JavaScript is disabled in your browser. Please enable JavaScript to view this website.
AB263027

Anti-ErbB4 / HER4+ErbB2 / HER2 antibody [EPR22665-104] - BSA and Azide free

Be the first to review this product! Submit a review

|

(0 Publication)

Rabbit Recombinant Monoclonal ErbB4 / HER4 antibody. Carrier free. Suitable for I-ELISA, WB, IHC-P and reacts with Recombinant fragment - Human, Mouse, Human samples.

View Alternative Names

HER4, ERBB4, Receptor tyrosine-protein kinase erbB-4, Proto-oncogene-like protein c-ErbB-4, Tyrosine kinase-type cell surface receptor HER4, p180erbB4

4 Images
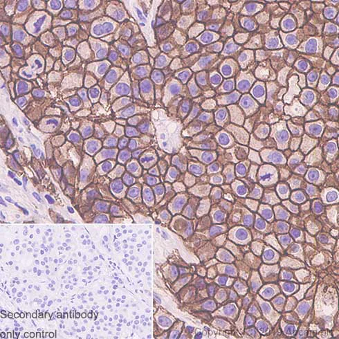
Immunohistochemistry (Formalin/PFA-fixed paraffin-embedded sections) - Anti-ErbB4 / HER4+ErbB2 / HER2 antibody [EPR22665-104] - BSA and Azide free (AB263027)
  • IHC-P

Unknown

Immunohistochemistry (Formalin/PFA-fixed paraffin-embedded sections) - Anti-ErbB4 / HER4+ErbB2 / HER2 antibody [EPR22665-104] - BSA and Azide free (AB263027)

Immunohistochemical analysis of paraffin-embedded Human breast carcinoma tissue labeling ErbB 4 with ab219208 at 1/1000 dilution followed by a ready to use Goat Anti-Rabbit IgG H&L (HRP Polymer). Positive staining on the human breast carcinoma (PMID : 19239686) is observed. The section was incubated with ab219208 for 15 mins at room temperature. The immunostaining staining was performed on a Leica Biosystems BOND® RX instrument. Counterstained with Hematoxylin.

Secondary antibody only control : Secondary antibody is a ready to use Goat Anti-Rabbit IgG H&L (HRP Polymer).

Heat mediated antigen retrieval with Tris-EDTA buffer (pH 9.0, epitope retrieval solution 2) for 20 mins.

This data was developed using the same antibody clone in a different buffer formulation containing PBS, BSA, glycerol, and sodium azide (ab219208).

Indirect ELISA - Anti-ErbB4 / HER4+ErbB2 / HER2 antibody [EPR22665-104] - BSA and Azide free (AB263027)
  • I-ELISA

Lab

Indirect ELISA - Anti-ErbB4 / HER4+ErbB2 / HER2 antibody [EPR22665-104] - BSA and Azide free (AB263027)

Indirect ELISA analysis of Human ERBB2 Recombinant Protein and Human ERBB4 Recombinant Protein at varying antigen concentrations of 500-0 ng/ml using ab219208 at 1000 ng/mL and secondary antibody Goat Anti-Rabbit IgG H&L (HRP) at 1/50000 dilution. Substrate solution was 3,3’,5,5’-Tetramethylbenzidine (TMB). This data was developed using the same antibody clone in a different buffer formulation containing PBS, BSA, glycerol, and sodium azide (ab219208).

Indirect ELISA - Anti-ErbB4 / HER4+ErbB2 / HER2 antibody [EPR22665-104] - BSA and Azide free (AB263027)
  • I-ELISA

Lab

Indirect ELISA - Anti-ErbB4 / HER4+ErbB2 / HER2 antibody [EPR22665-104] - BSA and Azide free (AB263027)

This data was developed using ab219208, the same antibody clone in a different buffer formulation.ELISA analysis of Human ERBB4 recombinant protein at 1000 ng/mL with ab219208. An Alkaline Phosphatase-conjugated AffiniPure Goat Anti-Rabbit IgG (H+L) at 1/2500 dilution was used as the secondary antibody.

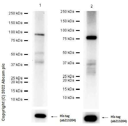
Western blot - Anti-ErbB4 / HER4+ErbB2 / HER2 antibody [EPR22665-104] - BSA and Azide free (AB263027)
  • WB

Lab

Western blot - Anti-ErbB4 / HER4+ErbB2 / HER2 antibody [EPR22665-104] - BSA and Azide free (AB263027)

Blocking buffer and concentration : 5% NFDM/TBST Diluting buffer and concentration : 5% NFDM /TBST This data was developed using the same antibody clone in a different buffer formulation containing PBS, BSA, glycerol, and sodium azide (ab219208).

All lanes:

Western blot - Anti-ErbB4 / HER4+ErbB2 / HER2 antibody [EPR22665-104] (<a href='/en-us/products/primary-antibodies/erbb4-her4erbb2-her2-antibody-epr22665-104-ab219208'>ab219208</a>) at 1/1000 dilution

Lane 1:

His-tagged Recombinant Human ErbB2 protein (aa676-1255)

Lane 2:

His-tagged Recombinant Human ErbB4 protein (aa676-1308)

Secondary

All lanes:

Western blot - Goat Anti-Rabbit IgG H&L (HRP) (<a href='/en-us/products/secondary-antibodies/goat-rabbit-igg-h-l-hrp-ab97051'>ab97051</a>) at 1/20000 dilution

Observed band size: 90 kDa,81 kDa

false

Exposure time: 180s

  • Unconjugated

    Anti-ErbB4 / HER4+ErbB2 / HER2 antibody [EPR22665-104]

  • 665 Alexa Fluor® 647

    Alexa Fluor® 647 Anti-ErbB2 / HER2 + ErbB4 / HER4 antibody [EPR22665-104]

  • 519 Alexa Fluor® 488

    Alexa Fluor® 488 Anti-ErbB2 / HER2 + ErB4 / HER4 antibody [EPR22665-104]

Key facts

Host species

Rabbit

Clonality

Monoclonal

Clone number

EPR22665-104

Isotype

IgG

Carrier free

Yes

Reacts with

Mouse, Human

Applications

IHC-P, WB, I-ELISA

applications

Immunogen

The exact immunogen used to generate this antibody is proprietary information.

Specificity

ab263017 is not recommended for mouse IHC.

Reactivity data

{ "title": "Reactivity Data", "filters": { "stats": ["", "Species", "Dilution Info", "Notes"], "tabs": { "all-applications": {"fullname" : "All Applications", "shortname": "All Applications"}, "IP" : {"fullname" : "Immunoprecipitation", "shortname":"IP"}, "IELISA" : {"fullname" : "Indirect ELISA", "shortname":"I-ELISA"}, "WB" : {"fullname" : "Western blot", "shortname":"WB"}, "IHCP" : {"fullname" : "Immunohistochemistry (Formalin/PFA-fixed paraffin-embedded sections)", "shortname":"IHC-P"}, "ICCIF" : {"fullname" : "Immunocytochemistry/ Immunofluorescence", "shortname":"ICC/IF"}, "FlowCytIntra" : {"fullname" : "Flow Cytometry (Intracellular)", "shortname":"Flow Cyt (Intra)"} }, "product-promise": { "all": "all", "testedAndGuaranteed": "tested", "guaranteed": "expected", "predicted": "predicted", "notRecommended": "not-recommended" } }, "values": { "Human": { "IP-species-checked": "notRecommended", "IP-species-dilution-info": "", "IP-species-notes": "<p></p>", "IELISA-species-checked": "guaranteed", "IELISA-species-dilution-info": "", "IELISA-species-notes": "", "WB-species-checked": "testedAndGuaranteed", "WB-species-dilution-info": "", "WB-species-notes": "<p></p>", "IHCP-species-checked": "testedAndGuaranteed", "IHCP-species-dilution-info": "", "IHCP-species-notes": "<p></p>", "ICCIF-species-checked": "notRecommended", "ICCIF-species-dilution-info": "", "ICCIF-species-notes": "<p></p>", "FlowCytIntra-species-checked": "notRecommended", "FlowCytIntra-species-dilution-info": "", "FlowCytIntra-species-notes": "<p></p>" }, "Mouse": { "IP-species-checked": "notRecommended", "IP-species-dilution-info": "", "IP-species-notes": "", "IELISA-species-checked": "guaranteed", "IELISA-species-dilution-info": "", "IELISA-species-notes": "", "WB-species-checked": "testedAndGuaranteed", "WB-species-dilution-info": "", "WB-species-notes": "<p></p>", "IHCP-species-checked": "guaranteed", "IHCP-species-dilution-info": "", "IHCP-species-notes": "", "ICCIF-species-checked": "notRecommended", "ICCIF-species-dilution-info": "", "ICCIF-species-notes": "", "FlowCytIntra-species-checked": "notRecommended", "FlowCytIntra-species-dilution-info": "", "FlowCytIntra-species-notes": "" }, "Recombinant fragment - Human": { "IP-species-checked": "notRecommended", "IP-species-dilution-info": "", "IP-species-notes": "", "IELISA-species-checked": "testedAndGuaranteed", "IELISA-species-dilution-info": "", "IELISA-species-notes": "<p></p>", "WB-species-checked": "testedAndGuaranteed", "WB-species-dilution-info": "", "WB-species-notes": "<p></p>", "IHCP-species-checked": "notRecommended", "IHCP-species-dilution-info": "", "IHCP-species-notes": "", "ICCIF-species-checked": "notRecommended", "ICCIF-species-dilution-info": "", "ICCIF-species-notes": "", "FlowCytIntra-species-checked": "notRecommended", "FlowCytIntra-species-dilution-info": "", "FlowCytIntra-species-notes": "" } } }

Product details

ab263027 is the carrier-free version of ab219208.

Patented technology
Our RabMAb® technology is a patented hybridoma-based technology for making rabbit monoclonal antibodies. For details on our patents, please refer to RabMAb® patents.

What are the advantages of a recombinant monoclonal antibody?
This product is a recombinant monoclonal antibody, which offers several advantages including:

  • - High batch-to-batch consistency and reproducibility
  • - Improved sensitivity and specificity
  • - Long-term security of supply
  • - Animal-free batch production

For more information, read more on recombinant antibodies.

Conjugation ready
Our carrier-free antibodies are typically supplied in a PBS-only formulation, purified and free of BSA, sodium azide and glycerol. This conjugation-ready format is designed for use with fluorochromes, metal isotopes, oligonucleotides, and enzymes, which makes them ideal for antibody labelling, functional and cell-based assays, flow-based assays (e.g. mass cytometry) and Multiplex Imaging applications.

Use our conjugation kits for antibody conjugates that are ready-to-use in as little as 20 minutes with 1 minute hands-on-time and 100% antibody recovery: available for fluorescent dyes, HRP, biotin and gold.

Compatibility
This product is compatible with the Maxpar® Antibody Labeling Kit from Fluidigm, without the need for antibody preparation. Maxpar® is a trademark of Fluidigm Canada Inc.

Properties and storage information

Form
Liquid
Purification technique
Affinity purification Protein A
Storage buffer
pH: 7.2 - 7.4 Constituents: PBS
Shipped at conditions
Blue Ice
Appropriate short-term storage conditions
+4°C
Appropriate long-term storage conditions
+4°C
Storage information
Do Not Freeze

Supplementary information

This supplementary information is collated from multiple sources and compiled automatically.

ErbB2 also known as HER2 and ErbB4 also known as HER4 are members of the ErbB family of receptor tyrosine kinases. ErbB2 has a molecular mass of about 185 kDa and lacks a natural ligand while ErbB4 weighs around 180 kDa and does bind to specific ligands. These receptors are mainly expressed in epithelial tissues including those found in the gastrointestinal tract respiratory system and skin. These receptors function as transmembrane proteins playing an important role in signal transduction processes by phosphorylating specific tyrosine residues upon dimerization.
Biological function summary

ErbB2 and ErbB4 serve significant roles in cellular processes such as cell growth differentiation and survival. ErbB2 typically forms heterodimers with other ErbB family members as it does not have an identified ligand. ErbB4 can function in both homo- and heterodimers. These complexes transmit signals inside the cell to influence transcription and other cellular responses. Their involvement is important for normal development and maintenance of various tissues.

Pathways

ErbB2 and ErbB4 participate in the PI3K/Akt and MAPK signaling pathways which are essential for mediating cellular responses like proliferation and survival. In these pathways they are closely related to proteins such as PI3K and Akt which are vital for transmitting and amplifying the signals initiated by ErbB receptor activation. These pathways ensure appropriate cellular responses to external stimuli and maintain cellular homeostasis.

ErbB2 is strongly connected to breast cancer especially in cases where it is overexpressed leading to aggressive tumor growth. HER2 proteins are often the target for treatments in such cancers. ErbB4 shows a different profile and has been linked to heart development issues and schizophrenia. Both receptors interact with various ligands and other ErbB proteins during disease progression influencing prognosis and treatment options. Their distinct roles in different tissues explain their varied involvement in diseases.

Product protocols

For this product, it's our understanding that no specific protocols are required. You can visit:

Target data

Tyrosine-protein kinase that plays an essential role as cell surface receptor for neuregulins and EGF family members and regulates development of the heart, the central nervous system and the mammary gland, gene transcription, cell proliferation, differentiation, migration and apoptosis. Required for normal cardiac muscle differentiation during embryonic development, and for postnatal cardiomyocyte proliferation. Required for normal development of the embryonic central nervous system, especially for normal neural crest cell migration and normal axon guidance. Required for mammary gland differentiation, induction of milk proteins and lactation. Acts as cell-surface receptor for the neuregulins NRG1, NRG2, NRG3 and NRG4 and the EGF family members BTC, EREG and HBEGF. Ligand binding triggers receptor dimerization and autophosphorylation at specific tyrosine residues that then serve as binding sites for scaffold proteins and effectors. Ligand specificity and signaling is modulated by alternative splicing, proteolytic processing, and by the formation of heterodimers with other ERBB family members, thereby creating multiple combinations of intracellular phosphotyrosines that trigger ligand- and context-specific cellular responses. Mediates phosphorylation of SHC1 and activation of the MAP kinases MAPK1/ERK2 and MAPK3/ERK1. Isoform JM-A CYT-1 and isoform JM-B CYT-1 phosphorylate PIK3R1, leading to the activation of phosphatidylinositol 3-kinase and AKT1 and protect cells against apoptosis. Isoform JM-A CYT-1 and isoform JM-B CYT-1 mediate reorganization of the actin cytoskeleton and promote cell migration in response to NRG1. Isoform JM-A CYT-2 and isoform JM-B CYT-2 lack the phosphotyrosine that mediates interaction with PIK3R1, and hence do not phosphorylate PIK3R1, do not protect cells against apoptosis, and do not promote reorganization of the actin cytoskeleton and cell migration. Proteolytic processing of isoform JM-A CYT-1 and isoform JM-A CYT-2 gives rise to the corresponding soluble intracellular domains (4ICD) that translocate to the nucleus, promote nuclear import of STAT5A, activation of STAT5A, mammary epithelium differentiation, cell proliferation and activation of gene expression. The ERBB4 soluble intracellular domains (4ICD) colocalize with STAT5A at the CSN2 promoter to regulate transcription of milk proteins during lactation. The ERBB4 soluble intracellular domains can also translocate to mitochondria and promote apoptosis.
See full target information ERBB4

Additional targets

ErbB2 / HER2

Product promise

We are committed to supporting your work with high-quality reagents, and we're here for you every step of the way. In the unlikely event that one of our products does not perform as expected, you're protected by our Product Promise.
For full details, please see our Terms & Conditions

Please note: All products are 'FOR RESEARCH USE ONLY. NOT FOR USE IN DIAGNOSTIC OR THERAPEUTIC PROCEDURES'.

For licensing inquiries, please contact partnerships@abcam.com