JavaScript is disabled in your browser. Please enable JavaScript to view this website.
AB121574

Anti-ERGIC1 antibody

Be the first to review this product! Submit a review

|

(1 Publication)

Rabbit Polyclonal ERGIC1 antibody. Suitable for IHC-P, WB, ICC/IF and reacts with Human samples. Cited in 1 publication. Immunogen corresponding to Recombinant Fragment Protein within Human ERGIC1 aa 50-150.

View Alternative Names

ERGIC32, KIAA1181, HT034, ERGIC1, Endoplasmic reticulum-Golgi intermediate compartment protein 1, ER-Golgi intermediate compartment 32 kDa protein, ERGIC-32

6 Images
Immunocytochemistry/ Immunofluorescence - Anti-ERGIC1 antibody (AB121574)
  • ICC/IF

Unknown

Immunocytochemistry/ Immunofluorescence - Anti-ERGIC1 antibody (AB121574)

Immunofluorescent staining of Human cell line U-251MG shows positivity in nucleus but not nucleoli and vesicles. Recommended concentration of ab121574 1-4 µg/ml. Cells treated with PFA/Triton X-100.

Immunohistochemistry (Formalin/PFA-fixed paraffin-embedded sections) - Anti-ERGIC1 antibody (AB121574)
  • IHC-P

Unknown

Immunohistochemistry (Formalin/PFA-fixed paraffin-embedded sections) - Anti-ERGIC1 antibody (AB121574)

ab121574, at a 1/25 dilution, staining ERGIC1 in paraffin-embedded Human liver tissue by immunohistochemistry.

Immunohistochemistry (Formalin/PFA-fixed paraffin-embedded sections) - Anti-ERGIC1 antibody (AB121574)
  • IHC-P

Unknown

Immunohistochemistry (Formalin/PFA-fixed paraffin-embedded sections) - Anti-ERGIC1 antibody (AB121574)

ab121574, at a 1/25 dilution, staining ERGIC1 in paraffin-embedded Human prostate tissue by immunohistochemistry.

Immunohistochemistry (Formalin/PFA-fixed paraffin-embedded sections) - Anti-ERGIC1 antibody (AB121574)
  • IHC-P

Unknown

Immunohistochemistry (Formalin/PFA-fixed paraffin-embedded sections) - Anti-ERGIC1 antibody (AB121574)

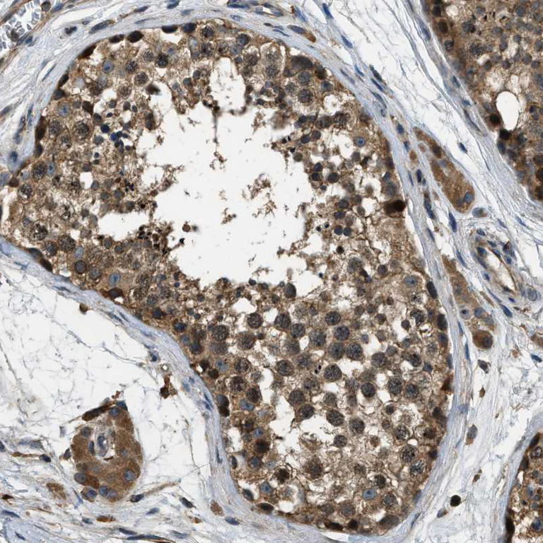
ab121574, at a 1/25 dilution, staining ERGIC1 in paraffin-embedded Human testis tissue by immunohistochemistry.

Immunohistochemistry (Formalin/PFA-fixed paraffin-embedded sections) - Anti-ERGIC1 antibody (AB121574)
  • IHC-P

Unknown

Immunohistochemistry (Formalin/PFA-fixed paraffin-embedded sections) - Anti-ERGIC1 antibody (AB121574)

ab121574, at a 1/25 dilution, staining ERGIC1 in paraffin-embedded Human cerebral cortex tissue by immunohistochemistry.

Western blot - Anti-ERGIC1 antibody (AB121574)
  • WB

Unknown

Western blot - Anti-ERGIC1 antibody (AB121574)

All lanes:

Western blot - Anti-ERGIC1 antibody (ab121574) at 1/250 dilution

Lane 1:

RT-4 cell lysate

Lane 2:

U-251 MG cell lysate

Lane 3:

Human plasma

Lane 4:

Human liver lysate

Lane 5:

Human tonsil lysate

Predicted band size: 33 kDa

true

Key facts

Host species

Rabbit

Clonality

Polyclonal

Isotype

IgG

Carrier free

No

Reacts with

Human

Applications

ICC/IF, IHC-P, WB

applications

Immunogen

Recombinant Fragment Protein within Human ERGIC1 aa 50-150. The exact immunogen used to generate this antibody is proprietary information.

Q969X5

Reactivity data

{ "title": "Reactivity Data", "filters": { "stats": ["", "Species", "Dilution Info", "Notes"], "tabs": { "all-applications": {"fullname" : "All Applications", "shortname": "All Applications"}, "IHCP" : {"fullname" : "Immunohistochemistry (Formalin/PFA-fixed paraffin-embedded sections)", "shortname":"IHC-P"}, "WB" : {"fullname" : "Western blot", "shortname":"WB"}, "ICCIF" : {"fullname" : "Immunocytochemistry/ Immunofluorescence", "shortname":"ICC/IF"} }, "product-promise": { "all": "all", "testedAndGuaranteed": "tested", "guaranteed": "expected", "predicted": "predicted", "notRecommended": "not-recommended" } }, "values": { "Human": { "IHCP-species-checked": "testedAndGuaranteed", "IHCP-species-dilution-info": "1/20 - 1/50", "IHCP-species-notes": "<p>Use buffer at pH 6 for antigen retrieval.</p> Perform heat-mediated antigen retrieval with citrate buffer pH 6 before commencing with IHC staining protocol.", "WB-species-checked": "testedAndGuaranteed", "WB-species-dilution-info": "0.04-0.4 µg/mL", "WB-species-notes": "<p></p>", "ICCIF-species-checked": "testedAndGuaranteed", "ICCIF-species-dilution-info": "0.25-2 µg/mL", "ICCIF-species-notes": "<p></p>" } } }

Properties and storage information

Form
Liquid
Purification technique
Affinity purification Immunogen
Storage buffer
pH: 7.2 Preservative: 0.02% Sodium azide Constituents: PBS, 40% Glycerol (glycerin, glycerine)
Shipped at conditions
Blue Ice
Appropriate short-term storage conditions
+4°C
Appropriate long-term storage conditions
-20°C
Aliquoting information
Upon delivery aliquot
Storage information
Avoid freeze / thaw cycle

Supplementary information

This supplementary information is collated from multiple sources and compiled automatically.

The ER-Golgi Intermediate Compartment 1 (ERGIC1) is an important protein that functions mechanically in protein sorting and trafficking between the endoplasmic reticulum (ER) and the Golgi apparatus. Known also as ERGIC-53 ERGIC-1 is a significant component involved in shuttling cargo proteins ensuring proper delivery through secretory pathways. It weighs approximately 59 kDa and is expressed in various cell types found extensively in the ER-Golgi interfaces.
Biological function summary

The movement processes mediated by ERGIC-1 maintain the central operations of intracellular transport. It plays an important role in the cycling and movement of glycoproteins influencing different cellular activities. ERGIC1 is part of a larger complex involved in vesicular transport and interacts with several coat protein complexes. These activities are vital for the modulation of glycoprotein processing and trafficking linking its function intricately with cellular transport mechanisms.

Pathways

Researchers have linked ERGIC-1 to important activities like the secretory pathway and protein synthesis pathways. Within these pathways it coordinates with proteins such as COPI and COPII ensuring efficient vesicle formation and cargo delivery between the ER and Golgi. Efficient functioning of these pathways is necessary for the regulation of protein synthesis and secretion directly impacting cellular homeostasis.

ERGIC-1 plays a role in conditions affecting protein transport and folding. Misregulation or mutations in ERGIC1 can lead to disorders such as congenital disorders of glycosylation. Additionally researchers observe that it influences pathways involving proteins like lysosomal alpha-glucosidase connecting it to diseases like Pompe disease. Understanding these connections highlights ERGIC-1's importance in maintaining cellular function and health.

Product protocols

For this product, it's our understanding that no specific protocols are required. You can visit:

Target data

Possible role in transport between endoplasmic reticulum and Golgi.
See full target information ERGIC1

Publications (1)

Recent publications for all applications. Explore the full list and refine your search

The Journal of biological chemistry 300:107843 PubMed39357829

2024

N-methyladenosine modification of SLC38A7 promotes cell migration, invasion, oxidative phosphorylation, and mitochondrial function in gastric cancer.

Applications

Unspecified application

Species

Unspecified reactive species

Yi Hua,Wei-Jun Hua,Cun-Cheng Feng,Qiu-Wei Zhu
View all publications

Product promise

We are committed to supporting your work with high-quality reagents, and we're here for you every step of the way. In the unlikely event that one of our products does not perform as expected, you're protected by our Product Promise.
For full details, please see our Terms & Conditions

Please note: All products are 'FOR RESEARCH USE ONLY. NOT FOR USE IN DIAGNOSTIC OR THERAPEUTIC PROCEDURES'.

For licensing inquiries, please contact partnerships@abcam.com