JavaScript is disabled in your browser. Please enable JavaScript to view this website.
AB115555

Anti-ERG antibody

0

(1 Review)

|

(1 Publication)

Goat Polyclonal ERG antibody. Suitable for IHC-P and reacts with Human samples. Cited in 1 publication. Immunogen corresponding to Synthetic Peptide within Human ERG aa 450 to C-terminus.

View Alternative Names

Transcriptional regulator ERG, Transforming protein ERG, ERG

1 Images
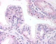
Immunohistochemistry (Formalin/PFA-fixed paraffin-embedded sections) - Anti-ERG antibody (AB115555)
  • IHC-P

Unknown

Immunohistochemistry (Formalin/PFA-fixed paraffin-embedded sections) - Anti-ERG antibody (AB115555)

ab115555, at 10µg/ml, staining ERG in Formalin-fixed, Paraffin-embedded Human Prostate tissue by Immunohistochemistry followed by biotinylated secondary antibody, alkaline phosphatase-streptavidin and chromogen..

Key facts

Host species

Goat

Clonality

Polyclonal

Isotype

IgG

Carrier free

No

Reacts with

Human

Applications

IHC-P

applications

Immunogen

Synthetic Peptide within Human ERG aa 450 to C-terminus. The exact immunogen used to generate this antibody is proprietary information.

P11308

Reactivity data

{ "title": "Reactivity Data", "filters": { "stats": ["", "Species", "Dilution Info", "Notes"], "tabs": { "all-applications": {"fullname" : "All Applications", "shortname": "All Applications"}, "IHCP" : {"fullname" : "Immunohistochemistry (Formalin/PFA-fixed paraffin-embedded sections)", "shortname":"IHC-P"} }, "product-promise": { "all": "all", "testedAndGuaranteed": "tested", "guaranteed": "expected", "predicted": "predicted", "notRecommended": "not-recommended" } }, "values": { "Human": { "IHCP-species-checked": "testedAndGuaranteed", "IHCP-species-dilution-info": "10 µg/mL", "IHCP-species-notes": "<p></p> Perform heat-mediated antigen retrieval with citrate buffer pH 6 before commencing with IHC staining protocol." }, "Mouse": { "IHCP-species-checked": "predicted", "IHCP-species-dilution-info": "", "IHCP-species-notes": "" }, "Rat": { "IHCP-species-checked": "predicted", "IHCP-species-dilution-info": "", "IHCP-species-notes": "" }, "Horse": { "IHCP-species-checked": "predicted", "IHCP-species-dilution-info": "", "IHCP-species-notes": "" } } }

Properties and storage information

Form
Liquid
Purification technique
Affinity purification Protein A
Storage buffer
pH: 7.3 Preservative: 0.02% Sodium azide Constituents: Tris buffered saline, 0.5% BSA
Shipped at conditions
Blue Ice
Appropriate short-term storage conditions
+4°C
Appropriate long-term storage conditions
-20°C
Aliquoting information
Upon delivery aliquot
Storage information
Avoid freeze / thaw cycle

Supplementary information

This supplementary information is collated from multiple sources and compiled automatically.

ERG or ETS-related gene is a transcription factor that belongs to the ETS (E-26 transformation specific) family. The ERG protein plays an important role in gene regulation involved in cell growth and differentiation. ERG has a molecular mass of approximately 54 kDa. It is expressed in a variety of tissues including the prostate endothelial cells and hematopoietic cells. Researchers often study ERG protein localization through techniques such as ERG IHC to better understand its expression across different tissues for example in the ERG color sections that highlight specific cellular contexts.
Biological function summary

ERG regulates processes critical for normal cellular functions such as proliferation apoptosis and differentiation. It functions as part of a larger transcriptional regulatory complex and interacts with other proteins to exert its effects on target genes. The ERG protein can affect angiogenesis and limb development through its regulation of vascular endothelial cells. By controlling such important cellular processes ERG influences both normal physiological functions and abnormal conditions when dysregulated.

Pathways

ERG is highly significant in the MAPK/ERK signaling pathway which is involved in cell division and survival. ERG interacts with other signaling proteins such as FLI1 and RUNX1 affecting cellular responses and contributing to the regulation of gene expression essential for development and homeostasis. Within the hematopoietic context ERG participates in the regulation of pathways that maintain stem cell populations making it important for normal blood cell development.

ERG is prominently implicated in prostate cancer where gene fusions involving ERG lead to its overexpression and contribute to malignancy. The abnormal expression of ERG in endothelial cells can also have a role in vascular disorders. ERG's interplay with proteins like TMPRSS2 often seen in gene fusions in prostate cancer underlines its role in oncogenesis. Understanding how ERG regulates these pathways and its interactions with other proteins helps in developing targeted therapies for disorders involving ERG dysregulation.

Product protocols

For this product, it's our understanding that no specific protocols are required. You can visit:

Target data

Transcriptional regulator. May participate in transcriptional regulation through the recruitment of SETDB1 histone methyltransferase and subsequent modification of local chromatin structure.
See full target information ERG

Publications (1)

Recent publications for all applications. Explore the full list and refine your search

Proceedings of the National Academy of Sciences of the United States of America 120:e2213075120 PubMed36791098

2023

The HP1α protein is mandatory to repress the circadian clock and its output genes during the 12 h period of transcriptional repression.

Applications

Unspecified application

Species

Unspecified reactive species

Nisha Misra,Manohar Damara,Pierre Chambon
View all publications

Product promise

We are committed to supporting your work with high-quality reagents, and we're here for you every step of the way. In the unlikely event that one of our products does not perform as expected, you're protected by our Product Promise.
For full details, please see our Terms & Conditions

Please note: All products are 'FOR RESEARCH USE ONLY. NOT FOR USE IN DIAGNOSTIC OR THERAPEUTIC PROCEDURES'.

For licensing inquiries, please contact partnerships@abcam.com