JavaScript is disabled in your browser. Please enable JavaScript to view this website.
AB316758

Anti-ErbB2 / HER2 (phospho Y1221 + Y1222) antibody [EPR28391-67]

Be the first to review this product! Submit a review

|

(0 Publication)

Rabbit Recombinant Monoclonal ErbB2 / HER2 phospho Y1221 + Y1222 antibody. Suitable for Dot, ICC/IF, WB and reacts with Synthetic peptide - Human, Human, Mouse samples.

View Alternative Names

CD340, HER2, MLN19, NEU, NGL, ERBB2, Receptor tyrosine-protein kinase erbB-2, Metastatic lymph node gene 19 protein, Proto-oncogene Neu, Proto-oncogene c-ErbB-2, Tyrosine kinase-type cell surface receptor HER2, p185erbB2, MLN 19

8 Images
Immunocytochemistry/ Immunofluorescence - Anti-ErbB2 / HER2 (phospho Y1221 + Y1222) antibody [EPR28391-67] (AB316758)
  • ICC/IF

Supplier Data

Immunocytochemistry/ Immunofluorescence - Anti-ErbB2 / HER2 (phospho Y1221 + Y1222) antibody [EPR28391-67] (AB316758)

Immunofluorescent analysis of 4% Paraformaldehyde-fixed, 0.1% TritonX-100 permeabilized HeLa (human cervical adenocarcinoma epithelial cell) cells labelling ErbB2 / HER2 (phospho Y1221 + Y1222) with ab316758 at 1/100 (5.14 ug/ml) dilution, followed by ab150081 Goat Anti-Rabbit IgG H&L (Alexa Fluor® 488) preadsorbed antibody at 1/1000 (2 ug/ml) dilution (Green).

Confocal image showing increased membranous and cytoplasmic staining in HeLa cells starved for 4 hours then treated with EGF (200 ng/ml) for 15 min. The signal decreased after alkaline phosphatase treatment at 37℃ for 2h. Image was taken with a confocal microscope(Leica-Microsystems, TCS SP8).

ab195889 Anti-alpha Tubulin mouse monoclonal antibody - Microtubule Marker (Alexa Fluor® 594) was used to counterstain tubulin at 1/200 (2.5ug/ml) dilution (Magenta). The Nuclear counterstain was DAPI (Blue).

Secondary antibody only control : Secondary antibody is ab150081 Goat Anti-Rabbit IgG H&L (Alexa Fluor® 488) preadsorbed at 1/1000 (2 ug/ml) dilution.

Immunocytochemistry/ Immunofluorescence - Anti-ErbB2 / HER2 (phospho Y1221 + Y1222) antibody [EPR28391-67] (AB316758)
  • ICC/IF

Supplier Data

Immunocytochemistry/ Immunofluorescence - Anti-ErbB2 / HER2 (phospho Y1221 + Y1222) antibody [EPR28391-67] (AB316758)

Immunofluorescent analysis of 4% Paraformaldehyde-fixed, 0.1% TritonX-100 permeabilized SK-BR-3 (human breast adenocarcinoma epithelial cell) cells labelling ErbB2 / HER2 (phospho Y1221 + Y1222) with ab316758 at 1/100 (5.14 ug/ml) dilution, followed by ab150081 Goat Anti-Rabbit IgG H&L (Alexa Fluor® 488) preadsorbed antibody at 1/1000 (2 ug/ml) dilution (Green).

Confocal image showing mainly membranous staining in SK-BR-3 cells, then the signal decreased after phosphatase treatment at 37℃ for 2h. Image was taken with a confocal microscope(Leica-Microsystems, TCS SP8).

ab195889 Anti-alpha Tubulin mouse monoclonal antibody - Microtubule Marker (Alexa Fluor® 594) was used to counterstain tubulin at 1/200 (2.5ug/ml) dilution (Magenta). The Nuclear counterstain was DAPI (Blue).

Secondary antibody only control : Secondary antibody is ab150081 Goat Anti-Rabbit IgG H&L (Alexa Fluor® 488) preadsorbed at 1/1000 (2 ug/ml) dilution.

Immunocytochemistry/ Immunofluorescence - Anti-ErbB2 / HER2 (phospho Y1221 + Y1222) antibody [EPR28391-67] (AB316758)
  • ICC/IF

Supplier Data

Immunocytochemistry/ Immunofluorescence - Anti-ErbB2 / HER2 (phospho Y1221 + Y1222) antibody [EPR28391-67] (AB316758)

Immunofluorescent analysis of 4% Paraformaldehyde-fixed, 0.1% TritonX-100 permeabilized 4T1 (mouse mammary gland carcinoma epithelial cell) cells labelling ErbB2 / HER2 (phospho Y1221 + Y1222) with ab316758 at 1/100 (5.14 ug/ml) dilution, followed by ab150081 Goat Anti-Rabbit IgG H&L (Alexa Fluor® 488) preadsorbed antibody at 1/1000 (2 ug/ml) dilution (Green).

Confocal image showing membranous and cytoplasmic staining in 4T1 cells, and the signal decreased after phosphatase treatment at 37℃ for 2h. Image was taken with a confocal microscope(Leica-Microsystems, TCS SP8).

ab195889 Anti-alpha Tubulin mouse monoclonal antibody - Microtubule Marker (Alexa Fluor® 594) was used to counterstain tubulin at 1/200 (2.5ug/ml) dilution (Magenta). The Nuclear counterstain was DAPI (Blue).

Secondary antibody only control : Secondary antibody is ab150081 Goat Anti-Rabbit IgG H&L (Alexa Fluor® 488) preadsorbed at 1/1000 (2 ug/ml) dilution.

Western blot - Anti-ErbB2 / HER2 (phospho Y1221 + Y1222) antibody [EPR28391-67] (AB316758)
  • WB

Supplier Data

Western blot - Anti-ErbB2 / HER2 (phospho Y1221 + Y1222) antibody [EPR28391-67] (AB316758)

ErbB2 / HER2 (phospho Y1221 + Y1222) expression can be downregulated by lapatinib treatment (PMID : 27738326).

In Western blot, Anti-GAPDH antibody [EPR16891] - Loading Control (ab181602) staining at 1/200000 dilution.

In Western blot, Anti-ErbB2 / HER2 antibody - Total protein control (ab214275) staining at 1/1000 dilution.

All lanes:

Western blot - Anti-ErbB2 / HER2 (phospho Y1221 + Y1222) antibody [EPR28391-67] (ab316758) at 1/1000 dilution

Lane 1:

Untreated SK-BR-3 (human breast adenocarcinoma epithelial cell) whole cell lysate at 40 µg

Lane 2:

SK-BR-3 treated with 5uM lapatinib for 24 hours whole cell lysate at 40 µg

Secondary

All lanes:

Western blot - Goat Anti-Rabbit IgG H&L (HRP) (<a href='/en-us/products/secondary-antibodies/goat-rabbit-igg-h-l-hrp-ab97051'>ab97051</a>) at 1/100000 dilution

Observed band size: 180 kDa,36 kDa

false

Exposure time: 180s

Western blot - Anti-ErbB2 / HER2 (phospho Y1221 + Y1222) antibody [EPR28391-67] (AB316758)
  • WB

Supplier Data

Western blot - Anti-ErbB2 / HER2 (phospho Y1221 + Y1222) antibody [EPR28391-67] (AB316758)

Lysates were freshly made and used for Western blotting immediately to minimize protein degradation.

In Western blot, Anti-GAPDH antibody [EPR16891] - Loading Control (ab181602) staining at 1/200000 dilution.

In Western blot, Anti-ErbB2 / HER2 antibody - Total protein control (ab214275) staining at 1/1000 dilution.

All lanes:

Western blot - Anti-ErbB2 / HER2 (phospho Y1221 + Y1222) antibody [EPR28391-67] (ab316758) at 1/1000 dilution

Lane 1:

SK-BR-3 (human breast adenocarcinoma epithelial cell) whole cell lysate (untreated membrane) at 20 µg

Lane 2:

SK-BR-3 (human breast adenocarcinoma epithelial cell) whole cell lysate (alkaline phosphatase treated membrane) at 20 µg

Secondary

All lanes:

Western blot - Goat Anti-Rabbit IgG H&L (HRP) (<a href='/en-us/products/secondary-antibodies/goat-rabbit-igg-h-l-hrp-ab97051'>ab97051</a>) at 1/100000 dilution

Observed band size: 180 kDa,36 kDa

false

Exposure time: 92s

Western blot - Anti-ErbB2 / HER2 (phospho Y1221 + Y1222) antibody [EPR28391-67] (AB316758)
  • WB

Supplier Data

Western blot - Anti-ErbB2 / HER2 (phospho Y1221 + Y1222) antibody [EPR28391-67] (AB316758)

ErbB2 / HER2 (phospho Y1221 + Y1222) expression can be induced by EGF treatment (PMID : 7728765).

In Western blot, Anti-Histone H3 antibody [EPR16987] - Nuclear Marker and ChIP Grade (ab176842) staining at 1/100000 dilution.

In Western blot, Anti-ErbB2 / HER2 antibody - Total protein control (ab214275) staining at 1/1000 dilution.

All lanes:

Western blot - Anti-ErbB2 / HER2 (phospho Y1221 + Y1222) antibody [EPR28391-67] (ab316758) at 1/1000 dilution

Lane 1:

Untreated HeLa (human cervix adenocarcinoma epithelial cell) starved for 4 hours whole cell lysate (untreated membrane) at 20 µg

Lane 2:

HeLa starved for 4 hours, then treated with /ml EGF for 15 minutes whole cell lysate (untreated membrane) at 20 µg

Lane 3:

HeLa starved for 4 hours, then treated with /ml EGF for 15 minutes whole cell lysate (alkaline phosphatase treated membrane) at 20 µg

Secondary

All lanes:

Western blot - Goat Anti-Rabbit IgG H&L (HRP) (<a href='/en-us/products/secondary-antibodies/goat-rabbit-igg-h-l-hrp-ab97051'>ab97051</a>) at 1/100000 dilution

Observed band size: 180 kDa,15 kDa

false

Exposure time: 81s

Western blot - Anti-ErbB2 / HER2 (phospho Y1221 + Y1222) antibody [EPR28391-67] (AB316758)
  • WB

Supplier Data

Western blot - Anti-ErbB2 / HER2 (phospho Y1221 + Y1222) antibody [EPR28391-67] (AB316758)

In Western blot, Anti-Histone H3 antibody [EPR16987] - Nuclear Marker and ChIP Grade (ab176842) staining at 1/100000 dilution.

In Western blot, Anti-ErbB2 / HER2 antibody - Total protein control (ab214275) staining at 1/1000 dilution.

All lanes:

Western blot - Anti-ErbB2 / HER2 (phospho Y1221 + Y1222) antibody [EPR28391-67] (ab316758) at 1/1000 dilution

Lane 1:

Untreated T47D (human ductal breast epithelial tumor epithelial cell) starved for 4 hours whole cell lysate (untreated membrane) at 20 µg

Lane 2:

T47D starved for 4 hours, then treated with /ml Neuregulin for 10 minutes whole cell lysate (untreated membrane) at 20 µg

Lane 3:

T47D starved for 4 hours, then treated with /ml Neuregulin for 10 minutes whole cell lysate (alkaline phosphatase treated membrane) at 20 µg

Secondary

All lanes:

Western blot - Goat Anti-Rabbit IgG H&L (HRP) (<a href='/en-us/products/secondary-antibodies/goat-rabbit-igg-h-l-hrp-ab97051'>ab97051</a>) at 1/100000 dilution

Observed band size: 180 kDa,15 kDa

false

Exposure time: 103s

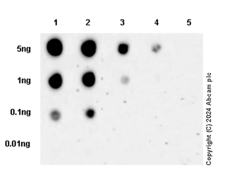
Dot Blot - Anti-ErbB2 / HER2 (phospho Y1221 + Y1222) antibody [EPR28391-67] (AB316758)
  • Dot

Supplier Data

Dot Blot - Anti-ErbB2 / HER2 (phospho Y1221 + Y1222) antibody [EPR28391-67] (AB316758)

Dot blot analysis of ErbB2 / HER2 (phospho Y1221 + Y1222) using ab316758 at 1 : 1000 (0.514 ug/ml) followed by a Goat Anti-Rabbit IgG, (H+L), Peroxidase conjugated (ab97051) at 1 : 100,000 dilution.

Blocking and diluting buffer and concentration : 5% NFDM/TBST.

Lane 1 : ErbB2 / HER2 (phospho Y1221 + Y1222) peptide a
Lane 2 : ErbB2 / HER2 (phospho Y1221 + Y1222) peptide b
Lane 3 : ErbB2 / HER2 (phospho Y1221 ) peptide c
Lane 4 : ErbB2 / HER2 (phospho Y1222) peptide d
Lane 5 : ErbB2 / HER2 non-phospho peptide e

The antibody recognizes ERBB2 protein when phosphorylated at Tyr1221 and Tyr1222, and shows slight reactivity with ERBB2 when singly phosphorylated at Tyr1221 or Tyr1222.

All lanes:

Dot Blot - Anti-ErbB2 / HER2 (phospho Y1221 + Y1222) antibody [EPR28391-67] (ab316758) at 1/1000 dilution

Lane 1:

ErbB2 / HER2 (phospho Y1221 + Y1222) peptide a

Lane 2:

ErbB2 / HER2 (phospho Y1221 + Y1222) peptide b

Lane 3:

ErbB2 / HER2 (phospho Y1221 ) peptide c

Lane 4:

ErbB2 / HER2 (phospho Y1222) peptide d

Lane 5:

ErbB2 / HER2 non-phospho peptide e

Secondary

All lanes:

Dot Blot - Goat Anti-Rabbit IgG H&L (HRP) (<a href='/en-us/products/secondary-antibodies/goat-rabbit-igg-h-l-hrp-ab97051'>ab97051</a>) at 1/100000 dilution

false

Exposure time: 180s

  • Carrier free

    Anti-ErbB2 / HER2 (phospho Y1221 + Y1222) antibody [EPR28391-67] - BSA and Azide free

Key facts

Host species

Rabbit

Clonality

Monoclonal

Clone number

EPR28391-67

Isotype

IgG

Carrier free

No

Reacts with

Human, Mouse

Applications

Dot, WB, ICC/IF

applications

Immunogen

The exact immunogen used to generate this antibody is proprietary information.

Specificity

Unsuitable for mouse WB.

Reactivity data

{ "title": "Reactivity Data", "filters": { "stats": ["", "Species", "Dilution Info", "Notes"], "tabs": { "all-applications": {"fullname" : "All Applications", "shortname": "All Applications"}, "Dot" : {"fullname" : "Dot Blot", "shortname":"Dot"}, "ICCIF" : {"fullname" : "Immunocytochemistry/ Immunofluorescence", "shortname":"ICC/IF"}, "WB" : {"fullname" : "Western blot", "shortname":"WB"}, "IHCP" : {"fullname" : "Immunohistochemistry (Formalin/PFA-fixed paraffin-embedded sections)", "shortname":"IHC-P"}, "IHCFr" : {"fullname" : "Immunohistochemistry (Frozen sections)", "shortname":"IHC-Fr"}, "FlowCytIntra" : {"fullname" : "Flow Cytometry (Intracellular)", "shortname":"Flow Cyt (Intra)"}, "IP" : {"fullname" : "Immunoprecipitation", "shortname":"IP"} }, "product-promise": { "all": "all", "testedAndGuaranteed": "tested", "guaranteed": "expected", "predicted": "predicted", "notRecommended": "not-recommended" } }, "values": { "Human": { "Dot-species-checked": "guaranteed", "Dot-species-dilution-info": "", "Dot-species-notes": "", "ICCIF-species-checked": "testedAndGuaranteed", "ICCIF-species-dilution-info": "1/100", "ICCIF-species-notes": "<p></p>", "WB-species-checked": "testedAndGuaranteed", "WB-species-dilution-info": "1/1000", "WB-species-notes": "<p></p>", "IHCP-species-checked": "notRecommended", "IHCP-species-dilution-info": "", "IHCP-species-notes": "<p></p>", "IHCFr-species-checked": "notRecommended", "IHCFr-species-dilution-info": "", "IHCFr-species-notes": "", "FlowCytIntra-species-checked": "notRecommended", "FlowCytIntra-species-dilution-info": "", "FlowCytIntra-species-notes": "<p></p>", "IP-species-checked": "notRecommended", "IP-species-dilution-info": "", "IP-species-notes": "<p></p>" }, "Mouse": { "Dot-species-checked": "guaranteed", "Dot-species-dilution-info": "", "Dot-species-notes": "", "ICCIF-species-checked": "testedAndGuaranteed", "ICCIF-species-dilution-info": "1/100", "ICCIF-species-notes": "<p></p>", "WB-species-checked": "notRecommended", "WB-species-dilution-info": "", "WB-species-notes": "<p></p>", "IHCP-species-checked": "notRecommended", "IHCP-species-dilution-info": "", "IHCP-species-notes": "<p></p>", "IHCFr-species-checked": "notRecommended", "IHCFr-species-dilution-info": "", "IHCFr-species-notes": "<p></p>", "FlowCytIntra-species-checked": "notRecommended", "FlowCytIntra-species-dilution-info": "", "FlowCytIntra-species-notes": "<p></p>", "IP-species-checked": "notRecommended", "IP-species-dilution-info": "", "IP-species-notes": "" }, "Rat": { "Dot-species-checked": "notRecommended", "Dot-species-dilution-info": "", "Dot-species-notes": "", "ICCIF-species-checked": "notRecommended", "ICCIF-species-dilution-info": "", "ICCIF-species-notes": "", "WB-species-checked": "notRecommended", "WB-species-dilution-info": "", "WB-species-notes": "", "IHCP-species-checked": "notRecommended", "IHCP-species-dilution-info": "", "IHCP-species-notes": "<p></p>", "IHCFr-species-checked": "notRecommended", "IHCFr-species-dilution-info": "", "IHCFr-species-notes": "", "FlowCytIntra-species-checked": "notRecommended", "FlowCytIntra-species-dilution-info": "", "FlowCytIntra-species-notes": "", "IP-species-checked": "notRecommended", "IP-species-dilution-info": "", "IP-species-notes": "" }, "Synthetic peptide - Human": { "Dot-species-checked": "testedAndGuaranteed", "Dot-species-dilution-info": "1/1000", "Dot-species-notes": "<p></p>", "ICCIF-species-checked": "notRecommended", "ICCIF-species-dilution-info": "", "ICCIF-species-notes": "", "WB-species-checked": "notRecommended", "WB-species-dilution-info": "", "WB-species-notes": "", "IHCP-species-checked": "notRecommended", "IHCP-species-dilution-info": "", "IHCP-species-notes": "", "IHCFr-species-checked": "notRecommended", "IHCFr-species-dilution-info": "", "IHCFr-species-notes": "", "FlowCytIntra-species-checked": "notRecommended", "FlowCytIntra-species-dilution-info": "", "FlowCytIntra-species-notes": "", "IP-species-checked": "notRecommended", "IP-species-dilution-info": "", "IP-species-notes": "" } } }

Product details

Patented technology
Our RabMAb® technology is a patented hybridoma-based technology for making rabbit monoclonal antibodies. For details on our patents, please refer to RabMAb® patents.

What are the advantages of a recombinant monoclonal antibody?
This product is a recombinant monoclonal antibody, which offers several advantages including:

  • - High batch-to-batch consistency and reproducibility
  • - Improved sensitivity and specificity
  • - Long-term security of supply
  • - Animal-free batch production

For more information, read more on recombinant antibodies.

Properties and storage information

Form
Liquid
Purification technique
Affinity purification Protein A
Storage buffer
pH: 7.2 - 7.4 Preservative: 0.01% Sodium azide Constituents: PBS, 40% Glycerol (glycerin, glycerine), 0.05% BSA
Shipped at conditions
Blue Ice
Appropriate short-term storage duration
1-2 weeks
Appropriate short-term storage conditions
+4°C
Appropriate long-term storage conditions
-20°C
Aliquoting information
Upon delivery aliquot
Storage information
Avoid freeze / thaw cycle

Supplementary information

This supplementary information is collated from multiple sources and compiled automatically.

The ErbB2 also known as HER2 or HER2 protein is a transmembrane receptor protein with a molecular weight of about 185 kDa. It serves as part of the epidermal growth factor receptor (EGFR) family of receptor tyrosine kinases. The ErbB2 protein is expressed mainly in epithelial tissues including those of the breast and the gastrointestinal tract. It lacks a known ligand-binding domain which sets it apart from other members of its family. Due to its structure ErbB2 dimerizes with other members of the EGFR family to exert its effects in cellular signaling.
Biological function summary

The role of ErbB2 extends beyond a singular function. It becomes an active component when forming heterodimers with other EGFR family members such as ErbB3 to initiate various downstream signaling cascades. The dimerization activates intracellular pathways leading to cell proliferation survival differentiation and migration. Within cells ErbB2 influences processes critical for normal development and tissue homeostasis contributing significantly to signal transduction networks.

Pathways

ErbB2 plays a pivotal role in pathways such as the PI3K/Akt and MAPK/ERK pathways. These pathways are important in mediating cellular responses to growth signals. The PI3K/Akt pathway activated by HER2 signaling regulates cell growth and survival while the MAPK/ERK pathway contributes to cell differentiation and proliferation. ErbB2's interaction with proteins like ErbB3 is fundamental in these pathways increasing the amplitude and diversity of downstream signals.

ErbB2 is significantly associated with breast cancer and gastric cancer. The overexpression or gene amplification of HER2 is observed in approximately 20% of breast cancer cases correlating with aggressive tumor growth and poor prognosis. ErbB2-related signaling contributes to oncogenic processes by promoting excessive cell proliferation. Targeting ErbB2 in these cancers is common using therapies such as monoclonal antibodies like trastuzumab. In the context of gastric cancer the role of ErbB2 mirrors its function in breast cancer and targeting HER2 holds therapeutic potential.

Product protocols

For this product, it's our understanding that no specific protocols are required. You can visit:

Target data

The protein expressed by the ERBB2 gene is a protein tyrosine kinase involved in several cell surface receptor complexes, requiring a coreceptor for ligand binding. It is an essential component of a neuregulin-receptor complex, although neuregulins do not bind to it directly. GP30 is a potential ligand for this receptor. ERBB2 regulates the outgrowth and stabilization of peripheral microtubules (MTs) via the MEMO1-RHOA-DIAPH1 signaling pathway, which, upon activation, phosphorylates and inhibits GSK3B at the cell membrane. This prevents APC and CLASP2 phosphorylation, allowing their association with the cell membrane, facilitating MACF1 localization necessary for microtubule capture and stabilization. In the nucleus, ERBB2 is involved in transcriptional regulation, associating with the 5'-TCAAATTC-3' sequence in the PTGS2/COX-2 promoter to activate transcription. It is implicated in the transcriptional activation of CDKN1A, involving STAT3 and SRC, and participates in the transcription of rRNA genes by RNA Pol I, thereby enhancing protein synthesis and cell growth. This supplementary information is collated from multiple sources and compiled automatically.
See full target information ERBB2 phospho Y1221 + Y1222

Product promise

We are committed to supporting your work with high-quality reagents, and we're here for you every step of the way. In the unlikely event that one of our products does not perform as expected, you're protected by our Product Promise.
For full details, please see our Terms & Conditions

Please note: All products are 'FOR RESEARCH USE ONLY. NOT FOR USE IN DIAGNOSTIC OR THERAPEUTIC PROCEDURES'.

For licensing inquiries, please contact partnerships@abcam.com