JavaScript is disabled in your browser. Please enable JavaScript to view this website.
AB236220

Anti-ErbB3 / HER3 antibody [SP71] - BSA and Azide free

  • BOND RX™ Validated
  • RabMAb
  • Advanced Validation
  • Recombinant
  • What is this?

Be the first to review this product! Submit a review

|

(2 Publications)

Rabbit Recombinant Monoclonal ErbB3 / HER3 antibody. Carrier free. Suitable for mIHC, IHC-P, Flow Cyt (Intra) and reacts with Human samples. Cited in 2 publications.

View Alternative Names

HER3, ERBB3, Receptor tyrosine-protein kinase erbB-3, Proto-oncogene-like protein c-ErbB-3, Tyrosine kinase-type cell surface receptor HER3

6 Images
Immunohistochemistry (Formalin/PFA-fixed paraffin-embedded sections) - Anti-ErbB3 / HER3 antibody [SP71] - BSA and Azide free (AB236220)
  • IHC-P

Supplier Data

Immunohistochemistry (Formalin/PFA-fixed paraffin-embedded sections) - Anti-ErbB3 / HER3 antibody [SP71] - BSA and Azide free (AB236220)

Formalin-fixed, paraffin-embedded human small intestine tissue stained for ErbB3 / HER3 using ab93739 at 1/100 dilution in immunohistochemical analysis.

This data was developed using the same antibody clone in a different buffer formulation containing PBS, BSA, glycerol, and sodium azide (ab93739).

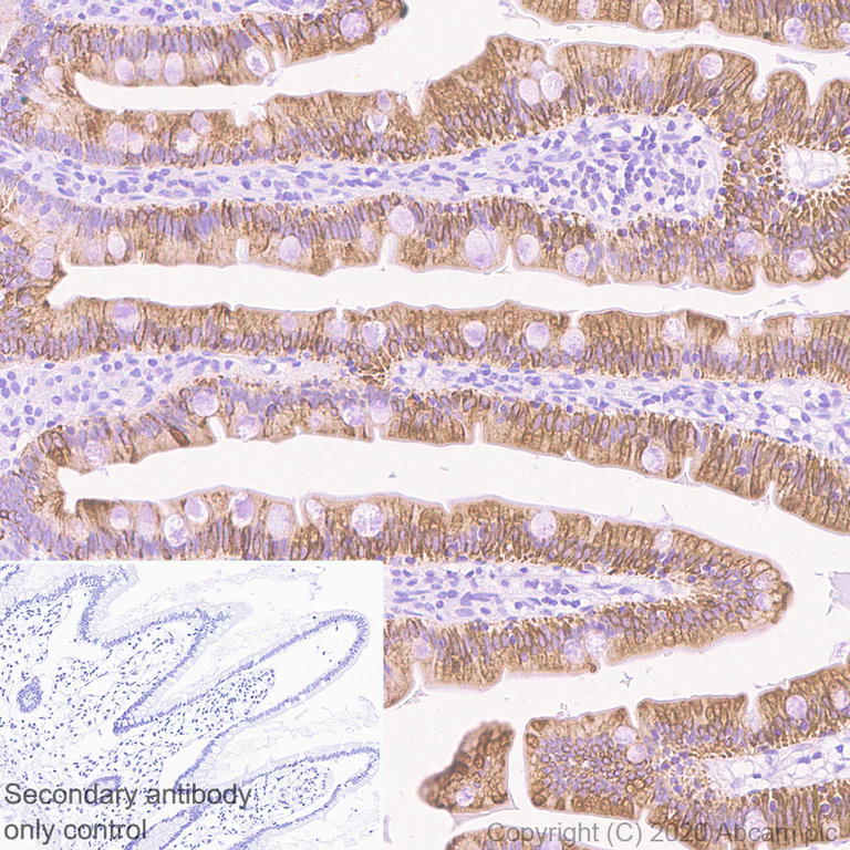
Immunohistochemistry (Formalin/PFA-fixed paraffin-embedded sections) - Anti-ErbB3 / HER3 antibody [SP71] - BSA and Azide free (AB236220)
  • IHC-P

Supplier Data

Immunohistochemistry (Formalin/PFA-fixed paraffin-embedded sections) - Anti-ErbB3 / HER3 antibody [SP71] - BSA and Azide free (AB236220)

This data was developed using ab93739, the same antibody clone in a different buffer formulation.

Membranous staining on paraffin-embedded sections of human small intestine. The section was incubated with ab93739 at 1 : 100 dilution (0.7 μg/ml) for 30 mins at room temperature. The secondary antibody staining was achieved with Rabbit specific IHC polymer detection kit HRP/DAB (ab209101). Hematoxylin was used as a counter stain.

Heat mediated antigen retrieval was performed with Citrate buffer (pH 6.0, epitope retrieval solution1) for 20 mins.

The immunostaining was performed on a Leica Biosystems BOND® RX instrument.

Flow Cytometry (Intracellular) - Anti-ErbB3 / HER3 antibody [SP71] - BSA and Azide free (AB236220)
  • Flow Cyt (Intra)

Unknown

Flow Cytometry (Intracellular) - Anti-ErbB3 / HER3 antibody [SP71] - BSA and Azide free (AB236220)

Intracellular Flow Cytometry analysis of MCF7 (human breast adenocarcinoma epithelial cell) labeling ErbB3 / HER3 with purified ab93739 at 1/50 dilution (10.5μg/ml) (red). Cells were fixed with 4% paraformaldehyde and permeabilised with 90% methanol. Goat anti rabbit IgG (Alexa Fluor® 488, ab150077) at 1/2000 dilution was used as a secondary antibody. Isotype control -Rabbit monoclonal IgG (ab172730) / Black. Unlableled control -Unlabelled cells / blue. This data was developed using the same antibody clone in a different buffer formulation containing PBS, BSA, glycerol, and sodium azide (ab93739).

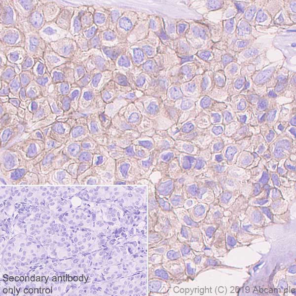
Immunohistochemistry (Formalin/PFA-fixed paraffin-embedded sections) - Anti-ErbB3 / HER3 antibody [SP71] - BSA and Azide free (AB236220)
  • IHC-P

Unknown

Immunohistochemistry (Formalin/PFA-fixed paraffin-embedded sections) - Anti-ErbB3 / HER3 antibody [SP71] - BSA and Azide free (AB236220)

ab93739 at 1/100 dilution staining ErbB3 / HER3 in formalin-fixed, paraffin-embedded Human small intestine tissue.

This data was developed using the same antibody clone in a different buffer formulation containing PBS, BSA, glycerol, and sodium azide (ab93739).

Multiplex immunohistochemistry - Anti-ErbB3 / HER3 antibody [SP71] - BSA and Azide free (AB236220)
  • mIHC

Lab

Multiplex immunohistochemistry - Anti-ErbB3 / HER3 antibody [SP71] - BSA and Azide free (AB236220)

Fluorescence multiplex immunohistochemical analysis of the human colon (Formalin/PFA-fixed paraffin-embedded sections). Panel A : merged staining of anti-Muc2 (ab272692, magenta; Opal™690), anti-Eph receptor B2 (ab252935, green; Opal™520) and anti-ErbB3 / HER3 (ab236220, red; Opal™570) on human colon. Panel B : anti-Muc2 stained on goblet cells. Panel C : anti-Eph receptor B2 stained on intestinal stem and progenitor cells. Panel D : anti-ErbB3 / HER3 stained on epithelial cells. Opal Polymer HRP Ms + Rb was used as a secondary antibody. The section was incubated in three rounds of staining : in the order of ab272692 at 1/2000 dilution (0.252 μg/ml), ab252935 at 1/1000 dilution  (0.527 μg/ml), and ab236220 at 1/3000 dilution (0.75 μg/ml) for 30 mins at room temperature. Each round was followed by a separate fluorescent tyramide signal amplification system. The immunostaining was performed on a Leica Biosystems BOND® RX instrument with an Opal™ 4-color kit. Image acquisition was performed with Leica SP8 confocal microscope. Heat mediated antigen retrieval with Tris-EDTA buffer (pH 9.0, epitope retrieval solution2) for 20 mins. DAPI (blue) was used as a nuclear counter stain.

Multiplex immunohistochemistry - Anti-ErbB3 / HER3 antibody [SP71] - BSA and Azide free (AB236220)
  • mIHC

Lab

Multiplex immunohistochemistry - Anti-ErbB3 / HER3 antibody [SP71] - BSA and Azide free (AB236220)

Fluorescence multiplex immunohistochemical analysis of the human jejunum (Formalin/PFA-fixed paraffin-embedded sections). Panel A : merged staining of anti-Muc2 (ab272692, magenta; Opal™690), anti-Eph receptor B2 (ab252935, green; Opal™520) and anti-ErbB3 / HER3 (ab236220, red; Opal™570) on human jejunum. Panel B : anti-Muc2 stained on goblet cells. Panel C : anti-Eph receptor B2 stained on intestinal stem and progenitor cells. Panel D : anti-ErbB3 / HER3 stained on epithelial cells. Opal Polymer HRP Ms + Rb was used as a secondary antibody. The section was incubated in three rounds of staining : in the order of ab272692 at 1/2000 dilution (0.252 μg/ml), ab252935 at 1/1000 dilution  (0.527 μg/ml), and ab236220 at 1/3000 dilution (0.75 μg/ml) for 30 mins at room temperature. Each round was followed by a separate fluorescent tyramide signal amplification system. The immunostaining was performed on a Leica Biosystems BOND® RX instrument with an Opal™ 4-color kit. Image acquisition was performed with Leica SP8 confocal microscope. Heat mediated antigen retrieval with Tris-EDTA buffer (pH 9.0, epitope retrieval solution2) for 20 mins. DAPI (blue) was used as a nuclear counter stain.

Key facts

Host species

Rabbit

Clonality

Monoclonal

Clone number

SP71

Isotype

IgG

Carrier free

Yes

Reacts with

Human

Applications

Flow Cyt (Intra), mIHC, IHC-P

applications

Immunogen

The exact immunogen used to generate this antibody is proprietary information.

Reactivity data

{ "title": "Reactivity Data", "filters": { "stats": ["", "Species", "Dilution Info", "Notes"], "tabs": { "all-applications": {"fullname" : "All Applications", "shortname": "All Applications"}, "mIHC" : {"fullname" : "Multiplex immunohistochemistry", "shortname":"mIHC"}, "IHCP" : {"fullname" : "Immunohistochemistry (Formalin/PFA-fixed paraffin-embedded sections)", "shortname":"IHC-P"}, "FlowCytIntra" : {"fullname" : "Flow Cytometry (Intracellular)", "shortname":"Flow Cyt (Intra)"} }, "product-promise": { "all": "all", "testedAndGuaranteed": "tested", "guaranteed": "expected", "predicted": "predicted", "notRecommended": "not-recommended" } }, "values": { "Human": { "mIHC-species-checked": "testedAndGuaranteed", "mIHC-species-dilution-info": "", "mIHC-species-notes": "<p></p>", "IHCP-species-checked": "testedAndGuaranteed", "IHCP-species-dilution-info": "", "IHCP-species-notes": "<p>1/100 for 30 mins at RT. Perform heat mediated antigen retrieval before commencing with IHC staining protocol by boiling tissue section in 1mM EDTA, pH 8.0 for 10 min followed by cooling at RT for 20 min.</p>", "FlowCytIntra-species-checked": "testedAndGuaranteed", "FlowCytIntra-species-dilution-info": "1/50", "FlowCytIntra-species-notes": "<p></p>" } } }

Product details

ab236220 is the carrier-free version of ab93739.

What are the advantages of a recombinant monoclonal antibody?
This product is a recombinant monoclonal antibody, which offers several advantages including:

  • - High batch-to-batch consistency and reproducibility
  • - Improved sensitivity and specificity
  • - Long-term security of supply
  • - Animal-free batch production

For more information, read more on recombinant antibodies.

Conjugation ready
Our carrier-free antibodies are typically supplied in a PBS-only formulation, purified and free of BSA, sodium azide and glycerol. This conjugation-ready format is designed for use with fluorochromes, metal isotopes, oligonucleotides, and enzymes, which makes them ideal for antibody labelling, functional and cell-based assays, flow-based assays (e.g. mass cytometry) and Multiplex Imaging applications.

Use our conjugation kits for antibody conjugates that are ready-to-use in as little as 20 minutes with 1 minute hands-on-time and 100% antibody recovery: available for fluorescent dyes, HRP, biotin and gold.

Compatibility
This product is compatible with the Maxpar® Antibody Labeling Kit from Fluidigm, without the need for antibody preparation. Maxpar® is a trademark of Fluidigm Canada Inc.

Properties and storage information

Form
Liquid
Purification technique
Affinity purification Protein A/G
Purification notes
Purified from TCS by protein A/G.
Storage buffer
pH: 7.2 - 7.4 Constituents: PBS
Shipped at conditions
Blue Ice
Appropriate short-term storage conditions
+4°C
Appropriate long-term storage conditions
+4°C
Storage information
Do Not Freeze

Supplementary information

This supplementary information is collated from multiple sources and compiled automatically.

The ErbB3 protein also known as HER3 is a member of the epidermal growth factor receptor (EGFR) family. It belongs to the ErbB receptor tyrosine kinase family but lacks intrinsic kinase activity. The HER3 protein has a molecular weight of approximately 180 kDa. You will find HER3 expressed in various tissues with high expression in the epithelial tissues where it plays a role in normal cellular processes. HER3 interacts with multiple ligands facilitating cellular communication and growth regulation.
Biological function summary

HER3 is essential for activating important signaling pathways that regulate proliferation differentiation and survival. The ErbB3 protein forms heterodimers with other ErbB family members such as ErbB2 (HER2) which is necessary for its signaling capability. The HER3 protein is abundant in heart and nervous tissues indicating its role in cardiovascular and neurological functions. Its activation modulates gene expression through downstream effectors mediated by dimerization.

Pathways

HER3 plays a pivotal role in the PI3K/Akt and MAPK signaling pathways. These pathways are fundamental in cellular responses like growth and survival. HER3 serves as a major partner for HER2 in these signaling cascades enhancing downstream signaling effects. HER3's connection to these pathways makes it a critical node collaborating closely with proteins such as HER2 and EGFR to maintain efficient communication and function within these networks.

HER3 associates strongly with cancer and cardiovascular diseases. Its overexpression in certain cancers such as breast cancer leads to enhanced tumor growth and resistance to therapy. HER3’s relationship with the HER2 protein is especially significant in HER2-positive breast cancer where their interaction drives tumor progression. Additionally alterations in HER3 expression or function impact cardiovascular diseases as it plays a significant role in heart and vascular cell behavior. Recognizing HER3's involvement in these conditions allows for targeted therapeutic approaches and improves disease management strategies.

Product protocols

For this product, it's our understanding that no specific protocols are required. You can visit:

Target data

Tyrosine-protein kinase that plays an essential role as cell surface receptor for neuregulins. Binds to neuregulin-1 (NRG1) and is activated by it; ligand-binding increases phosphorylation on tyrosine residues and promotes its association with the p85 subunit of phosphatidylinositol 3-kinase (PubMed : 20682778). May also be activated by CSPG5 (PubMed : 15358134). Involved in the regulation of myeloid cell differentiation (PubMed : 27416908).
See full target information ERBB3

Publications (2)

Recent publications for all applications. Explore the full list and refine your search

Breast cancer research : BCR 25:23 PubMed36859337

2023

Lineage plasticity enables low-ER luminal tumors to evolve and gain basal-like traits.

Applications

Unspecified application

Species

Unspecified reactive species

Gadisti Aisha Mohamed,Sundis Mahmood,Nevena B Ognjenovic,Min Kyung Lee,Owen M Wilkins,Brock C Christensen,Kristen E Muller,Diwakar R Pattabiraman

Nature communications 11:1711 PubMed32249764

2020

Organoid cultures from normal and cancer-prone human breast tissues preserve complex epithelial lineages.

Applications

Unspecified application

Species

Unspecified reactive species

Jennifer M Rosenbluth,Ron C J Schackmann,G Kenneth Gray,Laura M Selfors,Carman Man-Chung Li,Mackenzie Boedicker,Hendrik J Kuiken,Andrea Richardson,Jane Brock,Judy Garber,Deborah Dillon,Norman Sachs,Hans Clevers,Joan S Brugge
View all publications

Product promise

We are committed to supporting your work with high-quality reagents, and we're here for you every step of the way. In the unlikely event that one of our products does not perform as expected, you're protected by our Product Promise.
For full details, please see our Terms & Conditions

Please note: All products are 'FOR RESEARCH USE ONLY. NOT FOR USE IN DIAGNOSTIC OR THERAPEUTIC PROCEDURES'.

For licensing inquiries, please contact partnerships@abcam.com