JavaScript is disabled in your browser. Please enable JavaScript to view this website.
AB84773

Anti-ERF antibody

Be the first to review this product! Submit a review

|

(1 Publication)

Rabbit Polyclonal ERF antibody. Suitable for IHC-P and reacts with Mouse, Human samples. Cited in 1 publication. Immunogen corresponding to Synthetic Peptide within Human ETS domain-containing transcription factor ERF aa 450 to C-terminus.

View Alternative Names

ETS domain-containing transcription factor ERF, Ets2 repressor factor, PE-2, ERF

2 Images
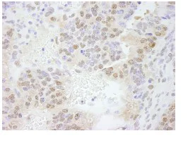
Immunohistochemistry (Formalin/PFA-fixed paraffin-embedded sections) - Anti-ERF antibody (AB84773)
  • IHC-P

Unknown

Immunohistochemistry (Formalin/PFA-fixed paraffin-embedded sections) - Anti-ERF antibody (AB84773)

Staining of ERF by Immunohistochemistry on a formalin fixed, paraffin embedded section of human ovarian tumor using a 1/100 dilution of ab84773. Detection : DAB staining

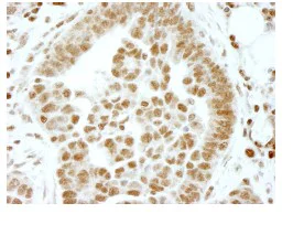
Immunohistochemistry (Formalin/PFA-fixed paraffin-embedded sections) - Anti-ERF antibody (AB84773)
  • IHC-P

Unknown

Immunohistochemistry (Formalin/PFA-fixed paraffin-embedded sections) - Anti-ERF antibody (AB84773)

Staining of ERF by Immunohistochemistry on a formalin fixed, paraffin embedded section of mouse teratoma using a 1/500 dilution of ab84773. Detection : DAB staining

Key facts

Host species

Rabbit

Clonality

Polyclonal

Isotype

IgG

Carrier free

No

Reacts with

Mouse, Human

Applications

IHC-P

applications

Immunogen

Synthetic Peptide within Human ETS domain-containing transcription factor ERF aa 450 to C-terminus. The exact immunogen used to generate this antibody is proprietary information.

P50548

Reactivity data

{ "title": "Reactivity Data", "filters": { "stats": ["", "Species", "Dilution Info", "Notes"], "tabs": { "all-applications": {"fullname" : "All Applications", "shortname": "All Applications"}, "IHCP" : {"fullname" : "Immunohistochemistry (Formalin/PFA-fixed paraffin-embedded sections)", "shortname":"IHC-P"} }, "product-promise": { "all": "all", "testedAndGuaranteed": "tested", "guaranteed": "expected", "predicted": "predicted", "notRecommended": "not-recommended" } }, "values": { "Human": { "IHCP-species-checked": "testedAndGuaranteed", "IHCP-species-dilution-info": "1/100 - 1/500", "IHCP-species-notes": "<p>Epitope exposure is recommended. Epitope exposure with citrate buffer will enhance staining.</p>" }, "Mouse": { "IHCP-species-checked": "testedAndGuaranteed", "IHCP-species-dilution-info": "1/100 - 1/500", "IHCP-species-notes": "<p>Epitope exposure is recommended. Epitope exposure with citrate buffer will enhance staining.</p>" }, "Rat": { "IHCP-species-checked": "predicted", "IHCP-species-dilution-info": "", "IHCP-species-notes": "" }, "Chimpanzee": { "IHCP-species-checked": "predicted", "IHCP-species-dilution-info": "", "IHCP-species-notes": "" }, "Cow": { "IHCP-species-checked": "predicted", "IHCP-species-dilution-info": "", "IHCP-species-notes": "" }, "Dog": { "IHCP-species-checked": "predicted", "IHCP-species-dilution-info": "", "IHCP-species-notes": "" }, "Elephant": { "IHCP-species-checked": "predicted", "IHCP-species-dilution-info": "", "IHCP-species-notes": "" }, "Gorilla": { "IHCP-species-checked": "predicted", "IHCP-species-dilution-info": "", "IHCP-species-notes": "" }, "Horse": { "IHCP-species-checked": "predicted", "IHCP-species-dilution-info": "", "IHCP-species-notes": "" }, "Orangutan": { "IHCP-species-checked": "predicted", "IHCP-species-dilution-info": "", "IHCP-species-notes": "" }, "Pig": { "IHCP-species-checked": "predicted", "IHCP-species-dilution-info": "", "IHCP-species-notes": "" }, "Rhesus monkey": { "IHCP-species-checked": "predicted", "IHCP-species-dilution-info": "", "IHCP-species-notes": "" } } }

Properties and storage information

Form
Liquid
Purification technique
Affinity purification Immunogen
Purification notes
ab84773 was affinity purified using an epitope specific to ERF immobilized on solid support. Antibody concentration was determined by extinction coefficient: absorbance at 280 nm of 1.4 equals 1.0 mg of IgG.
Storage buffer
pH: 6.8 - 7.4 Preservative: 0.09% Sodium azide Constituents: Tris buffered saline, 0.1% BSA
Shipped at conditions
Blue Ice
Appropriate short-term storage conditions
+4°C
Appropriate long-term storage conditions
+4°C
Aliquoting information
Upon delivery aliquot
Storage information
Avoid freeze / thaw cycle

Supplementary information

This supplementary information is collated from multiple sources and compiled automatically.

ERF or Ets2 repressor factor is a transcription factor that regulates gene expression by binding to specific DNA sequences. Sometimes referred to as ERF2 this protein has a molecular mass of around 54 kDa. ERF is widely expressed in various tissues including the liver lungs and brain. It localizes mainly in the nucleus where it interacts with DNA to modulate transcriptional activities influencing cellular responses.
Biological function summary

Ets2 repressor factor plays a role in growth regulation. It is known to negatively control the activity of other ETS transcription factors restricting their ability to activate gene expression linked with cell proliferation and differentiation. ERF is not usually part of a larger complex but can form interactions with other regulatory molecules to fine-tune cellular processes. By influencing these pathways ERF helps maintain balanced cell growth and prevent uncontrolled division.

Pathways

ERF integrates into the MAPK/ERK signaling pathway influencing cell cycle control and differentiation. This pathway also involves other proteins such as ERK2 and c-Fos which are important for transmitting signals from extracellular stimuli to the nucleus. Additionally ERF is connected to the TGF-beta signaling pathway where it aids in modulating responses to growth factors that are important in developmental processes and cellular homeostasis.

ERF has implications in cancer progression and developmental syndromes. Dysregulation of ERF gene expression can contribute to increased cell proliferation and tumor growth linking it to cancer pathways. For instance its interaction with ERK2 in the MAPK/ERK pathway influences oncogenic processes. In developmental syndromes mutations in ERF are associated with craniosynostosis a condition affecting skull development often involving altered signaling pathways related to protein FGFR2 which can result in impaired cell differentiation and growth regulation.

Product protocols

For this product, it's our understanding that no specific protocols are required. You can visit:

Target data

Potent transcriptional repressor that binds to the H1 element of the Ets2 promoter. May regulate other genes involved in cellular proliferation. Required for extraembryonic ectoderm differentiation, ectoplacental cone cavity closure, and chorioallantoic attachment (By similarity). May be important for regulating trophoblast stem cell differentiation (By similarity).
See full target information ETS domain-containing transcription factor ERF

Publications (1)

Recent publications for all applications. Explore the full list and refine your search

Journal of virology 98:e0088624 PubMed39287387

2024

Conserved linear motif within the immediate early protein ORF45 promotes its engagement with KSHV lytic cycle-promoting forkhead transcription factors, FOXK1 and FOXK2.

Applications

Unspecified application

Species

Unspecified reactive species

Marley Palmer,Alessandro Leo,Natalie Atyeo,Christiana Tomacari,Xuan Nguyen,Bernadett Papp
View all publications

Product promise

We are committed to supporting your work with high-quality reagents, and we're here for you every step of the way. In the unlikely event that one of our products does not perform as expected, you're protected by our Product Promise.
For full details, please see our Terms & Conditions

Please note: All products are 'FOR RESEARCH USE ONLY. NOT FOR USE IN DIAGNOSTIC OR THERAPEUTIC PROCEDURES'.

For licensing inquiries, please contact partnerships@abcam.com