JavaScript is disabled in your browser. Please enable JavaScript to view this website.
AB251602

Anti-ErbB2 / HER2 antibody [CAL27] - BSA and Azide free

  • BOND RX™ Validated
  • RabMAb
  • Recombinant
  • KO Validated
  • What is this?

Be the first to review this product! Submit a review

|

(1 Publication)

Knockout Tested Rabbit Recombinant Monoclonal ErbB2 / HER2 antibody. Carrier free. Suitable for IP, WB, ICC/IF, Flow Cyt (Intra), IHC-P and reacts with Human, Mouse, Rat samples. Cited in 1 publication.

View Alternative Names

CD340, HER2, MLN19, NEU, NGL, ERBB2, Receptor tyrosine-protein kinase erbB-2, Metastatic lymph node gene 19 protein, Proto-oncogene Neu, Proto-oncogene c-ErbB-2, Tyrosine kinase-type cell surface receptor HER2, p185erbB2, MLN 19

9 Images
Immunohistochemistry (Formalin/PFA-fixed paraffin-embedded sections) - Anti-ErbB2 / HER2 antibody [CAL27] - BSA and Azide free (AB251602)
  • IHC-P

Supplier Data

Immunohistochemistry (Formalin/PFA-fixed paraffin-embedded sections) - Anti-ErbB2 / HER2 antibody [CAL27] - BSA and Azide free (AB251602)

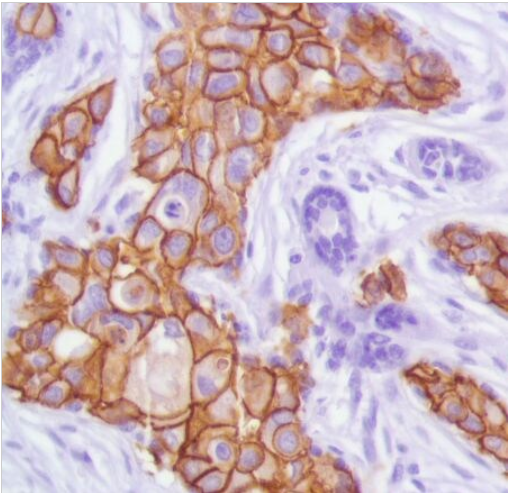
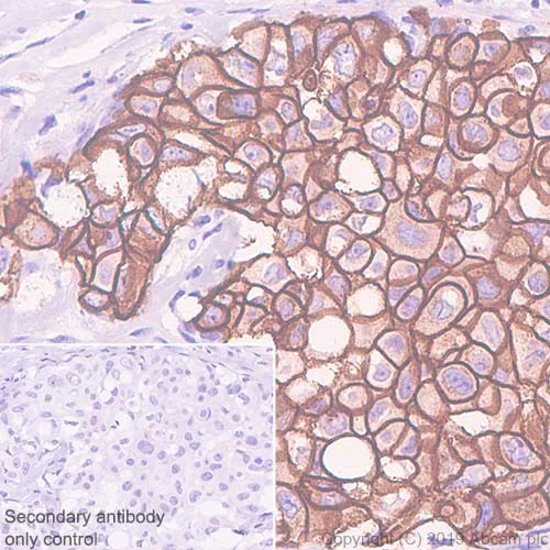
Immunohistochemical analysis of human breast carcinoma tissue labeling ErbB2 / HER2 with ab237715 at 1/2000 dilution, followed by Rabbit specific IHC polymer detection kit HRP/DAB (ab209101). Positive staining on the human breast carcinoma is observed. Counter stained with hematoxylin.

Secondary antibody only control : Used PBS instead of primary antibody, secondary antibody is Rabbit specific IHC polymer detection kit HRP/DAB (ab209101).

Heat mediated antigen retrieval with Tris-EDTA buffer (pH 9.0, epitope retrieval solution 2) for 20 mins.

The section was incubated with ab237715 for 10 mins at room temperature.

The immunostaining was performed on a Leica Biosystems BOND® RX instrument.

This data was developed using the same antibody clone in a different buffer formulation containing PBS and sodium azide (ab237715).

Immunocytochemistry/ Immunofluorescence - Anti-ErbB2 / HER2 antibody [CAL27] - BSA and Azide free (AB251602)
  • ICC/IF

Supplier Data

Immunocytochemistry/ Immunofluorescence - Anti-ErbB2 / HER2 antibody [CAL27] - BSA and Azide free (AB251602)

Immunofluorescent analysis of 4% paraformaldehyde-fixed, 0.1% Triton X-100 permeabilised SK-BR-3 (human mammary gland adenocarcinoma cell line) cells labeling ErbB2 / HER2 with ab237715 at 1/500 dilution, followed by Goat Anti-Rabbit IgG H&L (Alexa Fluor® 488) (ab150077) secondary antibody at 1/1000 dilution (green). Confocal image showing membranous staining in SK-BR-3 cell line. The nuclear counter stain is DAPI (blue). Tubulin is detected with Anti-alpha Tubulin antibody [DM1A] - Microtubule Marker (Alexa Fluor® 594) (ab195889) at 1/200 dilution (red).

Secondary antibody only control : Used PBS instead of primary antibody, followed by Goat Anti-Rabbit IgG H&L (Alexa Fluor® 488) (ab150077) secondary antibody at 1/1000 dilution.

This data was developed using the same antibody clone in a different buffer formulation containing PBS and sodium azide (ab237715).

Flow Cytometry (Intracellular) - Anti-ErbB2 / HER2 antibody [CAL27] - BSA and Azide free (AB251602)
  • Flow Cyt (Intra)

Supplier Data

Flow Cytometry (Intracellular) - Anti-ErbB2 / HER2 antibody [CAL27] - BSA and Azide free (AB251602)

Intracellular flow cytometric analysis of4% paraformaldehyde-fixed, 90% methonao-permeabilized SH-BR-3 (human mammary gland adenocarcinoma cell line) cells labeling ErbB2 / HER2 with ab237715 at 1/500 dilution (red) compared with Recombinant Rabbit IgG, monoclonal [EPR25A] - Isotype Control (ab172730) (black) and an unlabelled control (cells without incubation with primary antibody and secondary antibody) (blue).

Goat Anti-Rabbit IgG H&L (Alexa Fluor® 488) (ab150077), at 1/2000 dilution was used as the secondary antibody.

This data was developed using the same antibody clone in a different buffer formulation containing PBS and sodium azide (ab237715).

Immunohistochemistry (Formalin/PFA-fixed paraffin-embedded sections) - Anti-ErbB2 / HER2 antibody [CAL27] - BSA and Azide free (AB251602)
  • IHC-P

Supplier Data

Immunohistochemistry (Formalin/PFA-fixed paraffin-embedded sections) - Anti-ErbB2 / HER2 antibody [CAL27] - BSA and Azide free (AB251602)

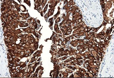
Formalin-fixed, paraffin-embedded human breast carcinoma tissue stained for ErbB2 / HER2 using ab237715 at 0.3 μg/ml in immunohistochemical analysis.

This data was developed using the same antibody clone in a different buffer formulation containing PBS and sodium azide (ab237715).

Immunoprecipitation - Anti-ErbB2 / HER2 antibody [CAL27] - BSA and Azide free (AB251602)
  • IP

Collaborator

Immunoprecipitation - Anti-ErbB2 / HER2 antibody [CAL27] - BSA and Azide free (AB251602)

ErbB2 / HER2 was immunoprecipitated from 0.35 mg of HeLa (human epithelial cell line from cervix adenocarcinoma) whole cell lysate with ab237715 at 130 dilution. Western blot was performed from the immunoprecipitate using ab237715 at 1/1000 dilution. VeriBlot for IP Detection Reagent (HRP) (ab131366), was used as secondary antibody at 1/5000 dilution.

Lane 1 : HeLa whole cell lysate 10 μg (Input).
Lane 2 : ab237715 IP in HeLa whole lysate.
Lane 3 : Rabbit monoclonal IgG (ab172730) instead of ab237715 in HeLa whole cell lysate.

Blocking and dilution buffer and concentration : 5% NFDM/TBST.
Exposure time : 15 seconds.

This data was developed using the same antibody clone in a different buffer formulation containing PBS and sodium azide (ab237715).

All lanes:

Immunoprecipitation - Anti-ErbB2 / HER2 antibody [CAL27] (<a href='/en-us/products/primary-antibodies/erbb2-her2-antibody-cal27-ab237715'>ab237715</a>)

Predicted band size: 137 kDa

Observed band size: 180 kDa

false

Immunohistochemistry (Formalin/PFA-fixed paraffin-embedded sections) - Anti-ErbB2 / HER2 antibody [CAL27] - BSA and Azide free (AB251602)
  • IHC-P

Lab

Immunohistochemistry (Formalin/PFA-fixed paraffin-embedded sections) - Anti-ErbB2 / HER2 antibody [CAL27] - BSA and Azide free (AB251602)

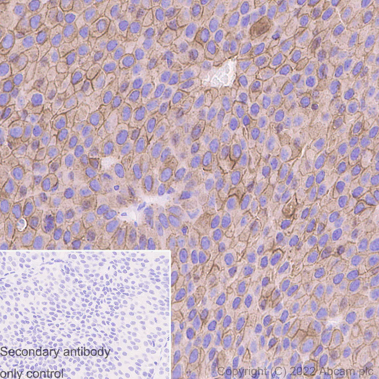
This data was developed using the same antibody clone in a different buffer formulation containing PBS and sodium azide (ab237715). Immunohistochemical analysis of mouse breast carcinoma tissue labeling ErbB2 / HER2 with ab237715 at 1/2000 dilution, followed by Rabbit specific IHC polymer detection kit HRP/DAB (ab209101). Positive staining on the human breast carcinoma is observed. Counter stained with hematoxylin. Secondary antibody only control : Used PBS instead of primary antibody, secondary antibody is Rabbit specific IHC polymer detection kit HRP/DAB (ab209101). Heat mediated antigen retrieval was performed with Tris-EDTA buffer (pH 9.0, Epitope Retrieval Solution2) for 20 mins. The section was incubated with ab237715 for 10 mins at room temperature. The immunostaining was performed on a Leica Biosystems BOND® RX instrument.

Western blot - Anti-ErbB2 / HER2 antibody [CAL27] - BSA and Azide free (AB251602)
  • WB

Supplier Data

Western blot - Anti-ErbB2 / HER2 antibody [CAL27] - BSA and Azide free (AB251602)

False colour image of Western blot : Anti-ErbB2 / HER2 antibody [CAL27] staining at 1/1000 dilution, shown in green; Mouse anti-Alpha Tubulin [DM1A] (ab7291) loading control staining at 1/20000 dilution, shown in red. In Western blot, ab237715 was shown to bind specifically to ErbB2 / HER2. A band was observed at 180 kDa in wild-type A549 cell lysates with no signal observed at this size in ERBB2 knockout cell line. To generate this image, wild-type and ERBB2 knockout A549 cell lysates were analysed. First, samples were run on an SDS-PAGE gel then transferred onto a nitrocellulose membrane. Membranes were blocked in 3 % milk in TBS-0.1 % Tween® 20 (TBS-T) before incubation with primary antibodies overnight at 4 °C. Blots were washed four times in TBS-T, incubated with secondary antibodies for 1 h at room temperature, washed again four times then imaged. Secondary antibodies used were Goat anti-Rabbit IgG H&L 800CW and Goat anti-Mouse IgG H&L 680RD at 1/20000 dilution. This data was developed using the same antibody clone in a different buffer formulation containing PBS and sodium azide (ab237715).

All lanes:

Western blot - Anti-ErbB2 / HER2 antibody [CAL27] (<a href='/en-us/products/primary-antibodies/erbb2-her2-antibody-cal27-ab237715'>ab237715</a>) at 1/1000 dilution

Lane 1:

Wild-type A549 cell lysate at 20 µg

Lane 2:

ERBB2 knockout A549 cell lysate at 20 µg

Lane 3:

HeLa cell lysate at 20 µg

Lane 4:

SK-BR-3 cell lysate at 20 µg

Secondary

All lanes:

Goat anti-Rabbit IgG H&L 800CW and Goat anti-Mouse IgG H&L 680RD at 1/20000 dilution

Predicted band size: 137 kDa

Observed band size: 180 kDa

false

Western blot - Anti-ErbB2 / HER2 antibody [CAL27] - BSA and Azide free (AB251602)
  • WB

Supplier Data

Western blot - Anti-ErbB2 / HER2 antibody [CAL27] - BSA and Azide free (AB251602)

False colour image of Western blot : Anti-ErbB2 / HER2 antibody [CAL27] staining at 1/1000 dilution, shown in green; Mouse anti-Alpha Tubulin [DM1A] (ab7291) loading control staining at 1/20000 dilution, shown in red. In Western blot, ab237715 was shown to bind specifically to ErbB2 / HER2. A band was observed at 180 kDa in wild-type HCT 116 cell lysates with no signal observed at this size in ERBB2 knockout cell line. To generate this image, wild-type and ERBB2 knockout HCT 116 cell lysates were analysed. First, samples were run on an SDS-PAGE gel then transferred onto a nitrocellulose membrane. Membranes were blocked in fluorescent western blot (TBS-based) blocking solution before incubation with primary antibodies overnight at 4 °C. Blots were washed four times in TBS-T, incubated with secondary antibodies for 1 h at room temperature, washed again four times then imaged. Secondary antibodies used were Goat anti-Rabbit IgG H&L 800CW and Goat anti-Mouse IgG H&L 680RD at 1/20000 dilution. This data was developed using the same antibody clone in a different buffer formulation containing PBS and sodium azide (ab237715).

All lanes:

Western blot - Anti-ErbB2 / HER2 antibody [CAL27] (<a href='/en-us/products/primary-antibodies/erbb2-her2-antibody-cal27-ab237715'>ab237715</a>) at 1/1000 dilution

Lane 1:

Wild-type HCT 116 cell lysate at 20 µg

Lane 2:

ERBB2 knockout HCT 116 cell lysate at 20 µg

Lane 3:

HeLa cell lysate at 20 µg

Lane 4:

SK-BR-3 cell lysate at 20 µg

Secondary

All lanes:

Goat anti-Rabbit IgG H&L 800CW and Goat anti-Mouse IgG H&L 680RD at 1/20000 dilution

Predicted band size: 137 kDa

Observed band size: 180 kDa

false

Western blot - Anti-ErbB2 / HER2 antibody [CAL27] - BSA and Azide free (AB251602)
  • WB

Lab

Western blot - Anti-ErbB2 / HER2 antibody [CAL27] - BSA and Azide free (AB251602)

This data was developed using the same antibody clone in a different buffer formulation containing PBS and sodium azide (ab237715). Anti-ErbB2 / HER2 antibody [CAL27] staining at 1/500 dilution, shown in green; Mouse anti-Alpha Tubulin [DM1A] (ab7291) loading control staining at 1/20000 dilution, shown in red. In Western blot, ab237715 was shown to bind specifically to ErbB2 / HER2. A band was observed at 180 kDa in wild-type MCF7 cell lysates with no signal observed at this size in ERBB2 knockout cell line ab286260 (knockout cell lysate ab300208). To generate this image, wild-type and ERBB2 knockout MCF7 cell lysates were analysed. First, samples were run on an SDS-PAGE gel then transferred onto a nitrocellulose membrane. Membranes were blocked in 3 % milk in TBS-0.1 % Tween® 20 (TBS-T) before incubation with primary antibodies overnight at 4 °C. Blots were washed four times in TBS-T, incubated with secondary antibodies for 1 h at room temperature, washed again four times then imaged. Secondary antibodies used were HRP conjugated Goat anti-Rabbit (H+L) and Goat anti-Mouse IgG H&L 680RD at 1/20000 dilution.

All lanes:

Western blot - Anti-ErbB2 / HER2 antibody [CAL27] (<a href='/en-us/products/primary-antibodies/erbb2-her2-antibody-cal27-ab237715'>ab237715</a>) at 1/500 dilution

Lane 1:

Wild-type MCF7 cell lysate at 32 µg

Lane 2:

Western blot - Human ErbB2 / HER2 knockout MCF7 cell line (<a href='/en-us/products/cell-lines/human-erbb2-her2-knockout-mcf7-cell-line-ab286260'>ab286260</a>)

Lane 2:

Western blot - Human ERBB2 knockout MCF7 cell lysate (ab300208)

Lane 2:

ERBB2 knockout MCF7 cell lysate at 32 µg

Lane 3:

SK-BR-3 cell lysate at 16 µg

Secondary

All lanes:

HRP conjugated Goat anti-Rabbit (H+L) and Goat anti-Mouse IgG H&L 680RD at 1/20000 dilution

Predicted band size: 137 kDa

Observed band size: 180 kDa

false

Key facts

Host species

Rabbit

Clonality

Monoclonal

Clone number

CAL27

Isotype

IgG

Carrier free

Yes

Reacts with

Mouse, Rat, Human

Applications

IP, Flow Cyt (Intra), ICC/IF, IHC-P, WB

applications

Immunogen

The exact immunogen used to generate this antibody is proprietary information.

Reactivity data

{ "title": "Reactivity Data", "filters": { "stats": ["", "Species", "Dilution Info", "Notes"], "tabs": { "all-applications": {"fullname" : "All Applications", "shortname": "All Applications"}, "IP" : {"fullname" : "Immunoprecipitation", "shortname":"IP"}, "WB" : {"fullname" : "Western blot", "shortname":"WB"}, "ICCIF" : {"fullname" : "Immunocytochemistry/ Immunofluorescence", "shortname":"ICC/IF"}, "FlowCytIntra" : {"fullname" : "Flow Cytometry (Intracellular)", "shortname":"Flow Cyt (Intra)"}, "IHCP" : {"fullname" : "Immunohistochemistry (Formalin/PFA-fixed paraffin-embedded sections)", "shortname":"IHC-P"} }, "product-promise": { "all": "all", "testedAndGuaranteed": "tested", "guaranteed": "expected", "predicted": "predicted", "notRecommended": "not-recommended" } }, "values": { "Human": { "IP-species-checked": "testedAndGuaranteed", "IP-species-dilution-info": "1/13", "IP-species-notes": "<p></p>", "WB-species-checked": "testedAndGuaranteed", "WB-species-dilution-info": "", "WB-species-notes": "<p></p>", "ICCIF-species-checked": "testedAndGuaranteed", "ICCIF-species-dilution-info": "", "ICCIF-species-notes": "<p></p>", "FlowCytIntra-species-checked": "testedAndGuaranteed", "FlowCytIntra-species-dilution-info": "1/500", "FlowCytIntra-species-notes": "<p></p>", "IHCP-species-checked": "testedAndGuaranteed", "IHCP-species-dilution-info": "", "IHCP-species-notes": "<p></p> Perform heat-mediated antigen retrieval with Tris/EDTA buffer pH 9.0 before commencing with IHC staining protocol." }, "Mouse": { "IP-species-checked": "guaranteed", "IP-species-dilution-info": "", "IP-species-notes": "", "WB-species-checked": "testedAndGuaranteed", "WB-species-dilution-info": "1/1000", "WB-species-notes": "<p></p>", "ICCIF-species-checked": "guaranteed", "ICCIF-species-dilution-info": "", "ICCIF-species-notes": "", "FlowCytIntra-species-checked": "guaranteed", "FlowCytIntra-species-dilution-info": "", "FlowCytIntra-species-notes": "", "IHCP-species-checked": "testedAndGuaranteed", "IHCP-species-dilution-info": "", "IHCP-species-notes": "<p></p> Perform heat-mediated antigen retrieval with Tris/EDTA buffer pH 9.0 before commencing with IHC staining protocol." }, "Rat": { "IP-species-checked": "guaranteed", "IP-species-dilution-info": "", "IP-species-notes": "", "WB-species-checked": "testedAndGuaranteed", "WB-species-dilution-info": "1/1000", "WB-species-notes": "<p></p>", "ICCIF-species-checked": "guaranteed", "ICCIF-species-dilution-info": "", "ICCIF-species-notes": "", "FlowCytIntra-species-checked": "guaranteed", "FlowCytIntra-species-dilution-info": "", "FlowCytIntra-species-notes": "", "IHCP-species-checked": "guaranteed", "IHCP-species-dilution-info": "", "IHCP-species-notes": "" } } }

Product details

ab251602 is the carrier-free version of ab237715.

Conjugation ready
Our carrier-free antibodies are typically supplied in a PBS-only formulation, purified and free of BSA, sodium azide and glycerol. This conjugation-ready format is designed for use with fluorochromes, metal isotopes, oligonucleotides, and enzymes, which makes them ideal for antibody labelling, functional and cell-based assays, flow-based assays (e.g. mass cytometry) and Multiplex Imaging applications.

Use our conjugation kits for antibody conjugates that are ready-to-use in as little as 20 minutes with 1 minute hands-on-time and 100% antibody recovery: available for fluorescent dyes, HRP, biotin and gold.

Compatibility
This product is compatible with the Maxpar® Antibody Labeling Kit from Fluidigm, without the need for antibody preparation. Maxpar® is a trademark of Fluidigm Canada Inc.

Properties and storage information

Form
Liquid
Purification technique
Affinity purification Protein A
Purification notes
Purity is greater than 99%.
Storage buffer
pH: 7.2 - 7.4 Constituents: PBS
Shipped at conditions
Blue Ice
Appropriate short-term storage conditions
+4°C
Appropriate long-term storage conditions
+4°C
Storage information
Do Not Freeze

Supplementary information

This supplementary information is collated from multiple sources and compiled automatically.

The ErbB2 also known as HER2 or HER2 protein is a transmembrane receptor protein with a molecular weight of about 185 kDa. It serves as part of the epidermal growth factor receptor (EGFR) family of receptor tyrosine kinases. The ErbB2 protein is expressed mainly in epithelial tissues including those of the breast and the gastrointestinal tract. It lacks a known ligand-binding domain which sets it apart from other members of its family. Due to its structure ErbB2 dimerizes with other members of the EGFR family to exert its effects in cellular signaling.
Biological function summary

The role of ErbB2 extends beyond a singular function. It becomes an active component when forming heterodimers with other EGFR family members such as ErbB3 to initiate various downstream signaling cascades. The dimerization activates intracellular pathways leading to cell proliferation survival differentiation and migration. Within cells ErbB2 influences processes critical for normal development and tissue homeostasis contributing significantly to signal transduction networks.

Pathways

ErbB2 plays a pivotal role in pathways such as the PI3K/Akt and MAPK/ERK pathways. These pathways are important in mediating cellular responses to growth signals. The PI3K/Akt pathway activated by HER2 signaling regulates cell growth and survival while the MAPK/ERK pathway contributes to cell differentiation and proliferation. ErbB2's interaction with proteins like ErbB3 is fundamental in these pathways increasing the amplitude and diversity of downstream signals.

ErbB2 is significantly associated with breast cancer and gastric cancer. The overexpression or gene amplification of HER2 is observed in approximately 20% of breast cancer cases correlating with aggressive tumor growth and poor prognosis. ErbB2-related signaling contributes to oncogenic processes by promoting excessive cell proliferation. Targeting ErbB2 in these cancers is common using therapies such as monoclonal antibodies like trastuzumab. In the context of gastric cancer the role of ErbB2 mirrors its function in breast cancer and targeting HER2 holds therapeutic potential.

Product protocols

For this product, it's our understanding that no specific protocols are required. You can visit:

Target data

The protein expressed by the ERBB2 gene is a protein tyrosine kinase involved in several cell surface receptor complexes, requiring a coreceptor for ligand binding. It is an essential component of a neuregulin-receptor complex, although neuregulins do not bind to it directly. GP30 is a potential ligand for this receptor. ERBB2 regulates the outgrowth and stabilization of peripheral microtubules (MTs) via the MEMO1-RHOA-DIAPH1 signaling pathway, which, upon activation, phosphorylates and inhibits GSK3B at the cell membrane. This prevents APC and CLASP2 phosphorylation, allowing their association with the cell membrane, facilitating MACF1 localization necessary for microtubule capture and stabilization. In the nucleus, ERBB2 is involved in transcriptional regulation, associating with the 5'-TCAAATTC-3' sequence in the PTGS2/COX-2 promoter to activate transcription. It is implicated in the transcriptional activation of CDKN1A, involving STAT3 and SRC, and participates in the transcription of rRNA genes by RNA Pol I, thereby enhancing protein synthesis and cell growth. This supplementary information is collated from multiple sources and compiled automatically.
See full target information ERBB2

Publications (1)

Recent publications for all applications. Explore the full list and refine your search

Nature communications 14:3728 PubMed37349339

2023

NBEAL2 deficiency in humans leads to low CTLA-4 expression in activated conventional T cells.

Applications

Unspecified application

Species

Unspecified reactive species

Laure Delage,Francesco Carbone,Quentin Riller,Jean-Luc Zachayus,Erwan Kerbellec,Armelle Buzy,Marie-Claude Stolzenberg,Marine Luka,Camille de Cevins,Georges Kalouche,Rémi Favier,Alizée Michel,Sonia Meynier,Aurélien Corneau,Caroline Evrard,Nathalie Neveux,Sébastien Roudières,Brieuc P Pérot,Mathieu Fusaro,Christelle Lenoir,Olivier Pellé,Mélanie Parisot,Marc Bras,Sébastien Héritier,Guy Leverger,Anne-Sophie Korganow,Capucine Picard,Sylvain Latour,Bénédicte Collet,Alain Fischer,Bénédicte Neven,Aude Magérus,Mickaël Ménager,Benoit Pasquier,Frédéric Rieux-Laucat
View all publications

Product promise

We are committed to supporting your work with high-quality reagents, and we're here for you every step of the way. In the unlikely event that one of our products does not perform as expected, you're protected by our Product Promise.
For full details, please see our Terms & Conditions

Please note: All products are 'FOR RESEARCH USE ONLY. NOT FOR USE IN DIAGNOSTIC OR THERAPEUTIC PROCEDURES'.

For licensing inquiries, please contact partnerships@abcam.com