JavaScript is disabled in your browser. Please enable JavaScript to view this website.
AB119357

Anti-ERK1 antibody [12D11]

Be the first to review this product! Submit a review

|

(2 Publications)

Mouse Monoclonal ERK1 antibody. Suitable for IHC-P, WB, ICC/IF and reacts with Human, Mouse, African green monkey, Primates samples. Cited in 2 publications. Immunogen corresponding to Recombinant Full Length Protein corresponding to Human MAPK3.

View Alternative Names

ERK1, PRKM3, MAPK3, Mitogen-activated protein kinase 3, MAP kinase 3, MAPK 3, ERT2, Extracellular signal-regulated kinase 1, Insulin-stimulated MAP2 kinase, MAP kinase isoform p44, Microtubule-associated protein 2 kinase, p44-ERK1, ERK-1, p44-MAPK

3 Images
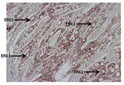
Immunohistochemistry (Formalin/PFA-fixed paraffin-embedded sections) - Anti-ERK1 antibody [12D11] (AB119357)
  • IHC-P

Unknown

Immunohistochemistry (Formalin/PFA-fixed paraffin-embedded sections) - Anti-ERK1 antibody [12D11] (AB119357)

ab119357, at 1/100 dilution, staining ERK1 in deparaffinized Human colon cancer tissue by Immunohistochemistry using a goat anti-mouse HRP secondary antibody at a dilution of 1/500 and colorimetric detection using metal enhanced DAB.
Note : strong cytoplasmic localization of ERK1.

Immunocytochemistry/ Immunofluorescence - Anti-ERK1 antibody [12D11] (AB119357)
  • ICC/IF

Unknown

Immunocytochemistry/ Immunofluorescence - Anti-ERK1 antibody [12D11] (AB119357)

ab119357, at 1/100 dilution, staining ERK1 in untreated and siRNA knockdown treated HeLa cells (Formalin fixed and permeabilized with 0.1% Triton X-100) by Immunoflourescence followed by DyLight 549 goat-anti-mouse secondary antibody at a dilution of 1/400.
Nuclei (blue) were stained with Hoechst 33342 dye.

Western blot - Anti-ERK1 antibody [12D11] (AB119357)
  • WB

Supplier Data

Western blot - Anti-ERK1 antibody [12D11] (AB119357)

4-20% Tris-HCl polyacrylamide gel.

All lanes:

Western blot - Anti-ERK1 antibody [12D11] (ab119357) at 1/1000 dilution

Lane 1:

293T cell lysate at 25 µg

Lane 2:

U2OS cell lysate at 25 µg

Lane 3:

K562 cell lysate at 25 µg

Lane 4:

A549 cell lysate at 25 µg

Lane 5:

HeLa cell lysate at 25 µg

Lane 6:

Jurkat cell lysate at 25 µg

Lane 7:

MCF7 cell lysate at 25 µg

Lane 8:

HepG2 cell lysate at 25 µg

Lane 9:

MEF cell lysate at 25 µg

Lane 10:

NIH 3T3 cell lysate at 25 µg

Lane 11:

C2C12 cell lysate at 25 µg

Lane 12:

COS7 cell lysate at 25 µg

Secondary

All lanes:

Goat anti-mouse-HRP at 1/25000 dilution

Predicted band size: 43 kDa

true

Key facts

Host species

Mouse

Clonality

Monoclonal

Clone number

12D11

Isotype

IgG

Carrier free

No

Reacts with

Mouse, Human, Primates, African green monkey

Applications

WB, ICC/IF, IHC-P

applications

Immunogen

Recombinant Full Length Protein corresponding to Human MAPK3.

P27361

Reactivity data

{ "title": "Reactivity Data", "filters": { "stats": ["", "Species", "Dilution Info", "Notes"], "tabs": { "all-applications": {"fullname" : "All Applications", "shortname": "All Applications"}, "IHCP" : {"fullname" : "Immunohistochemistry (Formalin/PFA-fixed paraffin-embedded sections)", "shortname":"IHC-P"}, "WB" : {"fullname" : "Western blot", "shortname":"WB"}, "ICCIF" : {"fullname" : "Immunocytochemistry/ Immunofluorescence", "shortname":"ICC/IF"} }, "product-promise": { "all": "all", "testedAndGuaranteed": "tested", "guaranteed": "expected", "predicted": "predicted", "notRecommended": "not-recommended" } }, "values": { "Human": { "IHCP-species-checked": "testedAndGuaranteed", "IHCP-species-dilution-info": "1/100", "IHCP-species-notes": "<p></p>", "WB-species-checked": "testedAndGuaranteed", "WB-species-dilution-info": "1/1000", "WB-species-notes": "<p></p>", "ICCIF-species-checked": "testedAndGuaranteed", "ICCIF-species-dilution-info": "1/100", "ICCIF-species-notes": "<p></p>" }, "Mouse": { "IHCP-species-checked": "guaranteed", "IHCP-species-dilution-info": "", "IHCP-species-notes": "", "WB-species-checked": "testedAndGuaranteed", "WB-species-dilution-info": "1/1000", "WB-species-notes": "<p></p>", "ICCIF-species-checked": "guaranteed", "ICCIF-species-dilution-info": "", "ICCIF-species-notes": "" }, "African green monkey": { "IHCP-species-checked": "guaranteed", "IHCP-species-dilution-info": "", "IHCP-species-notes": "", "WB-species-checked": "testedAndGuaranteed", "WB-species-dilution-info": "1/1000", "WB-species-notes": "<p></p>", "ICCIF-species-checked": "guaranteed", "ICCIF-species-dilution-info": "", "ICCIF-species-notes": "" }, "Primates": { "IHCP-species-checked": "guaranteed", "IHCP-species-dilution-info": "1/100", "IHCP-species-notes": "<p></p>", "WB-species-checked": "guaranteed", "WB-species-dilution-info": "1/1000", "WB-species-notes": "<p></p>", "ICCIF-species-checked": "guaranteed", "ICCIF-species-dilution-info": "1/100", "ICCIF-species-notes": "<p></p>" } } }

Properties and storage information

Form
Liquid
Purification technique
Affinity purification Protein A
Storage buffer
Preservative: 0.05% Sodium azide Constituents: PBS, 0.1% BSA
Shipped at conditions
Blue Ice
Appropriate short-term storage conditions
+4°C
Appropriate long-term storage conditions
-20°C
Aliquoting information
Upon delivery aliquot
Storage information
Avoid freeze / thaw cycle

Supplementary information

This supplementary information is collated from multiple sources and compiled automatically.

ERK1 also known as MAPK3 is an extracellular signal-regulated kinase involved in transmitting signals from the cell surface to the nucleus. This protein has a molecular mass of about 44 kDa. ERK1 expresses in various tissue types with higher expression in the brain heart and skeletal muscle. Researchers often study ERK1 in the context of its role in cellular signaling due to its involvement in critical regulatory functions.
Biological function summary

ERK1 plays a significant role in cell cycle regulation differentiation and proliferation. It forms part of the MAPK signaling cascade becoming activated through a phosphorylation event. In its activated form ERK1 translocates to the nucleus where it phosphorylates target substrates. ERK1 often functions in conjunction with its homolog ERK2 to mediate these cellular processes marking it as an essential player in growth factor signaling.

Pathways

ERK1 functions primarily within the MAPK/ERK signaling pathway a major conduit for transmitting proliferative signals from growth factor receptors. ERK1 interacts with proteins like MEK1/2 which phosphorylate and activate ERK1 in response to extracellular stimuli. Another critical pathway involving ERK1 is the Ras-Raf-MEK-ERK cascade which regulates various cellular outcomes. This connection to the Ras family highlights its importance in signal transduction and reinforces its position in critical cellular processes.

Aberrant activation of ERK1 connects to diseases such as cancer and cardiovascular disorders. In cancer the dysregulation of the MAPK/ERK pathway often through mutations affecting Ras or Raf proteins leads to uncontrolled cell proliferation. ERK1's involvement in cardiovascular diseases links to its role in hypertrophic signaling in cardiac cells where altered ERK1 activity can contribute to pathological cardiac remodeling. Understanding these interactions can aid in developing therapeutic strategies targeting the MAPK/ERK signaling pathway.

Product protocols

For this product, it's our understanding that no specific protocols are required. You can visit:

Target data

Serine/threonine kinase which acts as an essential component of the MAP kinase signal transduction pathway (PubMed : 34497368). MAPK1/ERK2 and MAPK3/ERK1 are the 2 MAPKs which play an important role in the MAPK/ERK cascade. They participate also in a signaling cascade initiated by activated KIT and KITLG/SCF. Depending on the cellular context, the MAPK/ERK cascade mediates diverse biological functions such as cell growth, adhesion, survival and differentiation through the regulation of transcription, translation, cytoskeletal rearrangements. The MAPK/ERK cascade also plays a role in initiation and regulation of meiosis, mitosis, and postmitotic functions in differentiated cells by phosphorylating a number of transcription factors. About 160 substrates have already been discovered for ERKs. Many of these substrates are localized in the nucleus, and seem to participate in the regulation of transcription upon stimulation. However, other substrates are found in the cytosol as well as in other cellular organelles, and those are responsible for processes such as translation, mitosis and apoptosis. Moreover, the MAPK/ERK cascade is also involved in the regulation of the endosomal dynamics, including lysosome processing and endosome cycling through the perinuclear recycling compartment (PNRC); as well as in the fragmentation of the Golgi apparatus during mitosis. The substrates include transcription factors (such as ATF2, BCL6, ELK1, ERF, FOS, HSF4 or SPZ1), cytoskeletal elements (such as CANX, CTTN, GJA1, MAP2, MAPT, PXN, SORBS3 or STMN1), regulators of apoptosis (such as BAD, BTG2, CASP9, DAPK1, IER3, MCL1 or PPARG), regulators of translation (such as EIF4EBP1) and a variety of other signaling-related molecules (like ARHGEF2, DEPTOR, FRS2 or GRB10) (PubMed : 35216969). Protein kinases (such as RAF1, RPS6KA1/RSK1, RPS6KA3/RSK2, RPS6KA2/RSK3, RPS6KA6/RSK4, SYK, MKNK1/MNK1, MKNK2/MNK2, RPS6KA5/MSK1, RPS6KA4/MSK2, MAPKAPK3 or MAPKAPK5) and phosphatases (such as DUSP1, DUSP4, DUSP6 or DUSP16) are other substrates which enable the propagation the MAPK/ERK signal to additional cytosolic and nuclear targets, thereby extending the specificity of the cascade.
See full target information MAPK3

Publications (2)

Recent publications for all applications. Explore the full list and refine your search

Journal of Cancer 12:5473-5485 PubMed34405010

2021

DNA methylation mediated down-regulation of ANGPTL4 promotes colorectal cancer metastasis by activating the ERK pathway.

Applications

Unspecified application

Species

Unspecified reactive species

Kunning Zhang,Zhiwei Zhai,Sanshui Yu,Yu Tao

The Journal of biological chemistry 270:1388-94 PubMed7530713

1995

Monoclonal antibodies that block the activity of leukocyte function-associated antigen 1 recognize three discrete epitopes in the inserted domain of CD11a.

Applications

Unspecified application

Species

Unspecified reactive species

M Champe,B W McIntyre,P W Berman
View all publications

Product promise

We are committed to supporting your work with high-quality reagents, and we're here for you every step of the way. In the unlikely event that one of our products does not perform as expected, you're protected by our Product Promise.
For full details, please see our Terms & Conditions

Please note: All products are 'FOR RESEARCH USE ONLY. NOT FOR USE IN DIAGNOSTIC OR THERAPEUTIC PROCEDURES'.

For licensing inquiries, please contact partnerships@abcam.com