JavaScript is disabled in your browser. Please enable JavaScript to view this website.
AB93739

Anti-ErbB3 / HER3 antibody [SP71]

  • BOND RX™ Validated
  • 20ul selling size
  • RabMAb
  • Advanced Validation
  • Recombinant
  • What is this?

0

(1 Review)

|

(11 Publications)

Anti-ErbB3 / HER3 antibody [SP71] (ab93739) is a rabbit monoclonal antibody detecting ErbB3 / HER3 in Flow Cytometry (Intra), IHC-P, mIHC. Suitable for Human.

- Multiplex IHC validated on the Leica BOND® MAX using Opal reagents
- Biophysical QC for unrivalled batch-batch consistency
- Trusted since 2010

View Alternative Names

HER3, ERBB3, Receptor tyrosine-protein kinase erbB-3, Proto-oncogene-like protein c-ErbB-3, Tyrosine kinase-type cell surface receptor HER3

6 Images
Immunohistochemistry (Formalin/PFA-fixed paraffin-embedded sections) - Anti-ErbB3 / HER3 antibody [SP71] (AB93739)
  • IHC-P

Supplier Data

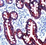
Immunohistochemistry (Formalin/PFA-fixed paraffin-embedded sections) - Anti-ErbB3 / HER3 antibody [SP71] (AB93739)

Membranous staining on paraffin-embedded sections of human small intestine. The section was incubated with ab93739 at 1 : 100 dilution (0.7 μg/ml) for 30 mins at room temperature. The secondary antibody staining was achieved with Rabbit specific IHC polymer detection kit HRP/DAB (ab209101). Hematoxylin was used as a counter stain.

Heat mediated antigen retrieval was performed with Citrate buffer (pH 6.0, epitope retrieval solution1) for 20 mins.

The immunostaining was performed on a Leica Biosystems BOND® RX instrument.

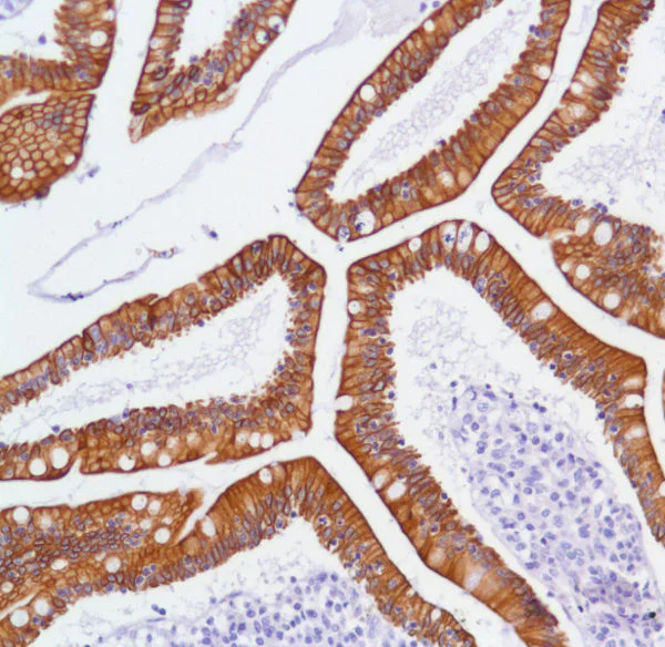
Immunohistochemistry (Formalin/PFA-fixed paraffin-embedded sections) - Anti-ErbB3 / HER3 antibody [SP71] (AB93739)
  • IHC-P

Supplier Data

Immunohistochemistry (Formalin/PFA-fixed paraffin-embedded sections) - Anti-ErbB3 / HER3 antibody [SP71] (AB93739)

An immunohistochemical staining of human small intestine labelling ErbB3 / HER3 (SP71) with ab93739 at dilution 1 : 100.

Flow Cytometry (Intracellular) - Anti-ErbB3 / HER3 antibody [SP71] (AB93739)
  • Flow Cyt (Intra)

Unknown

Flow Cytometry (Intracellular) - Anti-ErbB3 / HER3 antibody [SP71] (AB93739)

Flow cytometry analysis of MCF7 (human breast adenocarcinoma epithelial cell) labeling ErbB3 / HER3 with purified ab93739 at 1/50 dilution (10.5 μg/ml) (red). Cells were fixed with 4% paraformaldehyde and permeabilised with 90% methanol. Goat anti rabbit IgG (Alexa Fluor® 488, ab150077) at 1/2000 dilution was used as a secondary antibody. Isotype control -Rabbit monoclonal IgG (ab172730) / Black. Unlableled control -Unlabelled cells / blue.

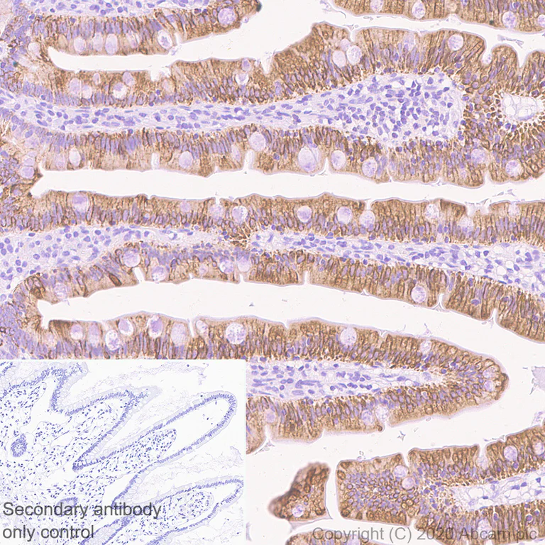
Immunohistochemistry (Formalin/PFA-fixed paraffin-embedded sections) - Anti-ErbB3 / HER3 antibody [SP71] (AB93739)
  • IHC-P

Unknown

Immunohistochemistry (Formalin/PFA-fixed paraffin-embedded sections) - Anti-ErbB3 / HER3 antibody [SP71] (AB93739)

ab93739 at 1/100 dilution staining ErbB 3 in formalin-fixed, paraffin-embedded Human small intestine tissue.

Multiplex immunohistochemistry - Anti-ErbB3 / HER3 antibody [SP71] (AB93739)
  • mIHC

Lab

Multiplex immunohistochemistry - Anti-ErbB3 / HER3 antibody [SP71] (AB93739)

Fluorescence multiplex immunohistochemical analysis of the human colon (Formalin/PFA-fixed paraffin-embedded sections). Panel A : merged staining of anti-Muc2 (ab272692, magenta; Opal™690), anti-Eph receptor B2 (ab252935, green; Opal™520) and anti-ErbB3 / HER3 (ab236220, red; Opal™570) on human colon. Panel B : anti-Muc2 stained on goblet cells. Panel C : anti-Eph receptor B2 stained on intestinal stem and progenitor cells. Panel D : anti-ErbB3 / HER3 stained on epithelial cells. Opal Polymer HRP Ms + Rb was used as a secondary antibody. The section was incubated in three rounds of staining : in the order of ab272692 at 1/2000 dilution (0.252 μg/ml), ab252935 at 1/1000 dilution  (0.527 μg/ml), and ab236220 at 1/3000 dilution (0.75 μg/ml) for 30 mins at room temperature. Each round was followed by a separate fluorescent tyramide signal amplification system. The immunostaining was performed on a Leica Biosystems BOND® RX instrument with an Opal™ 4-color kit. Image acquisition was performed with Leica SP8 confocal microscope. Heat mediated antigen retrieval with Tris-EDTA buffer (pH 9.0, epitope retrieval solution2) for 20 mins. DAPI (blue) was used as a nuclear counter stain. This data was developed using ab236220, the same antibody clone in a different buffer formulation.

Multiplex immunohistochemistry - Anti-ErbB3 / HER3 antibody [SP71] (AB93739)
  • mIHC

Lab

Multiplex immunohistochemistry - Anti-ErbB3 / HER3 antibody [SP71] (AB93739)

Fluorescence multiplex immunohistochemical analysis of the human jejunum (Formalin/PFA-fixed paraffin-embedded sections). Panel A : merged staining of anti-Muc2 (ab272692, magenta; Opal™690), anti-Eph receptor B2 (ab252935, green; Opal™520) and anti-ErbB3 / HER3 (ab236220, red; Opal™570) on human jejunum. Panel B : anti-Muc2 stained on goblet cells. Panel C : anti-Eph receptor B2 stained on intestinal stem and progenitor cells. Panel D : anti-ErbB3 / HER3 stained on epithelial cells. Opal Polymer HRP Ms + Rb was used as a secondary antibody. The section was incubated in three rounds of staining : in the order of ab272692 at 1/2000 dilution (0.252 μg/ml), ab252935 at 1/1000 dilution  (0.527 μg/ml), and ab236220 at 1/3000 dilution (0.75 μg/ml) for 30 mins at room temperature. Each round was followed by a separate fluorescent tyramide signal amplification system. The immunostaining was performed on a Leica Biosystems BOND® RX instrument with an Opal™ 4-color kit. Image acquisition was performed with Leica SP8 confocal microscope. Heat mediated antigen retrieval with Tris-EDTA buffer (pH 9.0, epitope retrieval solution2) for 20 mins. DAPI (blue) was used as a nuclear counter stain. This data was developed using ab236220, the same antibody clone in a different buffer formulation.

Key facts

Host species

Rabbit

Clonality

Monoclonal

Clone number

SP71

Isotype

IgG

Carrier free

No

Reacts with

Human

Applications

mIHC, IHC-P, Flow Cyt (Intra)

applications

Immunogen

The exact immunogen used to generate this antibody is proprietary information.

Reactivity data

{ "title": "Reactivity Data", "filters": { "stats": ["", "Species", "Dilution Info", "Notes"], "tabs": { "all-applications": {"fullname" : "All Applications", "shortname": "All Applications"}, "mIHC" : {"fullname" : "Multiplex immunohistochemistry", "shortname":"mIHC"}, "IHCP" : {"fullname" : "Immunohistochemistry (Formalin/PFA-fixed paraffin-embedded sections)", "shortname":"IHC-P"}, "FlowCytIntra" : {"fullname" : "Flow Cytometry (Intracellular)", "shortname":"Flow Cyt (Intra)"} }, "product-promise": { "all": "all", "testedAndGuaranteed": "tested", "guaranteed": "expected", "predicted": "predicted", "notRecommended": "not-recommended" } }, "values": { "Human": { "mIHC-species-checked": "testedAndGuaranteed", "mIHC-species-dilution-info": "", "mIHC-species-notes": "<p></p>", "IHCP-species-checked": "testedAndGuaranteed", "IHCP-species-dilution-info": "1/100", "IHCP-species-notes": "<p>1/100 for 30 mins at RT. Perform heat mediated antigen retrieval before commencing with IHC staining protocol by boiling tissue section in 1mM EDTA, pH 8.0 for 10 min followed by cooling at RT for 20 min.</p> Perform heat-mediated antigen retrieval before commencing with IHC staining protocol.", "FlowCytIntra-species-checked": "testedAndGuaranteed", "FlowCytIntra-species-dilution-info": "1/50", "FlowCytIntra-species-notes": "<p></p>" } } }

Product details

What is this antibody validated in?
Anti-ErbB3 / HER3 antibody [SP71] (ab93739) is a rabbit recombinant monoclonal antibody and is validated for use in Flow Cytometry (Intra), Flow Cytometry (Flow Cyt), Immunohistochemistry (IHC-P), Multiplex IHC (mIHC) in Human samples.

Collaboration
Anti-ErbB3 / HER3 [SP71] (ab93739) is a clone from the portfolio of Spring Bioscience (Roche) SP clones which have been optimised for immunohistochemistry (IHC).

Trial sizes available!
Test your antibody or perform pre-screening before committing to a larger quantity. Sold in 20µl. Discover our selection of trial-size antibodies.

Other related products
We have a range of other formats of antibody clone [SP71] also available for your convenience: ab93739, Carrier free - ab236220, ab279498, ab302944, PE - ab306102, APC - ab306103, HRP - ab306104, Alkaline Phosphatase - ab308990, Alexa Fluor® 488 - ab309933, Alexa Fluor® 647 - ab310300, Alexa Fluor® 594 - ab310763, Alexa Fluor® 555 - ab312290, Alexa Fluor® 568 - ab312785, Alexa Fluor® 750 - ab321776

Properties and storage information

Form
Liquid
Purification technique
Affinity purification Protein A/G
Purification notes
Purified from TCS by protein A/G.
Storage buffer
pH: 7.6 Preservative: 0.1% Sodium azide Constituents: PBS, 1% BSA
Shipped at conditions
Blue Ice
Appropriate short-term storage conditions
+4°C
Appropriate long-term storage conditions
-20°C
Aliquoting information
Upon delivery aliquot
Storage information
Avoid freeze / thaw cycle

Supplementary information

This supplementary information is collated from multiple sources and compiled automatically.

The ErbB3 protein also known as HER3 is a member of the epidermal growth factor receptor (EGFR) family. It belongs to the ErbB receptor tyrosine kinase family but lacks intrinsic kinase activity. The HER3 protein has a molecular weight of approximately 180 kDa. You will find HER3 expressed in various tissues with high expression in the epithelial tissues where it plays a role in normal cellular processes. HER3 interacts with multiple ligands facilitating cellular communication and growth regulation.
Biological function summary

HER3 is essential for activating important signaling pathways that regulate proliferation differentiation and survival. The ErbB3 protein forms heterodimers with other ErbB family members such as ErbB2 (HER2) which is necessary for its signaling capability. The HER3 protein is abundant in heart and nervous tissues indicating its role in cardiovascular and neurological functions. Its activation modulates gene expression through downstream effectors mediated by dimerization.

Pathways

HER3 plays a pivotal role in the PI3K/Akt and MAPK signaling pathways. These pathways are fundamental in cellular responses like growth and survival. HER3 serves as a major partner for HER2 in these signaling cascades enhancing downstream signaling effects. HER3's connection to these pathways makes it a critical node collaborating closely with proteins such as HER2 and EGFR to maintain efficient communication and function within these networks.

HER3 associates strongly with cancer and cardiovascular diseases. Its overexpression in certain cancers such as breast cancer leads to enhanced tumor growth and resistance to therapy. HER3's relationship with the HER2 protein is especially significant in HER2-positive breast cancer where their interaction drives tumor progression. Additionally alterations in HER3 expression or function impact cardiovascular diseases as it plays a significant role in heart and vascular cell behavior. Recognizing HER3's involvement in these conditions allows for targeted therapeutic approaches and improves disease management strategies.

Product protocols

For this product, it's our understanding that no specific protocols are required. You can visit:

Target data

Tyrosine-protein kinase that plays an essential role as cell surface receptor for neuregulins. Binds to neuregulin-1 (NRG1) and is activated by it; ligand-binding increases phosphorylation on tyrosine residues and promotes its association with the p85 subunit of phosphatidylinositol 3-kinase (PubMed : 20682778). May also be activated by CSPG5 (PubMed : 15358134). Involved in the regulation of myeloid cell differentiation (PubMed : 27416908).
See full target information ERBB3

Publications (11)

Recent publications for all applications. Explore the full list and refine your search

World journal of oncology 16:254-268 PubMed40556965

2025

Co-expression of HER2/EGFRvIII/CD44 and Claudin 18.2/CD109 as Novel Prognostic Indicators in Stomach Adenocarcinoma.

Applications

Unspecified application

Species

Unspecified reactive species

Tina Al Janaby,Said Khelwatty,Izhar Bagwan,Nima Abbassi-Ghadi,Helmout Modjtahedi

Oncology reports 52: PubMed39450530

2024

Expression of EGFRvIII and its co‑expression with wild‑type EGFR, or putative cancer stem cell biomarkers CD44 or EpCAM are associated with poorer prognosis in patients with hepatocellular carcinoma.

Applications

Unspecified application

Species

Unspecified reactive species

Ozlem Sherif,Said A Khelwatty,Izhar Bagwan,Alan M Seddon,Angus Dalgleish,Satvinder Mudan,Helmout Modjtahedi

Scientific reports 12:12894 PubMed35902718

2022

EGFR, HER2, and HER3 protein expression in paired primary tumor and lymph node metastasis of colorectal cancer.

Applications

Unspecified application

Species

Unspecified reactive species

Peng Ye,Fanghua Li,Yuanyuan Wei,Yihao Zhang,Jianing Cui,Rui Dai,Hao Chen,Jing Xie,Peiling Cai

ESMO open 4:e000538 PubMed31423337

2019

Interim analysis of a real-world precision medicine platform for molecular profiling of metastatic or advanced cancers: MONDTI.

Applications

Unspecified application

Species

Unspecified reactive species

Markus Kieler,Matthias Unseld,Daniela Bianconi,Fredrik Waneck,Robert Mader,Fritz Wrba,Thorsten Fuereder,Christine Marosi,Markus Raderer,Philipp Staber,Walter Berger,Maria Sibilia,Stephan Polterauer,Leonhard Müllauer,Matthias Preusser,Christoph C Zielinski,Gerald W Prager

Neoplasia (New York, N.Y.) 21:343-352 PubMed30831376

2019

ErbB3 Ligand Heregulin1 Is a Major Mitogenic Factor for Uncontrolled Lung Cancer Cell Proliferation.

Applications

Unspecified application

Species

Unspecified reactive species

Shiqi Ma,Shijun Jia,Yuan Ren,Bangrong Cao,Xiao Zha,Jintao He,Changmin Chen

PloS one 12:e0177919 PubMed28591206

2017

ERBB3: A potential serum biomarker for early detection and therapeutic target for devil facial tumour 1 (DFT1).

Applications

IHC-P

Species

Unspecified reactive species

Dane A Hayes,Dale A Kunde,Robyn L Taylor,Stephen B Pyecroft,Sukhwinder Singh Sohal,Elizabeth T Snow

Anti-cancer drugs 28:717-722 PubMed28582279

2017

Prevalence and influence on outcome of HER2/neu, HER3 and NRG1 expression in patients with metastatic colorectal cancer.

Applications

Unspecified application

Species

Unspecified reactive species

Arndt Stahler,Volker Heinemann,Jens Neumann,Alexander Crispin,Andreas Schalhorn,Sebastian Stintzing,Clemens Giessen-Jung,Ludwig Fischer von Weikersthal,Ursula Vehling-Kaiser,Martina Stauch,Detlef Quietzsch,Julian W Holch,Stephan Kruger,Michael Haas,Marlies Michl,Jobst von Einem,Thomas Kirchner,Andreas Jung,Dominik P Modest

Cancer letters 393:52-59 PubMed28223167

2017

Intracavitary 'T4 immunotherapy' of malignant mesothelioma using pan-ErbB re-targeted CAR T-cells.

Applications

Unspecified application

Species

Unspecified reactive species

Astero Klampatsa,Daniela Y Achkova,David M Davies,Ana C Parente-Pereira,Natalie Woodman,James Rosekilly,Georgina Osborne,Thivyan Thayaparan,Andrea Bille,Michael Sheaf,James F Spicer,Juliet King,John Maher

PloS one 10:e0138336 PubMed26367378

2015

ERBB3 Positively Correlates with Intestinal Stem Cell Markers but Marks a Distinct Non Proliferative Cell Population in Colorectal Cancer.

Applications

ICC/IF

Species

Human

Thierry Jardé,Lisa Kass,Margaret Staples,Helen Lescesen,Peter Carne,Karen Oliva,Paul J McMurrick,Helen E Abud

European journal of cancer (Oxford, England : 1990) 50:656-62 PubMed24300455

2013

HER3 expression in patients with primary colorectal cancer and corresponding lymph node metastases related to clinical outcome.

Applications

IHC-P

Species

Human

F Lédel,M Hallström,P Ragnhammar,K Öhrling,D Edler
View all publications

Product promise

We are committed to supporting your work with high-quality reagents, and we're here for you every step of the way. In the unlikely event that one of our products does not perform as expected, you're protected by our Product Promise.
For full details, please see our Terms & Conditions

Please note: All products are 'FOR RESEARCH USE ONLY. NOT FOR USE IN DIAGNOSTIC OR THERAPEUTIC PROCEDURES'.

For licensing inquiries, please contact partnerships@abcam.com