JavaScript is disabled in your browser. Please enable JavaScript to view this website.
AB11710

Anti-ErbB2 / HER2 antibody [ICR12]

Be the first to review this product! Submit a review

|

(3 Publications)

Rat Recombinant Monoclonal ErbB2 / HER2 antibody. Suitable for Flow Cyt, ICC/IF, IHC-P and reacts with Human samples. Cited in 3 publications.

View Alternative Names

CD340, HER2, MLN19, NEU, NGL, ERBB2, Receptor tyrosine-protein kinase erbB-2, Metastatic lymph node gene 19 protein, Proto-oncogene Neu, Proto-oncogene c-ErbB-2, Tyrosine kinase-type cell surface receptor HER2, p185erbB2, MLN 19

4 Images
Immunocytochemistry/ Immunofluorescence - Anti-ErbB2 / HER2 antibody [ICR12] (AB11710)
  • ICC/IF

Unknown

Immunocytochemistry/ Immunofluorescence - Anti-ErbB2 / HER2 antibody [ICR12] (AB11710)

Immunofluorescent analysis of 4% Paraformaldehyde-fixed, 0.1% Triton X-100 permeabilized SK-BR-3 cells labelling ErbB 2 with ab11710 at 1/100 dilution, followed by ab150157 Goat Anti-rat IgG H&L (Alexa Fluor® 488) antibody at 1/1000 dilution (Green). Confocal image showing strong membranous staining in SK-BR-3 cells. ab179513 Anti-beta Tubulin rabbit monoclonal antibody was used to counterstain tubulin at 1/200 dilution, followed by ab150080 Goat Anti-Rabbit IgG H&L (Alexa Fluor® 594) at a 1/1000 diliution (Red). The nuclear counterstain was DAPI (Blue).

Negative control 1 : ab11710 at 1/100 dilution followed by ab150080 at a 1/1000 dilution.

Negative control 2 : ab179513 at a 1/200 dilution followed by ab150157 at a 1/1000 dilution.

Negative control cells : MCF7 (PMID : 18288420).

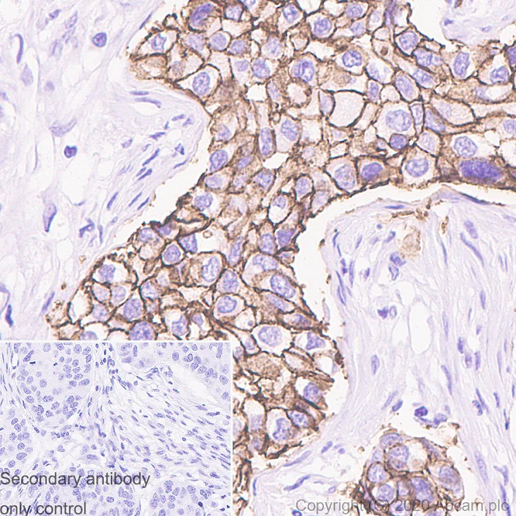
Immunohistochemistry (Formalin/PFA-fixed paraffin-embedded sections) - Anti-ErbB2 / HER2 antibody [ICR12] (AB11710)
  • IHC-P

Unknown

Immunohistochemistry (Formalin/PFA-fixed paraffin-embedded sections) - Anti-ErbB2 / HER2 antibody [ICR12] (AB11710)

Immunohistochemical analysis of paraffin-embedded human breast carcinoma tissue labeling ErbB2 / HER2 with ab11710 at 1/400 dilution followed by ready to use Goat Anti-rat IgG H&L (HRP polymer) (ab214882). Membranous staining on human breast carcinoma. Counterstained with Hematoxylin.

Secondary antibody only control : Secondary antibody is ready to use Goat Anti-rat IgG H&L (HRP polymer) (ab214882).

Heat mediated antigen retrieval using ab93684 (Tris/EDTA buffer, pH 9.0).

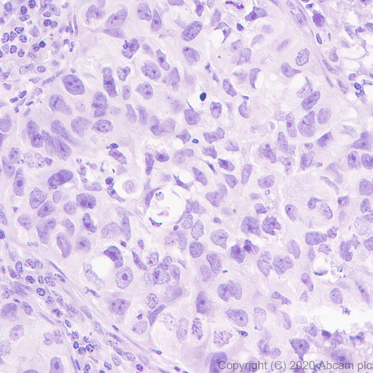
Immunohistochemistry (Formalin/PFA-fixed paraffin-embedded sections) - Anti-ErbB2 / HER2 antibody [ICR12] (AB11710)
  • IHC-P

Unknown

Immunohistochemistry (Formalin/PFA-fixed paraffin-embedded sections) - Anti-ErbB2 / HER2 antibody [ICR12] (AB11710)

Immunohistochemical analysis of paraffin-embedded human breast carcinoma tissue labeling ErbB 2 with ab11710 at 1/400 dilution followed by ready to use Goat Anti-rat IgG H&L (HRP polymer) (ab214882). No staining on human breast carcinoma without expression of HER2 is observed. Counterstained with Hematoxylin.

Secondary antibody only control : Secondary antibody is ready to use Goat Anti-rat IgG H&L (HRP polymer) (ab214882).

Heat mediated antigen retrieval using ab93684 (Tris/EDTA buffer, pH 9.0).

Flow Cytometry - Anti-ErbB2 / HER2 antibody [ICR12] (AB11710)
  • Flow Cyt

Unknown

Flow Cytometry - Anti-ErbB2 / HER2 antibody [ICR12] (AB11710)

Flow cytometric analysis of MCF7 (human breast adenocarcinoma epithelial cell, Left panel) / SK-BR-3 (human breast adenocarcinoma epithelial cell, Right panel) cells labelling ErbB 2 with ab11710 at 1/1000 dilution (0.1μg) (Red) compared with a rat monoclonal IgG (Black) isotype control and an unlabelled control (cells without incubation with primary antibody and secondary antibody) (Blue). Goat anti rat IgG (Alexa Fluor® 488, ab150157) at 1/2000 dilution was used as the secondary antibody.

Low expression control : MCF7 (PMID : 17938260).

Gated on viable cells.

  • Carrier free

    Anti-ErbB2 / HER2 antibody [ICR12] - BSA and Azide free

Key facts

Host species

Rat

Clonality

Monoclonal

Clone number

ICR12

Isotype

IgG2a

Light chain type

kappa

Carrier free

No

Reacts with

Human

Applications

Flow Cyt, IHC-P, ICC/IF

applications

Immunogen

The exact immunogen used to generate this antibody is proprietary information.

Reactivity data

{ "title": "Reactivity Data", "filters": { "stats": ["", "Species", "Dilution Info", "Notes"], "tabs": { "all-applications": {"fullname" : "All Applications", "shortname": "All Applications"}, "IP" : {"fullname" : "Immunoprecipitation", "shortname":"IP"}, "FlowCyt" : {"fullname" : "Flow Cytometry", "shortname":"Flow Cyt"}, "WB" : {"fullname" : "Western blot", "shortname":"WB"}, "ICCIF" : {"fullname" : "Immunocytochemistry/ Immunofluorescence", "shortname":"ICC/IF"}, "IHCP" : {"fullname" : "Immunohistochemistry (Formalin/PFA-fixed paraffin-embedded sections)", "shortname":"IHC-P"} }, "product-promise": { "all": "all", "testedAndGuaranteed": "tested", "guaranteed": "expected", "predicted": "predicted", "notRecommended": "not-recommended" } }, "values": { "Human": { "IP-species-checked": "notRecommended", "IP-species-dilution-info": "", "IP-species-notes": "<p></p>", "FlowCyt-species-checked": "testedAndGuaranteed", "FlowCyt-species-dilution-info": "1/1000", "FlowCyt-species-notes": "<p></p>", "WB-species-checked": "notRecommended", "WB-species-dilution-info": "", "WB-species-notes": "<p></p>", "ICCIF-species-checked": "testedAndGuaranteed", "ICCIF-species-dilution-info": "1/100", "ICCIF-species-notes": "<p></p>", "IHCP-species-checked": "testedAndGuaranteed", "IHCP-species-dilution-info": "1/400", "IHCP-species-notes": "<p></p>" }, "Mouse": { "IP-species-checked": "notRecommended", "IP-species-dilution-info": "", "IP-species-notes": "", "FlowCyt-species-checked": "notRecommended", "FlowCyt-species-dilution-info": "", "FlowCyt-species-notes": "", "WB-species-checked": "notRecommended", "WB-species-dilution-info": "", "WB-species-notes": "<p></p>", "ICCIF-species-checked": "notRecommended", "ICCIF-species-dilution-info": "", "ICCIF-species-notes": "", "IHCP-species-checked": "notRecommended", "IHCP-species-dilution-info": "1/400", "IHCP-species-notes": "<p></p>" }, "Rat": { "IP-species-checked": "notRecommended", "IP-species-dilution-info": "", "IP-species-notes": "", "FlowCyt-species-checked": "notRecommended", "FlowCyt-species-dilution-info": "", "FlowCyt-species-notes": "", "WB-species-checked": "notRecommended", "WB-species-dilution-info": "", "WB-species-notes": "<p></p>", "ICCIF-species-checked": "notRecommended", "ICCIF-species-dilution-info": "", "ICCIF-species-notes": "", "IHCP-species-checked": "notRecommended", "IHCP-species-dilution-info": "1/400", "IHCP-species-notes": "<p></p>" } } }

Product details

What are the advantages of a recombinant monoclonal antibody?
This product is a recombinant monoclonal antibody, which offers several advantages including:

  • - High batch-to-batch consistency and reproducibility
  • - Improved sensitivity and specificity
  • - Long-term security of supply
  • - Animal-free batch production

For more information, read more on recombinant antibodies.

Want a custom formulation?
This antibody clone is manufactured by Abcam. If you require a custom buffer formulation or conjugation for your experiments, please contact orders@abcam.com

Properties and storage information

Form
Liquid
Purification technique
Ion exchange chromatography
Storage buffer
pH: 7.2 - 7.4 Preservative: 0.01% Sodium azide Constituents: PBS, 40% Glycerol (glycerin, glycerine), 0.05% BSA
Shipped at conditions
Blue Ice
Appropriate short-term storage duration
1-2 weeks
Appropriate short-term storage conditions
+4°C
Appropriate long-term storage conditions
-20°C
Aliquoting information
Upon delivery aliquot
Storage information
Avoid freeze / thaw cycle

Supplementary information

This supplementary information is collated from multiple sources and compiled automatically.

The ErbB2 also known as HER2 or HER2 protein is a transmembrane receptor protein with a molecular weight of about 185 kDa. It serves as part of the epidermal growth factor receptor (EGFR) family of receptor tyrosine kinases. The ErbB2 protein is expressed mainly in epithelial tissues including those of the breast and the gastrointestinal tract. It lacks a known ligand-binding domain which sets it apart from other members of its family. Due to its structure ErbB2 dimerizes with other members of the EGFR family to exert its effects in cellular signaling.
Biological function summary

The role of ErbB2 extends beyond a singular function. It becomes an active component when forming heterodimers with other EGFR family members such as ErbB3 to initiate various downstream signaling cascades. The dimerization activates intracellular pathways leading to cell proliferation survival differentiation and migration. Within cells ErbB2 influences processes critical for normal development and tissue homeostasis contributing significantly to signal transduction networks.

Pathways

ErbB2 plays a pivotal role in pathways such as the PI3K/Akt and MAPK/ERK pathways. These pathways are important in mediating cellular responses to growth signals. The PI3K/Akt pathway activated by HER2 signaling regulates cell growth and survival while the MAPK/ERK pathway contributes to cell differentiation and proliferation. ErbB2's interaction with proteins like ErbB3 is fundamental in these pathways increasing the amplitude and diversity of downstream signals.

ErbB2 is significantly associated with breast cancer and gastric cancer. The overexpression or gene amplification of HER2 is observed in approximately 20% of breast cancer cases correlating with aggressive tumor growth and poor prognosis. ErbB2-related signaling contributes to oncogenic processes by promoting excessive cell proliferation. Targeting ErbB2 in these cancers is common using therapies such as monoclonal antibodies like trastuzumab. In the context of gastric cancer the role of ErbB2 mirrors its function in breast cancer and targeting HER2 holds therapeutic potential.

Product protocols

For this product, it's our understanding that no specific protocols are required. You can visit:

Target data

Protein tyrosine kinase that is part of several cell surface receptor complexes, but that apparently needs a coreceptor for ligand binding. Essential component of a neuregulin-receptor complex, although neuregulins do not interact with it alone. GP30 is a potential ligand for this receptor. Regulates outgrowth and stabilization of peripheral microtubules (MTs). Upon ERBB2 activation, the MEMO1-RHOA-DIAPH1 signaling pathway elicits the phosphorylation and thus the inhibition of GSK3B at cell membrane. This prevents the phosphorylation of APC and CLASP2, allowing its association with the cell membrane. In turn, membrane-bound APC allows the localization of MACF1 to the cell membrane, which is required for microtubule capture and stabilization.. In the nucleus is involved in transcriptional regulation. Associates with the 5'-TCAAATTC-3' sequence in the PTGS2/COX-2 promoter and activates its transcription. Implicated in transcriptional activation of CDKN1A; the function involves STAT3 and SRC. Involved in the transcription of rRNA genes by RNA Pol I and enhances protein synthesis and cell growth.
See full target information ERBB2

Publications (3)

Recent publications for all applications. Explore the full list and refine your search

Signal transduction and targeted therapy 6:236 PubMed34158475

2021

Interaction between HLA-G and NK cell receptor KIR2DL4 orchestrates HER2-positive breast cancer resistance to trastuzumab.

Applications

Unspecified application

Species

Unspecified reactive species

Guoxu Zheng,Zhangyan Guo,Weimiao Li,Wenjin Xi,Baile Zuo,Rui Zhang,Weihong Wen,An-Gang Yang,Lintao Jia

Cancer research 55:5842s-5846s PubMed7493357

1995

Radioimmunotherapy of breast cancer xenografts with monoclonal antibody ICR12 against c-erbB2 p185: comparison of iodogen and N-succinimidyl 4-methyl-3-(tri-n-butylstannyl)benzoate radioiodination methods.

Applications

Unspecified application

Species

Unspecified reactive species

W J Smellie,C J Dean,N P Sacks,M R Zalutsky,P K Garg,P Carnochan,S A Eccles

Cancer research 54:5171-7 PubMed7923136

1994

Regression of established breast carcinoma xenografts with antibody-directed enzyme prodrug therapy against c-erbB2 p185.

Applications

Unspecified application

Species

Unspecified reactive species

S A Eccles,W J Court,G A Box,C J Dean,R G Melton,C J Springer
View all publications

Product promise

We are committed to supporting your work with high-quality reagents, and we're here for you every step of the way. In the unlikely event that one of our products does not perform as expected, you're protected by our Product Promise.
For full details, please see our Terms & Conditions

Please note: All products are 'FOR RESEARCH USE ONLY. NOT FOR USE IN DIAGNOSTIC OR THERAPEUTIC PROCEDURES'.

For licensing inquiries, please contact partnerships@abcam.com