JavaScript is disabled in your browser. Please enable JavaScript to view this website.
AB275331

Anti-ERG antibody [EPR3864] - Mouse IgG2b (Chimeric) - BSA and Azide free

Be the first to review this product! Submit a review

|

(0 Publication)

Mouse Recombinant Monoclonal ERG antibody. Carrier free. Suitable for WB, IHC-P and reacts with Mouse, Rat, Human samples.

View Alternative Names

Transcriptional regulator ERG, Transforming protein ERG, ERG

5 Images
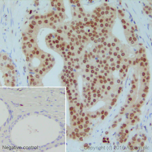
Immunohistochemistry (Formalin/PFA-fixed paraffin-embedded sections) - Anti-ERG antibody [EPR3864] - Mouse IgG2b (Chimeric) - BSA and Azide free (AB275331)
  • IHC-P

Lab

Immunohistochemistry (Formalin/PFA-fixed paraffin-embedded sections) - Anti-ERG antibody [EPR3864] - Mouse IgG2b (Chimeric) - BSA and Azide free (AB275331)

This data was developed using ab214341, the same antibody clone in a different buffer formulation.IHC image of ERG staining in a section of formalin fixed, paraffin embedded human prostate cancer. The section was pre-treated using pressure cooker heat mediated antigen retrieval with Tris-EDTA (pH9). The section was incubated with unpurified ab214341, 0.16 µg/ml, for 30 mins at room temperature followed by an incubation with a ready to use anti mouse HRP polymer system for 15 mins at room temperature. The section was counterstained with haematoxylin and mounted with permanent mounting media. As a negative control (inset) the same assay was performed on a section of formalin fixed, paraffin embedded, normal human prostate.

For other IHC staining systems (automated and non-automated) customers should optimize variable parameters such as antigen retrieval conditions, primary antibody concentration and antibody incubation times.

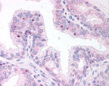
Immunohistochemistry (Formalin/PFA-fixed paraffin-embedded sections) - Anti-ERG antibody [EPR3864] - Mouse IgG2b (Chimeric) - BSA and Azide free (AB275331)
  • IHC-P

Lab

Immunohistochemistry (Formalin/PFA-fixed paraffin-embedded sections) - Anti-ERG antibody [EPR3864] - Mouse IgG2b (Chimeric) - BSA and Azide free (AB275331)

This data was developed using ab214341, the same antibody clone in a different buffer formulation.Immunohistochemistry (Formalin/PFA-fixed paraffin-embedded sections) analysis of Human prostatic hyperplasia tissue sections labeling ERG with purified ab214341 at 1 : 1000 dilution (1.39 μg/ml). Heat mediated antigen retrieval was performed using Perform heat mediated antigen retrieval using EDTA Buffer, pH9.0. Tissue was counterstained with Hematoxylin. ImmunoHistoProbe one step HRP Polymer (ready to use) secondary antibody was used at 1 : 0 dilution. PBS instead of the primary antibody was used as the negative control.

Western blot - Anti-ERG antibody [EPR3864] - Mouse IgG2b (Chimeric) - BSA and Azide free (AB275331)
  • WB

Unknown

Western blot - Anti-ERG antibody [EPR3864] - Mouse IgG2b (Chimeric) - BSA and Azide free (AB275331)

This data was developed using ab214341, the same antibody clone in a different buffer formulation.

Blocking and diluting buffer : 5% NFDM/TBST

All lanes:

Western blot - Anti-ERG antibody [EPR3864] - Mouse IgG2b (Chimeric) (<a href='/en-us/products/primary-antibodies/erg-antibody-epr3864-mouse-igg2b-chimeric-ab214341'>ab214341</a>) at 1/5000 dilution

All lanes:

HeLa (Human cervix adenocarcinoma epithelial cell) whole cell lysates at 15 µg

Secondary

All lanes:

Western blot - Rabbit Anti-Mouse IgG H&L (HRP) (<a href='/en-us/products/secondary-antibodies/rabbit-mouse-igg-h-l-hrp-ab6728'>ab6728</a>) at 1/2000 dilution

Predicted band size: 54 kDa

Observed band size: 55 kDa

false

Western blot - Anti-ERG antibody [EPR3864] - Mouse IgG2b (Chimeric) - BSA and Azide free (AB275331)
  • WB

Lab

Western blot - Anti-ERG antibody [EPR3864] - Mouse IgG2b (Chimeric) - BSA and Azide free (AB275331)

This data was developed using ab214341, the same antibody clone in a different buffer formulation.

This blot was produced using a 4-12% Bis-tris gel under the MOPS buffer system. The gel was run at 200V for 50 minutes before being transferred onto a Nitrocellulose membrane at 30V for 70 minutes. The membrane was then blocked for an hour using 2% Bovine Serum Albumin before being incubated with ab214341 (lane 1) and ab92513 (lane 2) overnight at 4°C. Antibody binding was detected using an anti-mouse (lane 1) and anti-rabbit (lane 2) antibody conjugated to HRP, and visualised using ECL development solution ab133406.

All lanes:

Western blot - Anti-ERG antibody [EPR3864] - Mouse IgG2b (Chimeric) (<a href='/en-us/products/primary-antibodies/erg-antibody-epr3864-mouse-igg2b-chimeric-ab214341'>ab214341</a>) at 1 µg/mL

All lanes:

Jurkat (Human T cell lymphoblast-like cell line) Whole Cell Lysate at 10 µg

Secondary

Lane 1:

Goat polyclonal to Mouse IgG - H&L - Pre-Adsorbed (HRP) at 1/5000 dilution

Lane 2:

Peroxidase AffiniPure Goat Anti-Rabbit IgG (H+L) at 1/50000 dilution

Predicted band size: 54 kDa

Observed band size: 55 kDa

true

Exposure time: 4min

Western blot - Anti-ERG antibody [EPR3864] - Mouse IgG2b (Chimeric) - BSA and Azide free (AB275331)
  • WB

Lab

Western blot - Anti-ERG antibody [EPR3864] - Mouse IgG2b (Chimeric) - BSA and Azide free (AB275331)

This data was developed using ab214341, the same antibody clone in a different buffer formulation.

Blocking and diluting buffer : 5% NFDM/TBST

All lanes:

Western blot - Anti-ERG antibody [EPR3864] - Mouse IgG2b (Chimeric) (<a href='/en-us/products/primary-antibodies/erg-antibody-epr3864-mouse-igg2b-chimeric-ab214341'>ab214341</a>) at 1/1000 dilution

Lane 1:

Rat heart lysates at 20 µg

Lane 2:

Rat brain lysates at 20 µg

Lane 3:

Mouse brain lysates at 20 µg

Secondary

All lanes:

Western blot - Rabbit Anti-Mouse IgG H&L (HRP) (<a href='/en-us/products/secondary-antibodies/rabbit-mouse-igg-h-l-hrp-ab6728'>ab6728</a>) at 1/2000 dilution

Predicted band size: 54 kDa

Observed band size: 55 kDa

false

  • Unconjugated

    Anti-ERG antibody [EPR3864] - Mouse IgG2b (Chimeric)

Key facts

Host species

Mouse

Clonality

Monoclonal

Clone number

EPR3864

Isotype

IgG2b

Light chain type

kappa

Carrier free

Yes

Reacts with

Mouse, Rat, Human

Applications

IHC-P, WB

applications

Immunogen

The exact immunogen used to generate this antibody is proprietary information.

Reactivity data

{ "title": "Reactivity Data", "filters": { "stats": ["", "Species", "Dilution Info", "Notes"], "tabs": { "all-applications": {"fullname" : "All Applications", "shortname": "All Applications"}, "WB" : {"fullname" : "Western blot", "shortname":"WB"}, "IHCP" : {"fullname" : "Immunohistochemistry (Formalin/PFA-fixed paraffin-embedded sections)", "shortname":"IHC-P"} }, "product-promise": { "all": "all", "testedAndGuaranteed": "tested", "guaranteed": "expected", "predicted": "predicted", "notRecommended": "not-recommended" } }, "values": { "Human": { "WB-species-checked": "testedAndGuaranteed", "WB-species-dilution-info": "", "WB-species-notes": "<p></p>", "IHCP-species-checked": "testedAndGuaranteed", "IHCP-species-dilution-info": "", "IHCP-species-notes": "<p>The mouse and rat recommendation is based on the WB results. This antibody may not be suitable for IHC with mouse or rat samples.</p>" }, "Mouse": { "WB-species-checked": "testedAndGuaranteed", "WB-species-dilution-info": "", "WB-species-notes": "<p></p>", "IHCP-species-checked": "guaranteed", "IHCP-species-dilution-info": "", "IHCP-species-notes": "" }, "Rat": { "WB-species-checked": "testedAndGuaranteed", "WB-species-dilution-info": "", "WB-species-notes": "<p></p>", "IHCP-species-checked": "guaranteed", "IHCP-species-dilution-info": "", "IHCP-species-notes": "" } } }

Product details

This mouse monoclonal chimeric antibody (ab275331) is the carrier-free version of ab214341.

Conjugation ready
Our carrier-free antibodies are typically supplied in a PBS-only formulation, purified and free of BSA, sodium azide and glycerol. This conjugation-ready format is designed for use with fluorochromes, metal isotopes, oligonucleotides, and enzymes, which makes them ideal for antibody labelling, functional and cell-based assays, flow-based assays (e.g. mass cytometry) and Multiplex Imaging applications.

Use our conjugation kits for antibody conjugates that are ready-to-use in as little as 20 minutes with 1 minute hands-on-time and 100% antibody recovery: available for fluorescent dyes, HRP, biotin and gold.

Compatibility
This product is compatible with the Maxpar® Antibody Labeling Kit from Fluidigm, without the need for antibody preparation. Maxpar® is a trademark of Fluidigm Canada Inc.

Properties and storage information

Form
Liquid
Purification technique
Affinity purification Protein A
Storage buffer
pH: 7.2 - 7.4 Constituents: PBS
Shipped at conditions
Blue Ice
Appropriate short-term storage conditions
+4°C
Appropriate long-term storage conditions
+4°C
Storage information
Do Not Freeze

Supplementary information

This supplementary information is collated from multiple sources and compiled automatically.

ERG or ETS-related gene is a transcription factor that belongs to the ETS (E-26 transformation specific) family. The ERG protein plays an important role in gene regulation involved in cell growth and differentiation. ERG has a molecular mass of approximately 54 kDa. It is expressed in a variety of tissues including the prostate endothelial cells and hematopoietic cells. Researchers often study ERG protein localization through techniques such as ERG IHC to better understand its expression across different tissues for example in the ERG color sections that highlight specific cellular contexts.
Biological function summary

ERG regulates processes critical for normal cellular functions such as proliferation apoptosis and differentiation. It functions as part of a larger transcriptional regulatory complex and interacts with other proteins to exert its effects on target genes. The ERG protein can affect angiogenesis and limb development through its regulation of vascular endothelial cells. By controlling such important cellular processes ERG influences both normal physiological functions and abnormal conditions when dysregulated.

Pathways

ERG is highly significant in the MAPK/ERK signaling pathway which is involved in cell division and survival. ERG interacts with other signaling proteins such as FLI1 and RUNX1 affecting cellular responses and contributing to the regulation of gene expression essential for development and homeostasis. Within the hematopoietic context ERG participates in the regulation of pathways that maintain stem cell populations making it important for normal blood cell development.

ERG is prominently implicated in prostate cancer where gene fusions involving ERG lead to its overexpression and contribute to malignancy. The abnormal expression of ERG in endothelial cells can also have a role in vascular disorders. ERG's interplay with proteins like TMPRSS2 often seen in gene fusions in prostate cancer underlines its role in oncogenesis. Understanding how ERG regulates these pathways and its interactions with other proteins helps in developing targeted therapies for disorders involving ERG dysregulation.

Product protocols

For this product, it's our understanding that no specific protocols are required. You can visit:

Target data

Transcriptional regulator. May participate in transcriptional regulation through the recruitment of SETDB1 histone methyltransferase and subsequent modification of local chromatin structure.
See full target information ERG

Product promise

We are committed to supporting your work with high-quality reagents, and we're here for you every step of the way. In the unlikely event that one of our products does not perform as expected, you're protected by our Product Promise.
For full details, please see our Terms & Conditions

Please note: All products are 'FOR RESEARCH USE ONLY. NOT FOR USE IN DIAGNOSTIC OR THERAPEUTIC PROCEDURES'.

For licensing inquiries, please contact partnerships@abcam.com