JavaScript is disabled in your browser. Please enable JavaScript to view this website.
AB47262

Anti-ErbB2 / HER2 (phospho Y877) antibody

3

(3 Reviews)

|

(9 Publications)

Rabbit Polyclonal ErbB2 / HER2 phospho Y877 antibody. Suitable for WB, IHC-P and reacts with Human, Mouse samples. Cited in 9 publications. Immunogen corresponding to Synthetic Peptide within Human ERBB2 phospho Y877 aa 850-900.

View Alternative Names

CD340, HER2, MLN19, NEU, NGL, ERBB2, Receptor tyrosine-protein kinase erbB-2, Metastatic lymph node gene 19 protein, Proto-oncogene Neu, Proto-oncogene c-ErbB-2, Tyrosine kinase-type cell surface receptor HER2, p185erbB2, MLN 19

5 Images
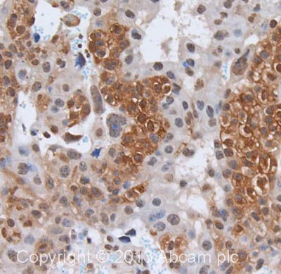
Immunohistochemistry (Formalin/PFA-fixed paraffin-embedded sections) - Anti-ErbB2 / HER2 (phospho Y877) antibody (AB47262)
  • IHC-P

Lab

Immunohistochemistry (Formalin/PFA-fixed paraffin-embedded sections) - Anti-ErbB2 / HER2 (phospho Y877) antibody (AB47262)

IHC image of Angiotensin II Type 1 Receptor staining in Mouse Placenta formalin fixed paraffin embedded tissue section, performed on a Leica Bond™ system using the standard protocol B. The section was pre-treated using heat mediated antigen retrieval with sodium citrate buffer (pH6, epitope retrieval solution 1) for 20 mins. The section was then incubated with ab47262, 1 μg/ml, for 15 mins at room temperature and detected using an HRP conjugated ABC system. DAB was used as the chromogen. The section was then counterstained with haematoxylin and mounted with DPX.

For other IHC staining systems (automated and non-automated) customers should optimize variable parameters such as antigen retrieval conditions, primary antibody concentration and antibody incubation times.

Western blot - Anti-ErbB2 / HER2 (phospho Y877) antibody (AB47262)
  • WB

Supplier Data

Western blot - Anti-ErbB2 / HER2 (phospho Y877) antibody (AB47262)

Western blot analysis of HeLa cell lysate using Anti-ErbB2 (phospho Y877) antibody (ab47262) at 1/500 dilution.

All lanes:

Western blot - Anti-ErbB2 / HER2 (phospho Y877) antibody (ab47262)

Predicted band size: 137 kDa

false

Western blot - Anti-ErbB2 / HER2 (phospho Y877) antibody (AB47262)
  • WB

Supplier Data

Western blot - Anti-ErbB2 / HER2 (phospho Y877) antibody (AB47262)

Western blot analysis of HepG2 and HeLa cell lysate using Anti-ErbB2 / HER2 (phospho Y877) antibody (ab47262).

All lanes:

Western blot - Anti-ErbB2 / HER2 (phospho Y877) antibody (ab47262)

Lane 1:

HepG2 cell lysate

Lane 2:

HeLa cell lysate

Lane 3:

HepG2 cell lysate (blocked with the phospho peptide)

Predicted band size: 137 kDa

false

Western blot - Anti-ErbB2 / HER2 (phospho Y877) antibody (AB47262)
  • WB

AbReview37654****

Western blot - Anti-ErbB2 / HER2 (phospho Y877) antibody (AB47262)

Lanes on the left hand side show phosphorylation of ErbB2 at tyrosine 877 (ab47262) in rat Schwann cells upon incubation with 10 ng/ml GGF for 30 minutes (lane 2).

Incubation with 10 ng/ml GGF for 30 minutes does not change the amount of total ErbB2 in rat Schwann cells (as shown on right hand side lanes).

All lanes:

Western blot - Anti-ErbB2 / HER2 (phospho Y877) antibody (ab47262) at 1/500 dilution

Lane 1:

Schwann cell extract untreated at 10 µg

Lane 2:

Schwann cell extract treated with 10 ng/ml GGF for 30 minutes. at 10 µg

Secondary

All lanes:

HRP conjugated goat anti-rabbit IgG at 1/10000 dilution

Predicted band size: 137 kDa

Observed band size: 200 kDa

true

Exposure time: 1min

This image is courtesy of an anonymous Abreview

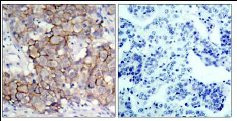
Immunohistochemistry (Formalin/PFA-fixed paraffin-embedded sections) - Anti-ErbB2 / HER2 (phospho Y877) antibody (AB47262)
  • IHC-P

Supplier Data

Immunohistochemistry (Formalin/PFA-fixed paraffin-embedded sections) - Anti-ErbB2 / HER2 (phospho Y877) antibody (AB47262)

Staining of phosphorilated ErB 2 on breast carcinoma tissue sections using ab47262 at a 1/50 dilution. Right panel : the antibody was pre-incubated with synthesized phosphopeptide.

Key facts

Host species

Rabbit

Clonality

Polyclonal

Isotype

IgG

Carrier free

No

Reacts with

Mouse, Human

Applications

IHC-P, WB

applications

Immunogen

Synthetic Peptide within Human ERBB2 phospho Y877 aa 850-900. The exact immunogen used to generate this antibody is proprietary information.

P04626

Reactivity data

{ "title": "Reactivity Data", "filters": { "stats": ["", "Species", "Dilution Info", "Notes"], "tabs": { "all-applications": {"fullname" : "All Applications", "shortname": "All Applications"}, "WB" : {"fullname" : "Western blot", "shortname":"WB"}, "IHCP" : {"fullname" : "Immunohistochemistry (Formalin/PFA-fixed paraffin-embedded sections)", "shortname":"IHC-P"} }, "product-promise": { "all": "all", "testedAndGuaranteed": "tested", "guaranteed": "expected", "predicted": "predicted", "notRecommended": "not-recommended" } }, "values": { "Human": { "WB-species-checked": "testedAndGuaranteed", "WB-species-dilution-info": "1/500 - 1/1000", "WB-species-notes": "<p></p>", "IHCP-species-checked": "guaranteed", "IHCP-species-dilution-info": "", "IHCP-species-notes": "" }, "Mouse": { "WB-species-checked": "guaranteed", "WB-species-dilution-info": "", "WB-species-notes": "", "IHCP-species-checked": "testedAndGuaranteed", "IHCP-species-dilution-info": "", "IHCP-species-notes": "<p></p>" } } }

Properties and storage information

Form
Liquid
Purification technique
Affinity purification Immunogen
Purification notes
This antibody was affinity purified from rabbit antiserum by affinity chromatography using epitope specific phosphopeptide. The antibody against non phosphopeptide was removed by chromatography using non phosphopeptide corresponding to the phosphorylation site.
Storage buffer
pH: 7.4 Preservative: 0.02% Sodium azide Constituents: PBS, 50% Glycerol (glycerin, glycerine), 0.87% Sodium chloride
Shipped at conditions
Blue Ice
Appropriate short-term storage conditions
+4°C
Appropriate long-term storage conditions
-20°C
Storage information
Stable for 12 months at -20°C

Supplementary information

This supplementary information is collated from multiple sources and compiled automatically.

The ErbB2 also known as HER2 or HER2 protein is a transmembrane receptor protein with a molecular weight of about 185 kDa. It serves as part of the epidermal growth factor receptor (EGFR) family of receptor tyrosine kinases. The ErbB2 protein is expressed mainly in epithelial tissues including those of the breast and the gastrointestinal tract. It lacks a known ligand-binding domain which sets it apart from other members of its family. Due to its structure ErbB2 dimerizes with other members of the EGFR family to exert its effects in cellular signaling.
Biological function summary

The role of ErbB2 extends beyond a singular function. It becomes an active component when forming heterodimers with other EGFR family members such as ErbB3 to initiate various downstream signaling cascades. The dimerization activates intracellular pathways leading to cell proliferation survival differentiation and migration. Within cells ErbB2 influences processes critical for normal development and tissue homeostasis contributing significantly to signal transduction networks.

Pathways

ErbB2 plays a pivotal role in pathways such as the PI3K/Akt and MAPK/ERK pathways. These pathways are important in mediating cellular responses to growth signals. The PI3K/Akt pathway activated by HER2 signaling regulates cell growth and survival while the MAPK/ERK pathway contributes to cell differentiation and proliferation. ErbB2's interaction with proteins like ErbB3 is fundamental in these pathways increasing the amplitude and diversity of downstream signals.

ErbB2 is significantly associated with breast cancer and gastric cancer. The overexpression or gene amplification of HER2 is observed in approximately 20% of breast cancer cases correlating with aggressive tumor growth and poor prognosis. ErbB2-related signaling contributes to oncogenic processes by promoting excessive cell proliferation. Targeting ErbB2 in these cancers is common using therapies such as monoclonal antibodies like trastuzumab. In the context of gastric cancer the role of ErbB2 mirrors its function in breast cancer and targeting HER2 holds therapeutic potential.

Product protocols

For this product, it's our understanding that no specific protocols are required. You can visit:

Target data

The protein expressed by the ERBB2 gene is a protein tyrosine kinase involved in several cell surface receptor complexes, requiring a coreceptor for ligand binding. It is an essential component of a neuregulin-receptor complex, although neuregulins do not bind to it directly. GP30 is a potential ligand for this receptor. ERBB2 regulates the outgrowth and stabilization of peripheral microtubules (MTs) via the MEMO1-RHOA-DIAPH1 signaling pathway, which, upon activation, phosphorylates and inhibits GSK3B at the cell membrane. This prevents APC and CLASP2 phosphorylation, allowing their association with the cell membrane, facilitating MACF1 localization necessary for microtubule capture and stabilization. In the nucleus, ERBB2 is involved in transcriptional regulation, associating with the 5'-TCAAATTC-3' sequence in the PTGS2/COX-2 promoter to activate transcription. It is implicated in the transcriptional activation of CDKN1A, involving STAT3 and SRC, and participates in the transcription of rRNA genes by RNA Pol I, thereby enhancing protein synthesis and cell growth. This supplementary information is collated from multiple sources and compiled automatically.
See full target information ERBB2 phospho Y877

Publications (9)

Recent publications for all applications. Explore the full list and refine your search

Computational and structural biotechnology journal 19:2881-2890 PubMed34093999

2021

Substantial cell apoptosis provoked by naked PAMAM dendrimers in HER2-positive human breast cancer via JNK and ERK1/ERK2 signalling pathways.

Applications

Unspecified application

Species

Unspecified reactive species

Hadeel Kheraldine,Ishita Gupta,Hashim Alhussain,Aayesha Jabeen,Farhan S Cyprian,Saghir Akhtar,Ala-Eddin Al Moustafa,Ousama Rachid

BioMed research international 2019:6595437 PubMed31317035

2019

Tongxinluo Attenuates Myocardiac Fibrosis after Acute Myocardial Infarction in Rats via Inhibition of Endothelial-to-Mesenchymal Transition.

Applications

Unspecified application

Species

Unspecified reactive species

Yujie Yin,Qian Zhang,Qifei Zhao,Guoyuan Ding,Cong Wei,Liping Chang,Hongrong Li,Hongying Bei,Hongtao Wang,Junqing Liang,Zhenhua Jia

Journal of experimental & clinical cancer research 38:214 PubMed31118109

2019

GPAA1 promotes gastric cancer progression via upregulation of GPI-anchored protein and enhancement of ERBB signalling pathway.

Applications

Unspecified application

Species

Unspecified reactive species

Xiao-Xin Zhang,Bo Ni,Qing Li,Li-Peng Hu,Shu-Heng Jiang,Rong-Kun Li,Guang-Ang Tian,Li-Li Zhu,Jun Li,Xue-Li Zhang,Yan-Li Zhang,Xiao-Mei Yang,Qin Yang,Ya-Hui Wang,Chun-Chao Zhu,Zhi-Gang Zhang

Cell death & disease 10:362 PubMed31043588

2019

Angiotensin II inhibits apoptosis of mouse aortic smooth muscle cells through regulating the circNRG-1/miR-193b-5p/NRG-1 axis.

Applications

Unspecified application

Species

Unspecified reactive species

Yan Sun,Suli Zhang,Mingming Yue,Yang Li,Jing Bi,Huirong Liu

Journal of cellular and molecular medicine 21:1905-1914 PubMed28271613

2017

Qiliqiangxin protects against anoxic injury in cardiac microvascular endothelial cells via NRG-1/ErbB-PI3K/Akt/mTOR pathway.

Applications

Unspecified application

Species

Unspecified reactive species

Jingfeng Wang,Jingmin Zhou,Yanyan Wang,Chunjie Yang,Mingqiang Fu,Jingjing Zhang,Xueting Han,Zhiming Li,Kai Hu,Junbo Ge

Oncotarget 7:17301-13 PubMed27004402

2016

Oncogenic AKT1(E17K) mutation induces mammary hyperplasia but prevents HER2-driven tumorigenesis.

Applications

IHC

Species

Unspecified reactive species

Maria L Mancini,Evan C Lien,Alex Toker

Molecular pharmacology 87:150-61 PubMed25391374

2014

Insulin-like growth factor-1 receptor signaling increases the invasive potential of human epidermal growth factor receptor 2-overexpressing breast cancer cells via Src-focal adhesion kinase and forkhead box protein M1.

Applications

Unspecified application

Species

Unspecified reactive species

Eduardo Sanabria-Figueroa,Siobhan M Donnelly,Kevin C Foy,Meghan C Buss,Robert C Castellino,Elisavet Paplomata,Latonia Taliaferro-Smith,Pravin T P Kaumaya,Rita Nahta

The Journal of biological chemistry 285:7035-44 PubMed20022944

2009

Her4 and Her2/neu tyrosine kinase domains dimerize and activate in a reconstituted in vitro system.

Applications

WB

Species

Unspecified reactive species

John Monsey,Wei Shen,Paul Schlesinger,Ron Bose

Molecular and cellular biology 29:1472-86 PubMed19103750

2008

The neurofibromatosis 2 protein, merlin, regulates glial cell growth in an ErbB2- and Src-dependent manner.

Applications

WB

Species

Mouse

S Sean Houshmandi,Ryan J Emnett,Marco Giovannini,David H Gutmann
View all publications

Product promise

We are committed to supporting your work with high-quality reagents, and we're here for you every step of the way. In the unlikely event that one of our products does not perform as expected, you're protected by our Product Promise.
For full details, please see our Terms & Conditions

Please note: All products are 'FOR RESEARCH USE ONLY. NOT FOR USE IN DIAGNOSTIC OR THERAPEUTIC PROCEDURES'.

For licensing inquiries, please contact partnerships@abcam.com