JavaScript is disabled in your browser. Please enable JavaScript to view this website.
AB214796

Anti-ERG antibody [EPR3864] - BSA and Azide free

4

(1 Review)

|

(3 Publications)

Rabbit Recombinant Monoclonal ERG antibody. Carrier free. Suitable for IHC-P, WB, ICC/IF, Flow Cyt (Intra) and reacts with Mouse, Human, Rat samples. Cited in 3 publications.

View Alternative Names

Transcriptional regulator ERG, Transforming protein ERG, ERG

11 Images
Flow Cytometry (Intracellular) - Anti-ERG antibody [EPR3864] - BSA and Azide free (AB214796)
  • Flow Cyt (Intra)

Lab

Flow Cytometry (Intracellular) - Anti-ERG antibody [EPR3864] - BSA and Azide free (AB214796)

This data was developed using the same antibody clone in a different buffer formulation containing PBS, BSA, glycerol, and sodium azide (ab92513).

Flow cytometry overlay histogram showing left THP-1 positive cells and right negative HCT116 stained with ab92513 (red line). The cells were fixed with 4% formaldehyde (10 min) and then permeabilised with 0.1% PBS-Triton X-100 for 15 min. The cells were then incubated in 1x PBS containing 10μg/ml human IgG and 10% normal goat serum to block FC receptors and non-specific protein-protein interaction followed by the antibody (ab92513) (1x 106 in 100μl at 0.04μg/ml (1/54000)) for 30min at 22°C.

The secondary antibody Goat Anti-Rabbit IgG H&L (Alexa Fluor® 488) preadsorbed was incubated at 1/4000 for 30min at 22°C

Isotype control antibody (black line) was Recombinant Rabbit IgG, monoclonal [EPR25A] - Isotype Control used at the same concentration and conditions as the primary antibody. Unlabelled sample (blue line) was also used as a control.

Acquisition of >5000 events were collected using a 50 mW Blue laser (488nm) and 525/40 bandpass filter.

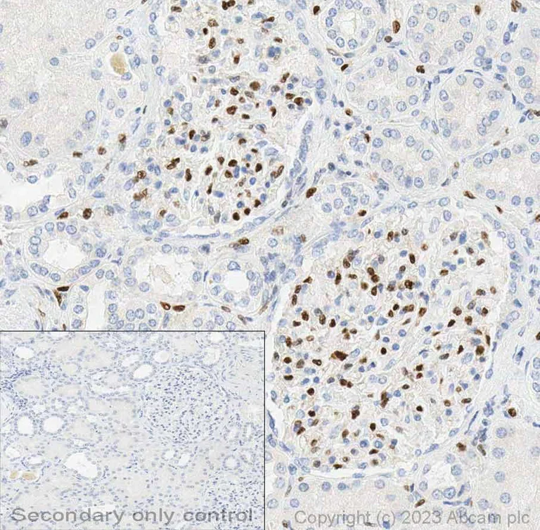
Immunohistochemistry (Formalin/PFA-fixed paraffin-embedded sections) - Anti-ERG antibody [EPR3864] - BSA and Azide free (AB214796)
  • IHC-P

Unknown

Immunohistochemistry (Formalin/PFA-fixed paraffin-embedded sections) - Anti-ERG antibody [EPR3864] - BSA and Azide free (AB214796)

Immunohistochemical staining of paraffin embedded human kidney with purified ab92513 at a working dilution of 1/1000. The secondary antibody used is HRP goat anti-rabbit IgG H&L (ab97051) at 1/500. The sample is counter-stained with hematoxylin. Antigen retrieval was perfomed using Tris-EDTA buffer, pH 9.0. PBS was used instead of the primary antibody as the negative control, and is shown in the inset.This data was developed using the same antibody clone in a different buffer formulation containing PBS, BSA, glycerol, and sodium azide (ab92513).

Flow Cytometry (Intracellular) - Anti-ERG antibody [EPR3864] - BSA and Azide free (AB214796)
  • Flow Cyt (Intra)

Unknown

Flow Cytometry (Intracellular) - Anti-ERG antibody [EPR3864] - BSA and Azide free (AB214796)

Intracellular Flow Cytometry analysis of THP-1 (human monocytic leukemia cell line) cells labeling ERG with purified ab92513 at 1/1000 dilution (1ug/ml) (red). Cells were fixed with 4% paraformaldehyde and permeabilised with 90% methanol. A Goat anti rabbit IgG (Alexa Fluor® 488) (ab150077) (1/2000 dilution) was used as the secondary antibody. Rabbit monoclonal IgG (Black) (ab172730) was used as the isotype control, Cell without incubation with primary antibody and secondary antibody (Blue) were used as the unlabeled control.

This data was developed using the same antibody clone in a different buffer formulation containing PBS, BSA, glycerol, and sodium azide (ab92513).

Immunocytochemistry/ Immunofluorescence - Anti-ERG antibody [EPR3864] - BSA and Azide free (AB214796)
  • ICC/IF

Lab

Immunocytochemistry/ Immunofluorescence - Anti-ERG antibody [EPR3864] - BSA and Azide free (AB214796)

ab92513 staining ERG in THP-1 cells, with negative expression in HCT116 cells. The cells were fixed with 4% formaldehyde (10 min), permeabilised with 0.1% Triton x-100 for 5 minutes and then blocked with 1% BSA/10% normal goat serum/0.3M glycine in 0.1% PBS-Tween for 1h. The cells were then incubated overnight at +4°C with ab92513 at 1 μg/ml and ab7291, Mouse monoclonal [DM1A] to alpha Tubulin at 0.5 μg/ml. Cells were then incubated with ab150081, Goat polyclonal Secondary Antibody to Rabbit IgG - H&L (Alexa Fluor® 488), pre-adsorbed at 1/1000 dilution (shown in green) and ab150119, Goat polyclonal Secondary Antibody to Mouse IgG - H&L (Alexa Fluor® 647), pre-adsorbed at 1/1000 dilution (shown in red). Nuclear DNA was labelled with DAPI (shown in blue). Image was acquired with a confocal microscope (Leica-Microsystems TCS SP8) and a single confocal section is shown. This data was developed using the same antibody clone in a different buffer formulation containing PBS, BSA, glycerol, and sodium azide (ab92513).

Immunohistochemistry (Formalin/PFA-fixed paraffin-embedded sections) - Anti-ERG antibody [EPR3864] - BSA and Azide free (AB214796)
  • IHC-P

PubMed

Immunohistochemistry (Formalin/PFA-fixed paraffin-embedded sections) - Anti-ERG antibody [EPR3864] - BSA and Azide free (AB214796)

ERG and GSTP1 immunostainings of human prostate cancer samples using ab92513.

Representative immunohistochemical images of prostate cancer samples are shown that were positive for ERG and negative for GSTP1 (A), positive for both ERG and GSTP1 (B), negative for both ERG and GSTP1(C), and negative for ERG and positive for GSTP1 (D). The internal staining control for ERG is the endothelium (arrows) and for GSTP1 the stromal and/or basal cells of normal prostate glands. N, normal prostate gland; S, Stroma; T, tumor gland. Scale bars equal 100μm

This data was developed using the same antibody clone in a different buffer formulation containing PBS, BSA, glycerol, and sodium azide (ab92513).

Perform heat mediated antigen retrieval before commencing with IHC staining protocol.

Image from Litovkin K et al. PLoS One. 2015;10(6):e0130651. Fig 5.; doi: 10.1371/journal.pone.0130651.

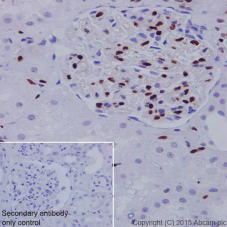
Immunohistochemistry (Formalin/PFA-fixed paraffin-embedded sections) - Anti-ERG antibody [EPR3864] - BSA and Azide free (AB214796)
  • IHC-P

Lab

Immunohistochemistry (Formalin/PFA-fixed paraffin-embedded sections) - Anti-ERG antibody [EPR3864] - BSA and Azide free (AB214796)

Immunohistochemical analysis of formalin-fixed paraffin-embedded human kidney labelling ERG with ab92513 at a concentration of 1µg/ml. The immunostaining was performed on a Ventana DISCOVERY ULTRA (Roche Tissue Diagnostics) instrument with an OptiView DAB IHC Detection Kit. Heat mediated antigen retrieval was conducted for 32min with ULTRA cell conditioning solution (CC1 pH8.5). ab92513 anti ERG antibody was incubated at 37°C for 16min. Sections were counterstained with Hematoxylin II. Image inset shows absence of staining in secondary antibody only control.

This data was developed using the same antibody clone in a different buffer formulation containing PBS, BSA, glycerol, and sodium azide (ab92513).

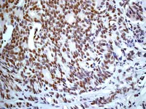
Immunohistochemistry (Formalin/PFA-fixed paraffin-embedded sections) - Anti-ERG antibody [EPR3864] - BSA and Azide free (AB214796)
  • IHC-P

Unknown

Immunohistochemistry (Formalin/PFA-fixed paraffin-embedded sections) - Anti-ERG antibody [EPR3864] - BSA and Azide free (AB214796)

Immunohistochemical analysis of paraffin embedded Human Prostatic adenocarcinoma stage 3 tissue using unpurified ab92513 showing +ve staining.

This data was developed using the same antibody clone in a different buffer formulation containing PBS, BSA, glycerol, and sodium azide (ab92513).

Perform heat mediated antigen retrieval before commencing with IHC staining protocol.

Immunocytochemistry/ Immunofluorescence - Anti-ERG antibody [EPR3864] - BSA and Azide free (AB214796)
  • ICC/IF

Unknown

Immunocytochemistry/ Immunofluorescence - Anti-ERG antibody [EPR3864] - BSA and Azide free (AB214796)

Immunofluorescence staining of THP-1 (human monocytic leukemia cell line) cells with purified ab92513 at a working dilution of 1/100, counter-stained with DAPI. The secondary antibody was Alexa Fluor® 488 goat anti-rabbit (ab150077), used at a dilution of 1/1000. ab7291, a mouse anti-tubulin antibody (1/1000), was used to stain tubulin along with ab150120 (Alexa Fluor® 594 goat anti-mouse, 1/1000), shown in the top right hand panel. The cells were fixed in 4% PFA and permeabilized using 0.1% Triton X 100. The negative controls are shown in bottom middle and right hand panels - for negative control 1, purified ab92513 was used at a dilution of 1/500 followed by an Alexa Fluor® 594 goat anti-mouse antibody (ab150120) at a dilution of 1/500. For negative control 2, ab7291 (mouse anti-tubulin) was used at a dilution of 1/500 followed by an Alexa Fluor® 488 goat anti-rabbit antibody (ab150077) at a dilution of 1/400.

This data was developed using the same antibody clone in a different buffer formulation containing PBS, BSA, glycerol, and sodium azide (ab92513).

Immunocytochemistry/ Immunofluorescence - Anti-ERG antibody [EPR3864] - BSA and Azide free (AB214796)
  • ICC/IF

PubMed

Immunocytochemistry/ Immunofluorescence - Anti-ERG antibody [EPR3864] - BSA and Azide free (AB214796)

Functional characterization and detection of genetic alterations in GEDI-captured cells. The TMPRSS2 : ERG fusion protein is detected in GEDI-captured circulating tumor cells (CTCs) from a castrate-resistant prostate cancer (CRPC) patient. PSMA-captured CTCs were stained on the device with ab92513. Representative examples of PSMA+/CD45− CTCs are shown, two of which are positive for ERG. Scale bars : 10 microns.

This data was developed using the same antibody clone in a different buffer formulation containing PBS, BSA, glycerol, and sodium azide (ab92513).

Image from Kirby BJ et al. PLoS One. 2012;8(12):e83903. Fig 4.; doi: 10.1371/journal.pone.0035976.

Immunohistochemistry (Formalin/PFA-fixed paraffin-embedded sections) - Anti-ERG antibody [EPR3864] - BSA and Azide free (AB214796)
  • IHC-P

Supplier Data

Immunohistochemistry (Formalin/PFA-fixed paraffin-embedded sections) - Anti-ERG antibody [EPR3864] - BSA and Azide free (AB214796)

This data was developed using the same antibody clone in a different buffer formulation containing PBS, BSA, glycerol, and sodium azide (ab92513). Tissue Microarrays stained for Anti-ERG antibody [EPR3864] using ab92513 in immunohistochemical analysis. This table provides a detailed overview of positive (tick mark) and negaive (cross mark) staining per sample type tested. The section was incubated with ab92513 for 30 mins at room temperature followed by a ready to use LeicaDS9800 (Bond™ Polymer Refine Detection). The immunostaining was performed on a Leica Biosystems BOND® RX instrument. Heat mediated antigen retrieval was performed with Tris-EDTA buffer (pH 9.0, Epitope Retrieval Solution2) for 20 mins.

OI-RD Scanning - Anti-ERG antibody [EPR3864] - BSA and Azide free (AB214796)
  • OI-RD Scanning

Unknown

OI-RD Scanning - Anti-ERG antibody [EPR3864] - BSA and Azide free (AB214796)

We have systematically measured KD (the equilibrium dissociation constant between the antibody and its antigen), of more than 840 recombinant antibodies to assess not only their individual KD values but also to see the average affinity of antibody. Based on the comparison with published literature values for mouse monoclonal antibodies, Recombinant antibodies appear to be on average 1-2 order of magnitude higher affinity.

  • Unconjugated

    Anti-ERG antibody [EPR3864]

  • 665 Alexa Fluor® 647

    Alexa Fluor® 647 Anti-ERG antibody [EPR3864]

  • HRP

    HRP Anti-ERG antibody [EPR3864]

  • 519 Alexa Fluor® 488

    Alexa Fluor® 488 Anti-ERG antibody [EPR3864]

  • 578 PE

    PE Anti-ERG antibody [EPR3864]

  • 660 APC

    APC Anti-ERG antibody [EPR3864]

Key facts

Host species

Rabbit

Clonality

Monoclonal

Clone number

EPR3864

Isotype

IgG

Carrier free

Yes

Reacts with

Mouse, Rat, Human

Applications

Flow Cyt (Intra), IHC-P, WB, ICC/IF

applications

Immunogen

The exact immunogen used to generate this antibody is proprietary information.

Specificity

This antibody also detects Fli-1.

Reactivity data

{ "title": "Reactivity Data", "filters": { "stats": ["", "Species", "Dilution Info", "Notes"], "tabs": { "all-applications": {"fullname" : "All Applications", "shortname": "All Applications"}, "IHCP" : {"fullname" : "Immunohistochemistry (Formalin/PFA-fixed paraffin-embedded sections)", "shortname":"IHC-P"}, "WB" : {"fullname" : "Western blot", "shortname":"WB"}, "ICCIF" : {"fullname" : "Immunocytochemistry/ Immunofluorescence", "shortname":"ICC/IF"}, "FlowCytIntra" : {"fullname" : "Flow Cytometry (Intracellular)", "shortname":"Flow Cyt (Intra)"} }, "product-promise": { "all": "all", "testedAndGuaranteed": "tested", "guaranteed": "expected", "predicted": "predicted", "notRecommended": "not-recommended" } }, "values": { "Human": { "IHCP-species-checked": "guaranteed", "IHCP-species-dilution-info": "", "IHCP-species-notes": "", "WB-species-checked": "guaranteed", "WB-species-dilution-info": "", "WB-species-notes": "<p></p>", "ICCIF-species-checked": "testedAndGuaranteed", "ICCIF-species-dilution-info": "", "ICCIF-species-notes": "<p>This product gave a positive signal in THP-1 (-ve: HCT116) fixed with 4% formaldehyde (10 min).</p>", "FlowCytIntra-species-checked": "testedAndGuaranteed", "FlowCytIntra-species-dilution-info": "", "FlowCytIntra-species-notes": "<p></p>" }, "Mouse": { "IHCP-species-checked": "testedAndGuaranteed", "IHCP-species-dilution-info": "", "IHCP-species-notes": "<p></p>", "WB-species-checked": "guaranteed", "WB-species-dilution-info": "", "WB-species-notes": "<p></p>", "ICCIF-species-checked": "guaranteed", "ICCIF-species-dilution-info": "", "ICCIF-species-notes": "", "FlowCytIntra-species-checked": "guaranteed", "FlowCytIntra-species-dilution-info": "", "FlowCytIntra-species-notes": "" }, "Rat": { "IHCP-species-checked": "predicted", "IHCP-species-dilution-info": "", "IHCP-species-notes": "", "WB-species-checked": "guaranteed", "WB-species-dilution-info": "", "WB-species-notes": "<p></p>", "ICCIF-species-checked": "predicted", "ICCIF-species-dilution-info": "", "ICCIF-species-notes": "", "FlowCytIntra-species-checked": "predicted", "FlowCytIntra-species-dilution-info": "", "FlowCytIntra-species-notes": "" } } }

Product details

ab214796 is the carrier-free version of ab92513.

Patented technology
Our RabMAb® technology is a patented hybridoma-based technology for making rabbit monoclonal antibodies. For details on our patents, please refer to RabMAb® patents.

What are the advantages of a recombinant monoclonal antibody?
This product is a recombinant monoclonal antibody, which offers several advantages including:

  • - High batch-to-batch consistency and reproducibility
  • - Improved sensitivity and specificity
  • - Long-term security of supply
  • - Animal-free batch production

For more information, read more on recombinant antibodies.

Conjugation ready
Our carrier-free antibodies are typically supplied in a PBS-only formulation, purified and free of BSA, sodium azide and glycerol. This conjugation-ready format is designed for use with fluorochromes, metal isotopes, oligonucleotides, and enzymes, which makes them ideal for antibody labelling, functional and cell-based assays, flow-based assays (e.g. mass cytometry) and Multiplex Imaging applications.

Use our conjugation kits for antibody conjugates that are ready-to-use in as little as 20 minutes with 1 minute hands-on-time and 100% antibody recovery: available for fluorescent dyes, HRP, biotin and gold.

Compatibility
This product is compatible with the Maxpar® Antibody Labeling Kit from Fluidigm, without the need for antibody preparation. Maxpar® is a trademark of Fluidigm Canada Inc.

Properties and storage information

Form
Liquid
Purification technique
Affinity purification Protein A
Storage buffer
pH: 7.2 - 7.4 Constituents: PBS
Shipped at conditions
Blue Ice
Appropriate short-term storage conditions
+4°C
Appropriate long-term storage conditions
+4°C
Storage information
Do Not Freeze

Supplementary information

This supplementary information is collated from multiple sources and compiled automatically.

ERG or ETS-related gene is a transcription factor that belongs to the ETS (E-26 transformation specific) family. The ERG protein plays an important role in gene regulation involved in cell growth and differentiation. ERG has a molecular mass of approximately 54 kDa. It is expressed in a variety of tissues including the prostate endothelial cells and hematopoietic cells. Researchers often study ERG protein localization through techniques such as ERG IHC to better understand its expression across different tissues for example in the ERG color sections that highlight specific cellular contexts.
Biological function summary

ERG regulates processes critical for normal cellular functions such as proliferation apoptosis and differentiation. It functions as part of a larger transcriptional regulatory complex and interacts with other proteins to exert its effects on target genes. The ERG protein can affect angiogenesis and limb development through its regulation of vascular endothelial cells. By controlling such important cellular processes ERG influences both normal physiological functions and abnormal conditions when dysregulated.

Pathways

ERG is highly significant in the MAPK/ERK signaling pathway which is involved in cell division and survival. ERG interacts with other signaling proteins such as FLI1 and RUNX1 affecting cellular responses and contributing to the regulation of gene expression essential for development and homeostasis. Within the hematopoietic context ERG participates in the regulation of pathways that maintain stem cell populations making it important for normal blood cell development.

ERG is prominently implicated in prostate cancer where gene fusions involving ERG lead to its overexpression and contribute to malignancy. The abnormal expression of ERG in endothelial cells can also have a role in vascular disorders. ERG's interplay with proteins like TMPRSS2 often seen in gene fusions in prostate cancer underlines its role in oncogenesis. Understanding how ERG regulates these pathways and its interactions with other proteins helps in developing targeted therapies for disorders involving ERG dysregulation.

Product protocols

For this product, it's our understanding that no specific protocols are required. You can visit:

Target data

Transcriptional regulator. May participate in transcriptional regulation through the recruitment of SETDB1 histone methyltransferase and subsequent modification of local chromatin structure.
See full target information ERG

Publications (3)

Recent publications for all applications. Explore the full list and refine your search

PloS one 20:e0325936 PubMed40601668

2025

PLZF promotes compensatory lung growth by increasing HPMEC proliferation and angiogenesis.

Applications

Unspecified application

Species

Unspecified reactive species

Jing Peng,Liang Ma,Zhonghui Wang,Yaxi Du,Qunfen Tao,Qiongchuan Wang,Li Zhao

Journal of nanobiotechnology 22:292 PubMed38802882

2024

Effective delivery of miR-150-5p with nucleus pulposus cell-specific nanoparticles attenuates intervertebral disc degeneration.

Applications

Unspecified application

Species

Unspecified reactive species

Hua Jiang,Hongyu Qin,Qinghua Yang,Longao Huang,Xiao Liang,Congyang Wang,Abu Moro,Sheng Xu,Qingjun Wei

Nature communications 12:7292 PubMed34911933

2021

Epigenetic loss of heterogeneity from low to high grade localized prostate tumours.

Applications

Unspecified application

Species

Unspecified reactive species

Sebnem Ece Eksi,Alex Chitsazan,Zeynep Sayar,George V Thomas,Andrew J Fields,Ryan P Kopp,Paul T Spellman,Andrew C Adey
View all publications

Product promise

We are committed to supporting your work with high-quality reagents, and we're here for you every step of the way. In the unlikely event that one of our products does not perform as expected, you're protected by our Product Promise.
For full details, please see our Terms & Conditions

Please note: All products are 'FOR RESEARCH USE ONLY. NOT FOR USE IN DIAGNOSTIC OR THERAPEUTIC PROCEDURES'.

For licensing inquiries, please contact partnerships@abcam.com