JavaScript is disabled in your browser. Please enable JavaScript to view this website.
AB237715

Anti-ErbB2 / HER2 antibody [CAL27]

  • BOND RX™ Validated
  • RabMAb
  • Recombinant
  • KO Validated
  • What is this?

Be the first to review this product! Submit a review

|

(13 Publications)

Anti-ErbB2 / HER2 antibody [CAL27] (ab237715) is a rabbit monoclonal antibody detecting ErbB2 / HER2 in Western Blot, Flow Cytometry (Intra), IP, IHC-P, ICC/IF. Suitable for Human, Mouse, Rat.

- KO validated for confirmed specificity
- Biophysical QC for unrivalled batch-batch consistency

View Alternative Names

CD340, HER2, MLN19, NEU, NGL, ERBB2, Receptor tyrosine-protein kinase erbB-2, Metastatic lymph node gene 19 protein, Proto-oncogene Neu, Proto-oncogene c-ErbB-2, Tyrosine kinase-type cell surface receptor HER2, p185erbB2, MLN 19

14 Images
Immunocytochemistry/ Immunofluorescence - Anti-ErbB2 / HER2 antibody [CAL27] (AB237715)
  • ICC/IF

Supplier Data

Immunocytochemistry/ Immunofluorescence - Anti-ErbB2 / HER2 antibody [CAL27] (AB237715)

Immunofluorescent analysis of 4% paraformaldehyde-fixed, 0.1% Triton X-100 permeabilised SK-BR-3 (human mammary gland adenocarcinoma cell line) cells labeling ERbB 2 with ab237715 at 1/500 dilution, followed by Goat Anti-Rabbit IgG H&L (Alexa Fluor® 488) (ab150077) secondary antibody at 1/1000 dilution (green). Confocal image showing membranous staining in SK-BR-3 cell line. The nuclear counter stain is DAPI (blue). Tubulin is detected with Anti-alpha Tubulin antibody [DM1A] - Microtubule Marker (Alexa Fluor® 594) (ab195889) at 1/200 dilution (red).

Secondary antibody only control : Used PBS instead of primary antibody, followed by Goat Anti-Rabbit IgG H&L (Alexa Fluor® 488) (ab150077) secondary antibody at 1/1000 dilution.

Immunohistochemistry (Formalin/PFA-fixed paraffin-embedded sections) - Anti-ErbB2 / HER2 antibody [CAL27] (AB237715)
  • IHC-P

Lab

Immunohistochemistry (Formalin/PFA-fixed paraffin-embedded sections) - Anti-ErbB2 / HER2 antibody [CAL27] (AB237715)

IHC image of ErbB2 / HER2 staining in a section of formalin-fixed paraffin-embedded MCF7 cell pellet performed on a Leica Biosystems BOND® RX instrument using the standard protocol. The section was pre-treated using heat mediated antigen retrieval with sodium citrate buffer (pH6, epitope retrieval solution 1) for 20mins. The section was then incubated with ab237715, 1/200 dilution, for 15 mins at room temperature and detected using an HRP conjugated compact polymer system. DAB was used as the chromogen. The section was then counterstained with haematoxylin and mounted with DPX. The inset secondary-only control image is taken from an identical assay without primary antibody.

For other IHC staining systems (automated and non-automated) customers should optimize variable parameters such as antigen retrieval conditions, primary antibody concentration and antibody incubation times.

*Tissue obtained from the Human Research Tissue Bank, supported by the NIHR Cambridge Biomedical Research Centre

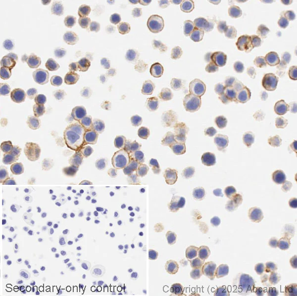
Immunohistochemistry (Formalin/PFA-fixed paraffin-embedded sections) - Anti-ErbB2 / HER2 antibody [CAL27] (AB237715)
  • IHC-P

Lab

Immunohistochemistry (Formalin/PFA-fixed paraffin-embedded sections) - Anti-ErbB2 / HER2 antibody [CAL27] (AB237715)

Negative control image : IHC image of ErbB2 / HER2 staining in a section of formalin-fixed paraffin-embedded MCF7 ErbB2 / HER2 KO cell pellet performed on a Leica Biosystems BOND® RX instrument using the standard protocol. The section was pre-treated using heat mediated antigen retrieval with sodium citrate buffer (pH6, epitope retrieval solution 1) for 20mins. The section was then incubated with ab237715, 1/200 dilution, for 15 mins at room temperature and detected using an HRP conjugated compact polymer system. DAB was used as the chromogen. The section was then counterstained with haematoxylin and mounted with DPX. The inset secondary-only control image is taken from an identical assay without primary antibody.

For other IHC staining systems (automated and non-automated) customers should optimize variable parameters such as antigen retrieval conditions, primary antibody concentration and antibody incubation times.

*Tissue obtained from the Human Research Tissue Bank, supported by the NIHR Cambridge Biomedical Research Centre

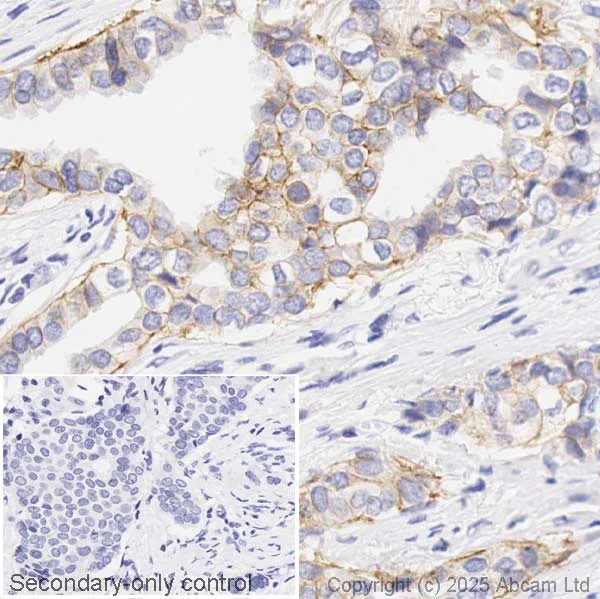
Immunohistochemistry (Formalin/PFA-fixed paraffin-embedded sections) - Anti-ErbB2 / HER2 antibody [CAL27] (AB237715)
  • IHC-P

Lab

Immunohistochemistry (Formalin/PFA-fixed paraffin-embedded sections) - Anti-ErbB2 / HER2 antibody [CAL27] (AB237715)

IHC image of ErbB2 / HER2 staining in a section of formalin-fixed paraffin-embedded normal human breast cancer* performed on a Leica Biosystems BOND® RX instrument using the standard protocol. The section was pre-treated using heat mediated antigen retrieval with sodium citrate buffer (pH6, epitope retrieval solution 1) for 20mins. The section was then incubated with ab237715, 1/200 dilution, for 15 mins at room temperature and detected using an HRP conjugated compact polymer system. DAB was used as the chromogen. The section was then counterstained with haematoxylin and mounted with DPX. The inset secondary-only control image is taken from an identical assay without primary antibody.

For other IHC staining systems (automated and non-automated) customers should optimize variable parameters such as antigen retrieval conditions, primary antibody concentration and antibody incubation times.

*Tissue obtained from the Human Research Tissue Bank, supported by the NIHR Cambridge Biomedical Research Centre

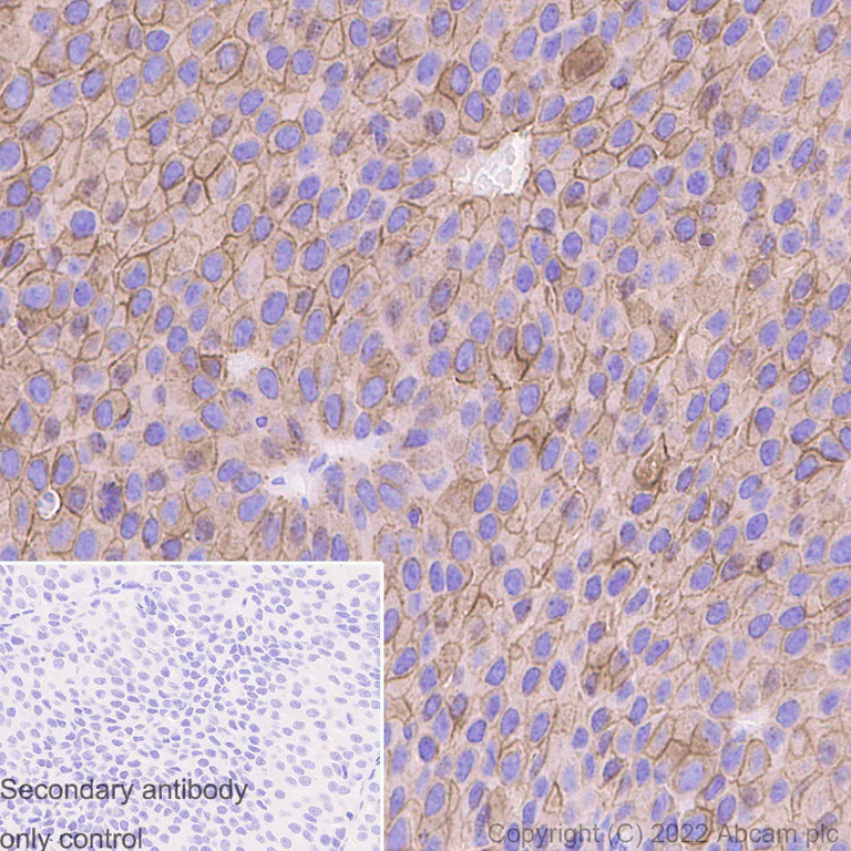
Immunohistochemistry (Formalin/PFA-fixed paraffin-embedded sections) - Anti-ErbB2 / HER2 antibody [CAL27] (AB237715)
  • IHC-P

Supplier Data

Immunohistochemistry (Formalin/PFA-fixed paraffin-embedded sections) - Anti-ErbB2 / HER2 antibody [CAL27] (AB237715)

Formalin-fixed, paraffin-embedded human breast carcinoma tissue stained for ErbB2 / HER2 using ab237715 at 0.3 μg/ml in immunohistochemical analysis.

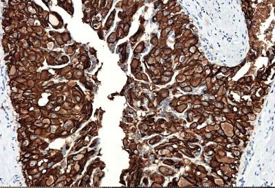
Immunohistochemistry (Formalin/PFA-fixed paraffin-embedded sections) - Anti-ErbB2 / HER2 antibody [CAL27] (AB237715)
  • IHC-P

Supplier Data

Immunohistochemistry (Formalin/PFA-fixed paraffin-embedded sections) - Anti-ErbB2 / HER2 antibody [CAL27] (AB237715)

Immunohistochemical analysis of human breast carcinoma tissue labeling ErbB2 / HER2 with ab237715 at 1/2000 dilution, followed by Rabbit specific IHC polymer detection kit HRP/DAB (ab209101). Positive staining on the human breast carcinoma is observed. Counter stained with hematoxylin.

Secondary antibody only control : Used PBS instead of primary antibody, secondary antibody is Rabbit specific IHC polymer detection kit HRP/DAB (ab209101).

Heat mediated antigen retrieval with Tris-EDTA buffer (pH 9.0, epitope retrieval solution 2) for 20 mins.

The section was incubated with ab237715 for 10 mins at room temperature.

The immunostaining was performed on a Leica Biosystems BOND® RX instrument.

Flow Cytometry (Intracellular) - Anti-ErbB2 / HER2 antibody [CAL27] (AB237715)
  • Flow Cyt (Intra)

Supplier Data

Flow Cytometry (Intracellular) - Anti-ErbB2 / HER2 antibody [CAL27] (AB237715)

Intracellular flow cytometric analysis of4% paraformaldehyde-fixed, 90% methonao-permeabilized SH-BR-3 (human mammary gland adenocarcinoma cell line) cells labeling ErbB2 / HER2 with ab237715 at 1/500 dilution (red) compared with Recombinant Rabbit IgG, monoclonal [EPR25A] - Isotype Control (ab172730) (black) and an unlabelled control (cells without incubation with primary antibody and secondary antibody) (blue).

Goat Anti-Rabbit IgG H&L (Alexa Fluor® 488) (ab150077), at 1/2000 dilution was used as the secondary antibody.

Immunoprecipitation - Anti-ErbB2 / HER2 antibody [CAL27] (AB237715)
  • IP

Collaborator

Immunoprecipitation - Anti-ErbB2 / HER2 antibody [CAL27] (AB237715)

ERbB 2 was immunoprecipitated from 0.35 mg of HeLa (human epithelial cell line from cervix adenocarcinoma) whole cell lysate with ab237715 at 130 dilution. Western blot was performed from the immunoprecipitate using ab237715 at 1/1000 dilution. VeriBlot for IP Detection Reagent (HRP) (ab131366), was used as secondary antibody at 1/5000 dilution.

Lane 1 : HeLa whole cell lysate 10 μg (Input).
Lane 2 : ab237715 IP in HeLa whole lysate.
Lane 3 : Rabbit monoclonal IgG (ab172730) instead of ab237715 in HeLa whole cell lysate.

Blocking and dilution buffer and concentration : 5% NFDM/TBST.
Exposure time : 15 seconds.

All lanes:

Immunoprecipitation - Anti-ErbB2 / HER2 antibody [CAL27] (ab237715)

Predicted band size: 137 kDa

Observed band size: 180 kDa

false

Immunohistochemistry (Formalin/PFA-fixed paraffin-embedded sections) - Anti-ErbB2 / HER2 antibody [CAL27] (AB237715)
  • IHC-P

Lab

Immunohistochemistry (Formalin/PFA-fixed paraffin-embedded sections) - Anti-ErbB2 / HER2 antibody [CAL27] (AB237715)

Immunohistochemical analysis of mouse breast carcinoma tissue labeling ErbB2 / HER2 with ab237715 at 1/2000 dilution, followed by Rabbit specific IHC polymer detection kit HRP/DAB (ab209101). Positive staining on the human breast carcinoma is observed. Counter stained with hematoxylin. Secondary antibody only control : Used PBS instead of primary antibody, secondary antibody is Rabbit specific IHC polymer detection kit HRP/DAB (ab209101). Heat mediated antigen retrieval was performed with Tris-EDTA buffer (pH 9.0, Epitope Retrieval Solution2) for 20 mins. The section was incubated with ab237715 for 10 mins at room temperature. The immunostaining was performed on a Leica Biosystems BOND® RX instrument.

Western blot - Anti-ErbB2 / HER2 antibody [CAL27] (AB237715)
  • WB

Supplier Data

Western blot - Anti-ErbB2 / HER2 antibody [CAL27] (AB237715)

False colour image of Western blot : Anti-ErbB2 / HER2 antibody [CAL27] staining at 1/1000 dilution, shown in green; Mouse anti-Alpha Tubulin [DM1A] (ab7291) loading control staining at 1/20000 dilution, shown in red. In Western blot, ab237715 was shown to bind specifically to ErbB2 / HER2. A band was observed at 180 kDa in wild-type A549 cell lysates with no signal observed at this size in ERBB2 knockout cell line. To generate this image, wild-type and ERBB2 knockout A549 cell lysates were analysed. First, samples were run on an SDS-PAGE gel then transferred onto a nitrocellulose membrane. Membranes were blocked in 3 % milk in TBS-0.1 % Tween® 20 (TBS-T) before incubation with primary antibodies overnight at 4 °C. Blots were washed four times in TBS-T, incubated with secondary antibodies for 1 h at room temperature, washed again four times then imaged. Secondary antibodies used were Goat anti-Rabbit IgG H&L 800CW and Goat anti-Mouse IgG H&L 680RD at 1/20000 dilution.

All lanes:

Western blot - Anti-ErbB2 / HER2 antibody [CAL27] (ab237715) at 1/1000 dilution

Lane 1:

Wild-type A549 cell lysate at 20 µg

Lane 2:

ERBB2 knockout A549 cell lysate at 20 µg

Lane 3:

HeLa cell lysate at 20 µg

Lane 4:

SK-BR-3 cell lysate at 20 µg

Secondary

All lanes:

Goat anti-Rabbit IgG H&L 800CW and Goat anti-Mouse IgG H&L 680RD at 1/20000 dilution

Predicted band size: 137 kDa

Observed band size: 180 kDa

false

Western blot - Anti-ErbB2 / HER2 antibody [CAL27] (AB237715)
  • WB

Supplier Data

Western blot - Anti-ErbB2 / HER2 antibody [CAL27] (AB237715)

Blocking and dilution buffer : 5% NFDM/TBST.

This blot was developed using a higher sensitivity ECL substrate.

All lanes:

Western blot - Anti-ErbB2 / HER2 antibody [CAL27] (ab237715) at 1/1000 dilution

All lanes:

HeLa (human epithelial cell line from cervix adenocarcinoma) whole cell lysate at 20 µg

Secondary

All lanes:

Western blot - Goat Anti-Rabbit IgG H&L (HRP) (<a href='/en-us/products/secondary-antibodies/goat-rabbit-igg-h-l-hrp-ab97051'>ab97051</a>) at 1/100000 dilution

Predicted band size: 137 kDa

Observed band size: 180 kDa

false

Exposure time: 3min

Western blot - Anti-ErbB2 / HER2 antibody [CAL27] (AB237715)
  • WB

Supplier Data

Western blot - Anti-ErbB2 / HER2 antibody [CAL27] (AB237715)

False colour image of Western blot : Anti-ErbB2 / HER2 antibody [CAL27] staining at 1/1000 dilution, shown in green; Mouse anti-Alpha Tubulin [DM1A] (ab7291) loading control staining at 1/20000 dilution, shown in red. In Western blot, ab237715 was shown to bind specifically to ErbB2 / HER2. A band was observed at 180 kDa in wild-type HCT 116 cell lysates with no signal observed at this size in ERBB2 knockout cell line. To generate this image, wild-type and ERBB2 knockout HCT 116 cell lysates were analysed. First, samples were run on an SDS-PAGE gel then transferred onto a nitrocellulose membrane. Membranes were blocked in fluorescent western blot (TBS-based) blocking solution before incubation with primary antibodies overnight at 4 °C. Blots were washed four times in TBS-T, incubated with secondary antibodies for 1 h at room temperature, washed again four times then imaged. Secondary antibodies used were Goat anti-Rabbit IgG H&L 800CW and Goat anti-Mouse IgG H&L 680RD at 1/20000 dilution.

All lanes:

Western blot - Anti-ErbB2 / HER2 antibody [CAL27] (ab237715) at 1/1000 dilution

Lane 1:

Wild-type HCT 116 cell lysate at 20 µg

Lane 2:

ERBB2 knockout HCT 116 cell lysate at 20 µg

Lane 3:

HeLa cell lysate at 20 µg

Lane 4:

SK-BR-3 cell lysate at 20 µg

Secondary

All lanes:

Goat anti-Rabbit IgG H&L 800CW and Goat anti-Mouse IgG H&L 680RD at 1/20000 dilution

Predicted band size: 137 kDa

Observed band size: 180 kDa

false

Western blot - Anti-ErbB2 / HER2 antibody [CAL27] (AB237715)
  • WB

Lab

Western blot - Anti-ErbB2 / HER2 antibody [CAL27] (AB237715)

Anti-ErbB2 / HER2 antibody [CAL27] staining at 1/500 dilution, shown in green; Mouse anti-Alpha Tubulin [DM1A] (ab7291) loading control staining at 1/20000 dilution, shown in red. In Western blot, ab237715 was shown to bind specifically to ErbB2 / HER2. A band was observed at 180 kDa in wild-type MCF7 cell lysates with no signal observed at this size in ERBB2 knockout cell line ab286260 (knockout cell lysate ab300208). To generate this image, wild-type and ERBB2 knockout MCF7 cell lysates were analysed. First, samples were run on an SDS-PAGE gel then transferred onto a nitrocellulose membrane. Membranes were blocked in 3 % milk in TBS-0.1 % Tween® 20 (TBS-T) before incubation with primary antibodies overnight at 4 °C. Blots were washed four times in TBS-T, incubated with secondary antibodies for 1 h at room temperature, washed again four times then imaged. Secondary antibodies used were HRP conjugated Goat anti-Rabbit (H+L) and Goat anti-Mouse IgG H&L 680RD at 1/20000 dilution.

All lanes:

Western blot - Anti-ErbB2 / HER2 antibody [CAL27] (ab237715) at 1/500 dilution

Lane 1:

Wild-type MCF7 cell lysate at 32 µg

Lane 2:

Western blot - Human ErbB2 / HER2 knockout MCF7 cell line (<a href='/en-us/products/cell-lines/human-erbb2-her2-knockout-mcf7-cell-line-ab286260'>ab286260</a>)

Lane 2:

Western blot - Human ERBB2 knockout MCF7 cell lysate (ab300208)

Lane 2:

ERBB2 knockout MCF7 cell lysate at 32 µg

Lane 3:

SK-BR-3 cell lysate at 16 µg

Secondary

All lanes:

HRP conjugated Goat anti-Rabbit (H+L) and Goat anti-Mouse IgG H&L 680RD at 1/20000 dilution

Predicted band size: 137 kDa

Observed band size: 180 kDa

false

Western blot - Anti-ErbB2 / HER2 antibody [CAL27] (AB237715)
  • WB

Supplier Data

Western blot - Anti-ErbB2 / HER2 antibody [CAL27] (AB237715)

Blocking and dilution buffer : 5% NFDM/TBST.

This blot was developed using a higher sensitivity ECL substrate.

All lanes:

Western blot - Anti-ErbB2 / HER2 antibody [CAL27] (ab237715) at 1/1000 dilution

Lane 1:

4T1 (mouse mammary gland carcinoma cell line) whole cell lysate at 20 µg

Lane 2:

C6 (rat glial tumor glial cell) whole cell lysate at 20 µg

Secondary

All lanes:

Western blot - VeriBlot for IP Detection Reagent (HRP) (<a href='/en-us/products/reagents/veriblot-for-ip-detection-reagent-hrp-ab131366'>ab131366</a>) at 1/5000 dilution

Predicted band size: 137 kDa

Observed band size: 180 kDa

false

Exposure time: 3min

  • Carrier free

    Anti-ErbB2 / HER2 antibody [CAL27] - BSA and Azide free

Key facts

Host species

Rabbit

Clonality

Monoclonal

Clone number

CAL27

Isotype

IgG

Carrier free

No

Reacts with

Mouse, Rat, Human

Applications

IP, IHC-P, WB, Flow Cyt (Intra), ICC/IF

applications

Immunogen

The exact immunogen used to generate this antibody is proprietary information.

Reactivity data

{ "title": "Reactivity Data", "filters": { "stats": ["", "Species", "Dilution Info", "Notes"], "tabs": { "all-applications": {"fullname" : "All Applications", "shortname": "All Applications"}, "IP" : {"fullname" : "Immunoprecipitation", "shortname":"IP"}, "WB" : {"fullname" : "Western blot", "shortname":"WB"}, "ICCIF" : {"fullname" : "Immunocytochemistry/ Immunofluorescence", "shortname":"ICC/IF"}, "FlowCytIntra" : {"fullname" : "Flow Cytometry (Intracellular)", "shortname":"Flow Cyt (Intra)"}, "IHCP" : {"fullname" : "Immunohistochemistry (Formalin/PFA-fixed paraffin-embedded sections)", "shortname":"IHC-P"} }, "product-promise": { "all": "all", "testedAndGuaranteed": "tested", "guaranteed": "expected", "predicted": "predicted", "notRecommended": "not-recommended" } }, "values": { "Human": { "IP-species-checked": "testedAndGuaranteed", "IP-species-dilution-info": "1/13", "IP-species-notes": "<p></p>", "WB-species-checked": "testedAndGuaranteed", "WB-species-dilution-info": "1/1000", "WB-species-notes": "<p></p>", "ICCIF-species-checked": "testedAndGuaranteed", "ICCIF-species-dilution-info": "1/500", "ICCIF-species-notes": "<p></p>", "FlowCytIntra-species-checked": "testedAndGuaranteed", "FlowCytIntra-species-dilution-info": "1/500", "FlowCytIntra-species-notes": "<p></p>", "IHCP-species-checked": "testedAndGuaranteed", "IHCP-species-dilution-info": "1/2000", "IHCP-species-notes": "<p></p>" }, "Mouse": { "IP-species-checked": "guaranteed", "IP-species-dilution-info": "", "IP-species-notes": "", "WB-species-checked": "testedAndGuaranteed", "WB-species-dilution-info": "1/1000", "WB-species-notes": "<p></p>", "ICCIF-species-checked": "guaranteed", "ICCIF-species-dilution-info": "", "ICCIF-species-notes": "", "FlowCytIntra-species-checked": "guaranteed", "FlowCytIntra-species-dilution-info": "", "FlowCytIntra-species-notes": "", "IHCP-species-checked": "testedAndGuaranteed", "IHCP-species-dilution-info": "1/2000", "IHCP-species-notes": "<p></p>" }, "Rat": { "IP-species-checked": "guaranteed", "IP-species-dilution-info": "", "IP-species-notes": "", "WB-species-checked": "testedAndGuaranteed", "WB-species-dilution-info": "1/1000", "WB-species-notes": "<p></p>", "ICCIF-species-checked": "guaranteed", "ICCIF-species-dilution-info": "", "ICCIF-species-notes": "", "FlowCytIntra-species-checked": "guaranteed", "FlowCytIntra-species-dilution-info": "", "FlowCytIntra-species-notes": "", "IHCP-species-checked": "guaranteed", "IHCP-species-dilution-info": "", "IHCP-species-notes": "" } } }

Product details

What is this antibody validated in?
Anti-ErbB2 / HER2 antibody [CAL27] (ab237715) is a rabbit recombinant monoclonal antibody and is validated for use in Western Blot (WB), Flow Cytometry (Intra), Flow Cytometry (Flow Cyt), Immunoprecipitation (IP), Immunohistochemistry (IHC-P), Immunocytochemistry/immunofluorescence (ICC/IF) in Human, Mouse, Rat samples.

What is the molecular weight of ErbB2 / HER2?
Anti-ErbB2 / HER2 [CAL27] (ab237715) specifically detects a band for ErbB2 / HER2 (UniProt: P04626) at a molecular weight of 137kDa.

Trial sizes available!
Test your antibody or perform pre-screening before committing to a larger quantity. Sold in 10μl. Discover our selection of trial-size antibodies.

Specificity confirmed
The specificity of Anti-ErbB2 / HER2 antibody [CAL27] (ab237715) has been confirmed by Western blot testing in ERBB2 Knockout HCT 116 cells.

Other related products
We have a range of other formats of antibody clone [CAL27] also available for your convenience: ab237715, Carrier free - ab251602

Properties and storage information

Form
Liquid
Purification technique
Affinity purification Protein A
Purification notes
Purity >99%.
Storage buffer
pH: 7.5 Preservative: 0.05% Sodium azide Constituents: PBS
Shipped at conditions
Blue Ice
Appropriate short-term storage duration
1-2 weeks
Appropriate short-term storage conditions
+4°C
Appropriate long-term storage conditions
-20°C
Aliquoting information
Upon delivery aliquot
Storage information
Avoid freeze / thaw cycle

Supplementary information

This supplementary information is collated from multiple sources and compiled automatically.

The ErbB2 also known as HER2 or HER2 protein is a transmembrane receptor protein with a molecular weight of about 185 kDa. It serves as part of the epidermal growth factor receptor (EGFR) family of receptor tyrosine kinases. The ErbB2 protein is expressed mainly in epithelial tissues including those of the breast and the gastrointestinal tract. It lacks a known ligand-binding domain which sets it apart from other members of its family. Due to its structure ErbB2 dimerizes with other members of the EGFR family to exert its effects in cellular signaling.
Biological function summary

The role of ErbB2 extends beyond a singular function. It becomes an active component when forming heterodimers with other EGFR family members such as ErbB3 to initiate various downstream signaling cascades. The dimerization activates intracellular pathways leading to cell proliferation survival differentiation and migration. Within cells ErbB2 influences processes critical for normal development and tissue homeostasis contributing significantly to signal transduction networks.

Pathways

ErbB2 plays a pivotal role in pathways such as the PI3K/Akt and MAPK/ERK pathways. These pathways are important in mediating cellular responses to growth signals. The PI3K/Akt pathway activated by HER2 signaling regulates cell growth and survival while the MAPK/ERK pathway contributes to cell differentiation and proliferation. ErbB2's interaction with proteins like ErbB3 is fundamental in these pathways increasing the amplitude and diversity of downstream signals.

ErbB2 is significantly associated with breast cancer and gastric cancer. The overexpression or gene amplification of HER2 is observed in approximately 20% of breast cancer cases correlating with aggressive tumor growth and poor prognosis. ErbB2-related signaling contributes to oncogenic processes by promoting excessive cell proliferation. Targeting ErbB2 in these cancers is common using therapies such as monoclonal antibodies like trastuzumab. In the context of gastric cancer the role of ErbB2 mirrors its function in breast cancer and targeting HER2 holds therapeutic potential.

Product protocols

For this product, it's our understanding that no specific protocols are required. You can visit:

Target data

Protein tyrosine kinase that is part of several cell surface receptor complexes, but that apparently needs a coreceptor for ligand binding. Essential component of a neuregulin-receptor complex, although neuregulins do not interact with it alone. GP30 is a potential ligand for this receptor. Regulates outgrowth and stabilization of peripheral microtubules (MTs). Upon ERBB2 activation, the MEMO1-RHOA-DIAPH1 signaling pathway elicits the phosphorylation and thus the inhibition of GSK3B at cell membrane. This prevents the phosphorylation of APC and CLASP2, allowing its association with the cell membrane. In turn, membrane-bound APC allows the localization of MACF1 to the cell membrane, which is required for microtubule capture and stabilization.. In the nucleus is involved in transcriptional regulation. Associates with the 5'-TCAAATTC-3' sequence in the PTGS2/COX-2 promoter and activates its transcription. Implicated in transcriptional activation of CDKN1A; the function involves STAT3 and SRC. Involved in the transcription of rRNA genes by RNA Pol I and enhances protein synthesis and cell growth.
See full target information ERBB2

Publications (13)

Recent publications for all applications. Explore the full list and refine your search

Molecular medicine (Cambridge, Mass.) 31:278 PubMed40819077

2025

Targeting LINC02544/miR-497-5p/CAPRIN1 axis via exosome-based siRNA to overcome immunotherapy resistance in triple-negative breast cancer.

Applications

Unspecified application

Species

Unspecified reactive species

Bin Lian,Jiayi Li,Shihui Tang,Ting Li,Jinping Li

Journal of experimental & clinical cancer research : CR 44:49 PubMed39934835

2025

An IgE antibody targeting HER2 identified by clonal selection restricts breast cancer growth via immune-stimulating activities.

Applications

Unspecified application

Species

Unspecified reactive species

Lais C G F Palhares,Melanie Grandits,Katie Stoker,Jitesh Chauhan,Heng Sheng Sow,Gilbert O Fruhwirth,Sophia Tsoka,James Birtley,Leanne Partington,Tim Wilson,Elizabeth Hardaker,Sophia N Karagiannis,Heather J Bax,Kevin FitzGerald

Journal of biomedical science 31:92 PubMed39402557

2024

CD81-guided heterologous EVs present heterogeneous interactions with breast cancer cells.

Applications

Unspecified application

Species

Unspecified reactive species

Elena Gurrieri,Giulia Carradori,Michela Roccuzzo,Michael Pancher,Daniele Peroni,Romina Belli,Caterina Trevisan,Michela Notarangelo,Wen-Qiu Huang,Agata S A Carreira,Alessandro Quattrone,Guido Jenster,Timo L M Ten Hagen,Vito Giuseppe D'Agostino

EBioMedicine 109:105379 PubMed39368454

2024

Pyrotinib and trastuzumab combination treatment synergistically overcomes HER2 dependency in HER2-positive breast cancer: insights from the PHILA trial.

Applications

Unspecified application

Species

Unspecified reactive species

Shuning Liu,Bo Lan,Yuanyi Wang,Tao Yang,Lixi Li,Hewei Ge,Cheng Zeng,Binghe Xu,Haili Qian,Fei Ma

Acta pharmacologica Sinica 45:1287-1304 PubMed38360930

2024

Quantitative systems pharmacology modeling of HER2-positive metastatic breast cancer for translational efficacy evaluation and combination assessment across therapeutic modalities.

Applications

Unspecified application

Species

Unspecified reactive species

Ya-Ting Zhou,Jia-Hui Chu,Shu-Han Zhao,Ge-Li Li,Zi-Yi Fu,Su-Jie Zhang,Xue-Hu Gao,Wen Ma,Kai Shen,Yuan Gao,Wei Li,Yong-Mei Yin,Chen Zhao

Aging 16:322-347 PubMed38189813

2024

Clinical significance and immune characteristics analysis of miR-221-3p and its key target genes related to epithelial-mesenchymal transition in breast cancer.

Applications

Unspecified application

Species

Unspecified reactive species

Yutong Fang,Qunchen Zhang,Zexiao Chen,Cuiping Guo,Jundong Wu

Frontiers in endocrinology 14:1035029 PubMed38027164

2023

miR-135a-5p overexpression in peripheral blood-derived exosomes mediates vascular injury in type 2 diabetes patients.

Applications

Unspecified application

Species

Unspecified reactive species

Kangling Xie,Cui Li,Mingzhu Wang,Siqian Fu,Ying Cai

Evidence-based complementary and alternative medicine : eCAM 2022:2295044 PubMed36248434

2022

LncRNA-PAX8-AS1 Silencing Decreases Cell Viability, Enhances Apoptosis, and Suppresses Doxorubicin Resistance in Myeloid Leukemia via the miR-378g/ERBB2 Axis.

Applications

Unspecified application

Species

Unspecified reactive species

Xiaolu Song,Yirui Chen,Ye Peng,Xiaogang Wang,Sujie Zheng,Fangfang Shi,Jianping Lan

OncoTargets and therapy 15:267-275 PubMed35321517

2022

Efficacy of Disitamab Vedotin in Treating HER2 2+/FISH- Gastric Cancer.

Applications

Unspecified application

Species

Unspecified reactive species

Li Dai,Xiangren Jin,Liuxing Wang,Haibin Wang,Zhiqiang Yan,Guanghai Wang,Baichuang Liang,Fu Huang,Yuling Luo,Taichun Chen,Qian Wang

Frontiers in cell and developmental biology 9:688873 PubMed34765599

2021

Circ_0000215 Exerts Oncogenic Function in Nasopharyngeal Carcinoma by Targeting miR-512-5p.

Applications

Unspecified application

Species

Unspecified reactive species

Xinping Chen,Weihua Xu,Zhichao Ma,Juan Zhu,Junjie Hu,Xiaojuan Li,Shengmiao Fu
View all publications

Product promise

We are committed to supporting your work with high-quality reagents, and we're here for you every step of the way. In the unlikely event that one of our products does not perform as expected, you're protected by our Product Promise.
For full details, please see our Terms & Conditions

Please note: All products are 'FOR RESEARCH USE ONLY. NOT FOR USE IN DIAGNOSTIC OR THERAPEUTIC PROCEDURES'.

For licensing inquiries, please contact partnerships@abcam.com