JavaScript is disabled in your browser. Please enable JavaScript to view this website.
AB236723

Anti-ERGIC3 antibody

Be the first to review this product! Submit a review

|

(1 Publication)

Rabbit Polyclonal ERGIC3 antibody. Suitable for WB, IHC-P, ICC/IF and reacts with Human samples. Cited in 1 publication. Immunogen corresponding to Recombinant Fragment Protein within Human ERGIC3 aa 1-350.

View Alternative Names

C20orf47, ERV46, SDBCAG84, CGI-54, PRO0989, ERGIC3, Endoplasmic reticulum-Golgi intermediate compartment protein 3, Serologically defined breast cancer antigen NY-BR-84

3 Images
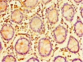
Immunohistochemistry (Formalin/PFA-fixed paraffin-embedded sections) - Anti-ERGIC3 antibody (AB236723)
  • IHC-P

Supplier Data

Immunohistochemistry (Formalin/PFA-fixed paraffin-embedded sections) - Anti-ERGIC3 antibody (AB236723)

Paraffin-embedded human rectum tissue stained for ERGIC3 using ab236723 at 1/100 dilution in immunohistochemical analysis.

Immunocytochemistry/ Immunofluorescence - Anti-ERGIC3 antibody (AB236723)
  • ICC/IF

Supplier Data

Immunocytochemistry/ Immunofluorescence - Anti-ERGIC3 antibody (AB236723)

HeLa (human epithelial cell line from cervix adenocarcinoma) cells stained for ERGIC3 (green) using ab236723 at 1/100 dilution in ICC/IF. Secondary antibody is Alexa Fluor® 488-congugated Goat Anti-Rabbit IgG(H+L).

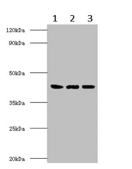
Western blot - Anti-ERGIC3 antibody (AB236723)
  • WB

Supplier Data

Western blot - Anti-ERGIC3 antibody (AB236723)

All lanes:

Western blot - Anti-ERGIC3 antibody (ab236723) at 1/500 dilution

Lane 1:

HEK-293 (human epithelial cell line from embryonic kidney) whole cell lysate

Lane 2:

HeLa (human epithelial cell line from cervix adenocarcinoma) whole cell lysate

Lane 3:

MCF7 (human breast adenocarcinoma cell line) whole cell lysate

Secondary

All lanes:

Goat polyclonal to rabbit IgG at 1/10000 dilution

Predicted band size: 43 kDa

false

Key facts

Host species

Rabbit

Clonality

Polyclonal

Isotype

IgG

Carrier free

No

Reacts with

Human

Applications

ICC/IF, IHC-P, WB

applications

Immunogen

Recombinant Fragment Protein within Human ERGIC3 aa 1-350. The exact immunogen used to generate this antibody is proprietary information.

Q9Y282

Reactivity data

{ "title": "Reactivity Data", "filters": { "stats": ["", "Species", "Dilution Info", "Notes"], "tabs": { "all-applications": {"fullname" : "All Applications", "shortname": "All Applications"}, "WB" : {"fullname" : "Western blot", "shortname":"WB"}, "IHCP" : {"fullname" : "Immunohistochemistry (Formalin/PFA-fixed paraffin-embedded sections)", "shortname":"IHC-P"}, "ICCIF" : {"fullname" : "Immunocytochemistry/ Immunofluorescence", "shortname":"ICC/IF"} }, "product-promise": { "all": "all", "testedAndGuaranteed": "tested", "guaranteed": "expected", "predicted": "predicted", "notRecommended": "not-recommended" } }, "values": { "Human": { "WB-species-checked": "testedAndGuaranteed", "WB-species-dilution-info": "1/500 - 1/2000", "WB-species-notes": "<p></p>", "IHCP-species-checked": "testedAndGuaranteed", "IHCP-species-dilution-info": "1/20 - 1/200", "IHCP-species-notes": "<p></p>", "ICCIF-species-checked": "testedAndGuaranteed", "ICCIF-species-dilution-info": "1/50 - 1/200", "ICCIF-species-notes": "<p></p>" }, "Mouse": { "WB-species-checked": "predicted", "WB-species-dilution-info": "", "WB-species-notes": "", "IHCP-species-checked": "predicted", "IHCP-species-dilution-info": "", "IHCP-species-notes": "", "ICCIF-species-checked": "predicted", "ICCIF-species-dilution-info": "", "ICCIF-species-notes": "" }, "Cow": { "WB-species-checked": "predicted", "WB-species-dilution-info": "", "WB-species-notes": "", "IHCP-species-checked": "predicted", "IHCP-species-dilution-info": "", "IHCP-species-notes": "", "ICCIF-species-checked": "predicted", "ICCIF-species-dilution-info": "", "ICCIF-species-notes": "" }, "Cynomolgus monkey": { "WB-species-checked": "predicted", "WB-species-dilution-info": "", "WB-species-notes": "", "IHCP-species-checked": "predicted", "IHCP-species-dilution-info": "", "IHCP-species-notes": "", "ICCIF-species-checked": "predicted", "ICCIF-species-dilution-info": "", "ICCIF-species-notes": "" }, "Orangutan": { "WB-species-checked": "predicted", "WB-species-dilution-info": "", "WB-species-notes": "", "IHCP-species-checked": "predicted", "IHCP-species-dilution-info": "", "IHCP-species-notes": "", "ICCIF-species-checked": "predicted", "ICCIF-species-dilution-info": "", "ICCIF-species-notes": "" } } }

Properties and storage information

Form
Liquid
Purification technique
Affinity purification Protein G
Purification notes
Purity >95%
Storage buffer
pH: 7.4 Preservative: 0.03% Proclin 300 Constituents: PBS, 50% Glycerol (glycerin, glycerine)
Shipped at conditions
Blue Ice
Appropriate short-term storage duration
1-2 weeks
Appropriate short-term storage conditions
+4°C
Appropriate long-term storage conditions
-20°C
Aliquoting information
Upon delivery aliquot
Storage information
Avoid freeze / thaw cycle

Supplementary information

This supplementary information is collated from multiple sources and compiled automatically.

The ERGIC3 protein also known as ERGIC-53 plays a critical role in the early secretory pathway. It is involved in vesicular trafficking between the endoplasmic reticulum and the Golgi apparatus. Weighing around 38 kDa ERGIC3 is an important contributor to cargo transport processes. The protein finds expression in various tissues predominantly within cells that have high secretory demands.
Biological function summary

The ERGIC3 protein functions as part of the larger ER-Golgi intermediate compartment (ERGIC) complex helping in the sorting and transport of proteins. The ERGIC serves as an essential hub in the secretory pathway modulating cargo movement to the Golgi for further processing. Some studies have implicated ERGIC3 in maintaining Golgi integrity and optimal function affecting overall cellular health.

Pathways

ERGIC3 plays a significant role in the secretory pathway assisting in the transit of proteins and the correct folding of polypeptides. It links functionally to other key proteins such as KI67 which associates with cell proliferation regions and relies heavily on efficient protein processing for cellular division. The association suggests ERGIC3's involvement in maintaining cellular growth and regeneration.

Researchers have connected ERGIC3 with diseases like congenital disorders of glycosylation due to its role in protein folding and trafficking. Furthermore disruptions in ERGIC3 function have correlations with cancer progression particularly in overactive secretion conditions. These disorders often coincide with aberrant expression or mutations in folding-related proteins signifying potential ERGIC3 involvement in pathological manifestations when its function is compromised.

Product protocols

For this product, it's our understanding that no specific protocols are required. You can visit:

Target data

Possible role in transport between endoplasmic reticulum and Golgi. Positively regulates trafficking of the secretory proteins SERPINA1/alpha1-antitrypsin and HP/haptoglobin (PubMed : 31142615).
See full target information ERGIC3

Publications (1)

Recent publications for all applications. Explore the full list and refine your search

Regenerative therapy 25:35-48 PubMed38058606

2023

Epigenetic mechanism of miR-26b-5p-enriched MSCs-EVs attenuates spinal cord injury.

Applications

Unspecified application

Species

Unspecified reactive species

Jinghui Xu,Zhenxiao Ren,Tianzuo Niu,Siyuan Li
View all publications

Product promise

We are committed to supporting your work with high-quality reagents, and we're here for you every step of the way. In the unlikely event that one of our products does not perform as expected, you're protected by our Product Promise.
For full details, please see our Terms & Conditions

Please note: All products are 'FOR RESEARCH USE ONLY. NOT FOR USE IN DIAGNOSTIC OR THERAPEUTIC PROCEDURES'.

For licensing inquiries, please contact partnerships@abcam.com