JavaScript is disabled in your browser. Please enable JavaScript to view this website.
AB255607

Anti-ErbB3 / HER3 antibody [EPR22669-25]

Be the first to review this product! Submit a review

|

(4 Publications)

Anti-ErbB3 / HER3 antibody [EPR22669-25] (ab255607) is a rabbit monoclonal antibody detecting ErbB3 / HER3 in Western Blot, Flow Cytometry (Intra), Flow Cytometry, IHC-P. Suitable for Human, Mouse.

- Biophysical QC for unrivalled batch-batch consistency

View Alternative Names

HER3, ERBB3, Receptor tyrosine-protein kinase erbB-3, Proto-oncogene-like protein c-ErbB-3, Tyrosine kinase-type cell surface receptor HER3

8 Images
Immunohistochemistry (Formalin/PFA-fixed paraffin-embedded sections) - Anti-ErbB3 / HER3 antibody [EPR22669-25] (AB255607)
  • IHC-P

Unknown

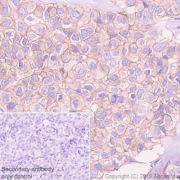
Immunohistochemistry (Formalin/PFA-fixed paraffin-embedded sections) - Anti-ErbB3 / HER3 antibody [EPR22669-25] (AB255607)

Immunohistochemical analysis of paraffin-embedded human breast cancer tissue labeling ErbB3 / HER3 with ab255607 at 1/250 dilution (2.1 μg/ml) followed by a Goat Anti-Rabbit IgG H&L (HRP) ready to use. Membranous staining in human breast carcinoma (PMID : 24346286) is observed. Counterstained with hematoxylin. Heat mediated antigen retrieval using ab93684 (Tris/EDTA buffer, pH 9.0).

Secondary antibody only control : Used PBS instead of primary antibody, secondary antibody is a ready to use Goat Anti-Rabbit IgG H&L (HRP).

Immunohistochemistry (Formalin/PFA-fixed paraffin-embedded sections) - Anti-ErbB3 / HER3 antibody [EPR22669-25] (AB255607)
  • IHC-P

Unknown

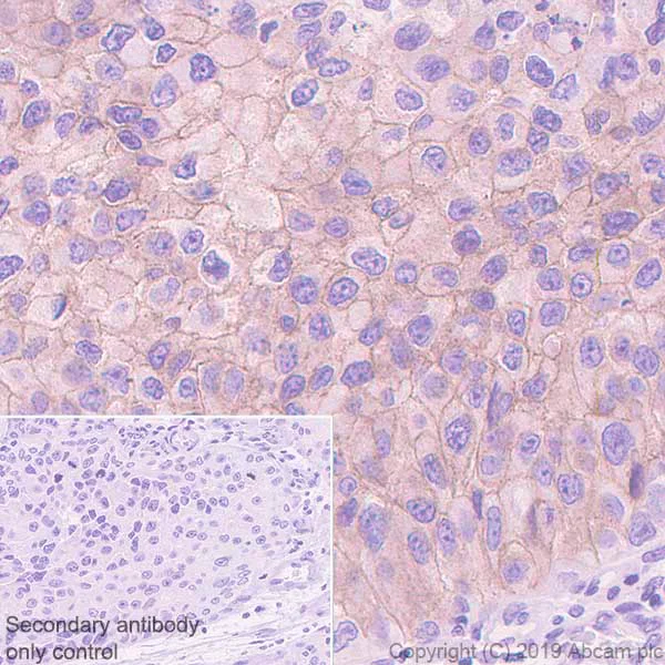
Immunohistochemistry (Formalin/PFA-fixed paraffin-embedded sections) - Anti-ErbB3 / HER3 antibody [EPR22669-25] (AB255607)

Immunohistochemical analysis of paraffin-embedded human bladder cancer tissue labeling ErbB3 / HER3 with ab255607 at 1/250 dilution (2.1 μg/ml) followed by a ready to use Goat Anti-Rabbit IgG H&L (HRP). Membranous staining in human urothelial carcinoma (PMID : 23333248) is observed. Counterstained with hematoxylin. Heat mediated antigen retrieval using ab93684 (Tris/EDTA buffer, pH 9.0).

Secondary antibody only control : Used PBS instead of primary antibody, secondary antibody is a ready to use Goat Anti-Rabbit IgG H&L (HRP).

Flow Cytometry (Intracellular) - Anti-ErbB3 / HER3 antibody [EPR22669-25] (AB255607)
  • Flow Cyt (Intra)

Unknown

Flow Cytometry (Intracellular) - Anti-ErbB3 / HER3 antibody [EPR22669-25] (AB255607)

Intracellular flow cytometric analysis of 4% paraformaldehydefixed 90% methanolpermeabilized MDA-MB-231 (Human breast adenocarcinoma epithelial cell, Left) / MCF7 (Human breast adenocarcinoma epithelial cell, Right) cells labeling ErbB3 / HER3 with ab255607 at 1/50 dilution (1μg)/ Red compared with a Rabbit monoclonal IgG (ab172730) / Black isotype control and an unlabeled control (cells without incubation with primary antibody and secondary antibody) (Blue). A Goat anti rabbit IgG (Alexa Fluor® 488, ab150077) at 1/2000 dilution was used as the secondary antibody. Weak expression control : MDA-MB-231 (PMID : 25018110, 16519802).

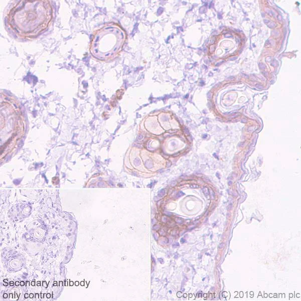
Immunohistochemistry (Formalin/PFA-fixed paraffin-embedded sections) - Anti-ErbB3 / HER3 antibody [EPR22669-25] (AB255607)
  • IHC-P

Unknown

Immunohistochemistry (Formalin/PFA-fixed paraffin-embedded sections) - Anti-ErbB3 / HER3 antibody [EPR22669-25] (AB255607)

Immunohistochemical analysis of paraffin-embedded mouse skin tissue labeling ErbB3 / HER3 with ab255607 at 1/250 dilution (2.1 μg/ml) followed by a Goat Anti-Rabbit IgG H&L (HRP) ready to use. Membranous staining in mouse skin (PMID : 26194695) is observed. Counterstained with hematoxylin. Heat mediated antigen retrieval using ab93684 (Tris/EDTA buffer, pH 9.0).

Secondary antibody only control : Used PBS instead of primary antibody, secondary antibody is Goat Anti-Rabbit IgG H&L (HRP) ready to use.

Western blot - Anti-ErbB3 / HER3 antibody [EPR22669-25] (AB255607)
  • WB

Lab

Western blot - Anti-ErbB3 / HER3 antibody [EPR22669-25] (AB255607)

Western blot : Anti-ErbB3 / HER3 antibody [EPR22669-25] ab255607 staining at 1/1000 dilution, shown in green; Mouse anti-CANX (ab238078) loading control staining at 1/20,000 dilution, shown in magenta. A band was observed at 90-175 kDa in Wild-type MCF7 UNBOILED cell lysates with no signal observed at this size in ERBB3 knockout MCF7 UNBOILED cell line. To generate this image, samples were run on an SDS-PAGE gel then transferred onto a nitrocellulose membrane. Membranes were blocked in 5pc BSA in TBS-0.1 % Tween® 20 (TBS-T) before incubation with primary antibodies overnight at 4 °C. Blots were washed four times in TBS-T, incubated with secondary antibodies for 1 h at room temperature, washed again four times then imaged. Secondary antibodies used were Goat anti-Rabbit 800CW & Goat anti-Mouse 680RD at 1/20,000 dilution.

All lanes:

Western blot - Anti-ErbB3 / HER3 antibody [EPR22669-25] (ab255607) at 1/1000 dilution

Lane 1:

Wild-type MCF7 UNBOILED at 20 µg

Lane 2:

Western blot - Human ERBB3 knockout MCF7 cell line (<a href='/en-us/products/cell-lines/human-erbb3-knockout-mcf7-cell-line-ab286320'>ab286320</a>) at 20 µg

Lane 3:

U-2 OS UNBOILED at 20 µg

Lane 4:

Raji UNBOILED at 20 µg

Secondary

Lanes 1 - 4:

Goat anti-Rabbit 800CW at 1/20000 dilution

Lanes 1 - 4:

Goat anti-Mouse 680RD at 1/20000 dilution

Predicted band size: 148 kDa,185 kDa

Observed band size: 90-175 kDa,76 kDa

false

Western blot - Anti-ErbB3 / HER3 antibody [EPR22669-25] (AB255607)
  • WB

Unknown

Western blot - Anti-ErbB3 / HER3 antibody [EPR22669-25] (AB255607)

The expression profile/molecular weight observed is consistent with what has been described in the literature. PMID : 26194695 and 19690388.

Blocking/Dilution buffer : 5% NFDM/TBST.

All lanes:

Western blot - Anti-ErbB3 / HER3 antibody [EPR22669-25] (ab255607) at 1/1000 dilution

Lane 1:

Mouse stomach lysate at 20 µg

Lane 2:

Mouse skin lysate at 20 µg

Secondary

All lanes:

Western blot - Goat Anti-Rabbit IgG H&L (HRP) (<a href='/en-us/products/secondary-antibodies/goat-rabbit-igg-h-l-hrp-ab97051'>ab97051</a>) at 1/20000 dilution

Predicted band size: 148 kDa

false

Exposure time: 70s

Western blot - Anti-ErbB3 / HER3 antibody [EPR22669-25] (AB255607)
  • WB

Unknown

Western blot - Anti-ErbB3 / HER3 antibody [EPR22669-25] (AB255607)

Blocking/Dilution buffer : 5% NFDM/TBST.

All lanes:

Western blot - Anti-ErbB3 / HER3 antibody [EPR22669-25] (ab255607) at 1/1000 dilution

Lane 1:

4T1 (Mouse mammary gland carcinoma epithelial cell) whole cell lysate at 20 µg

Lane 2:

SK-BR-3 (Human breast adenocarcinoma epithelial cell) whole cell lysate at 20 µg

Secondary

All lanes:

Western blot - Goat Anti-Rabbit IgG H&L (HRP) (<a href='/en-us/products/secondary-antibodies/goat-rabbit-igg-h-l-hrp-ab97051'>ab97051</a>) at 1/100000 dilution

Predicted band size: 148 kDa

false

Exposure time: 3min

Western blot - Anti-ErbB3 / HER3 antibody [EPR22669-25] (AB255607)
  • WB

Unknown

Western blot - Anti-ErbB3 / HER3 antibody [EPR22669-25] (AB255607)

Fresh lysates are needed for western blot.

ErbB 3 low expression cell lines : HeLa, MDA-MB-231 (PMID : 22436610, 22301547).

Blocking/Dilution buffer : 5% NFDM/TBST.

All lanes:

Western blot - Anti-ErbB3 / HER3 antibody [EPR22669-25] (ab255607) at 1/1000 dilution

Lane 1:

MCF7 (Human breast adenocarcinoma epithelial cell) whole cell lysate at 20 µg

Lane 2:

T-47D (Human ductal breast epithelial tumor epithelial cell) whole cell lysate at 20 µg

Lane 3:

HeLa (Human cervix adenocarcinoma epithelial cell) whole cell lysate at 20 µg

Lane 4:

MDA-MB-231 (Human breast adenocarcinoma epithelial cell) whole cell lysate at 20 µg

Secondary

All lanes:

Western blot - Goat Anti-Rabbit IgG H&L (HRP) (<a href='/en-us/products/secondary-antibodies/goat-rabbit-igg-h-l-hrp-ab97051'>ab97051</a>) at 1/100000 dilution

Predicted band size: 148 kDa

false

Exposure time: 26s

Key facts

Host species

Rabbit

Clonality

Monoclonal

Clone number

EPR22669-25

Isotype

IgG

Carrier free

No

Reacts with

Mouse, Human

Applications

Flow Cyt (Intra), WB, IHC-P

applications

Immunogen

The exact immunogen used to generate this antibody is proprietary information.

Reactivity data

{ "title": "Reactivity Data", "filters": { "stats": ["", "Species", "Dilution Info", "Notes"], "tabs": { "all-applications": {"fullname" : "All Applications", "shortname": "All Applications"}, "IP" : {"fullname" : "Immunoprecipitation", "shortname":"IP"}, "WB" : {"fullname" : "Western blot", "shortname":"WB"}, "ICCIF" : {"fullname" : "Immunocytochemistry/ Immunofluorescence", "shortname":"ICC/IF"}, "IHCFr" : {"fullname" : "Immunohistochemistry (Frozen sections)", "shortname":"IHC-Fr"}, "FlowCytIntra" : {"fullname" : "Flow Cytometry (Intracellular)", "shortname":"Flow Cyt (Intra)"}, "IHCP" : {"fullname" : "Immunohistochemistry (Formalin/PFA-fixed paraffin-embedded sections)", "shortname":"IHC-P"} }, "product-promise": { "all": "all", "testedAndGuaranteed": "tested", "guaranteed": "expected", "predicted": "predicted", "notRecommended": "not-recommended" } }, "values": { "Human": { "IP-species-checked": "notRecommended", "IP-species-dilution-info": "", "IP-species-notes": "<p></p>", "WB-species-checked": "testedAndGuaranteed", "WB-species-dilution-info": "1/1000", "WB-species-notes": "<p></p>", "ICCIF-species-checked": "notRecommended", "ICCIF-species-dilution-info": "", "ICCIF-species-notes": "<p></p>", "IHCFr-species-checked": "notRecommended", "IHCFr-species-dilution-info": "", "IHCFr-species-notes": "", "FlowCytIntra-species-checked": "testedAndGuaranteed", "FlowCytIntra-species-dilution-info": "1/50", "FlowCytIntra-species-notes": "<p></p>", "IHCP-species-checked": "testedAndGuaranteed", "IHCP-species-dilution-info": "1/250", "IHCP-species-notes": "<p></p>" }, "Mouse": { "IP-species-checked": "notRecommended", "IP-species-dilution-info": "", "IP-species-notes": "", "WB-species-checked": "testedAndGuaranteed", "WB-species-dilution-info": "1/1000", "WB-species-notes": "<p><strong>Fresh lysates are needed for western blot.</strong></p>", "ICCIF-species-checked": "notRecommended", "ICCIF-species-dilution-info": "", "ICCIF-species-notes": "", "IHCFr-species-checked": "notRecommended", "IHCFr-species-dilution-info": "", "IHCFr-species-notes": "<p></p>", "FlowCytIntra-species-checked": "guaranteed", "FlowCytIntra-species-dilution-info": "", "FlowCytIntra-species-notes": "", "IHCP-species-checked": "testedAndGuaranteed", "IHCP-species-dilution-info": "1/250", "IHCP-species-notes": "<p></p>" } } }

Product details

What is this antibody validated in?
Anti-ErbB3 / HER3 antibody [EPR22669-25] (ab255607) is a rabbit recombinant monoclonal antibody and is validated for use in Western Blot (WB), Flow Cytometry (Intra), Flow Cytometry (Flow Cyt), Immunohistochemistry (IHC-P) in Human, Mouse samples.

What is the molecular weight of ErbB3 / HER3?
Anti-ErbB3 / HER3 [EPR22669-25] (ab255607) specifically detects a band for ErbB3 / HER3 (UniProt: P21860) at a molecular weight of 148kDa.

Trial sizes available!
Test your antibody or perform pre-screening before committing to a larger quantity. Sold in 10µl. Discover our selection of trial-size antibodies.

Other related products
We have a range of other formats of antibody clone [EPR22669-25] also available for your convenience: ab255607, Carrier free - ab256504, Alexa Fluor® 488 - ab322172, ab324261

Patented technology
Our RabMAb® technology is a patented hybridoma-based technology for making rabbit monoclonal antibodies. For details on our patents, please refer to RabMAb® patents.

What are the advantages of a recombinant monoclonal antibody?
This product is a recombinant monoclonal antibody, which offers several advantages including:

  • - High batch-to-batch consistency and reproducibility
  • - Improved sensitivity and specificity
  • - Long-term security of supply
  • - Animal-free batch production

For more information, read more on recombinant antibodies.

Properties and storage information

Form
Liquid
Purification technique
Affinity purification Protein A
Storage buffer
pH: 7.2 - 7.4 Preservative: 0.01% Sodium azide Constituents: PBS, 40% Glycerol (glycerin, glycerine), 0.05% BSA
Shipped at conditions
Blue Ice
Appropriate short-term storage duration
1-2 weeks
Appropriate short-term storage conditions
+4°C
Appropriate long-term storage conditions
-20°C
Aliquoting information
Upon delivery aliquot
Storage information
Avoid freeze / thaw cycle

Supplementary information

This supplementary information is collated from multiple sources and compiled automatically.

The ErbB3 protein also known as HER3 is a member of the epidermal growth factor receptor (EGFR) family. It belongs to the ErbB receptor tyrosine kinase family but lacks intrinsic kinase activity. The HER3 protein has a molecular weight of approximately 180 kDa. You will find HER3 expressed in various tissues with high expression in the epithelial tissues where it plays a role in normal cellular processes. HER3 interacts with multiple ligands facilitating cellular communication and growth regulation.
Biological function summary

HER3 is essential for activating important signaling pathways that regulate proliferation differentiation and survival. The ErbB3 protein forms heterodimers with other ErbB family members such as ErbB2 (HER2) which is necessary for its signaling capability. The HER3 protein is abundant in heart and nervous tissues indicating its role in cardiovascular and neurological functions. Its activation modulates gene expression through downstream effectors mediated by dimerization.

Pathways

HER3 plays a pivotal role in the PI3K/Akt and MAPK signaling pathways. These pathways are fundamental in cellular responses like growth and survival. HER3 serves as a major partner for HER2 in these signaling cascades enhancing downstream signaling effects. HER3's connection to these pathways makes it a critical node collaborating closely with proteins such as HER2 and EGFR to maintain efficient communication and function within these networks.

HER3 associates strongly with cancer and cardiovascular diseases. Its overexpression in certain cancers such as breast cancer leads to enhanced tumor growth and resistance to therapy. HER3's relationship with the HER2 protein is especially significant in HER2-positive breast cancer where their interaction drives tumor progression. Additionally alterations in HER3 expression or function impact cardiovascular diseases as it plays a significant role in heart and vascular cell behavior. Recognizing HER3's involvement in these conditions allows for targeted therapeutic approaches and improves disease management strategies.

Product protocols

For this product, it's our understanding that no specific protocols are required. You can visit:

Target data

Tyrosine-protein kinase that plays an essential role as cell surface receptor for neuregulins. Binds to neuregulin-1 (NRG1) and is activated by it; ligand-binding increases phosphorylation on tyrosine residues and promotes its association with the p85 subunit of phosphatidylinositol 3-kinase (PubMed : 20682778). May also be activated by CSPG5 (PubMed : 15358134). Involved in the regulation of myeloid cell differentiation (PubMed : 27416908).
See full target information ERBB3

Publications (4)

Recent publications for all applications. Explore the full list and refine your search

Signal transduction and targeted therapy 10:299 PubMed40935839

2025

Coinhibition of the MEK/RTK pathway has high therapeutic efficacy in KRAS-mutant non-small cell lung cancer.

Applications

Unspecified application

Species

Unspecified reactive species

Jun Lu,Minjuan Hu,Yikai Zhao,Tianqing Chu,Wei Zhang,Yijia Zhou,Xinlei Cai,Jun Wu,Liang Hu,Chunlei Shi,Liwen Xiong,Aiqin Gu,Huimin Wang,Yanwei Zhang,Yuqing Lou,Runbo Zhong,Zhiqiang Gao,Hongyu Liu,Chao Zhou,Yingli Wu,Liang Zhu,Hua Zhong,Hongbin Ji,Baohui Han

Technology in cancer research & treatment 22:15330338231157156 PubMed36916303

2023

MicroRNA-592 Inhibits the Growth of Ovarian Cancer Cells by Targeting ERBB3.

Applications

Unspecified application

Species

Unspecified reactive species

Qiong Jin,Ning Zhang,Yang Zhan,Xiaohong Xu,Chao Han,Hui Zhao,Xiaodi Hu,Hongbo Tang,Yumei Wu

Cancer gene therapy 30:149-162 PubMed36123390

2022

YAP 5-methylcytosine modification increases its mRNA stability and promotes the transcription of exosome secretion-related genes in lung adenocarcinoma.

Applications

Unspecified application

Species

Unspecified reactive species

Wenjun Yu,Congcong Zhang,Yikun Wang,Xiaoting Tian,Yayou Miao,Fanyu Meng,Lifang Ma,Xiao Zhang,Jinjing Xia

Cell death & disease 13:351 PubMed35428350

2022

EGFR/MET promotes hepatocellular carcinoma metastasis by stabilizing tumor cells and resisting to RTKs inhibitors in circulating tumor microemboli.

Applications

Unspecified application

Species

Unspecified reactive species

Shouyang Song,Zhen Yu,Yajing You,Chenxi Liu,Xiaoyu Xie,Huanran Lv,Feng Xiao,Qiang Zhu,Chengyong Qin
View all publications

Product promise

We are committed to supporting your work with high-quality reagents, and we're here for you every step of the way. In the unlikely event that one of our products does not perform as expected, you're protected by our Product Promise.
For full details, please see our Terms & Conditions

Please note: All products are 'FOR RESEARCH USE ONLY. NOT FOR USE IN DIAGNOSTIC OR THERAPEUTIC PROCEDURES'.

For licensing inquiries, please contact partnerships@abcam.com