M Goos,Yelena Y Janjigian,Jason S Lewis

Cell death & disease 10:362 PubMed31043588

2019

Angiotensin II inhibits apoptosis of mouse aortic smooth muscle cells through regulating the circNRG-1/miR-193b-5p/NRG-1 axis.

Applications

Unspecified application

Species

Unspecified reactive species

Yan Sun,Suli Zhang,Mingming Yue,Yang Li,Jing Bi,Huirong Liu

Oncology reports 41:2717-2728 PubMed30896866

2019

Rab1A promotes proliferation and migration abilities via regulation of the HER2/AKT-independent mTOR/S6K1 pathway in colorectal cancer.

Applications

Unspecified application

Species

Unspecified reactive species

Zhengwu Cheng,Xinyu Shao,Menglin Xu,Junfeng Wang,Xiaoyi Kuai,Liping Zhang,Jian Wu,Chunli Zhou,Jiading Mao

Nature communications 9:5137 PubMed30510281

2018

Caveolin-1 mediates cellular distribution of HER2 and affects trastuzumab binding and therapeutic efficacy.

Applications

Unspecified application

Species

Unspecified reactive species

Patrícia M R Pereira,Sai Kiran Sharma,Lukas M Carter,Kimberly J Edwards,Jacob Pourat,Ashwin Ragupathi,Yelena Y Janjigian,Jeremy C Durack,Jason S Lewis

Scientific reports 7:12279 PubMed28947799

2017

Concomitant high expression of ERα36, EGFR and HER2 is associated with aggressive behaviors of papillary thyroid carcinomas.

Applications

IHC-P

Species

Human

Yu-Jie Dai,Yi-Bo Qiu,Rong Jiang,Man Xu,Le Zhao,George G Chen,Zhi-Min Liu
View all publications

Product promise

We are committed to supporting your work with high-quality reagents, and we're here for you every step of the way. In the unlikely event that one of our products does not perform as expected, you're protected by our Product Promise.
For full details, please see our Terms & Conditions

Associated Products

Select an associated product type
Alternative Product
Primary Antibodies

AB214275

Anti-ErbB2 / HER2 antibody [EPR19547-12]

primary-antibodies

erbb2-her2-antibody-epr19547-12-ab214275

5

(3 reviews)

Alternative Product
Primary Antibodies

AB134182

Anti-ErbB2 / HER2 antibody [EP1045Y]

primary-antibodies

erbb2-her2-antibody-ep1045y-ab134182

4

(4 reviews)

Alternative Product
Primary Antibodies

AB108371

Anti-ErbB2 / HER2 (phospho Y877) antibody [EP2324Y]

primary-antibodies

erbb2-her2-phospho-y877-antibody-ep2324y-ab108371

2

(1 reviews)

Alternative Product
Primary Antibodies

AB53290

Anti-ErbB2 / HER2 (phospho Y1139) antibody [EP1046Y]

primary-antibodies

erbb2-her2-phospho-y1139-antibody-ep1046y-ab53290

5

(1 reviews)

Alternative Product
Primary Antibodies

AB194979

Anti-ErbB2 / HER2 antibody [EP1045Y] - BSA and Azide free

primary-antibodies

erbb2-her2-antibody-ep1045y-bsa-and-azide-free-ab194979

0

(0 reviews)

Alternative Product
Primary Antibodies

AB225509

Alexa Fluor® 488 Anti-ErbB2 / HER2 antibody [EPR19547-12]

primary-antibodies

alexa-fluor-488-erbb2-her2-antibody-epr19547-12-ab225509

5

(1 reviews)

Alternative Product
Primary Antibodies

AB281782

Alexa Fluor® 555 Anti-ErbB2 / HER2 antibody [EP1045Y]

primary-antibodies

alexa-fluor-555-erbb2-her2-antibody-ep1045y-ab281782

0

(0 reviews)

Alternative Product
Primary Antibodies

AB225510

Alexa Fluor® 647 Anti-ErbB2 / HER2 antibody [EPR19547-12]

primary-antibodies

alexa-fluor-647-erbb2-her2-antibody-epr19547-12-ab225510

0

(0 reviews)

Please note: All products are 'FOR RESEARCH USE ONLY. NOT FOR USE IN DIAGNOSTIC OR THERAPEUTIC PROCEDURES'.

For licensing inquiries, please contact partnerships@abcam.com