JavaScript is disabled in your browser. Please enable JavaScript to view this website.
AB214275

Anti-ErbB2 / HER2 antibody [EPR19547-12]

5

(3 Reviews)

|

(22 Publications)

Anti-ErbB2 / HER2 antibody [EPR19547-12] (ab214275) is a rabbit monoclonal antibody detecting ErbB2 / HER2 in Western Blot, Flow Cytometry (Intra), Flow Cytometry, IP, IHC-P, ICC/IF, ELISA. Suitable for Human, Mouse, Rat.

- Biophysical QC for unrivalled batch-batch consistency
- Over 10 publications

View Alternative Names

CD340, HER2, MLN19, NEU, NGL, ERBB2, Receptor tyrosine-protein kinase erbB-2, Metastatic lymph node gene 19 protein, Proto-oncogene Neu, Proto-oncogene c-ErbB-2, Tyrosine kinase-type cell surface receptor HER2, p185erbB2, MLN 19

17 Images
Flow Cytometry (Intracellular) - Anti-ErbB2 / HER2 antibody [EPR19547-12] (AB214275)
  • Flow Cyt (Intra)

Lab

Flow Cytometry (Intracellular) - Anti-ErbB2 / HER2 antibody [EPR19547-12] (AB214275)

Flow cytometry overlay histogram showing T-47D cells stained with ab214275 (red line). The cells were fixed with 4% formaldehyde (10 min) and then permeabilised with 0.1% PBS-Triton X-100 for 15 min. The cells were incubated in 1x PBS containing 10% normal goat serum to block non-specific protein-protein interaction followed by the antibody (ab214275) (1x 106 in 100μl at a 1/2500 dilution for 30 min at 22° C.

The secondary antibody Goat Anti-Rabbit IgG H&L (Alexa Fluor® 488) preadsorbed was incubated at a 1/4000 dilution for 30 min at 22° C.

Isotype control antibody was (black line) ab172730 Recombinant Rabbit IgG, monoclonal [EPR25A] - Isotype Control used at the same concentration and conditions as the primary antibody. Unlabelled sample (blue line) was also used as a control.

Acquisition of >5000 events were collected using a 50 mW blue laser (488nm) and 525/40 bandpass filter.

This antibody gave a positive signal in T-47D fixed with 80% methanol (5 min) / permeabilised with 0.1% PBS-Triton X-100 for 15 min under the same conditions.

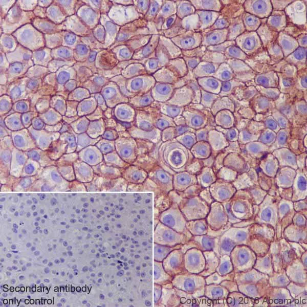
Immunohistochemistry (Formalin/PFA-fixed paraffin-embedded sections) - Anti-ErbB2 / HER2 antibody [EPR19547-12] (AB214275)
  • IHC-P

Supplier Data

Immunohistochemistry (Formalin/PFA-fixed paraffin-embedded sections) - Anti-ErbB2 / HER2 antibody [EPR19547-12] (AB214275)

Immunohistochemical analysis of paraffin-embedded Human breast cancer tissue labeling ErbB 2 with ab214275 at 1/4000 dilution, followed by Goat Anti-Rabbit IgG H&L (HRP) (ab97051) at 1/500 dilution.

Membrane staining on Human breast cancer is observed [PMID : 18437174].

Counter stained with Hematoxylin.

Secondary antibody only control : Used PBS instead of primary antibody, secondary antibody is ab97051 at 1/500 dilution.

Perform heat mediated antigen retrieval with Tris/EDTA buffer pH 9.0 before commencing with IHC staining protocol.

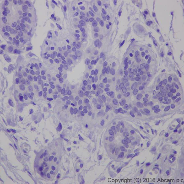
Immunohistochemistry (Formalin/PFA-fixed paraffin-embedded sections) - Anti-ErbB2 / HER2 antibody [EPR19547-12] (AB214275)
  • IHC-P

Supplier Data

Immunohistochemistry (Formalin/PFA-fixed paraffin-embedded sections) - Anti-ErbB2 / HER2 antibody [EPR19547-12] (AB214275)

Immunohistochemical analysis of paraffin-embedded Human breast tissue labeling ErbB 2 with ab214275 at 1/4000 dilution, followed by Goat Anti-Rabbit IgG H&L (HRP) (ab97051) at 1/500 dilution.

Negative control : No staining on normal Human breast [PMID : 15150568].

Counter stained with Hematoxylin.

Perform heat mediated antigen retrieval with Tris/EDTA buffer pH 9.0 before commencing with IHC staining protocol.

Flow Cytometry (Intracellular) - Anti-ErbB2 / HER2 antibody [EPR19547-12] (AB214275)
  • Flow Cyt (Intra)

Supplier Data

Flow Cytometry (Intracellular) - Anti-ErbB2 / HER2 antibody [EPR19547-12] (AB214275)

Intracellular flow cytometric analysis of 4% paraformaldehyde-fixed SK-BR-3 (Human mammary gland adenocarcinoma cell line) cells labeling ErbB 2 with ab214275 at 1/60 dilution (red) compared with a RabbitIgG,monoclonal [EPR25A] - Isotype control (ab172730) (black) and an unlabelled control (cells without incubation with primary antibody and secondary antibody) (blue). Goat anti Rabbit IgG (Alexa Fluor® 488) at 1/2000 dilution was used as the secondary antibody.

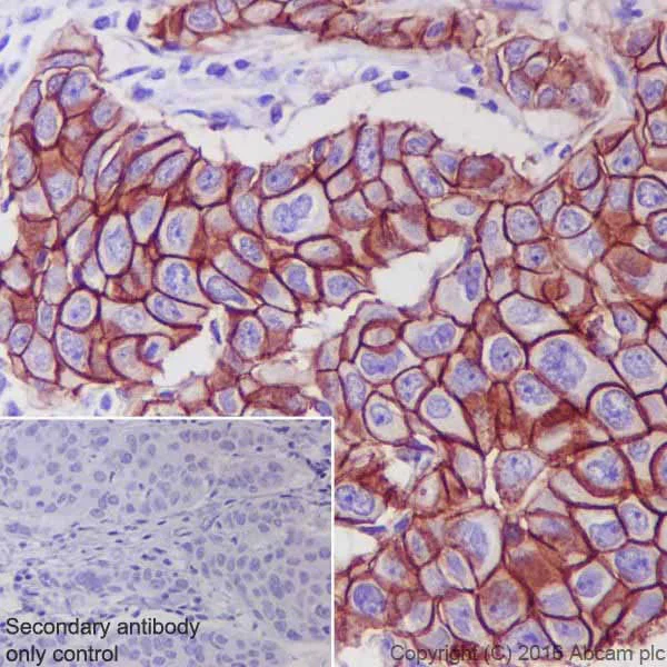
Immunohistochemistry (Formalin/PFA-fixed paraffin-embedded sections) - Anti-ErbB2 / HER2 antibody [EPR19547-12] (AB214275)
  • IHC-P

Supplier Data

Immunohistochemistry (Formalin/PFA-fixed paraffin-embedded sections) - Anti-ErbB2 / HER2 antibody [EPR19547-12] (AB214275)

Immunohistochemical analysis of paraffin-embedded Human breast cancer tissue labeling ErbB 2 with ab214275 at 1/4000 dilution, followed by Goat Anti-Rabbit IgG H&L (HRP) (ab97051) at 1/500 dilution.

Membrane staining on Human breast cancer is observed [PMID : 18437174].

Counter stained with Hematoxylin.

Secondary antibody only control : Used PBS instead of primary antibody, secondary antibody is ab97051 at 1/500 dilution.

Perform heat mediated antigen retrieval with Tris/EDTA buffer pH 9.0 before commencing with IHC staining protocol.

Immunocytochemistry/ Immunofluorescence - Anti-ErbB2 / HER2 antibody [EPR19547-12] (AB214275)
  • ICC/IF

Supplier Data

Immunocytochemistry/ Immunofluorescence - Anti-ErbB2 / HER2 antibody [EPR19547-12] (AB214275)

Immunofluorescent analysis of 100% methanol-fixed SK-BR-3 (Human mammary gland adenocarcinoma cell line) cells labeling ErbB 2 with ab214275 at 1/250 dilution, followed by Goat Anti-Rabbit IgG (Alexa Fluor® 488) (ab150077) secondary antibody at 1/1000 dilution (green).

Confocal image showing membrane staining on SK-BR-3 cells.

The nuclear counterstain is DAPI (blue).

Tubulin is detected with ab195889 Anti-alpha Tubulin antibody [DM1A] - Microtubule Marker (Alexa Fluor® 594) (red).

Secondary antibody only control : Used PBS instead of primary antibody, secondary antibody is Goat anti-rabbit IgG (Alexa Fluor® 488) (ab150077) secondary antibody at 1/1000 dilution.

Immunoprecipitation - Anti-ErbB2 / HER2 antibody [EPR19547-12] (AB214275)
  • IP

Supplier Data

Immunoprecipitation - Anti-ErbB2 / HER2 antibody [EPR19547-12] (AB214275)

ErbB 2 was immunoprecipitated from 0.35 mg of HeLa (Human epithelial cell line from cervix adenocarcinoma) whole cell lysate with ab214275 at 1/30 dilution.

Western blot was performed from the immunoprecipitate using ab214275 at 1/1000 dilution.

VeriBlot for IP Detection Reagent (HRP) (ab131366), was used for detection at 1/1000 dilution

Lane 1 : HeLa whole cell lysate 10μg (Input).

Lane 2 : ab214275 IP in HeLa whole cell lysate.

Lane 3 : Rabbit monoclonal IgG (ab172730) instead of ab214275 in HeLa whole cell lysate.

Blocking and dilution buffer and concentration : 5% NFDM/TBST.

Exposure time : 3 seconds.

All lanes:

Immunoprecipitation - Anti-ErbB2 / HER2 antibody [EPR19547-12] (ab214275)

Predicted band size: 137 kDa

false

Indirect ELISA - Anti-ErbB2 / HER2 antibody [EPR19547-12] (AB214275)
  • I-ELISA

Lab

Indirect ELISA - Anti-ErbB2 / HER2 antibody [EPR19547-12] (AB214275)

ELISA using ab214275 at using 1000 ng/ml an antigen concentration range of 500-0 ng/ml for Human ERBB2 and ERBB4 Recombinant Proteins. Goat Anti-Rabbit IgG (HRL) (1/50000) was used as the secondary antibody. 3,3',5,5'-Tetramethylbenzidine (TMB) used as substrate solution.

Western blot - Anti-ErbB2 / HER2 antibody [EPR19547-12] (AB214275)
  • WB

Supplier Data

Western blot - Anti-ErbB2 / HER2 antibody [EPR19547-12] (AB214275)

Blocking/Dilution buffer : 5% NFDM/TBST. Exposure time : Lane 1 : 3 minutes; Lane 2 : 3 seconds; Lane 3 : 10 seconds. The molecular weight observed is consistent with the literature PMID : 15741050.

All lanes:

Western blot - Anti-ErbB2 / HER2 antibody [EPR19547-12] (ab214275) at 1/1000 dilution

Lane 1:

HeLa (Human epithelial cell line from cervix adenocarcinoma) whole cell lysate at 20 µg

Lane 2:

Sample: A431 (Human epidermoid carcinoma cell line) whole cell lysate at 20 µg

Lane 3:

SK-BR-3 (Human mammary gland adenocarcinoma cell line) whole cell lysate at 20 µg

Secondary

All lanes:

Western blot - Goat Anti-Rabbit IgG H&L (HRP) (<a href='/en-us/products/secondary-antibodies/goat-rabbit-igg-h-l-hrp-ab97051'>ab97051</a>) at 1/100000 dilution

false

Western blot - Anti-ErbB2 / HER2 antibody [EPR19547-12] (AB214275)
  • WB

Supplier Data

Western blot - Anti-ErbB2 / HER2 antibody [EPR19547-12] (AB214275)

ErbB2 / HER2 (phospho Y1221 + Y1222) expression can be induced by EGF treatment (PMID : 7728765).

In Western blot, Anti-Histone H3 antibody [EPR16987] - Nuclear Marker and ChIP Grade (ab176842) staining at 1/100000 dilution.

In Western blot, Anti-ErbB2 / HER2 antibody - Total protein control (ab214275) staining at 1/1000 dilution.

All lanes:

Western blot - Anti-ErbB2 / HER2 (phospho Y1221 + Y1222) antibody [EPR28391-67] (<a href='/en-us/products/primary-antibodies/erbb2-her2-phospho-y1221-y1222-antibody-epr28391-67-ab316758'>ab316758</a>) at 1/1000 dilution

Lane 1:

Untreated HeLa (human cervix adenocarcinoma epithelial cell) starved for 4 hours whole cell lysate (untreated membrane) at 20 µg

Lane 2:

HeLa starved for 4 hours, then treated with /ml EGF for 15 minutes whole cell lysate (untreated membrane) at 20 µg

Lane 3:

HeLa starved for 4 hours, then treated with /ml EGF for 15 minutes whole cell lysate (alkaline phosphatase treated membrane) at 20 µg

Secondary

All lanes:

Western blot - Goat Anti-Rabbit IgG H&L (HRP) (<a href='/en-us/products/secondary-antibodies/goat-rabbit-igg-h-l-hrp-ab97051'>ab97051</a>) at 1/100000 dilution

Observed band size: 180 kDa,15 kDa

false

Exposure time: 81s

Western blot - Anti-ErbB2 / HER2 antibody [EPR19547-12] (AB214275)
  • WB

Supplier Data

Western blot - Anti-ErbB2 / HER2 antibody [EPR19547-12] (AB214275)

In Western blot, Anti-Histone H3 antibody [EPR16987] - Nuclear Marker and ChIP Grade (ab176842) staining at 1/100000 dilution.

In Western blot, Anti-ErbB2 / HER2 antibody - Total protein control (ab214275) staining at 1/1000 dilution.

All lanes:

Western blot - Anti-ErbB2 / HER2 (phospho Y1221 + Y1222) antibody [EPR28391-67] (<a href='/en-us/products/primary-antibodies/erbb2-her2-phospho-y1221-y1222-antibody-epr28391-67-ab316758'>ab316758</a>) at 1/1000 dilution

Lane 1:

Untreated T47D (human ductal breast epithelial tumor epithelial cell) starved for 4 hours whole cell lysate (untreated membrane) at 20 µg

Lane 2:

T47D starved for 4 hours, then treated with /ml Neuregulin for 10 minutes whole cell lysate (untreated membrane) at 20 µg

Lane 3:

T47D starved for 4 hours, then treated with /ml Neuregulin for 10 minutes whole cell lysate (alkaline phosphatase treated membrane) at 20 µg

Secondary

All lanes:

Western blot - Goat Anti-Rabbit IgG H&L (HRP) (<a href='/en-us/products/secondary-antibodies/goat-rabbit-igg-h-l-hrp-ab97051'>ab97051</a>) at 1/100000 dilution

Observed band size: 180 kDa,15 kDa

false

Exposure time: 103s

Western blot - Anti-ErbB2 / HER2 antibody [EPR19547-12] (AB214275)
  • WB

Supplier Data

Western blot - Anti-ErbB2 / HER2 antibody [EPR19547-12] (AB214275)

ErbB2 / HER2 (phospho Y1221 + Y1222) expression can be downregulated by lapatinib treatment (PMID : 27738326).

In Western blot, Anti-GAPDH antibody [EPR16891] - Loading Control (ab181602) staining at 1/200000 dilution.

In Western blot, Anti-ErbB2 / HER2 antibody - Total protein control (ab214275) staining at 1/1000 dilution.

All lanes:

Western blot - Anti-ErbB2 / HER2 (phospho Y1221 + Y1222) antibody [EPR28391-67] (<a href='/en-us/products/primary-antibodies/erbb2-her2-phospho-y1221-y1222-antibody-epr28391-67-ab316758'>ab316758</a>) at 1/1000 dilution

Lane 1:

Untreated SK-BR-3 (human breast adenocarcinoma epithelial cell) whole cell lysate at 40 µg

Lane 2:

SK-BR-3 treated with 5uM lapatinib for 24 hours whole cell lysate at 40 µg

Secondary

All lanes:

Western blot - Goat Anti-Rabbit IgG H&L (HRP) (<a href='/en-us/products/secondary-antibodies/goat-rabbit-igg-h-l-hrp-ab97051'>ab97051</a>) at 1/100000 dilution

Observed band size: 180 kDa,36 kDa

false

Exposure time: 180s

Western blot - Anti-ErbB2 / HER2 antibody [EPR19547-12] (AB214275)
  • WB

Supplier Data

Western blot - Anti-ErbB2 / HER2 antibody [EPR19547-12] (AB214275)

Blocking/Dilution buffer : 5% NFDM/TBST. The molecular weight is consist with literature PMID : 15741050.

All lanes:

Western blot - Anti-ErbB2 / HER2 antibody [EPR19547-12] (ab214275) at 1/2000 dilution

All lanes:

Human breast cancer lysate at 10 µg

false

Western blot - Anti-ErbB2 / HER2 antibody [EPR19547-12] (AB214275)
  • WB

Supplier Data

Western blot - Anti-ErbB2 / HER2 antibody [EPR19547-12] (AB214275)

Lysates were freshly made and used for Western blotting immediately to minimize protein degradation.

In Western blot, Anti-GAPDH antibody [EPR16891] - Loading Control (ab181602) staining at 1/200000 dilution.

In Western blot, Anti-ErbB2 / HER2 antibody - Total protein control (ab214275) staining at 1/1000 dilution.

All lanes:

Western blot - Anti-ErbB2 / HER2 (phospho Y1221 + Y1222) antibody [EPR28391-67] (<a href='/en-us/products/primary-antibodies/erbb2-her2-phospho-y1221-y1222-antibody-epr28391-67-ab316758'>ab316758</a>) at 1/1000 dilution

Lane 1:

SK-BR-3 (human breast adenocarcinoma epithelial cell) whole cell lysate (untreated membrane) at 20 µg

Lane 2:

SK-BR-3 (human breast adenocarcinoma epithelial cell) whole cell lysate (alkaline phosphatase treated membrane) at 20 µg

Secondary

All lanes:

Western blot - Goat Anti-Rabbit IgG H&L (HRP) (<a href='/en-us/products/secondary-antibodies/goat-rabbit-igg-h-l-hrp-ab97051'>ab97051</a>) at 1/100000 dilution

Observed band size: 180 kDa,36 kDa

false

Exposure time: 92s

Western blot - Anti-ErbB2 / HER2 antibody [EPR19547-12] (AB214275)
  • WB

Supplier Data

Western blot - Anti-ErbB2 / HER2 antibody [EPR19547-12] (AB214275)

Blocking/Dilution buffer : 5% NFDM/TBST. The molecular weight is consist with literature PMID : 15741050.

All lanes:

Western blot - Anti-ErbB2 / HER2 antibody [EPR19547-12] (ab214275) at 10 µg

Lane 1:

C6 (Rat glial tumor cell line) whole cell lysate at 10 µg

Lane 2:

PC-12 (Rat adrenal gland pheochromocytoma cell line) whole cell lysate at 10 µg

Secondary

All lanes:

Western blot - Goat Anti-Rabbit IgG H&L (HRP) (<a href='/en-us/products/secondary-antibodies/goat-rabbit-igg-h-l-hrp-ab97051'>ab97051</a>) at 1/100000 dilution

false

Western blot - Anti-ErbB2 / HER2 antibody [EPR19547-12] (AB214275)
  • WB

Supplier Data

Western blot - Anti-ErbB2 / HER2 antibody [EPR19547-12] (AB214275)

Blocking and diluting buffer : 5% NFDM/TBST.

All lanes:

Western blot - Anti-ErbB2 / HER2 antibody [EPR19547-12] (ab214275)

All lanes:

4T1 (Mouse mammary gland carcinoma epithelial cell) whole cell lysate at 20 µg

Secondary

All lanes:

Western blot - Goat Anti-Rabbit IgG H&L (HRP) (<a href='/en-us/products/secondary-antibodies/goat-rabbit-igg-h-l-hrp-ab97051'>ab97051</a>) at 1/20000 dilution

false

Western blot - Anti-ErbB2 / HER2 antibody [EPR19547-12] (AB214275)
  • WB

Lab

Western blot - Anti-ErbB2 / HER2 antibody [EPR19547-12] (AB214275)

Blocking and dilution buffer and concentration : 5% NFDM/TBST. Exposure time : 180 seconds. This antibody could recognize ErbB2 and weak cross reaction with ErbB4.

Lanes 1 - 2:

Western blot - Anti-ErbB2 / HER2 antibody [EPR19547-12] (ab214275) at 1/1000 dilution

Lanes 1 - 2:

Western blot - Anti-ErbB2 / HER2 antibody [EPR19547-12] - BSA and Azide free (<a href='/en-us/products/primary-antibodies/erbb2-her2-antibody-epr19547-12-bsa-and-azide-free-ab222482'>ab222482</a>) at 1/1000 dilution

Lane 1:

His-tagged Recombinant Human ErbB2 protein (aa676-1255)

Lane 2:

His-tagged Recombinant Human ErbB4 protein (aa676-1308)

Secondary

All lanes:

Western blot - Goat Anti-Rabbit IgG H&L (HRP) (<a href='/en-us/products/secondary-antibodies/goat-rabbit-igg-h-l-hrp-ab97051'>ab97051</a>) at 1/20000 dilution

Predicted band size: 137 kDa

Observed band size: 90 kDa,80 kDa

false

  • 578 PE

    PE Anti-ErbB2 / HER2 antibody [EPR19547-12]

  • 519 Alexa Fluor® 488

    Alexa Fluor® 488 Anti-ErbB2 / HER2 antibody [EPR19547-12]

  • Carrier free

    Anti-ErbB2 / HER2 antibody [EPR19547-12] - BSA and Azide free

  • 665 Alexa Fluor® 647

    Alexa Fluor® 647 Anti-ErbB2 / HER2 antibody [EPR19547-12]

Key facts

Host species

Rabbit

Clonality

Monoclonal

Clone number

EPR19547-12

Isotype

IgG

Carrier free

No

Reacts with

Mouse, Rat, Human

Applications

Flow Cyt (Intra), I-ELISA, IHC-P, IP, ICC/IF, WB

applications

Immunogen

The exact immunogen used to generate this antibody is proprietary information.

Specificity

Only reacts with weakly in mouse 4T1 cells.
This antibody could recognize ErbB2 and weak cross reaction with ErbB4.&nbsp;
Mouse and rat species are recommended based on WB results, we do not guarantee IHC-P for mouse and rat.

Reactivity data

{ "title": "Reactivity Data", "filters": { "stats": ["", "Species", "Dilution Info", "Notes"], "tabs": { "all-applications": {"fullname" : "All Applications", "shortname": "All Applications"}, "IELISA" : {"fullname" : "Indirect ELISA", "shortname":"I-ELISA"}, "IP" : {"fullname" : "Immunoprecipitation", "shortname":"IP"}, "WB" : {"fullname" : "Western blot", "shortname":"WB"}, "ICCIF" : {"fullname" : "Immunocytochemistry/ Immunofluorescence", "shortname":"ICC/IF"}, "FlowCytIntra" : {"fullname" : "Flow Cytometry (Intracellular)", "shortname":"Flow Cyt (Intra)"}, "IHCP" : {"fullname" : "Immunohistochemistry (Formalin/PFA-fixed paraffin-embedded sections)", "shortname":"IHC-P"} }, "product-promise": { "all": "all", "testedAndGuaranteed": "tested", "guaranteed": "expected", "predicted": "predicted", "notRecommended": "not-recommended" } }, "values": { "Human": { "IELISA-species-checked": "guaranteed", "IELISA-species-dilution-info": "", "IELISA-species-notes": "", "IP-species-checked": "testedAndGuaranteed", "IP-species-dilution-info": "1/30", "IP-species-notes": "<p></p>", "WB-species-checked": "testedAndGuaranteed", "WB-species-dilution-info": "1/1000", "WB-species-notes": "<p></p>", "ICCIF-species-checked": "testedAndGuaranteed", "ICCIF-species-dilution-info": "1/250", "ICCIF-species-notes": "<p></p>", "FlowCytIntra-species-checked": "testedAndGuaranteed", "FlowCytIntra-species-dilution-info": "1/60", "FlowCytIntra-species-notes": "<p><a href='/en-us/products/primary-antibodies/rabbit-igg-monoclonal-epr25a-isotype-control-ab172730'>ab172730</a> - Rabbit monoclonal IgG, is suitable for use as an isotype control with this antibody.</p>", "IHCP-species-checked": "testedAndGuaranteed", "IHCP-species-dilution-info": "1/4000", "IHCP-species-notes": "<p></p> Perform heat-mediated antigen retrieval with Tris/EDTA buffer pH 9.0 before commencing with IHC staining protocol." }, "Mouse": { "IELISA-species-checked": "guaranteed", "IELISA-species-dilution-info": "", "IELISA-species-notes": "", "IP-species-checked": "guaranteed", "IP-species-dilution-info": "1/30", "IP-species-notes": "<p></p>", "WB-species-checked": "testedAndGuaranteed", "WB-species-dilution-info": "1/1000", "WB-species-notes": "<p></p>", "ICCIF-species-checked": "guaranteed", "ICCIF-species-dilution-info": "", "ICCIF-species-notes": "", "FlowCytIntra-species-checked": "guaranteed", "FlowCytIntra-species-dilution-info": "1/60", "FlowCytIntra-species-notes": "<p><a href='/en-us/products/primary-antibodies/rabbit-igg-monoclonal-epr25a-isotype-control-ab172730'>ab172730</a> - Rabbit monoclonal IgG, is suitable for use as an isotype control with this antibody.</p>", "IHCP-species-checked": "guaranteed", "IHCP-species-dilution-info": "1/4000", "IHCP-species-notes": "<p></p> Perform heat-mediated antigen retrieval with Tris/EDTA buffer pH 9.0 before commencing with IHC staining protocol." }, "Rat": { "IELISA-species-checked": "guaranteed", "IELISA-species-dilution-info": "", "IELISA-species-notes": "", "IP-species-checked": "guaranteed", "IP-species-dilution-info": "1/30", "IP-species-notes": "<p></p>", "WB-species-checked": "testedAndGuaranteed", "WB-species-dilution-info": "1/1000", "WB-species-notes": "<p></p>", "ICCIF-species-checked": "guaranteed", "ICCIF-species-dilution-info": "1/250", "ICCIF-species-notes": "<p></p>", "FlowCytIntra-species-checked": "guaranteed", "FlowCytIntra-species-dilution-info": "1/60", "FlowCytIntra-species-notes": "<p><a href='/en-us/products/primary-antibodies/rabbit-igg-monoclonal-epr25a-isotype-control-ab172730'>ab172730</a> - Rabbit monoclonal IgG, is suitable for use as an isotype control with this antibody.</p>", "IHCP-species-checked": "guaranteed", "IHCP-species-dilution-info": "1/4000", "IHCP-species-notes": "<p></p> Perform heat-mediated antigen retrieval with Tris/EDTA buffer pH 9.0 before commencing with IHC staining protocol." }, "Recombinant fragment - Human": { "IELISA-species-checked": "notRecommended", "IELISA-species-dilution-info": "", "IELISA-species-notes": "", "IP-species-checked": "notRecommended", "IP-species-dilution-info": "", "IP-species-notes": "", "WB-species-checked": "testedAndGuaranteed", "WB-species-dilution-info": "1/1000", "WB-species-notes": "<p></p>", "ICCIF-species-checked": "notRecommended", "ICCIF-species-dilution-info": "", "ICCIF-species-notes": "", "FlowCytIntra-species-checked": "notRecommended", "FlowCytIntra-species-dilution-info": "", "FlowCytIntra-species-notes": "", "IHCP-species-checked": "notRecommended", "IHCP-species-dilution-info": "", "IHCP-species-notes": "" }, "Recombinant full length protein - Human": { "IELISA-species-checked": "testedAndGuaranteed", "IELISA-species-dilution-info": "", "IELISA-species-notes": "<p></p>", "IP-species-checked": "notRecommended", "IP-species-dilution-info": "", "IP-species-notes": "", "WB-species-checked": "notRecommended", "WB-species-dilution-info": "", "WB-species-notes": "", "ICCIF-species-checked": "notRecommended", "ICCIF-species-dilution-info": "", "ICCIF-species-notes": "", "FlowCytIntra-species-checked": "notRecommended", "FlowCytIntra-species-dilution-info": "", "FlowCytIntra-species-notes": "", "IHCP-species-checked": "notRecommended", "IHCP-species-dilution-info": "", "IHCP-species-notes": "" }, "Recombinant full length protein - Mouse": { "IELISA-species-checked": "guaranteed", "IELISA-species-dilution-info": "", "IELISA-species-notes": "<p></p>", "IP-species-checked": "notRecommended", "IP-species-dilution-info": "", "IP-species-notes": "", "WB-species-checked": "notRecommended", "WB-species-dilution-info": "", "WB-species-notes": "", "ICCIF-species-checked": "notRecommended", "ICCIF-species-dilution-info": "", "ICCIF-species-notes": "", "FlowCytIntra-species-checked": "notRecommended", "FlowCytIntra-species-dilution-info": "", "FlowCytIntra-species-notes": "", "IHCP-species-checked": "notRecommended", "IHCP-species-dilution-info": "", "IHCP-species-notes": "" } } }

Product details

What is this antibody validated in?
Anti-ErbB2 / HER2 antibody [EPR19547-12] (ab214275) is a rabbit recombinant monoclonal antibody and is validated for use in Western Blot (WB), Flow Cytometry (Intra), Flow Cytometry (Flow Cyt), Immunoprecipitation (IP), Immunohistochemistry (IHC-P), Immunocytochemistry/immunofluorescence (ICC/IF), ELISA in Human, Mouse, Rat samples.

What is the molecular weight of ErbB2 / HER2?
Anti-ErbB2 / HER2 [EPR19547-12] (ab214275) specifically detects a band for ErbB2 / HER2 (UniProt: P04626) at a molecular weight of 137kDa.

Trusted by the scientific community
Anti-ErbB2 / HER2 [EPR19547-12] (ab214275) was first used in a scientific publication in 2016 and has been cited over 10 times in peer-reviewed journals.

Trial sizes available!
Test your antibody or perform pre-screening before committing to a larger quantity. Sold in 10µl. Discover our selection of trial-size antibodies.

Other related products
We have a range of other formats of antibody clone [EPR19547-12] also available for your convenience: ab214275, Carrier free - ab222482, PE - ab225508, Alexa Fluor® 488 - ab225509, Alexa Fluor® 647 - ab225510

Patented technology
Our RabMAb® technology is a patented hybridoma-based technology for making rabbit monoclonal antibodies. For details on our patents, please refer to RabMAb® patents.

What are the advantages of a recombinant monoclonal antibody?
This product is a recombinant monoclonal antibody, which offers several advantages including:

  • - High batch-to-batch consistency and reproducibility
  • - Improved sensitivity and specificity
  • - Long-term security of supply
  • - Animal-free batch production

For more information, read more on recombinant antibodies.

Properties and storage information

Form
Liquid
Purification technique
Affinity purification Protein A
Storage buffer
pH: 7.2 - 7.4 Preservative: 0.01% Sodium azide Constituents: PBS, 40% Glycerol (glycerin, glycerine), 0.05% BSA
Shipped at conditions
Blue Ice
Appropriate short-term storage duration
1-2 weeks
Appropriate short-term storage conditions
+4°C
Appropriate long-term storage conditions
-20°C
Aliquoting information
Upon delivery aliquot
Storage information
Avoid freeze / thaw cycle

Supplementary information

This supplementary information is collated from multiple sources and compiled automatically.

The ErbB2 also known as HER2 or HER2 protein is a transmembrane receptor protein with a molecular weight of about 185 kDa. It serves as part of the epidermal growth factor receptor (EGFR) family of receptor tyrosine kinases. The ErbB2 protein is expressed mainly in epithelial tissues including those of the breast and the gastrointestinal tract. It lacks a known ligand-binding domain which sets it apart from other members of its family. Due to its structure ErbB2 dimerizes with other members of the EGFR family to exert its effects in cellular signaling.
Biological function summary

The role of ErbB2 extends beyond a singular function. It becomes an active component when forming heterodimers with other EGFR family members such as ErbB3 to initiate various downstream signaling cascades. The dimerization activates intracellular pathways leading to cell proliferation survival differentiation and migration. Within cells ErbB2 influences processes critical for normal development and tissue homeostasis contributing significantly to signal transduction networks.

Pathways

ErbB2 plays a pivotal role in pathways such as the PI3K/Akt and MAPK/ERK pathways. These pathways are important in mediating cellular responses to growth signals. The PI3K/Akt pathway activated by HER2 signaling regulates cell growth and survival while the MAPK/ERK pathway contributes to cell differentiation and proliferation. ErbB2's interaction with proteins like ErbB3 is fundamental in these pathways increasing the amplitude and diversity of downstream signals.

ErbB2 is significantly associated with breast cancer and gastric cancer. The overexpression or gene amplification of HER2 is observed in approximately 20% of breast cancer cases correlating with aggressive tumor growth and poor prognosis. ErbB2-related signaling contributes to oncogenic processes by promoting excessive cell proliferation. Targeting ErbB2 in these cancers is common using therapies such as monoclonal antibodies like trastuzumab. In the context of gastric cancer the role of ErbB2 mirrors its function in breast cancer and targeting HER2 holds therapeutic potential.

Product protocols

For this product, it's our understanding that no specific protocols are required. You can visit:

Target data

The protein expressed by the ERBB2 gene is a protein tyrosine kinase involved in several cell surface receptor complexes, requiring a coreceptor for ligand binding. It is an essential component of a neuregulin-receptor complex, although neuregulins do not bind to it directly. GP30 is a potential ligand for this receptor. ERBB2 regulates the outgrowth and stabilization of peripheral microtubules (MTs) via the MEMO1-RHOA-DIAPH1 signaling pathway, which, upon activation, phosphorylates and inhibits GSK3B at the cell membrane. This prevents APC and CLASP2 phosphorylation, allowing their association with the cell membrane, facilitating MACF1 localization necessary for microtubule capture and stabilization. In the nucleus, ERBB2 is involved in transcriptional regulation, associating with the 5'-TCAAATTC-3' sequence in the PTGS2/COX-2 promoter to activate transcription. It is implicated in the transcriptional activation of CDKN1A, involving STAT3 and SRC, and participates in the transcription of rRNA genes by RNA Pol I, thereby enhancing protein synthesis and cell growth. This supplementary information is collated from multiple sources and compiled automatically.
See full target information ERBB2

Publications (22)

Recent publications for all applications. Explore the full list and refine your search

NPJ precision oncology 9:4 PubMed39762482

2025

Mechanisms of KRAS inhibitor resistance in KRAS-mutant colorectal cancer harboring Her2 amplification and aberrant KRAS localization.

Applications

Unspecified application

Species

Unspecified reactive species

Kohei Maruyama,Yuki Shimizu,Yumi Nomura,Tomoko Oh-Hara,Yuki Takahashi,Satoshi Nagayama,Naoya Fujita,Ryohei Katayama

Molecular diagnosis & therapy 29:103-115 PubMed39485665

2024

Targeted Therapy in Salivary Gland Cancer: Prevalence of a Selected Panel of Actionable Molecular Alterations in a German Tertiary Referral Center Patient Cohort.

Applications

Unspecified application

Species

Unspecified reactive species

Maximilian Linxweiler,Silke Wemmert,Felix Leon Braun,Sandrina Körner,Lukas Alexander Brust,Moritz Knebel,Gilbert Georg Klamminger,Mathias Wagner,Luc G T Morris,Jan Philipp Kühn

EBioMedicine 109:105379 PubMed39368454

2024

Pyrotinib and trastuzumab combination treatment synergistically overcomes HER2 dependency in HER2-positive breast cancer: insights from the PHILA trial.

Applications

Unspecified application

Species

Unspecified reactive species

Shuning Liu,Bo Lan,Yuanyi Wang,Tao Yang,Lixi Li,Hewei Ge,Cheng Zeng,Binghe Xu,Haili Qian,Fei Ma

Nanoscale advances 6:4385-4393 PubMed39170968

2024

Multiplexed immunolabelling of cancer using bioconjugated plasmonic gold-silver alloy nanoparticles.

Applications

Unspecified application

Species

Unspecified reactive species

Cécile Darviot,Bryan Gosselin,Flavie Martin,Sergiy Patskovsky,Ivan Jabin,Gilles Bruylants,Dominique Trudel,Michel Meunier

American journal of nuclear medicine and molecular imaging 14:175-181 PubMed39027646

2024

Radiosynthesis and preclinical evaluations of [F]AlF-RESCA-5F7 as a novel molecular probe for HER2 tumor imaging.

Applications

Unspecified application

Species

Unspecified reactive species

Ruhua Tian,Jinping Kong,Yingfang He,Guoqiang Xu,Tengxiang Chen,Junbin Han

Asian Pacific journal of cancer prevention : APJCP 25:617-626 PubMed38415549

2024

The Role of Beclin 1 and HER2 in Colorectal Carcinoma; An Immunohistochemical Study.

Applications

Unspecified application

Species

Unspecified reactive species

Marwa Salah Gadallah,Marwa Dawood,Asmaa Abdou

Journal of oral pathology & medicine : official publication of the International Association of Oral Pathologists and the American Academy of Oral Pathology 52:786-794 PubMed37489271

2023

Hypoxia caused by unilateral nasal obstruction decreases mandibular density in rats through inhibition of Cyp1a1 expression.

Applications

Unspecified application

Species

Unspecified reactive species

Yixin Xu,Yixin Wang,Hui Xiao,Yongming Li

Journal of thoracic disease 15:2167-2183 PubMed37197505

2023

Cyclin O promotes lung cancer progression and cetuximab resistance via cell cycle regulation and interaction.

Applications

Unspecified application

Species

Unspecified reactive species

Jin Jiang,Wenhao Yu,Tao Fang,Yongmeng Li,Jinghui Liang,Renchang Zhao,Zitong Feng,Jiang Wang,Hui Tian

Scientific reports 13:6847 PubMed37100835

2023

Liquid crystal-assisted optical biosensor for early-stage diagnosis of mammary glands using HER-2.

Applications

Unspecified application

Species

Unspecified reactive species

Mehri H Pourasl,Ali Vahedi,Habib Tajalli,Balal Khalilzadeh,Farzaneh Bayat

Acta pharmaceutica Sinica. B 13:955-966 PubMed36970191

2023

Nanoparticles (NPs)-mediated systemic mRNA delivery to reverse trastuzumab resistance for effective breast cancer therapy.

Applications

Unspecified application

Species

Unspecified reactive species

Zhihui Dong,Zhuoshan Huang,Senlin Li,Ying Wang,Yandan Yao,Xianzhu Yang,Xiaoding Xu
View all publications

Product promise

We are committed to supporting your work with high-quality reagents, and we're here for you every step of the way. In the unlikely event that one of our products does not perform as expected, you're protected by our Product Promise.
For full details, please see our Terms & Conditions

Please note: All products are 'FOR RESEARCH USE ONLY. NOT FOR USE IN DIAGNOSTIC OR THERAPEUTIC PROCEDURES'.

For licensing inquiries, please contact partnerships@abcam.com