JavaScript is disabled in your browser. Please enable JavaScript to view this website.
AB16662

Anti-ErbB2 / HER2 antibody [SP3]

5

(2 Reviews)

|

(8 Publications)

Anti-ErbB2 / HER2 antibody [SP3] (ab16662) is a rabbit monoclonal antibody detecting ErbB2 / HER2 in IHC-P. Suitable for Human.

- Biophysical QC for unrivalled batch-batch consistency
- Trusted since 2005

View Alternative Names

CD340, HER2, MLN19, NEU, NGL, ERBB2, Receptor tyrosine-protein kinase erbB-2, Metastatic lymph node gene 19 protein, Proto-oncogene Neu, Proto-oncogene c-ErbB-2, Tyrosine kinase-type cell surface receptor HER2, p185erbB2, MLN 19

3 Images
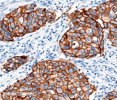
Immunohistochemistry (Formalin/PFA-fixed paraffin-embedded sections) - Anti-ErbB2 / HER2 antibody [SP3] (AB16662)
  • IHC-P

Lab

Immunohistochemistry (Formalin/PFA-fixed paraffin-embedded sections) - Anti-ErbB2 / HER2 antibody [SP3] (AB16662)

Immunohistochemical analysis of formalin fixed paraffin embedded human breast cancer labelling ErbB2 with ab16662 at a concentration of 0.16 µg/ml. The immunostaining was performed on a Ventana DISCOVERY ULTRA (Roche Tissue Diagnostics) instrument with an OptiView DAB IHC Detection Kit. Heat mediated antigen retrieval was conducted for 32 mins at 100°C with ULTRA cell conditioning solution (CC1, pH 8.5). ab16662 anti-ErbB2 / HER2 antibody [SP3] was incubated at 37°C for 16 mins. Sections were counterstained with Hematoxylin II. Image inset shows absence of staining in secondary antibody only control.

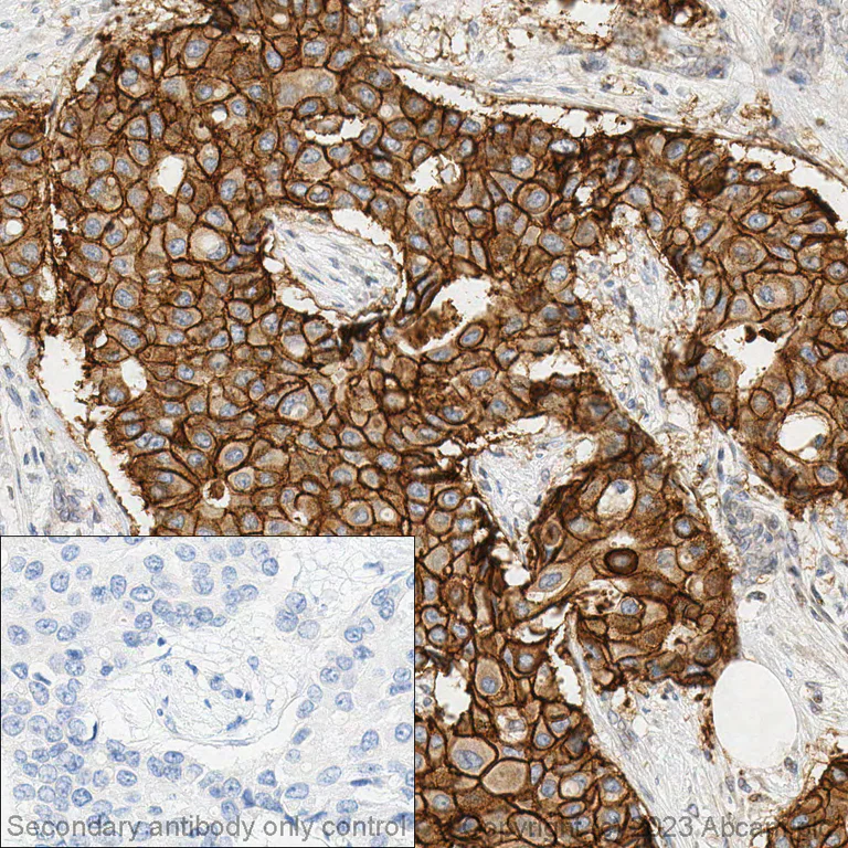
Immunohistochemistry (Formalin/PFA-fixed paraffin-embedded sections) - Anti-ErbB2 / HER2 antibody [SP3] (AB16662)
  • IHC-P

Lab

Immunohistochemistry (Formalin/PFA-fixed paraffin-embedded sections) - Anti-ErbB2 / HER2 antibody [SP3] (AB16662)

Immunohistochemical analysis of paraffin-embedded Human breast carcinoma tissue labeling ErbB 2 with ab16662, followed by a ready to use Goat Anti-Rabbit & Mouse IgG (HRP). Positive staining on Human breast carcinoma, performed on a Leica Biosystems BOND® RX instrument. The section was incubated with ab16662 for 10 mins at room temperature. Counterstained with Hematoxylin. Heat mediated antigen retrieval using Bond™ Epitope Retrieval Solution 1 (pH 6.0) for 10 minutes. Secondary antibody only control : Used PBS instead of primary antibody, secondary antibody is a ready to use Goat Anti-Rabbit & Mouse IgG (HRP).

This image was generated from the hybridoma version.

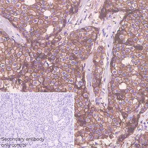
Immunohistochemistry (Formalin/PFA-fixed paraffin-embedded sections) - Anti-ErbB2 / HER2 antibody [SP3] (AB16662)
  • IHC-P

Supplier Data

Immunohistochemistry (Formalin/PFA-fixed paraffin-embedded sections) - Anti-ErbB2 / HER2 antibody [SP3] (AB16662)

Formalin-fixed, paraffin-embedded human breast invasive ductal carcinoma tissue stained for ErbB2 / HER2 using ab16662 at 1/200 dilution in immunohistochemical analysis, followed by Goat anti Rabbit IgG HRP. Heat mediated antigen retrieval was done using a pH 8.5 buffer.

This image was generated from the hybridoma version.

Key facts

Host species

Rabbit

Clonality

Monoclonal

Clone number

SP3

Isotype

IgG

Carrier free

No

Reacts with

Human

Applications

IHC-P

applications

Immunogen

The exact immunogen used to generate this antibody is proprietary information.

Epitope

Extracellular domain

Specificity

This antibody has some non-specific staining signals in skeletal muscle tissues in IHC-P. For better sensitivity and less background, we recommend ab134182 and ab237715 as alternatives.

Reactivity data

{ "title": "Reactivity Data", "filters": { "stats": ["", "Species", "Dilution Info", "Notes"], "tabs": { "all-applications": {"fullname" : "All Applications", "shortname": "All Applications"}, "ICC" : {"fullname" : "Immunocytochemistry", "shortname":"ICC"}, "IP" : {"fullname" : "Immunoprecipitation", "shortname":"IP"}, "FlowCyt" : {"fullname" : "Flow Cytometry", "shortname":"Flow Cyt"}, "WB" : {"fullname" : "Western blot", "shortname":"WB"}, "IHCP" : {"fullname" : "Immunohistochemistry (Formalin/PFA-fixed paraffin-embedded sections)", "shortname":"IHC-P"}, "IHCFr" : {"fullname" : "Immunohistochemistry (Frozen sections)", "shortname":"IHC-Fr"} }, "product-promise": { "all": "all", "testedAndGuaranteed": "tested", "guaranteed": "expected", "predicted": "predicted", "notRecommended": "not-recommended" } }, "values": { "Human": { "ICC-species-checked": "notRecommended", "ICC-species-dilution-info": "", "ICC-species-notes": "<p></p>", "IP-species-checked": "notRecommended", "IP-species-dilution-info": "", "IP-species-notes": "<p></p>", "FlowCyt-species-checked": "notRecommended", "FlowCyt-species-dilution-info": "", "FlowCyt-species-notes": "<p></p>", "WB-species-checked": "notRecommended", "WB-species-dilution-info": "", "WB-species-notes": "<p></p>", "IHCP-species-checked": "testedAndGuaranteed", "IHCP-species-dilution-info": "1/100", "IHCP-species-notes": "<p></p> Perform heat-mediated antigen retrieval with citrate buffer pH 6 before commencing with IHC staining protocol.", "IHCFr-species-checked": "notRecommended", "IHCFr-species-dilution-info": "", "IHCFr-species-notes": "<p></p>" }, "Mouse": { "ICC-species-checked": "notRecommended", "ICC-species-dilution-info": "", "ICC-species-notes": "", "IP-species-checked": "notRecommended", "IP-species-dilution-info": "", "IP-species-notes": "", "FlowCyt-species-checked": "notRecommended", "FlowCyt-species-dilution-info": "", "FlowCyt-species-notes": "", "WB-species-checked": "notRecommended", "WB-species-dilution-info": "", "WB-species-notes": "", "IHCP-species-checked": "notRecommended", "IHCP-species-dilution-info": "1/100", "IHCP-species-notes": "<p></p> Perform heat-mediated antigen retrieval with citrate buffer pH 6 before commencing with IHC staining protocol.", "IHCFr-species-checked": "notRecommended", "IHCFr-species-dilution-info": "", "IHCFr-species-notes": "" } } }

You may be interested in:

AB283881

Human ErbB2 / HER2 ELISA Kit

0

0 Reviews

View product

We recommend this product because it’s often used in the same experiment or related research.

We advise that you always check the datasheet to ensure it fits your experiments, or contact ourtechnical teamfor help.

Product details

Properties and storage information

Form
Liquid
Purification technique
Affinity purification Protein A
Storage buffer
pH: 7.2 - 7.4 Preservative: 0.1% Sodium azide Constituents: PBS, 1% BSA
Shipped at conditions
Blue Ice
Appropriate short-term storage conditions
+4°C
Appropriate long-term storage conditions
-20°C
Aliquoting information
Upon delivery aliquot
Storage information
Avoid freeze / thaw cycle

Product protocols

For this product, it's our understanding that no specific protocols are required. You can visit:

Target data

The protein expressed by the ERBB2 gene is a protein tyrosine kinase involved in several cell surface receptor complexes, requiring a coreceptor for ligand binding. It is an essential component of a neuregulin-receptor complex, although neuregulins do not bind to it directly. GP30 is a potential ligand for this receptor. ERBB2 regulates the outgrowth and stabilization of peripheral microtubules (MTs) via the MEMO1-RHOA-DIAPH1 signaling pathway, which, upon activation, phosphorylates and inhibits GSK3B at the cell membrane. This prevents APC and CLASP2 phosphorylation, allowing their association with the cell membrane, facilitating MACF1 localization necessary for microtubule capture and stabilization. In the nucleus, ERBB2 is involved in transcriptional regulation, associating with the 5'-TCAAATTC-3' sequence in the PTGS2/COX-2 promoter to activate transcription. It is implicated in the transcriptional activation of CDKN1A, involving STAT3 and SRC, and participates in the transcription of rRNA genes by RNA Pol I, thereby enhancing protein synthesis and cell growth. This supplementary information is collated from multiple sources and compiled automatically.
See full target information ERBB2

Publications (8)

Recent publications for all applications. Explore the full list and refine your search

Journal of clinical medicine 11: PubMed36498537

2022

HER2 Expression in Peritoneal Dissemination of High-Grade Serous Ovarian Carcinoma: A Comparative Study of Immunohistochemical Reactivity Using Four HER2 Antibodies.

Applications

Unspecified application

Species

Unspecified reactive species

Min-Kyung Yeo,Sup Kim,Heon Jong Yoo,Kwang-Sun Suh,Kyung-Hee Kim

Journal of oncology 2022:9390912 PubMed36046364

2022

Combining Organoid Models with Next-Generation Sequencing to Reveal Tumor Heterogeneity and Predict Therapeutic Response in Breast Cancer.

Applications

Unspecified application

Species

Unspecified reactive species

Yuhong Liu,Yixiang Gan,NiJiati AiErken,Wei Chen,Shiwei Zhang,Jie Ouyang,Leli Zeng,Di Tang

International journal of molecular sciences 23: PubMed35269608

2022

In Vivo Evaluation of Sgc8-c Aptamer as a Molecular Imaging Probe for Colon Cancer in a Mouse Xenograft Model.

Applications

Unspecified application

Species

Unspecified reactive species

Ana Paula Arévalo,Romina Castelli,Manuel Ibarra,Martina Crispo,Victoria Calzada

Oncology letters 20:129 PubMed32934698

2020

Genetic profiling of somatic alterations by Oncomine Focus Assay in Korean patients with advanced gastric cancer.

Applications

Unspecified application

Species

Unspecified reactive species

Joonhong Park,Sang-Il Lee,Soyoung Shin,Jang Hee Hong,Han Mo Yoo,Jeong Goo Kim

Cell proliferation 52:e12612 PubMed31012189

2019

ERα is required for suppressing OCT4-induced proliferation of breast cancer cells via DNMT1/ISL1/ERK axis.

Applications

Unspecified application

Species

Unspecified reactive species

Xiangshu Jin,Yanru Li,Yantong Guo,Yiyang Jia,Huinan Qu,Yan Lu,Peiye Song,Xiaoli Zhang,Yijia Shao,Da Qi,Wenhong Xu,Chengshi Quan

Journal of cancer metastasis and treatment 3:150-160 PubMed28955730

2017

TGF-β Stimulation of EMT Programs Elicits Non-genomic ER-α Activity and Anti-estrogen Resistance in Breast Cancer Cells.

Applications

Unspecified application

Species

Unspecified reactive species

Maozhen Tian,William P Schiemann

Asian Pacific journal of cancer prevention : APJCP 15:9739-45 PubMed25520097

2014

Hormone receptor, HER2/NEU and EGFR expression in ovarian carcinoma--is here a prognostic phenotype?

Applications

Unspecified application

Species

Unspecified reactive species

Lutfiye Demir,Seyran Yigit,Canan Sadullahoglu,Murat Akyol,Suna Cokmert,Yuksel Kucukzeybek,Ahmet Alacacioglu,Fulya Cakalagaoglu,Mustafa Oktay Tarhan

The British journal of radiology 88:20140638 PubMed25429418

2014

Does background parenchymal enhancement on MRI affect the rate of positive resection margin in breast cancer patients?

Applications

Unspecified application

Species

Unspecified reactive species

S Y Park,D K Kang,T H Kim
View all publications

Product promise

We are committed to supporting your work with high-quality reagents, and we're here for you every step of the way. In the unlikely event that one of our products does not perform as expected, you're protected by our Product Promise.
For full details, please see our Terms & Conditions

Associated Products

Select an associated product type
Alternative Product
Primary Antibodies

AB214275

Anti-ErbB2 / HER2 antibody [EPR19547-12]

primary-antibodies

erbb2-her2-antibody-epr19547-12-ab214275

5

(3 reviews)

Alternative Product
Primary Antibodies

AB134182

Anti-ErbB2 / HER2 antibody [EP1045Y]

primary-antibodies

erbb2-her2-antibody-ep1045y-ab134182

4

(4 reviews)

Alternative Product
Primary Antibodies

AB108371

Anti-ErbB2 / HER2 (phospho Y877) antibody [EP2324Y]

primary-antibodies

erbb2-her2-phospho-y877-antibody-ep2324y-ab108371

2

(1 reviews)

Alternative Product
Primary Antibodies

AB53290

Anti-ErbB2 / HER2 (phospho Y1139) antibody [EP1046Y]

primary-antibodies

erbb2-her2-phospho-y1139-antibody-ep1046y-ab53290

5

(1 reviews)

Alternative Product
Primary Antibodies

AB194979

Anti-ErbB2 / HER2 antibody [EP1045Y] - BSA and Azide free

primary-antibodies

erbb2-her2-antibody-ep1045y-bsa-and-azide-free-ab194979

0

(0 reviews)

Alternative Product
Primary Antibodies

AB225509

Alexa Fluor® 488 Anti-ErbB2 / HER2 antibody [EPR19547-12]

primary-antibodies

alexa-fluor-488-erbb2-her2-antibody-epr19547-12-ab225509

5

(1 reviews)

Alternative Product
Primary Antibodies

AB281782

Alexa Fluor® 555 Anti-ErbB2 / HER2 antibody [EP1045Y]

primary-antibodies

alexa-fluor-555-erbb2-her2-antibody-ep1045y-ab281782

0

(0 reviews)

Alternative Product
Primary Antibodies

AB225510

Alexa Fluor® 647 Anti-ErbB2 / HER2 antibody [EPR19547-12]

primary-antibodies

alexa-fluor-647-erbb2-her2-antibody-epr19547-12-ab225510

0

(0 reviews)

Please note: All products are 'FOR RESEARCH USE ONLY. NOT FOR USE IN DIAGNOSTIC OR THERAPEUTIC PROCEDURES'.

For licensing inquiries, please contact partnerships@abcam.com