JavaScript is disabled in your browser. Please enable JavaScript to view this website.
AB231438

Anti-ErbB2 / HER2 antibody [SP101]

  • BOND RX™ Validated
  • 20ul selling size
  • RabMAb
  • Advanced Validation
  • Recombinant
  • What is this?

Be the first to review this product! Submit a review

|

(1 Publication)

Rabbit Recombinant Monoclonal ErbB2 / HER2 antibody. Suitable for WB, IHC-P, mIHC and reacts with Human samples. Cited in 1 publication.

View Alternative Names

CD340, HER2, MLN19, NEU, NGL, ERBB2, Receptor tyrosine-protein kinase erbB-2, Metastatic lymph node gene 19 protein, Proto-oncogene Neu, Proto-oncogene c-ErbB-2, Tyrosine kinase-type cell surface receptor HER2, p185erbB2, MLN 19

6 Images
Immunohistochemistry (Formalin/PFA-fixed paraffin-embedded sections) - Anti-ErbB2 / HER2 antibody [SP101] (AB231438)
  • IHC-P

Supplier Data

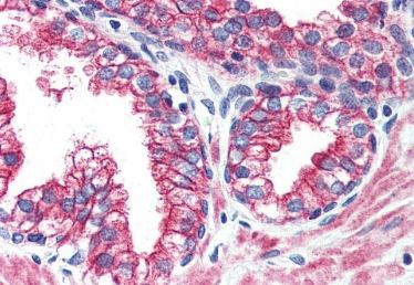
Immunohistochemistry (Formalin/PFA-fixed paraffin-embedded sections) - Anti-ErbB2 / HER2 antibody [SP101] (AB231438)

Formalin-fixed, paraffin-embedded human breast carcinoma tissue stained for ErbB2 / HER2 using ab231438 at 1/100 dilution in immunohistochemical analysis.

Immunohistochemistry (Formalin/PFA-fixed paraffin-embedded sections) - Anti-ErbB2 / HER2 antibody [SP101] (AB231438)
  • IHC-P

Unknown

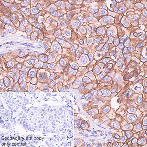
Immunohistochemistry (Formalin/PFA-fixed paraffin-embedded sections) - Anti-ErbB2 / HER2 antibody [SP101] (AB231438)

Immunohistochemistry (Formalin/PFA-fixed paraffin-embedded sections) analysis of Human breast carcinoma tissue sections labeling ErbB2 / HER2 with ab231438 at 1/100 dilution (6.38 μg/ml). Heat mediated antigen retrieval with Bond™ Epitope Retrieval Solution 1 (pH 6.0) for 10mins Goat Anti-Rabbit & Mouse IgG (HRP) was used as the secondary antibody. Hematoxylin was used as a counterstain. Membranous staining on the human breast carcinoma, performed on a Leica Biosystems BOND™ RX instrument.
The section was incubated with ab231438 for 30 mins at room temperature.

Multiplex immunohistochemistry - Anti-ErbB2 / HER2 antibody [SP101] (AB231438)
  • mIHC

Supplier Data

Multiplex immunohistochemistry - Anti-ErbB2 / HER2 antibody [SP101] (AB231438)

Multiplex immunohistochemistry (Formalin/PFA-fixed paraffin-embedded sections) analysis of Human mammary gland tissue sections labeling ErbB2 / HER2 with ab231438 at 1/100 dilution (1.59 µg/ml). Heat mediated antigen retrieval with Citrate buffer (pH 6.0, epitope retrieval solution 1) for 20 mins and Opal Polymer HRP Ms + Rb was used as the secondary antibody. DAPI was used as the nuclear counterstain. Panel A : merged staining of anti-Progesterone Receptor (PR) (magenta; Opal™690), anti-HER2 (red; Opal™570) and anti-Estrogen Receptor (ER) (green; Opal™520) on human mammary gland. Panel B : anti-PR stained on nucleus of some ductal cells. Panel C : anti-HER2 stained on no cells. Panel D : anti-ER stained on nucleus of some ductal cells. The section was incubated in three rounds of staining : in the order of ab16661 for 30 mins, then ab16660 and ab231438 for 10 mins at room temperature. Each round was followed by a separate fluorescent tyramide signal amplification system. The immunostaining was performed on a Leica Biosystems BOND® RX instrument with an Opal™ 4-color kit. Image acquisition was performed with Leica SP8 confocal microscope.

Multiplex immunohistochemistry - Anti-ErbB2 / HER2 antibody [SP101] (AB231438)
  • mIHC

Supplier Data

Multiplex immunohistochemistry - Anti-ErbB2 / HER2 antibody [SP101] (AB231438)

Multiplex immunohistochemistry (Formalin/PFA-fixed paraffin-embedded sections) analysis of Human triple-negative breast carcinoma tissue sections labeling ErbB2 / HER2 with ab231438 at 1/100 dilution (1.59 µg/ml). Heat mediated antigen retrieval with Citrate buffer (pH 6.0, epitope retrieval solution 1) for 20 mins and Opal Polymer HRP Ms + Rb was used as the secondary antibody. DAPI was used as the nuclear counterstain. Panel A : merged staining of anti-Progesterone Receptor (PR) (magenta; Opal™690), anti-HER2 (red; Opal™570) and anti-Estrogen Receptor (ER) (green; Opal™520) on human triple-negative breast carcinoma. Panel B : anti-PR stained on no cells. Panel C : anti-HER2 stained on no cells. Panel D : anti-ER stained on no cells. The section was incubated in three rounds of staining : in the order of ab16661 for 30 mins, then ab16660 and ab231438 for 10 mins at room temperature. Each round was followed by a separate fluorescent tyramide signal amplification system. The immunostaining was performed on a Leica Biosystems BOND® RX instrument with an Opal™ 4-color kit. Image acquisition was performed with Leica SP8 confocal microscope.

Multiplex immunohistochemistry - Anti-ErbB2 / HER2 antibody [SP101] (AB231438)
  • mIHC

Supplier Data

Multiplex immunohistochemistry - Anti-ErbB2 / HER2 antibody [SP101] (AB231438)

Multiplex immunohistochemistry (Formalin/PFA-fixed paraffin-embedded sections) analysis of Human triple-positive breast carcinoma tissue sections labeling ErbB2 / HER2 with ab231438 at 1/100 dilution (1.59 µg/ml). Heat mediated antigen retrieval with Citrate buffer (pH 6.0, epitope retrieval solution 1) for 20 mins and Opal Polymer HRP Ms + Rb was used as the secondary antibody. DAPI was used as the nuclear counterstain. Panel A : merged staining of anti-Progesterone Receptor (PR) (magenta; Opal™690), anti-HER2 (red; Opal™570) and anti-Estrogen Receptor (ER) (green; Opal™520) on human triple-positive breast carcinoma. Panel B : anti-PR stained on nucleus of cancer cells. Panel C : anti-HER2 stained on membrane of cancer cells. Panel D : anti-ER stained on nucleus of cancer cells. The section was incubated in three rounds of staining : in the order of ab16661 for 30 mins, then ab16660 and ab231438 for 10 mins at room temperature. Each round was followed by a separate fluorescent tyramide signal amplification system. The immunostaining was performed on a Leica Biosystems BOND® RX instrument with an Opal™ 4-color kit. Image acquisition was performed with Leica SP8 confocal microscope.

Western blot - Anti-ErbB2 / HER2 antibody [SP101] (AB231438)
  • WB

Lab

Western blot - Anti-ErbB2 / HER2 antibody [SP101] (AB231438)

Blocking/Diluting Buffer and concentration : 5% NFDM /TBST

ab231438 concentration is assay dependent.

All lanes:

Western blot - Anti-ErbB2 / HER2 antibody [SP101] (ab231438)

All lanes:

SK-BR-3 (Human breast adenocarcinoma epithelial cell) whole cell lysate at 20 µg

Secondary

All lanes:

Western blot - Goat Anti-Rabbit IgG H&L (HRP) (<a href='/en-us/products/secondary-antibodies/goat-rabbit-igg-h-l-hrp-ab97051'>ab97051</a>) at 0.05 µg/mL

Predicted band size: 137 kDa

Observed band size: 180 kDa

false

  • Carrier free

    Anti-ErbB2 / HER2 antibody [SP101] - BSA and Azide free

Key facts

Host species

Rabbit

Clonality

Monoclonal

Clone number

SP101

Isotype

IgG

Carrier free

No

Reacts with

Human

Applications

IHC-P, WB, mIHC

applications

Immunogen

The exact immunogen used to generate this antibody is proprietary information.

Specificity

For detecting low expression samples with IHC-P, we recommend using more sensitive antibodies ab237715 and ab134182.

Reactivity data

{ "title": "Reactivity Data", "filters": { "stats": ["", "Species", "Dilution Info", "Notes"], "tabs": { "all-applications": {"fullname" : "All Applications", "shortname": "All Applications"}, "WB" : {"fullname" : "Western blot", "shortname":"WB"}, "IHCP" : {"fullname" : "Immunohistochemistry (Formalin/PFA-fixed paraffin-embedded sections)", "shortname":"IHC-P"}, "mIHC" : {"fullname" : "Multiplex immunohistochemistry", "shortname":"mIHC"} }, "product-promise": { "all": "all", "testedAndGuaranteed": "tested", "guaranteed": "expected", "predicted": "predicted", "notRecommended": "not-recommended" } }, "values": { "Human": { "WB-species-checked": "testedAndGuaranteed", "WB-species-dilution-info": "", "WB-species-notes": "<p></p>", "IHCP-species-checked": "testedAndGuaranteed", "IHCP-species-dilution-info": "1/100", "IHCP-species-notes": "<p>Boil tissue section in citrate buffer, pH 6.0 for 10 minutes followed by cooling at room temperature for 20 minutes.</p><p>Incubate with primary antibody for 10 minutes at room temperature.</p>", "mIHC-species-checked": "testedAndGuaranteed", "mIHC-species-dilution-info": "1/100", "mIHC-species-notes": "<p></p>" }, "Mouse": { "WB-species-checked": "predicted", "WB-species-dilution-info": "", "WB-species-notes": "", "IHCP-species-checked": "predicted", "IHCP-species-dilution-info": "", "IHCP-species-notes": "", "mIHC-species-checked": "predicted", "mIHC-species-dilution-info": "", "mIHC-species-notes": "" }, "Rat": { "WB-species-checked": "predicted", "WB-species-dilution-info": "", "WB-species-notes": "", "IHCP-species-checked": "predicted", "IHCP-species-dilution-info": "", "IHCP-species-notes": "", "mIHC-species-checked": "predicted", "mIHC-species-dilution-info": "", "mIHC-species-notes": "" }, "Dog": { "WB-species-checked": "predicted", "WB-species-dilution-info": "", "WB-species-notes": "", "IHCP-species-checked": "predicted", "IHCP-species-dilution-info": "", "IHCP-species-notes": "", "mIHC-species-checked": "predicted", "mIHC-species-dilution-info": "", "mIHC-species-notes": "" }, "Hamster": { "WB-species-checked": "predicted", "WB-species-dilution-info": "", "WB-species-notes": "", "IHCP-species-checked": "predicted", "IHCP-species-dilution-info": "", "IHCP-species-notes": "", "mIHC-species-checked": "predicted", "mIHC-species-dilution-info": "", "mIHC-species-notes": "" } } }

Properties and storage information

Form
Liquid
Purification technique
Affinity purification Protein A/G
Purification notes
Purified from TCS by Protein A/G.
Storage buffer
pH: 7.6 Preservative: 0.099% Sodium azide Constituents: PBS, 1% BSA
Shipped at conditions
Blue Ice
Appropriate short-term storage duration
1-2 weeks
Appropriate short-term storage conditions
+4°C
Appropriate long-term storage conditions
-20°C
Aliquoting information
Upon delivery aliquot
Storage information
Avoid freeze / thaw cycle

Supplementary information

This supplementary information is collated from multiple sources and compiled automatically.

The ErbB2 also known as HER2 or HER2 protein is a transmembrane receptor protein with a molecular weight of about 185 kDa. It serves as part of the epidermal growth factor receptor (EGFR) family of receptor tyrosine kinases. The ErbB2 protein is expressed mainly in epithelial tissues including those of the breast and the gastrointestinal tract. It lacks a known ligand-binding domain which sets it apart from other members of its family. Due to its structure ErbB2 dimerizes with other members of the EGFR family to exert its effects in cellular signaling.
Biological function summary

The role of ErbB2 extends beyond a singular function. It becomes an active component when forming heterodimers with other EGFR family members such as ErbB3 to initiate various downstream signaling cascades. The dimerization activates intracellular pathways leading to cell proliferation survival differentiation and migration. Within cells ErbB2 influences processes critical for normal development and tissue homeostasis contributing significantly to signal transduction networks.

Pathways

ErbB2 plays a pivotal role in pathways such as the PI3K/Akt and MAPK/ERK pathways. These pathways are important in mediating cellular responses to growth signals. The PI3K/Akt pathway activated by HER2 signaling regulates cell growth and survival while the MAPK/ERK pathway contributes to cell differentiation and proliferation. ErbB2's interaction with proteins like ErbB3 is fundamental in these pathways increasing the amplitude and diversity of downstream signals.

ErbB2 is significantly associated with breast cancer and gastric cancer. The overexpression or gene amplification of HER2 is observed in approximately 20% of breast cancer cases correlating with aggressive tumor growth and poor prognosis. ErbB2-related signaling contributes to oncogenic processes by promoting excessive cell proliferation. Targeting ErbB2 in these cancers is common using therapies such as monoclonal antibodies like trastuzumab. In the context of gastric cancer the role of ErbB2 mirrors its function in breast cancer and targeting HER2 holds therapeutic potential.

Product protocols

For this product, it's our understanding that no specific protocols are required. You can visit:

Target data

The protein expressed by the ERBB2 gene is a protein tyrosine kinase involved in several cell surface receptor complexes, requiring a coreceptor for ligand binding. It is an essential component of a neuregulin-receptor complex, although neuregulins do not bind to it directly. GP30 is a potential ligand for this receptor. ERBB2 regulates the outgrowth and stabilization of peripheral microtubules (MTs) via the MEMO1-RHOA-DIAPH1 signaling pathway, which, upon activation, phosphorylates and inhibits GSK3B at the cell membrane. This prevents APC and CLASP2 phosphorylation, allowing their association with the cell membrane, facilitating MACF1 localization necessary for microtubule capture and stabilization. In the nucleus, ERBB2 is involved in transcriptional regulation, associating with the 5'-TCAAATTC-3' sequence in the PTGS2/COX-2 promoter to activate transcription. It is implicated in the transcriptional activation of CDKN1A, involving STAT3 and SRC, and participates in the transcription of rRNA genes by RNA Pol I, thereby enhancing protein synthesis and cell growth. This supplementary information is collated from multiple sources and compiled automatically.
See full target information ERBB2

Publications (1)

Recent publications for all applications. Explore the full list and refine your search

World journal of gastrointestinal oncology 17:105264 PubMed40697228

2025

Nav1.6 drives colorectal cancer proliferation and invasion through MAPK signaling pathway.

Applications

Unspecified application

Species

Unspecified reactive species

Li-Ming Zhao,Wan-Ying Hong,Jian-Guang Xu,Shui-Quan Lin,Ming-Sheng Liu,Li-Hui Wang,Xu-Li Jiang,Ming Sang,Yang-Bo Lv
View all publications

Product promise

We are committed to supporting your work with high-quality reagents, and we're here for you every step of the way. In the unlikely event that one of our products does not perform as expected, you're protected by our Product Promise.
For full details, please see our Terms & Conditions

Please note: All products are 'FOR RESEARCH USE ONLY. NOT FOR USE IN DIAGNOSTIC OR THERAPEUTIC PROCEDURES'.

For licensing inquiries, please contact partnerships@abcam.com