JavaScript is disabled in your browser. Please enable JavaScript to view this website.
AB204959

Anti-ErbB4 / HER4 antibody [5G6B4] - C-terminal

Be the first to review this product! Submit a review

|

(1 Publication)

Mouse Monoclonal ErbB4 / HER4 antibody. C-terminal. Suitable for Flow Cyt, WB, IHC-P and reacts with Human samples. Cited in 1 publication. Immunogen corresponding to Recombinant Fragment Protein within Human ERBB4 aa 1150 to C-terminus.

View Alternative Names

HER4, ERBB4, Receptor tyrosine-protein kinase erbB-4, Proto-oncogene-like protein c-ErbB-4, Tyrosine kinase-type cell surface receptor HER4, p180erbB4

4 Images
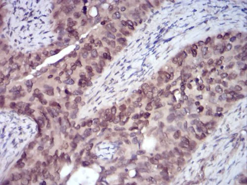
Immunohistochemistry (Formalin/PFA-fixed paraffin-embedded sections) - Anti-ErbB4 / HER4 antibody [5G6B4] - C-terminal (AB204959)
  • IHC-P

Supplier Data

Immunohistochemistry (Formalin/PFA-fixed paraffin-embedded sections) - Anti-ErbB4 / HER4 antibody [5G6B4] - C-terminal (AB204959)

Immunohistochemical analysis of paraffin-embedded, DAB-stained human cervical cancer tissue, labeling ErbB4 / HER4 using ab204959 at a 1/200 dilution

Flow Cytometry - Anti-ErbB4 / HER4 antibody [5G6B4] - C-terminal (AB204959)
  • Flow Cyt

Supplier Data

Flow Cytometry - Anti-ErbB4 / HER4 antibody [5G6B4] - C-terminal (AB204959)

Flow cytometry analysis of HeLa cells labeling ErbB4 / HER4 (green) using ab204959 at a 1/200 dilution, and negative control cells (red).

Western blot - Anti-ErbB4 / HER4 antibody [5G6B4] - C-terminal (AB204959)
  • WB

Supplier Data

Western blot - Anti-ErbB4 / HER4 antibody [5G6B4] - C-terminal (AB204959)

(Expected MW is 43.3 kDa)

All lanes:

Western blot - Anti-ErbB4 / HER4 antibody [5G6B4] - C-terminal (ab204959) at 1/500 dilution

All lanes:

human ErbB 4 (amino acids 1159-1308) recombinant protein.

Predicted band size: 147 kDa

false

Western blot - Anti-ErbB4 / HER4 antibody [5G6B4] - C-terminal (AB204959)
  • WB

Supplier Data

Western blot - Anti-ErbB4 / HER4 antibody [5G6B4] - C-terminal (AB204959)

All lanes:

Western blot - Anti-ErbB4 / HER4 antibody [5G6B4] - C-terminal (ab204959) at 1/500 dilution

Lane 1:

HEK293 cell lysate.

Lane 2:

Lysate from HEK293 cells transfected with ErbB 4 (amino acids 1159-1308)-hIgGFc.

Predicted band size: 147 kDa

false

Key facts

Host species

Mouse

Clonality

Monoclonal

Clone number

5G6B4

Isotype

IgG1

Carrier free

No

Reacts with

Human

Applications

WB, Flow Cyt, IHC-P

applications

Immunogen

Recombinant Fragment Protein within Human ERBB4 aa 1150 to C-terminus. The exact immunogen used to generate this antibody is proprietary information.

Q15303

Reactivity data

{ "title": "Reactivity Data", "filters": { "stats": ["", "Species", "Dilution Info", "Notes"], "tabs": { "all-applications": {"fullname" : "All Applications", "shortname": "All Applications"}, "FlowCyt" : {"fullname" : "Flow Cytometry", "shortname":"Flow Cyt"}, "WB" : {"fullname" : "Western blot", "shortname":"WB"}, "IHCP" : {"fullname" : "Immunohistochemistry (Formalin/PFA-fixed paraffin-embedded sections)", "shortname":"IHC-P"} }, "product-promise": { "all": "all", "testedAndGuaranteed": "tested", "guaranteed": "expected", "predicted": "predicted", "notRecommended": "not-recommended" } }, "values": { "Human": { "FlowCyt-species-checked": "testedAndGuaranteed", "FlowCyt-species-dilution-info": "1/200 - 1/400", "FlowCyt-species-notes": "<p></p>", "WB-species-checked": "testedAndGuaranteed", "WB-species-dilution-info": "1/500 - 1/2000", "WB-species-notes": "<p></p>", "IHCP-species-checked": "testedAndGuaranteed", "IHCP-species-dilution-info": "1/200 - 1/1000", "IHCP-species-notes": "<p></p>" }, "Mouse": { "FlowCyt-species-checked": "predicted", "FlowCyt-species-dilution-info": "", "FlowCyt-species-notes": "", "WB-species-checked": "predicted", "WB-species-dilution-info": "", "WB-species-notes": "", "IHCP-species-checked": "predicted", "IHCP-species-dilution-info": "", "IHCP-species-notes": "" } } }

Properties and storage information

Form
Liquid
Purification technique
Affinity purification Protein G
Purification notes
Purified from tissue culture supernatant.
Storage buffer
Preservative: 0.05% Sodium azide Constituents: PBS
Shipped at conditions
Blue Ice
Appropriate short-term storage duration
1-2 weeks
Appropriate short-term storage conditions
+4°C
Appropriate long-term storage conditions
-20°C
Aliquoting information
Upon delivery aliquot
Storage information
Avoid freeze / thaw cycle

Supplementary information

This supplementary information is collated from multiple sources and compiled automatically.

ErbB4 also known as HER4 is a member of the ErbB family of receptor tyrosine kinases. It functions mechanically as a transmembrane protein that activates downstream signaling pathways upon ligand binding. This receptor has an approximate mass of 180 kDa. You can find ErbB4 mainly expressed in the heart brain and various epithelial tissues. The ErbB4 protein often interacts with ligands such as Neuregulins heregulin and others.
Biological function summary

ErbB4 has several roles including the regulation of cell proliferation differentiation migration and development. It functions as part of a receptor complex initiating a cascade of intracellular signaling that impacts various cellular functions. ErbB4 ELISA assays often help quantify interactions and activities of the receptor providing insights into its broader functionalities. The ErbB4 protein also contributes to neuronal development and the maintenance of cardiac tissue integrity.

Pathways

ErbB4 participates in the PI3K/AKT pathway and the MAPK/ERK pathway essential for cell survival and proliferation. These pathways involve a network of proteins including other ErbB family members such as EGFR ErbB2 (HER2) and ErbB3 (HER3) forming heterodimers that enhance and diversify the signaling outcomes. E200 and HF R are often referred to in literature related to pathway analysis of these complex interactions.

ErbB4 has links to several conditions notably certain cancers and schizophrenia. The connection to cancer arises due to its role in oncogenic signaling where it can form aberrant partnerships with proteins like ErbB2 which stimulates cell growth. In schizophrenia alterations in ErbB4 expression or function may affect neural signaling pathways leading to cognitive deficits. Understanding these relationships helps to target therapies and develop treatments involving anti HER HF R 500 and similar inhibitors.

Product protocols

For this product, it's our understanding that no specific protocols are required. You can visit:

Target data

Tyrosine-protein kinase that plays an essential role as cell surface receptor for neuregulins and EGF family members and regulates development of the heart, the central nervous system and the mammary gland, gene transcription, cell proliferation, differentiation, migration and apoptosis. Required for normal cardiac muscle differentiation during embryonic development, and for postnatal cardiomyocyte proliferation. Required for normal development of the embryonic central nervous system, especially for normal neural crest cell migration and normal axon guidance. Required for mammary gland differentiation, induction of milk proteins and lactation. Acts as cell-surface receptor for the neuregulins NRG1, NRG2, NRG3 and NRG4 and the EGF family members BTC, EREG and HBEGF. Ligand binding triggers receptor dimerization and autophosphorylation at specific tyrosine residues that then serve as binding sites for scaffold proteins and effectors. Ligand specificity and signaling is modulated by alternative splicing, proteolytic processing, and by the formation of heterodimers with other ERBB family members, thereby creating multiple combinations of intracellular phosphotyrosines that trigger ligand- and context-specific cellular responses. Mediates phosphorylation of SHC1 and activation of the MAP kinases MAPK1/ERK2 and MAPK3/ERK1. Isoform JM-A CYT-1 and isoform JM-B CYT-1 phosphorylate PIK3R1, leading to the activation of phosphatidylinositol 3-kinase and AKT1 and protect cells against apoptosis. Isoform JM-A CYT-1 and isoform JM-B CYT-1 mediate reorganization of the actin cytoskeleton and promote cell migration in response to NRG1. Isoform JM-A CYT-2 and isoform JM-B CYT-2 lack the phosphotyrosine that mediates interaction with PIK3R1, and hence do not phosphorylate PIK3R1, do not protect cells against apoptosis, and do not promote reorganization of the actin cytoskeleton and cell migration. Proteolytic processing of isoform JM-A CYT-1 and isoform JM-A CYT-2 gives rise to the corresponding soluble intracellular domains (4ICD) that translocate to the nucleus, promote nuclear import of STAT5A, activation of STAT5A, mammary epithelium differentiation, cell proliferation and activation of gene expression. The ERBB4 soluble intracellular domains (4ICD) colocalize with STAT5A at the CSN2 promoter to regulate transcription of milk proteins during lactation. The ERBB4 soluble intracellular domains can also translocate to mitochondria and promote apoptosis.
See full target information ERBB4

Publications (1)

Recent publications for all applications. Explore the full list and refine your search

Oncology letters 16:2185-2194 PubMed30008917

2018

Prognostic significance of the expression of HER family members in primary osteosarcoma.

Applications

Unspecified application

Species

Unspecified reactive species

Sheng-Lin Wang,Guang-Xian Zhong,Xin-Wen Wang,Feng-Qiang Yu,Dan-Feng Weng,Xin-Xing Wang,Jian-Hua Lin
View all publications

Product promise

We are committed to supporting your work with high-quality reagents, and we're here for you every step of the way. In the unlikely event that one of our products does not perform as expected, you're protected by our Product Promise.
For full details, please see our Terms & Conditions

Please note: All products are 'FOR RESEARCH USE ONLY. NOT FOR USE IN DIAGNOSTIC OR THERAPEUTIC PROCEDURES'.

For licensing inquiries, please contact partnerships@abcam.com