JavaScript is disabled in your browser. Please enable JavaScript to view this website.
AB222482

Anti-ErbB2 / HER2 antibody [EPR19547-12] - BSA and Azide free

Be the first to review this product! Submit a review

|

(2 Publications)

Anti-ErbB2 / HER2 antibody [EPR19547-12] - BSA and Azide free (ab222482) is a rabbit recombinant monoclonal antibody for Western Blot, Flow Cytometry (Intra), Flow Cytometry, IP, IHC-P, ICC/IF, ELISA. Suitable for Human, Mouse, Rat.

- BSA, sodium azide, and glycerol-free for easy conjugation
- Biophysical QC for unrivalled batch-batch consistency

View Alternative Names

CD340, HER2, MLN19, NEU, NGL, ERBB2, Receptor tyrosine-protein kinase erbB-2, Metastatic lymph node gene 19 protein, Proto-oncogene Neu, Proto-oncogene c-ErbB-2, Tyrosine kinase-type cell surface receptor HER2, p185erbB2, MLN 19

13 Images
Flow Cytometry (Intracellular) - Anti-ErbB2 / HER2 antibody [EPR19547-12] - BSA and Azide free (AB222482)
  • Flow Cyt (Intra)

Lab

Flow Cytometry (Intracellular) - Anti-ErbB2 / HER2 antibody [EPR19547-12] - BSA and Azide free (AB222482)

Flow cytometry overlay histogram showing T-47D cells stained with ab214275 (red line). The cells were fixed with 4% formaldehyde (10 min) and then permeabilised with 0.1% PBS-Triton X-100 for 15 min. The cells were incubated in 1x PBS containing 10% normal goat serum to block non-specific protein-protein interaction followed by the antibody (ab214275) (1x 106 in 100μl at a 1/2500 dilution for 30 min at 22° C.

The secondary antibody Goat Anti-Rabbit IgG H&L (Alexa Fluor® 488) preadsorbed was incubated at a 1/4000 dilution for 30 min at 22° C.

Isotype control antibody was (black line) ab172730 Recombinant Rabbit IgG, monoclonal [EPR25A] - Isotype Control used at the same concentration and conditions as the primary antibody. Unlabelled sample (blue line) was also used as a control.

Acquisition of >5000 events were collected using a 50 mW blue laser (488nm) and 525/40 bandpass filter.

This antibody gave a positive signal in T-47D fixed with 80% methanol (5 min) / permeabilised with 0.1% PBS-Triton X-100 for 15 min under the same conditions.

This data was developed using the same antibody clone in a different buffer formulation containing PBS, BSA, glycerol, and sodium azide (ab214275).

Immunocytochemistry/ Immunofluorescence - Anti-ErbB2 / HER2 antibody [EPR19547-12] - BSA and Azide free (AB222482)
  • ICC/IF

Supplier Data

Immunocytochemistry/ Immunofluorescence - Anti-ErbB2 / HER2 antibody [EPR19547-12] - BSA and Azide free (AB222482)

Immunofluorescent analysis of 100% methanol-fixed SK-BR-3 (Human mammary gland adenocarcinoma cell line) cells labeling ErbB2 / HER2 with ab214275 at 1/250 dilution, followed by Goat Anti-Rabbit IgG (Alexa Fluor® 488) (ab150077) secondary antibody at 1/1000 dilution (green).

Confocal image showing membrane staining on SK-BR-3 cells.

The nuclear counterstain is DAPI (blue).

Tubulin is detected with ab195889 Anti-alpha Tubulin antibody [DM1A] - Microtubule Marker (Alexa Fluor® 594) (red).

Secondary antibody only control : Used PBS instead of primary antibody, secondary antibody is Goat anti-rabbit IgG (Alexa Fluor® 488) (ab150077) secondary antibody at 1/1000 dilution.

This data was developed using the same antibody clone in a different buffer formulation containing PBS, BSA, glycerol, and sodium azide (ab214275).

Immunohistochemistry (Formalin/PFA-fixed paraffin-embedded sections) - Anti-ErbB2 / HER2 antibody [EPR19547-12] - BSA and Azide free (AB222482)
  • IHC-P

Supplier Data

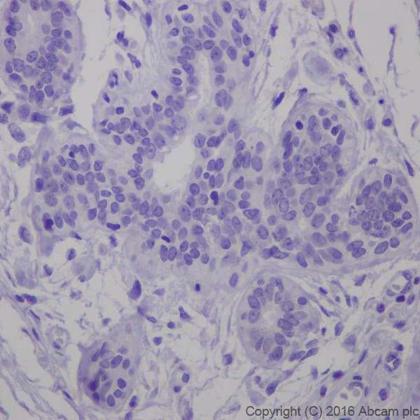
Immunohistochemistry (Formalin/PFA-fixed paraffin-embedded sections) - Anti-ErbB2 / HER2 antibody [EPR19547-12] - BSA and Azide free (AB222482)

Immunohistochemical analysis of paraffin-embedded Human breast tissue labeling ErbB2 / HER2 with ab214275 at 1/4000 dilution, followed by Goat Anti-Rabbit IgG H&L (HRP) (ab97051) at 1/500 dilution.

Negative control : No staining on normal Human breast [PMID : 15150568].

Counter stained with Hematoxylin.

This data was developed using the same antibody clone in a different buffer formulation containing PBS, BSA, glycerol, and sodium azide (ab214275).

Perform heat mediated antigen retrieval with Tris/EDTA buffer pH 9.0 before commencing with IHC staining protocol.

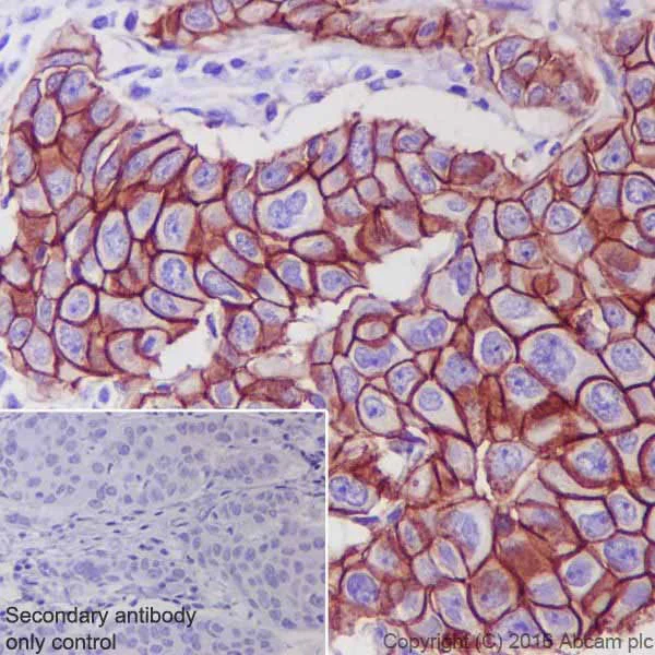
Immunohistochemistry (Formalin/PFA-fixed paraffin-embedded sections) - Anti-ErbB2 / HER2 antibody [EPR19547-12] - BSA and Azide free (AB222482)
  • IHC-P

Supplier Data

Immunohistochemistry (Formalin/PFA-fixed paraffin-embedded sections) - Anti-ErbB2 / HER2 antibody [EPR19547-12] - BSA and Azide free (AB222482)

Immunohistochemical analysis of paraffin-embedded Human breast cancer tissue labeling ErbB2 / HER2 with ab214275 at 1/4000 dilution, followed by Goat Anti-Rabbit IgG H&L (HRP) (ab97051) at 1/500 dilution.

Membrane staining on Human breast cancer is observed [PMID : 18437174].

Counter stained with Hematoxylin.

Secondary antibody only control : Used PBS instead of primary antibody, secondary antibody is ab97051 at 1/500 dilution.

This data was developed using the same antibody clone in a different buffer formulation containing PBS, BSA, glycerol, and sodium azide (ab214275).

Perform heat mediated antigen retrieval with Tris/EDTA buffer pH 9.0 before commencing with IHC staining protocol.

Flow Cytometry (Intracellular) - Anti-ErbB2 / HER2 antibody [EPR19547-12] - BSA and Azide free (AB222482)
  • Flow Cyt (Intra)

Supplier Data

Flow Cytometry (Intracellular) - Anti-ErbB2 / HER2 antibody [EPR19547-12] - BSA and Azide free (AB222482)

Intracellular flow cytometric analysis of 4% paraformaldehyde-fixed SK-BR-3 (Human mammary gland adenocarcinoma cell line) cells labeling ErbB2 / HER2 with ab214275 at 1/60 dilution (red) compared with a RabbitIgG,monoclonal [EPR25A] - Isotype control (ab172730) (black) and an unlabelled control (cells without incubation with primary antibody and secondary antibody) (blue). Goat anti Rabbit IgG (Alexa Fluor® 488) at 1/2000 dilution was used as the secondary antibody.

This data was developed using the same antibody clone in a different buffer formulation containing PBS, BSA, glycerol, and sodium azide (ab214275).

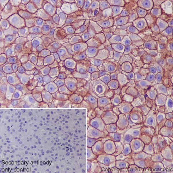
Immunohistochemistry (Formalin/PFA-fixed paraffin-embedded sections) - Anti-ErbB2 / HER2 antibody [EPR19547-12] - BSA and Azide free (AB222482)
  • IHC-P

Supplier Data

Immunohistochemistry (Formalin/PFA-fixed paraffin-embedded sections) - Anti-ErbB2 / HER2 antibody [EPR19547-12] - BSA and Azide free (AB222482)

Immunohistochemical analysis of paraffin-embedded Human breast cancer tissue labeling ErbB 2 with ab214275 at 1/4000 dilution, followed by Goat Anti-Rabbit IgG H&L (HRP) (ab97051) at 1/500 dilution.

Membrane staining on Human breast cancer is observed [PMID : 18437174].

Counter stained with Hematoxylin.

Secondary antibody only control : Used PBS instead of primary antibody, secondary antibody is ab97051 at 1/500 dilution.

This data was developed using the same antibody clone in a different buffer formulation containing PBS, BSA, glycerol, and sodium azide (ab214275).

Perform heat mediated antigen retrieval with Tris/EDTA buffer pH 9.0 before commencing with IHC staining protocol.

Immunoprecipitation - Anti-ErbB2 / HER2 antibody [EPR19547-12] - BSA and Azide free (AB222482)
  • IP

Supplier Data

Immunoprecipitation - Anti-ErbB2 / HER2 antibody [EPR19547-12] - BSA and Azide free (AB222482)

ErbB2 / HER2 was immunoprecipitated from 0.35 mg of HeLa (Human epithelial cell line from cervix adenocarcinoma) whole cell lysate with ab214275 at 1/30 dilution.

Western blot was performed from the immunoprecipitate using ab214275 at 1/1000 dilution.

VeriBlot for IP Detection Reagent (HRP) (ab131366), was used for detection at 1/1000 dilution.

Lane 1 : HeLa whole cell lysate 10μg (Input).

Lane 2 : ab214275 IP in HeLa whole cell lysate.

Lane 3 : Rabbit monoclonal IgG (ab172730) instead of ab214275 in HeLa whole cell lysate.

Blocking and dilution buffer and concentration : 5% NFDM/TBST.

Exposure time : 3 seconds.

This data was developed using the same antibody clone in a different buffer formulation containing PBS, BSA, glycerol, and sodium azide (ab214275).

All lanes:

Immunoprecipitation - Anti-ErbB2 / HER2 antibody [EPR19547-12] (<a href='/en-us/products/primary-antibodies/erbb2-her2-antibody-epr19547-12-ab214275'>ab214275</a>)

Predicted band size: 137 kDa

false

Indirect ELISA - Anti-ErbB2 / HER2 antibody [EPR19547-12] - BSA and Azide free (AB222482)
  • I-ELISA

Lab

Indirect ELISA - Anti-ErbB2 / HER2 antibody [EPR19547-12] - BSA and Azide free (AB222482)

This data was developed using the same antibody clone in a different buffer formulation (ab222482).

ELISA using ab214275 at using 1000 ng/ml an antigen concentration range of 500-0 ng/ml for Human ERBB2 and ERBB4 Recombinant Proteins. Goat Anti-Rabbit IgG (HRL) (1/50000) was used as the secondary antibody. 3,3',5,5'-Tetramethylbenzidine (TMB) used as substrate solution.

Western blot - Anti-ErbB2 / HER2 antibody [EPR19547-12] - BSA and Azide free (AB222482)
  • WB

Supplier Data

Western blot - Anti-ErbB2 / HER2 antibody [EPR19547-12] - BSA and Azide free (AB222482)

This data was developed using the same antibody clone in a different buffer formulation (ab214275). Blocking/Dilution buffer : 5% NFDM/TBST. Exposure time : Lane 1 : 3 minutes; Lane 2 : 3 seconds; Lane 3 : 10 seconds. The molecular weight observed is consistent with the literature PMID : 15741050.

All lanes:

Western blot - Anti-ErbB2 / HER2 antibody [EPR19547-12] (<a href='/en-us/products/primary-antibodies/erbb2-her2-antibody-epr19547-12-ab214275'>ab214275</a>) at 1/1000 dilution

Lane 1:

HeLa (Human epithelial cell line from cervix adenocarcinoma) whole cell lysate at 20 µg

Lane 2:

Sample: A431 (Human epidermoid carcinoma cell line) whole cell lysate at 20 µg

Lane 3:

SK-BR-3 (Human mammary gland adenocarcinoma cell line) whole cell lysate at 20 µg

Secondary

All lanes:

Western blot - Goat Anti-Rabbit IgG H&L (HRP) (<a href='/en-us/products/secondary-antibodies/goat-rabbit-igg-h-l-hrp-ab97051'>ab97051</a>) at 1/100000 dilution

false

Western blot - Anti-ErbB2 / HER2 antibody [EPR19547-12] - BSA and Azide free (AB222482)
  • WB

Supplier Data

Western blot - Anti-ErbB2 / HER2 antibody [EPR19547-12] - BSA and Azide free (AB222482)

This data was developed using the same antibody clone in a different buffer formulation (ab214275). Blocking/Dilution buffer : 5% NFDM/TBST. The molecular weight is consist with literature PMID : 15741050.

All lanes:

Western blot - Anti-ErbB2 / HER2 antibody [EPR19547-12] (<a href='/en-us/products/primary-antibodies/erbb2-her2-antibody-epr19547-12-ab214275'>ab214275</a>) at 1/2000 dilution

All lanes:

Human breast cancer lysate at 10 µg

false

Western blot - Anti-ErbB2 / HER2 antibody [EPR19547-12] - BSA and Azide free (AB222482)
  • WB

Supplier Data

Western blot - Anti-ErbB2 / HER2 antibody [EPR19547-12] - BSA and Azide free (AB222482)

This data was developed using the same antibody clone in a different buffer formulation (ab214275). Blocking/Dilution buffer : 5% NFDM/TBST. The molecular weight is consist with literature PMID : 15741050.

All lanes:

Western blot - Anti-ErbB2 / HER2 antibody [EPR19547-12] (<a href='/en-us/products/primary-antibodies/erbb2-her2-antibody-epr19547-12-ab214275'>ab214275</a>) at 10 µg

Lane 1:

C6 (Rat glial tumor cell line) whole cell lysate at 10 µg

Lane 2:

PC-12 (Rat adrenal gland pheochromocytoma cell line) whole cell lysate at 10 µg

Secondary

All lanes:

Western blot - Goat Anti-Rabbit IgG H&L (HRP) (<a href='/en-us/products/secondary-antibodies/goat-rabbit-igg-h-l-hrp-ab97051'>ab97051</a>) at 1/100000 dilution

false

Western blot - Anti-ErbB2 / HER2 antibody [EPR19547-12] - BSA and Azide free (AB222482)
  • WB

Supplier Data

Western blot - Anti-ErbB2 / HER2 antibody [EPR19547-12] - BSA and Azide free (AB222482)

This data was developed using the same antibody clone in a different buffer formulation (ab214275). Blocking and diluting buffer : 5% NFDM/TBST.

All lanes:

Western blot - Anti-ErbB2 / HER2 antibody [EPR19547-12] (<a href='/en-us/products/primary-antibodies/erbb2-her2-antibody-epr19547-12-ab214275'>ab214275</a>)

All lanes:

4T1 (Mouse mammary gland carcinoma epithelial cell) whole cell lysate at 20 µg

Secondary

All lanes:

Western blot - Goat Anti-Rabbit IgG H&L (HRP) (<a href='/en-us/products/secondary-antibodies/goat-rabbit-igg-h-l-hrp-ab97051'>ab97051</a>) at 1/20000 dilution

false

Western blot - Anti-ErbB2 / HER2 antibody [EPR19547-12] - BSA and Azide free (AB222482)
  • WB

Lab

Western blot - Anti-ErbB2 / HER2 antibody [EPR19547-12] - BSA and Azide free (AB222482)

This data was developed using the same antibody clone in a different buffer formulation (ab222482). Blocking and dilution buffer and concentration : 5% NFDM/TBST. Exposure time : 180 seconds. This antibody could recognize ErbB2 and weak cross reaction with ErbB4.

Lanes 1 - 2:

Western blot - Anti-ErbB2 / HER2 antibody [EPR19547-12] (<a href='/en-us/products/primary-antibodies/erbb2-her2-antibody-epr19547-12-ab214275'>ab214275</a>) at 1/1000 dilution

Lanes 1 - 2:

Western blot - Anti-ErbB2 / HER2 antibody [EPR19547-12] - BSA and Azide free (ab222482) at 1/1000 dilution

Lane 1:

His-tagged Recombinant Human ErbB2 protein (aa676-1255)

Lane 2:

His-tagged Recombinant Human ErbB4 protein (aa676-1308)

Secondary

All lanes:

Western blot - Goat Anti-Rabbit IgG H&L (HRP) (<a href='/en-us/products/secondary-antibodies/goat-rabbit-igg-h-l-hrp-ab97051'>ab97051</a>) at 1/20000 dilution

Predicted band size: 137 kDa

Observed band size: 90 kDa,80 kDa

false

  • Unconjugated

    Anti-ErbB2 / HER2 antibody [EPR19547-12]

  • 665 Alexa Fluor® 647

    Alexa Fluor® 647 Anti-ErbB2 / HER2 antibody [EPR19547-12]

  • 578 PE

    PE Anti-ErbB2 / HER2 antibody [EPR19547-12]

  • 519 Alexa Fluor® 488

    Alexa Fluor® 488 Anti-ErbB2 / HER2 antibody [EPR19547-12]

Key facts

Host species

Rabbit

Clonality

Monoclonal

Clone number

EPR19547-12

Isotype

IgG

Carrier free

Yes

Reacts with

Mouse, Rat, Human

Applications

Flow Cyt (Intra), IP, I-ELISA, IHC-P, WB, ICC/IF

applications

Immunogen

The exact immunogen used to generate this antibody is proprietary information.

Specificity

Only reacts with weakly in mouse 4T1 cells.
This antibody could recognize ErbB2 and weak cross reaction with ErbB4.
Mouse and rat species are recommended based on WB results, we do not guarantee IHC-P for mouse and rat.

Reactivity data

{ "title": "Reactivity Data", "filters": { "stats": ["", "Species", "Dilution Info", "Notes"], "tabs": { "all-applications": {"fullname" : "All Applications", "shortname": "All Applications"}, "IELISA" : {"fullname" : "Indirect ELISA", "shortname":"I-ELISA"}, "IP" : {"fullname" : "Immunoprecipitation", "shortname":"IP"}, "WB" : {"fullname" : "Western blot", "shortname":"WB"}, "ICCIF" : {"fullname" : "Immunocytochemistry/ Immunofluorescence", "shortname":"ICC/IF"}, "FlowCytIntra" : {"fullname" : "Flow Cytometry (Intracellular)", "shortname":"Flow Cyt (Intra)"}, "IHCP" : {"fullname" : "Immunohistochemistry (Formalin/PFA-fixed paraffin-embedded sections)", "shortname":"IHC-P"} }, "product-promise": { "all": "all", "testedAndGuaranteed": "tested", "guaranteed": "expected", "predicted": "predicted", "notRecommended": "not-recommended" } }, "values": { "Human": { "IELISA-species-checked": "guaranteed", "IELISA-species-dilution-info": "", "IELISA-species-notes": "", "IP-species-checked": "testedAndGuaranteed", "IP-species-dilution-info": "", "IP-species-notes": "<p></p>", "WB-species-checked": "testedAndGuaranteed", "WB-species-dilution-info": "", "WB-species-notes": "<p></p>", "ICCIF-species-checked": "testedAndGuaranteed", "ICCIF-species-dilution-info": "", "ICCIF-species-notes": "<p></p>", "FlowCytIntra-species-checked": "testedAndGuaranteed", "FlowCytIntra-species-dilution-info": "", "FlowCytIntra-species-notes": "<p><a href='/en-us/products/primary-antibodies/rabbit-igg-monoclonal-epr25a-isotype-control-low-endotoxin-azide-free-ab199376'>ab199376</a> - Rabbit monoclonal IgG, is suitable for use as an isotype control with this antibody.</p>", "IHCP-species-checked": "testedAndGuaranteed", "IHCP-species-dilution-info": "", "IHCP-species-notes": "<p></p>" }, "Mouse": { "IELISA-species-checked": "guaranteed", "IELISA-species-dilution-info": "", "IELISA-species-notes": "", "IP-species-checked": "guaranteed", "IP-species-dilution-info": "", "IP-species-notes": "", "WB-species-checked": "testedAndGuaranteed", "WB-species-dilution-info": "", "WB-species-notes": "<p></p>", "ICCIF-species-checked": "guaranteed", "ICCIF-species-dilution-info": "", "ICCIF-species-notes": "", "FlowCytIntra-species-checked": "guaranteed", "FlowCytIntra-species-dilution-info": "", "FlowCytIntra-species-notes": "", "IHCP-species-checked": "guaranteed", "IHCP-species-dilution-info": "", "IHCP-species-notes": "" }, "Rat": { "IELISA-species-checked": "guaranteed", "IELISA-species-dilution-info": "", "IELISA-species-notes": "", "IP-species-checked": "guaranteed", "IP-species-dilution-info": "", "IP-species-notes": "", "WB-species-checked": "testedAndGuaranteed", "WB-species-dilution-info": "", "WB-species-notes": "<p></p>", "ICCIF-species-checked": "guaranteed", "ICCIF-species-dilution-info": "", "ICCIF-species-notes": "", "FlowCytIntra-species-checked": "guaranteed", "FlowCytIntra-species-dilution-info": "", "FlowCytIntra-species-notes": "", "IHCP-species-checked": "guaranteed", "IHCP-species-dilution-info": "", "IHCP-species-notes": "" }, "Recombinant fragment - Human": { "IELISA-species-checked": "notRecommended", "IELISA-species-dilution-info": "", "IELISA-species-notes": "", "IP-species-checked": "notRecommended", "IP-species-dilution-info": "", "IP-species-notes": "", "WB-species-checked": "testedAndGuaranteed", "WB-species-dilution-info": "", "WB-species-notes": "<p></p>", "ICCIF-species-checked": "notRecommended", "ICCIF-species-dilution-info": "", "ICCIF-species-notes": "", "FlowCytIntra-species-checked": "notRecommended", "FlowCytIntra-species-dilution-info": "", "FlowCytIntra-species-notes": "", "IHCP-species-checked": "notRecommended", "IHCP-species-dilution-info": "", "IHCP-species-notes": "" }, "Recombinant full length protein - Human": { "IELISA-species-checked": "testedAndGuaranteed", "IELISA-species-dilution-info": "", "IELISA-species-notes": "<p></p>", "IP-species-checked": "notRecommended", "IP-species-dilution-info": "", "IP-species-notes": "", "WB-species-checked": "notRecommended", "WB-species-dilution-info": "", "WB-species-notes": "", "ICCIF-species-checked": "notRecommended", "ICCIF-species-dilution-info": "", "ICCIF-species-notes": "", "FlowCytIntra-species-checked": "notRecommended", "FlowCytIntra-species-dilution-info": "", "FlowCytIntra-species-notes": "", "IHCP-species-checked": "notRecommended", "IHCP-species-dilution-info": "", "IHCP-species-notes": "" } } }

Product details

What is this antibody validated in?
Anti-ErbB2 / HER2 antibody [EPR19547-12] - BSA and Azide free (ab222482) is a rabbit recombinant monoclonal antibody and is validated for use in Western Blot (WB), Flow Cytometry (Intra), Flow Cytometry (Flow Cyt), Immunoprecipitation (IP), Immunohistochemistry (IHC-P), Immunocytochemistry/immunofluorescence (ICC/IF), ELISA in Human, Mouse, Rat samples.

What is the molecular weight of ErbB2 / HER2?
Anti-ErbB2 / HER2 [EPR19547-12] - BSA and Azide free (ab222482) specifically detects a band for ErbB2 / HER2 (UniProt: P04626) at a molecular weight of 137kDa.

Other related products
We have a range of other formats of antibody clone [EPR19547-12] also available for your convenience: ab214275, Carrier free - ab222482, PE - ab225508, Alexa Fluor® 488 - ab225509, Alexa Fluor® 647 - ab225510

Patented technology
Our RabMAb® technology is a patented hybridoma-based technology for making rabbit monoclonal antibodies. For details on our patents, please refer to RabMAb® patents.

What are the advantages of a recombinant monoclonal antibody?
This product is a recombinant monoclonal antibody, which offers several advantages including:

  • - High batch-to-batch consistency and reproducibility
  • - Improved sensitivity and specificity
  • - Long-term security of supply
  • - Animal-free batch production

For more information, read more on recombinant antibodies.

Conjugation ready
Our carrier-free antibodies are typically supplied in a PBS-only formulation, purified and free of BSA, sodium azide and glycerol. This conjugation-ready format is designed for use with fluorochromes, metal isotopes, oligonucleotides, and enzymes, which makes them ideal for antibody labelling, functional and cell-based assays, flow-based assays (e.g. mass cytometry) and Multiplex Imaging applications.

Use our conjugation kits for antibody conjugates that are ready-to-use in as little as 20 minutes with 1 minute hands-on-time and 100% antibody recovery: available for fluorescent dyes, HRP, biotin and gold.

Compatibility
This product is compatible with the Maxpar® Antibody Labeling Kit from Fluidigm, without the need for antibody preparation. Maxpar® is a trademark of Fluidigm Canada Inc.

Properties and storage information

Form
Liquid
Purification technique
Affinity purification Protein A
Storage buffer
pH: 7.2 - 7.4 Constituents: PBS
Shipped at conditions
Blue Ice
Appropriate short-term storage conditions
+4°C
Appropriate long-term storage conditions
+4°C
Storage information
Do Not Freeze

Supplementary information

This supplementary information is collated from multiple sources and compiled automatically.

The ErbB2 also known as HER2 or HER2 protein is a transmembrane receptor protein with a molecular weight of about 185 kDa. It serves as part of the epidermal growth factor receptor (EGFR) family of receptor tyrosine kinases. The ErbB2 protein is expressed mainly in epithelial tissues including those of the breast and the gastrointestinal tract. It lacks a known ligand-binding domain which sets it apart from other members of its family. Due to its structure ErbB2 dimerizes with other members of the EGFR family to exert its effects in cellular signaling.
Biological function summary

The role of ErbB2 extends beyond a singular function. It becomes an active component when forming heterodimers with other EGFR family members such as ErbB3 to initiate various downstream signaling cascades. The dimerization activates intracellular pathways leading to cell proliferation survival differentiation and migration. Within cells ErbB2 influences processes critical for normal development and tissue homeostasis contributing significantly to signal transduction networks.

Pathways

ErbB2 plays a pivotal role in pathways such as the PI3K/Akt and MAPK/ERK pathways. These pathways are important in mediating cellular responses to growth signals. The PI3K/Akt pathway activated by HER2 signaling regulates cell growth and survival while the MAPK/ERK pathway contributes to cell differentiation and proliferation. ErbB2's interaction with proteins like ErbB3 is fundamental in these pathways increasing the amplitude and diversity of downstream signals.

ErbB2 is significantly associated with breast cancer and gastric cancer. The overexpression or gene amplification of HER2 is observed in approximately 20% of breast cancer cases correlating with aggressive tumor growth and poor prognosis. ErbB2-related signaling contributes to oncogenic processes by promoting excessive cell proliferation. Targeting ErbB2 in these cancers is common using therapies such as monoclonal antibodies like trastuzumab. In the context of gastric cancer the role of ErbB2 mirrors its function in breast cancer and targeting HER2 holds therapeutic potential.

Product protocols

For this product, it's our understanding that no specific protocols are required. You can visit:

Target data

The protein expressed by the ERBB2 gene is a protein tyrosine kinase involved in several cell surface receptor complexes, requiring a coreceptor for ligand binding. It is an essential component of a neuregulin-receptor complex, although neuregulins do not bind to it directly. GP30 is a potential ligand for this receptor. ERBB2 regulates the outgrowth and stabilization of peripheral microtubules (MTs) via the MEMO1-RHOA-DIAPH1 signaling pathway, which, upon activation, phosphorylates and inhibits GSK3B at the cell membrane. This prevents APC and CLASP2 phosphorylation, allowing their association with the cell membrane, facilitating MACF1 localization necessary for microtubule capture and stabilization. In the nucleus, ERBB2 is involved in transcriptional regulation, associating with the 5'-TCAAATTC-3' sequence in the PTGS2/COX-2 promoter to activate transcription. It is implicated in the transcriptional activation of CDKN1A, involving STAT3 and SRC, and participates in the transcription of rRNA genes by RNA Pol I, thereby enhancing protein synthesis and cell growth. This supplementary information is collated from multiple sources and compiled automatically.
See full target information ERBB2

Publications (2)

Recent publications for all applications. Explore the full list and refine your search

Bioinorganic chemistry and applications 2021:2495958 PubMed35003236

2021

A Novel NIR Fluorescent Nanoprobe Targeting HER2-Positive Breast Cancer: Tra-TTR-A.

Applications

Unspecified application

Species

Unspecified reactive species

Meijuan Chen,Zhousheng Lin,Guangyu Yao,Xi Hong,Xiaolei Xue,Lujia Chen

Mucosal immunology 14:38-52 PubMed32612160

2020

Brg1 restrains the pro-inflammatory properties of ILC3s and modulates intestinal immunity.

Applications

Unspecified application

Species

Unspecified reactive species

Xinyi Qi,Jinxin Qiu,Jiali Chang,Yan Ji,Qi Yang,Guoliang Cui,Liming Sun,Qian Chai,Jun Qin,Ju Qiu
View all publications

Product promise

We are committed to supporting your work with high-quality reagents, and we're here for you every step of the way. In the unlikely event that one of our products does not perform as expected, you're protected by our Product Promise.
For full details, please see our Terms & Conditions

Please note: All products are 'FOR RESEARCH USE ONLY. NOT FOR USE IN DIAGNOSTIC OR THERAPEUTIC PROCEDURES'.

For licensing inquiries, please contact partnerships@abcam.com