JavaScript is disabled in your browser. Please enable JavaScript to view this website.
AB54230

Anti-ERK1 + ERK2 antibody [ERK-7D8]

5

(2 Reviews)

|

(136 Publications)

Mouse Monoclonal ERK1 antibody. Suitable for IHC-P, ICC/IF and reacts with Mouse, Human samples. Cited in 136 publications. Immunogen corresponding to Synthetic Peptide within Rat Mapk3 aa 300-350.

View Alternative Names

ERK1, PRKM3, MAPK3, Mitogen-activated protein kinase 3, MAP kinase 3, MAPK 3, ERT2, Extracellular signal-regulated kinase 1, Insulin-stimulated MAP2 kinase, MAP kinase isoform p44, Microtubule-associated protein 2 kinase, p44-ERK1, ERK-1, p44-MAPK

4 Images
Immunocytochemistry/ Immunofluorescence - Anti-ERK1 + ERK2 antibody [ERK-7D8] (AB54230)
  • ICC/IF

Supplier Data

Immunocytochemistry/ Immunofluorescence - Anti-ERK1 + ERK2 antibody [ERK-7D8] (AB54230)

Immunocytochemistry/ Immunofluorescence analysis of ERK1 + ERK2 Antibody (ab54230) was done on 70% confluent log phase U87-MG cells. The cells were fixed with 4% paraformaldehyde for 15 minutes, permeabilized with 0.25% Triton™ X-100 for 10 minutes, and blocked with 5% BSA for 1 hour at room temperature. The cells were labeled with ERK1 + ERK2 Antibody [ERK-7D8] (ab54230) at 1μg/mL in 1% BSA and incubated for 3 hours at room temperature and then labeled with Alexa Flour 488® Rabbit Anti-Mouse IgG Secondary Antibody at a dilution of 1/400 for 45 minutes at room temperature (Panel a : green). Nuclei (Panel b : blue) were stained with DAPI. F-actin (Panel c : red) was stained with Alexa Fluor 594® Phalloidin. Panel d is a merged image showing cytoplasmic and nuclear localization. Panel e is a no primary antibody control. The images were captured at 40X magnification.

Immunohistochemistry (Formalin/PFA-fixed paraffin-embedded sections) - Anti-ERK1 + ERK2 antibody [ERK-7D8] (AB54230)
  • IHC-P

Supplier Data

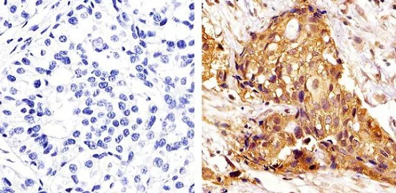
Immunohistochemistry (Formalin/PFA-fixed paraffin-embedded sections) - Anti-ERK1 + ERK2 antibody [ERK-7D8] (AB54230)

Immunohistochemistry (Formalin/PFA-fixed paraffin-embedded sections) analysis of human breast carcinoma tissue labeling ERK1 + ERK2 with ab54230. Staining in the cytoplasm and nucleus (right), compared to a negative control without primary antibody (left). To expose target proteins, antigen retrieval was performed using 10mM sodium citrate (pH 6.0), microwaved for 8-15 min. Following antigen retrieval, tissues were blocked in 3% H2O2-methanol for 15 min at room temperature, washed with ddH2O and PBS, and then probed with a ERK1/2 monoclonal antibody (ab54230) diluted in 3% BSA-PBS at a dilution of 1/50 overnight at 4°C in a humidified chamber. Tissues were washed extensively in PBST and detection was performed using an HRP-conjugated secondary antibody followed by colorimetric detection using a DAB kit. Tissues were counterstained with hematoxylin and dehydrated with ethanol and xylene to prep for mounting.

Immunohistochemistry (Formalin/PFA-fixed paraffin-embedded sections) - Anti-ERK1 + ERK2 antibody [ERK-7D8] (AB54230)
  • IHC-P

Supplier Data

Immunohistochemistry (Formalin/PFA-fixed paraffin-embedded sections) - Anti-ERK1 + ERK2 antibody [ERK-7D8] (AB54230)

Immunohistochemistry (Formalin/PFA-fixed paraffin-embedded sections) analysis of human cortex tissue labeling ERK1 + ERK2 with ab54230.

Immunohistochemistry (Formalin/PFA-fixed paraffin-embedded sections) - Anti-ERK1 + ERK2 antibody [ERK-7D8] (AB54230)
  • IHC-P

Supplier Data

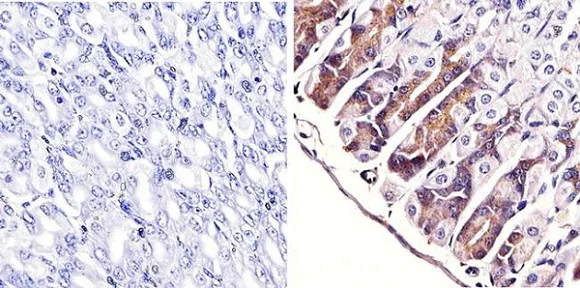
Immunohistochemistry (Formalin/PFA-fixed paraffin-embedded sections) - Anti-ERK1 + ERK2 antibody [ERK-7D8] (AB54230)

Immunohistochemistry (Formalin/PFA-fixed paraffin-embedded sections) analysis of mouse stomach tissue labeling ERK1 + ERK2 with ab54230. Staining in the cytoplasm and nucleus (right) compared to a negative control without primary antibody (left). To expose target proteins, antigen retrieval was performed using 10mM sodium citrate (pH 6.0), microwaved for 8-15 min. Following antigen retrieval, tissues were blocked in 3% H2O2 -methanol for 15 min at room temperature, washed with ddH2O and PBS, and then probed with a ERK1/2 monoclonal antibody (ab54230) diluted in 3% BSA-PBS at a dilution of 1/20 overnight at 4°C in a humidified chamber. Tissues were washed extensively in PBST and detection was performed using an HRP-conjugated secondary antibody followed by colorimetric detection using a DAB kit. Tissues were counterstained with hematoxylin and dehydrated with ethanol and xylene to prep for mounting.

Key facts

Host species

Mouse

Clonality

Monoclonal

Clone number

ERK-7D8

Isotype

IgG1

Light chain type

kappa

Carrier free

No

Reacts with

Mouse, Human

Applications

IHC-P, ICC/IF

applications

Immunogen

Synthetic Peptide within Rat Mapk3 aa 300-350. The exact immunogen used to generate this antibody is proprietary information.

P21708

Reactivity data

{ "title": "Reactivity Data", "filters": { "stats": ["", "Species", "Dilution Info", "Notes"], "tabs": { "all-applications": {"fullname" : "All Applications", "shortname": "All Applications"}, "IHCP" : {"fullname" : "Immunohistochemistry (Formalin/PFA-fixed paraffin-embedded sections)", "shortname":"IHC-P"}, "ICCIF" : {"fullname" : "Immunocytochemistry/ Immunofluorescence", "shortname":"ICC/IF"} }, "product-promise": { "all": "all", "testedAndGuaranteed": "tested", "guaranteed": "expected", "predicted": "predicted", "notRecommended": "not-recommended" } }, "values": { "Human": { "IHCP-species-checked": "testedAndGuaranteed", "IHCP-species-dilution-info": "1/10 - 1/100", "IHCP-species-notes": "<p></p> Perform heat-mediated antigen retrieval before commencing with IHC staining protocol.", "ICCIF-species-checked": "testedAndGuaranteed", "ICCIF-species-dilution-info": "1 µg/mL", "ICCIF-species-notes": "<p></p>" }, "Mouse": { "IHCP-species-checked": "testedAndGuaranteed", "IHCP-species-dilution-info": "1/10 - 1/100", "IHCP-species-notes": "<p></p> Perform heat-mediated antigen retrieval before commencing with IHC staining protocol.", "ICCIF-species-checked": "guaranteed", "ICCIF-species-dilution-info": "", "ICCIF-species-notes": "" }, "Rat": { "IHCP-species-checked": "predicted", "IHCP-species-dilution-info": "", "IHCP-species-notes": "", "ICCIF-species-checked": "predicted", "ICCIF-species-dilution-info": "", "ICCIF-species-notes": "" } } }

Properties and storage information

Form
Liquid
Purification technique
Affinity purification Immunogen
Storage buffer
pH: 7.4 Preservative: 0.05% Sodium azide Constituents: PBS
Shipped at conditions
Blue Ice
Appropriate short-term storage duration
1-2 weeks
Appropriate short-term storage conditions
+4°C
Appropriate long-term storage conditions
-20°C
Aliquoting information
Upon delivery aliquot
Storage information
Avoid freeze / thaw cycle

Supplementary information

This supplementary information is collated from multiple sources and compiled automatically.

ERK1 and ERK2 also known as MAPK3 and MAPK1 respectively are protein kinases involved in the mitogen-activated protein kinase (MAPK) signaling pathway. They share high sequence identity and exhibit similar functions. ERK1 has a molecular weight of approximately 44 kDa while ERK2 weighs around 42 kDa. Both are expressed ubiquitously in various tissues playing roles in diverse cellular processes. These proteins often detected through ERK1/2 western blot analyses present similar ERK protein size and ERK molecular weight characteristics relevant during protein expression studies.
Biological function summary

ERK1 and ERK2 play key roles in cell proliferation differentiation and survival. They form part of a cascade that includes upstream activators such as MEK1/2 and downstream targets including transcription factors. As components of the MAPK signaling complex ERK1/2 regulate gene expression through phosphorylation events impacting cellular responses to various stimuli. Their activation often hinges on growth factors cytokines and stress signals facilitating cellular adaptation to environmental changes.

Pathways

Regarding pathways ERK1/2 sit within the MAPK/ERK pathway and are significant in the Ras/Raf/MEK/ERK cascade one of the foremost signaling mechanisms in cells. They interact with several proteins including Ras and Raf which modulate their activation. This pathway is important for transmitting signals from the cell surface to the DNA in the cell nucleus impacting gene regulation and cell fate decisions. ERK1/2 proteins therefore serve as critical nodes linking extracellular signals to cellular responses ensuring balanced cell function.

ERK1/2 play significant roles in cancer and neurodegenerative diseases. Their overactivation is often linked to oncogenic processes contributing to cell proliferation in cancers. Mutations or dysregulation within the MAPK/ERK pathway including ERK1/2 frequently associate with tumorigenesis. Additionally in neurodegenerative disorders like Alzheimer's disease altered ERK1/2 activity may impact neuronal survival and function often through interaction with amyloid-beta and tau proteins further illustrating their importance in disease pathophysiology.

Product protocols

For this product, it's our understanding that no specific protocols are required. You can visit:

Target data

Serine/threonine kinase which acts as an essential component of the MAP kinase signal transduction pathway (PubMed : 34497368). MAPK1/ERK2 and MAPK3/ERK1 are the 2 MAPKs which play an important role in the MAPK/ERK cascade. They participate also in a signaling cascade initiated by activated KIT and KITLG/SCF. Depending on the cellular context, the MAPK/ERK cascade mediates diverse biological functions such as cell growth, adhesion, survival and differentiation through the regulation of transcription, translation, cytoskeletal rearrangements. The MAPK/ERK cascade also plays a role in initiation and regulation of meiosis, mitosis, and postmitotic functions in differentiated cells by phosphorylating a number of transcription factors. About 160 substrates have already been discovered for ERKs. Many of these substrates are localized in the nucleus, and seem to participate in the regulation of transcription upon stimulation. However, other substrates are found in the cytosol as well as in other cellular organelles, and those are responsible for processes such as translation, mitosis and apoptosis. Moreover, the MAPK/ERK cascade is also involved in the regulation of the endosomal dynamics, including lysosome processing and endosome cycling through the perinuclear recycling compartment (PNRC); as well as in the fragmentation of the Golgi apparatus during mitosis. The substrates include transcription factors (such as ATF2, BCL6, ELK1, ERF, FOS, HSF4 or SPZ1), cytoskeletal elements (such as CANX, CTTN, GJA1, MAP2, MAPT, PXN, SORBS3 or STMN1), regulators of apoptosis (such as BAD, BTG2, CASP9, DAPK1, IER3, MCL1 or PPARG), regulators of translation (such as EIF4EBP1) and a variety of other signaling-related molecules (like ARHGEF2, DEPTOR, FRS2 or GRB10) (PubMed : 35216969). Protein kinases (such as RAF1, RPS6KA1/RSK1, RPS6KA3/RSK2, RPS6KA2/RSK3, RPS6KA6/RSK4, SYK, MKNK1/MNK1, MKNK2/MNK2, RPS6KA5/MSK1, RPS6KA4/MSK2, MAPKAPK3 or MAPKAPK5) and phosphatases (such as DUSP1, DUSP4, DUSP6 or DUSP16) are other substrates which enable the propagation the MAPK/ERK signal to additional cytosolic and nuclear targets, thereby extending the specificity of the cascade.
See full target information MAPK3

Additional targets

MAPK1,MAPK1

Publications (136)

Recent publications for all applications. Explore the full list and refine your search

American journal of cancer research 15:2353-2374 PubMed40520857

2025

Circular RNA hsa_circ_103089 modulates metabolic glycolysis and influences migration, invasion, and cisplatin sensitivity in non-small cell lung cancer cells via the miR-876-5p/EGFR axis.

Applications

Unspecified application

Species

Unspecified reactive species

Yong Zhou,Xiaoxiao Zhu,Zhongkai Tong,Cenli Wang,Xiaofei Liang,Zhenyan Li,Lin He,Chunli Wu,Zhaoxing Dong

Scientific reports 15:12914 PubMed40234489

2025

Memantine abrogates testicular dysfunction induced by risperidone in rats with a potential role of ERK1/2-Nrf2-caspase-3 signaling pathway.

Applications

Unspecified application

Species

Unspecified reactive species

Reham H Mohyeldin,Ehab E Sharata,Michael Atef Fawzy,Mina Ezzat Attya,Nermeen N Welson,Remon Roshdy Rofaeil

Asian Pacific journal of cancer prevention : APJCP 25:2193-2201 PubMed38918683

2024

Evaluation of the Expression EGFR, HER2/NEU and the End Effector ERK of the RAS/RAF/MAP Kinase Pathway in Prostatic Adenocarcinoma for a Possible Role as New Target Therapy.

Applications

Unspecified application

Species

Unspecified reactive species

Asem Shalaby,Heba A Mahmoud,Shayma G Sayed,Khalid Al Hashmi,Shadia Al-Sinawi,Suad Al Badi,Afrah Al Rashdi,Samya Al Husaini,Hajer Al Badi,Somaia Ahmed Saad El-Din

Cell death and differentiation 31:804-819 PubMed38698060

2024

Differential contribution for ERK1 and ERK2 kinases in BRAF-triggered phenotypes in adult mouse models.

Applications

Unspecified application

Species

Unspecified reactive species

Giuseppe Bosso,Ana Carolina Cintra Herpst,Oscar Laguía,Sarah Adetchessi,Rosa Serrano,Maria A Blasco

Cell death discovery 9:406 PubMed37919290

2023

Targeting the up-regulated CNOT3 reverses therapeutic resistance and metastatic progression of EGFR-mutant non-small cell lung cancer.

Applications

Unspecified application

Species

Unspecified reactive species

Lin Jing,Meng-En Zhai,Mei-Rui Qian,Yi-Ming Li,Ming-Wei Han,Kun Wang,Wan Huang,Gang Nan,Jian-Li Jiang

Acta biochimica et biophysica Sinica 55:449-459 PubMed36942990

2023

miR-126 mitigates the osteogenic differentiation of human bone marrow-derived mesenchymal stem cells by targeting the ERK1/2 and Bcl-2 pathways.

Applications

Unspecified application

Species

Unspecified reactive species

Ying Zhang,Yiping Dong,Qiushi Wei,Zhikun Zhuang,Youwen Liu,Qiang Yuan,Wei He,Zhenhao Jing,Jitian Li,Peifeng Li,Leilei Zhang,Zhinan Hong,Ning Zhang,Haibin Wang,Wuyin Li

Journal of functional biomaterials 14: PubMed36976051

2023

Epigenetic Differences Arise in Endothelial Cells Responding to Cobalt-Chromium.

Applications

Unspecified application

Species

Unspecified reactive species

Célio Junior da C Fernandes,Rodrigo A Foganholi da Silva,Gerson Santos de Almeida,Marcel Rodrigues Ferreira,Paula Bertin de Morais,Fábio Bezerra,Willian F Zambuzzi

Annals of translational medicine 10:1392 PubMed36660714

2023

Yishen Xiezhuo formula ameliorates the development of cisplatin-induced acute kidney injury by attenuating renal tubular epithelial cell senescence.

Applications

Unspecified application

Species

Unspecified reactive species

Qiaoying Zhang,Jieying Qi,Qin Luo,Mengni Wu,Lili Zhang,Linsen Qin,Xiaoli Nie

Advanced healthcare materials 12:e2202275 PubMed36625629

2023

Live Cell Lineage Tracing of Dormant Cancer Cells.

Applications

Unspecified application

Species

Unspecified reactive species

Hyuna Kim,Anna Wirasaputra,Farnaz Mohammadi,Aritra Nath Kundu,Jennifer A E Esteves,Laura M Heiser,Aaron S Meyer,Shelly R Peyton

EMBO molecular medicine 15:e16244 PubMed36533294

2022

Microbiota dysbiosis influences immune system and muscle pathophysiology of dystrophin-deficient mice.

Applications

Unspecified application

Species

Unspecified reactive species

Andrea Farini,Luana Tripodi,Chiara Villa,Francesco Strati,Amanda Facoetti,Guido Baselli,Jacopo Troisi,Annamaria Landolfi,Caterina Lonati,Davide Molinaro,Michelle Wintzinger,Stefano Gatti,Barbara Cassani,Flavio Caprioli,Federica Facciotti,Mattia Quattrocelli,Yvan Torrente
View all publications

Product promise

We are committed to supporting your work with high-quality reagents, and we're here for you every step of the way. In the unlikely event that one of our products does not perform as expected, you're protected by our Product Promise.
For full details, please see our Terms & Conditions

Please note: All products are 'FOR RESEARCH USE ONLY. NOT FOR USE IN DIAGNOSTIC OR THERAPEUTIC PROCEDURES'.

For licensing inquiries, please contact partnerships@abcam.com