JavaScript is disabled in your browser. Please enable JavaScript to view this website.
AB314200

Anti-ERK1 (phospho T202) + ERK2 (phospho T185) antibody [2D5]

Be the first to review this product! Submit a review

|

(2 Publications)

Rabbit Monoclonal ERK1 phospho T202 antibody. Suitable for WB, IHC-P, ICC/IF and reacts with Human samples. Cited in 2 publications. Immunogen corresponding to Synthetic Peptide within Human MAPK3 phospho T202.

View Alternative Names

ERK1, PRKM3, MAPK3, Mitogen-activated protein kinase 3, MAP kinase 3, MAPK 3, ERT2, Extracellular signal-regulated kinase 1, Insulin-stimulated MAP2 kinase, MAP kinase isoform p44, Microtubule-associated protein 2 kinase, p44-ERK1, ERK-1, p44-MAPK

3 Images
Immunocytochemistry/ Immunofluorescence - Anti-ERK1 (phospho T202) + ERK2 (phospho T185) antibody [2D5] (AB314200)
  • ICC/IF

Supplier Data

Immunocytochemistry/ Immunofluorescence - Anti-ERK1 (phospho T202) + ERK2 (phospho T185) antibody [2D5] (AB314200)

Immunofluorescence staining of HeLa (Human epithelial cell line from cervix adenocarcinoma) cells with ab314200 at 1 : 100, counter-stained with DAPI. The cells were fixed in 4% formaldehyde, permeabilized using 0.2% Triton X-100 and blocked in 10% normal Goat Serum. The cells were then incubated with the antibody overnight at 4°C. The secondary antibody was Alexa Fluor® 488-conjugated Goat Anti-Rabbit IgG (H+L).

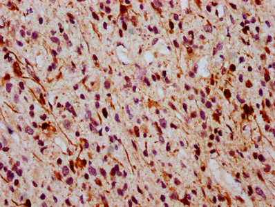
Immunohistochemistry (Formalin/PFA-fixed paraffin-embedded sections) - Anti-ERK1 (phospho T202) + ERK2 (phospho T185) antibody [2D5] (AB314200)
  • IHC-P

Supplier Data

Immunohistochemistry (Formalin/PFA-fixed paraffin-embedded sections) - Anti-ERK1 (phospho T202) + ERK2 (phospho T185) antibody [2D5] (AB314200)

Immunohistochemical analysis of ab314200 diluted at 1 : 100 and staining in paraffin-embedded human glioma cancer performed on a Leica BondTM system. After dewaxing and hydration, antigen retrieval was mediated by high pressure in a citrate buffer (pH 6.0). Section was blocked with 10% normal goat serum 30min at RT. Then primary antibody (1% BSA) was incubated at 4°C overnight. The primary is detected by a biotinylated secondary antibody and visualized using an HRP conjugated SP system.

Western blot - Anti-ERK1 (phospho T202) + ERK2 (phospho T185) antibody [2D5] (AB314200)
  • WB

Supplier Data

Western blot - Anti-ERK1 (phospho T202) + ERK2 (phospho T185) antibody [2D5] (AB314200)

All lanes:

Western blot - Anti-ERK1 (phospho T202) + ERK2 (phospho T185) antibody [2D5] (ab314200) at 2.35 µg/mL

Lane 1:

EGF treated A549 whole cell lysate

Lane 2:

A549 whole cell lysate

Lane 3:

EGF treated HepG2 whole cell lysate

Lane 4:

HepG2 whole cell lysate

Secondary

All lanes:

Goat polyclonal to rabbit IgG at 1/50000 dilution

false

Key facts

Host species

Rabbit

Clonality

Monoclonal

Clone number

2D5

Isotype

IgG

Carrier free

No

Reacts with

Human

Applications

IHC-P, ICC/IF, WB

applications

Immunogen

Synthetic Peptide within Human MAPK1 phospho T185. Database link P28482

Reactivity data

{ "title": "Reactivity Data", "filters": { "stats": ["", "Species", "Dilution Info", "Notes"], "tabs": { "all-applications": {"fullname" : "All Applications", "shortname": "All Applications"}, "WB" : {"fullname" : "Western blot", "shortname":"WB"}, "IHCP" : {"fullname" : "Immunohistochemistry (Formalin/PFA-fixed paraffin-embedded sections)", "shortname":"IHC-P"}, "ICCIF" : {"fullname" : "Immunocytochemistry/ Immunofluorescence", "shortname":"ICC/IF"} }, "product-promise": { "all": "all", "testedAndGuaranteed": "tested", "guaranteed": "expected", "predicted": "predicted", "notRecommended": "not-recommended" } }, "values": { "Human": { "WB-species-checked": "testedAndGuaranteed", "WB-species-dilution-info": "1/500 - 1/5000", "WB-species-notes": "<p></p>", "IHCP-species-checked": "testedAndGuaranteed", "IHCP-species-dilution-info": "1/50 - 1/200", "IHCP-species-notes": "<p></p>", "ICCIF-species-checked": "testedAndGuaranteed", "ICCIF-species-dilution-info": "1/20 - 1/200", "ICCIF-species-notes": "<p></p>" } } }

Product details

What are the advantages of a recombinant monoclonal antibody?
This product is a recombinant monoclonal antibody, which offers several advantages including:

  • - High batch-to-batch consistency and reproducibility
  • - Improved sensitivity and specificity
  • - Long-term security of supply
  • - Animal-free batch production

For more information, read more on recombinant antibodies.

Properties and storage information

Form
Liquid
Purification technique
Affinity purification
Storage buffer
pH: 7.4 Preservative: 0.02% Sodium azide Constituents: PBS, 50% Glycerol (glycerin, glycerine), 0.88% Sodium chloride
Shipped at conditions
Blue Ice
Appropriate short-term storage duration
1-2 weeks
Appropriate short-term storage conditions
+4°C
Appropriate long-term storage conditions
-20°C
Aliquoting information
Upon delivery aliquot
Storage information
Avoid freeze / thaw cycle

Supplementary information

This supplementary information is collated from multiple sources and compiled automatically.

ERK1 and ERK2 also known as p44 and p42 MAPK respectively are important proteins in the MAP kinase signaling pathway. They are expressed in various tissues with significant presence in the brain lungs and skin. ERK1 has a molecular weight of approximately 44 kDa while ERK2 has a molecular weight of around 42 kDa. Both proteins become activated through phosphorylation which is essential for their function in cellular processes.
Biological function summary

ERK1 and ERK2 serve as key players in cellular growth differentiation and survival. They form part of a complex cascade where they transduce signals from the cell membrane to the nucleus after activation by phosphorylation. This phosphorylation enables them to modify various downstream targets involved in regulating gene expression and cellular response to external stimuli.

Pathways

ERK1 and ERK2 are critical components of the MAPK/ERK pathway and the Ras-Raf-MEK-ERK signaling cascade. These pathways regulate a multitude of cellular activities including proliferation and differentiation. In the MAPK/ERK pathway proteins like Ras and Raf serve as upstream activators of ERK1 and ERK2. Both ERK1 and ERK2 also interact with other signaling proteins such as MEK1/2 which directly phosphorylates and activates them.

Dysregulation of ERK1 and ERK2 is associated with various pathologies including cancer and neurodegenerative diseases. Abnormal activation of these proteins often leads to uncontrolled cell proliferation contributing to oncogenesis. For instance mutations in proteins like Ras which regulate ERK1 and ERK2 can result in continuous activation and lead to tumor formation. Furthermore altered ERK1 and ERK2 signaling is linked to neurodegeneration impacting neuronal survival and function.

Product protocols

For this product, it's our understanding that no specific protocols are required. You can visit:

Target data

Serine/threonine kinase which acts as an essential component of the MAP kinase signal transduction pathway (PubMed : 34497368). MAPK1/ERK2 and MAPK3/ERK1 are the 2 MAPKs which play an important role in the MAPK/ERK cascade. They participate also in a signaling cascade initiated by activated KIT and KITLG/SCF. Depending on the cellular context, the MAPK/ERK cascade mediates diverse biological functions such as cell growth, adhesion, survival and differentiation through the regulation of transcription, translation, cytoskeletal rearrangements. The MAPK/ERK cascade also plays a role in initiation and regulation of meiosis, mitosis, and postmitotic functions in differentiated cells by phosphorylating a number of transcription factors. About 160 substrates have already been discovered for ERKs. Many of these substrates are localized in the nucleus, and seem to participate in the regulation of transcription upon stimulation. However, other substrates are found in the cytosol as well as in other cellular organelles, and those are responsible for processes such as translation, mitosis and apoptosis. Moreover, the MAPK/ERK cascade is also involved in the regulation of the endosomal dynamics, including lysosome processing and endosome cycling through the perinuclear recycling compartment (PNRC); as well as in the fragmentation of the Golgi apparatus during mitosis. The substrates include transcription factors (such as ATF2, BCL6, ELK1, ERF, FOS, HSF4 or SPZ1), cytoskeletal elements (such as CANX, CTTN, GJA1, MAP2, MAPT, PXN, SORBS3 or STMN1), regulators of apoptosis (such as BAD, BTG2, CASP9, DAPK1, IER3, MCL1 or PPARG), regulators of translation (such as EIF4EBP1) and a variety of other signaling-related molecules (like ARHGEF2, DEPTOR, FRS2 or GRB10) (PubMed : 35216969). Protein kinases (such as RAF1, RPS6KA1/RSK1, RPS6KA3/RSK2, RPS6KA2/RSK3, RPS6KA6/RSK4, SYK, MKNK1/MNK1, MKNK2/MNK2, RPS6KA5/MSK1, RPS6KA4/MSK2, MAPKAPK3 or MAPKAPK5) and phosphatases (such as DUSP1, DUSP4, DUSP6 or DUSP16) are other substrates which enable the propagation the MAPK/ERK signal to additional cytosolic and nuclear targets, thereby extending the specificity of the cascade.
See full target information MAPK3 phospho T202

Additional targets

MAPK1 phospho T185

Publications (2)

Recent publications for all applications. Explore the full list and refine your search

Cancer medicine 13:e70448 PubMed39618331

2024

LMAN2 Promotes Breast Cancer Tumorigenesis and Drug Resistance by Interacting With MAPK9 via Activation of the MAPK Pathway.

Applications

Unspecified application

Species

Unspecified reactive species

Chen Feng,Pingping Li,Pengtao Liu,Bo Wang,Juan Li,Peijun Liu

Molecular medicine reports 31: PubMed39540371

2024

Dental pulp stem cell‑derived extracellular vesicles loaded with hydrogels promote osteogenesis in rats with alveolar bone defects.

Applications

Unspecified application

Species

Unspecified reactive species

Xin He,Xiao-Yang Chu,Xu Chen,Yu-Lan Xiang,Ze-Lu Li,Chun-Yan Gao,Ying-Yi Luan,Kai Yang,Dong-Liang Zhang
View all publications

Product promise

We are committed to supporting your work with high-quality reagents, and we're here for you every step of the way. In the unlikely event that one of our products does not perform as expected, you're protected by our Product Promise.
For full details, please see our Terms & Conditions

Please note: All products are 'FOR RESEARCH USE ONLY. NOT FOR USE IN DIAGNOSTIC OR THERAPEUTIC PROCEDURES'.

For licensing inquiries, please contact partnerships@abcam.com